1/57
Looks like no tags are added yet.
Name | Mastery | Learn | Test | Matching | Spaced | Call with Kai |
|---|
No analytics yet
Send a link to your students to track their progress
¿por qué los piensos de los lechones son muy caros?
porque son muy complejos.
pero afecta muy poca al precio de todo el pienso por la granja
¿cuales problemos de los lechones intentamos resolver con la alimentación?
- viabilidad de los lechones
- comienzo de la producción de leche y calostro
- supervivencia
- pocas reservas sin capacidad de termorregulación
- transición de leche a pienso sólido
- ayuno, pérdida de peso, diarrea, muerte
¿los lechones tienen muchas reservas?
NO. y por lo tanto 0 capacidad de termorregulación
¿los lechones tienen capacidad de termorregulación?
NO, por falta de reservas
el principal reto postdestete es:
alimentación del lechón
¿qué son unos de los desafíos generales del lechón destetado?
- buscar comida por si solo
- aprender a comer sólido
- probar ingredientes nuevos
- peleas, jerarquías, heridas
- exposición a patógenos nuevos
¿justo después del nacimiento, qué necesitamos hacer para el lechón?
-cortar cordón umbilical
-cortar/limar colmillos
-cortar cola (no siempre)
- castrar (no siempre)
tras el nacimiento, ¿cuando hacemos la castración de los lechones?
12d
tras el nacimiento, ¿cuando cortamos la cola de los lechones?
2d
¿cómo cambia el contenido del calostro, por hora?
mucho al principio, por las inmunoglobulinas, y poco al final

los desafios fisiologicos principales del lechón son:
1. ↓ espesor grasa SC, delgadez del piel, no pelo
2. maduración digestiva
3. desarrollo de su sistema inmunitario
el lechón tiene _____ (mucha/poca) espesor de la grasa subcutánea, no pelo, y piel delgado. por eso, es necesario:
poca
aporte energético (con la leche), y minimizar pérdidas de calor
¿por qué es tan importante minimizar las pérdidas de calor de los lechones? ¿cómo lo hacemos?
porque el lechón tiene poca espesor de la grasa SC, no pelo, piel delgado, y mínimas reservas corporales.
suelo diferenciado, infrarrojos, nidos
¿qué son alimentos extrusionados?
cuando apretamos mucho la nutriente → ↑ presión y temperatura → se expande → lo hace más apetecible.
cuesta mucho. por eso, lo utilizamos solo cuando es necesario.
¿cómo podemos favorecer el consumo de pienso de los lechones?
- utilizar materias primas adecuada
- saborizantes/ aromatizantes
- presentación granulada
para favorecer el consumo de pienso de los lechones, es recomendable darselo de forma:
granulada
(+ saborizantes/ aromatizantes)
¿qué es creep-feeding?
la dieta especializada en parideras (iniciador para los lechones. es un suplemento de pienso + leche
la dieta especializada en parideras (iniciador para los lechones) se llama:
creep feeding
es un suplemento de pienso + leche
¿el consumo de pienso antes del destete tiene influencia sobre cuales índices productivos?
- peso salida maternidad
- GMD
- consumo medio de pienso
(no aumenta el peso al destete)

¿el consumo de pienso antes del destete tiene influencia sobre el peso a la salida de maternidad?
SI

¿el consumo de pienso antes del destete tiene influencia sobre el peso al destete?
NO

¿el consumo de pienso antes del destete tiene influencia sobre el GMD?
SI

¿el consumo de pienso antes del destete tiene influencia sobre el consumo medio de pienso (CMD)?
SI

¿el consumo de pienso antes del destete tiene influencia sobre el índice de conversión?
SI

los lechones tienen una limitada capacidad de ________ de los alimentos.
acidificación.
¿al principio, los lechones no tienen cual enzima?
amilasa
por eso, necesitamos añadirla O mejorar la digestibilidad del alimento, con tratamiento con calor

al inicio, damos alimento compuesto de ___________ a los lechones.
pero al final, cambiamos a __________.
inicio: productos lácticos, proteínas.
final: grasas, almidón, más proteínas.
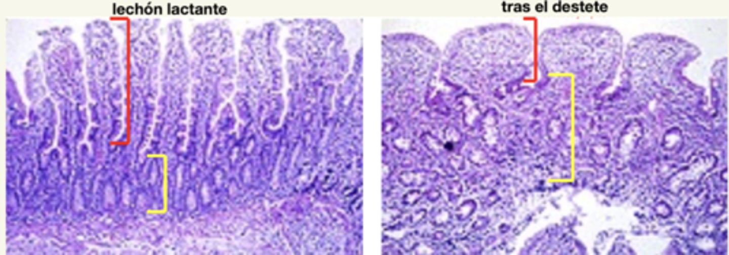
cuando se interrumpe bruscamente la ingesta de leche de los lechones, ¿qué es la consecuencia sobre el tracto digestivo?
- ↓ altura vellosidades
- ↑ profundidad criptas
- ↓ capacidad de absorción porque ↓ actividad enzimática de la lactasa y sucrasa
por tanto, es importante dar productos muy digestivos + pre y probióticos

cuando se interrumpe la ingesta de leche, hay cambios morfológicos y fisiológicos al sistema digestiva del lechón. por tanto, es importante dar:
- productos muy digestibles (ej: harina de pescado)
- pre y probióticos (Lactobacillus, Bifidobacterias)

