1/42
Looks like no tags are added yet.
Name | Mastery | Learn | Test | Matching | Spaced | Call with Kai |
|---|
No analytics yet
Send a link to your students to track their progress
Mayo scissors

Metzenbaum scissors

Rat tooth forceps

Dressing forceps (Debakey)

Artery forceps (Spencer wells)

Artery forceps (Halstead)

Mosquito forceps

Allis tissue forceps

Suture scissors

Olsen Hegar needle holders

Gillies needle holders

McPhail's needle holders

Mayo-Hegar needle holders

Langenbeck retractors

Gelpi retractors

Backhaus towel clamp

Poole suction tip

Babcocks tissue forceps

gigli wire & handles

chisel

periosteal elevator

gouge

mallet

Hohmann retractor

Lister's bone cutting forceps

Bone rongeurs

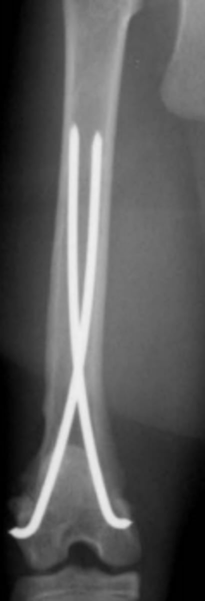
Kirschner wire

Rush pins

Jacob's chuck & key

Pin cutters

wire cutting forceps

Sherman bone plate

Sherman screws

plate bender

Depth gauge

Doyens bowel clamps

Travers retractors

Weitliner retractors

curette

volkman scoop

osteotome

Cross over towel clamp

Steinmann pin