¿cómo cambia el sistema inmunitario del lechón tras el destete?
desaparece la protección maternal → ↓ concentración de inmunoglobulinas del calostro → desarrollo del propio sistema inmunitario de los lechones
¿cuando es la ventana de oportunidad de inmunoglobulinas?
justo cuando se destete

los objetivos del plan de alimentación de los lechones son:
1. empiece a ingerir al alimento lo antes posible
2. microbiota estable y equilibrada
3. reforzar la función intestinal de la barrera e inmunitaria
¿por qué es importante hacer que los lechones empiecen a ingerir al alimento lo antes posible?
porque tienen ↓ digestión, y hay muchos sustratos no digeridos disponibles para el crecimiento bacteriano.
algunas bacterias oportunistas aprovechan alteraciones de la microbiota y crecen y liberan toxinas que producen desórdenes entéricos (disbiosis)

¿por qué los lechones destetados tienen mayor riesgo de disbiosis intestinal?
algunas bacterias oportunistas aprovechan alteraciones de la microbiota y crecen y liberan toxinas que producen desórdenes entéricos (disbiosis)
verdadero o falso:
la microbiota intestinal de las cerdas se traspasa a los lechones
verdadero:
tiene acción probiótica. por eso, manejando el equilibrio intestinal de la cerda, podemos reducir el riesgo de desórdenes digestivos en el lechón
¿cuál es más digestible para los lechones: leche o pienso?
leche: 100% digestibilidad
- no contiene almidón
- 80% agua
- mucha grasa

¿por qué manejando el equilibrio intestinal de la cerda, podemos reducir el riesgo de desórdenes digestivos en el lechón?
porque la microbiota intestinal de las cerdas se traspasa a los lechones (acción probiótica)
si hay microbiota reducida del intestino del lechón, ¿qué es la consecuencia?
será mucho más probable que los patógenos entran

el función de la barrera del intestino es:
integridad y permeabilidad intestinal, mucus, respuesta inmune local, microbiota
si hay barrera sana → ↓ entrada de patógenos

¿queremos destetar a los lechones lo más pronto o tarde posible?
tarde- para que tengan buen peso y estatus sanitario.
¿qué son los 3 tipos de planes de alimentación para el lechón?
1. 4 piensos: iniciación, fase 1, fase 2, fase 3
2. 3 piensos: fase 1, fase 2, fase 3
3. 3 piensos: iniciación, fase 1+2, fase 3

en el plan de alimentación de 4 piensos, cuales son los 4 fases?
1. iniciación: ↑ nutrientes
2. fase I
3. fase II
4. fase III: ↓ nutrientes

¿queremos dar los lechones más a menos nutrientes en el inicio comparado al final del destete?
inicio

¿qué es la diferencia entre la alimentación del inicio del destete y del final del destete?
inicio: muchas nutrientes (energía digestible, proteína bruta, lactosa), cerelaes tratados con calor.
fase III: menos nutrientes

para el lechón, damos la mayor cantidad de nutrientes (ED, proteína, lactosa, Ca) en el fase ________, porque:
iniciación
el animal come menos

ponemos más cereales tratados con calor en el fase ________, porque:
iniciación
son más palatables y digestibles

¿cales materias primas damos a los lechones?
- cereales tratados con calor
- productos lácteos
- harina de pescado
- soja extrusionada
- azúcares simples
- plasma animal

¿qué es el efecto de extrusionar a las cereales?
mejora la digestibilidad
- salvo en el caso del arroz, se ↓ la digestibilidad

¿cómo podemos darles a los lechones destetados la proteína bruta y aminoácidos ideal?
- buscar el equilibrio entre crecimiento y salud intestinal
- formular con niveles moderados de proteinas de los 10 primeros días postdestete
- cubrir con aminoácidos sintéticos
queremos formular con niveles _______ de proteínas en los 10 primeros días postdestete
moderados
- cubrir con aminoácidos sintéticos para llegar al perfil de proteína ideal
¿es necesario dar la fibra fermentable a los lechones en destete?
SI- para formación de AGV butírico en el colon, láctico en el ileon, y ↓ amoniaco
¿porqué es necesario añadir fibra fermentable al pienso de los lechones destetados?
para formación de AGV butírico en el colon, láctico en el ileon, y ↓ amoniaco
es necesario añadir acidificantes a la dieta de los lechones en destete. ¿por qué?
para reducir el pH a nivel estomacal.
¿cómo podemos reducir el pH al nivel estomacal?
con acidificantes- ácidos orgánicos que ↓ el pH a nivel estomacal.
¿cuales pre/probióticos damos a los lechones?
mananoligosacáridos
fuctologosacáridos
levaduras
bacterias
¿qué son aperitivos?
geles/piensos de consumo muy precoz con aroma y textura que atraen a los lechones
es necesario administrar _______ para 3-4d postdestete
papillas
¿qué tipo de comedero está utilizado para los lechones en destete?
platos o tolvas