1/75
Looks like no tags are added yet.
Name | Mastery | Learn | Test | Matching | Spaced | Call with Kai |
|---|
No analytics yet
Send a link to your students to track their progress

What is this
Dura meter

What plexus is this
Brachial

What is this
Cuada equina

What is this
Corpus callosum

What plexus is this
Sacral plexus

What is this
Hypothalamus
What is this nerve
Radial nerve


What is this canal
Central canal

What is this fissure
Anterior median fissure

What is this
Lateral white column

What is this
Falx cerebri

What is this
Cebrebral aqaduct

What plexus is this
Lumbar plexus

What is this
Ovaries

What nerve is this
Phrenic nerve

What gland is this
Pineal gland

What gland is this
Pituitary gland

What gland is this
Thymus gland

What area is this
Primary visual area

What area is this
Primary motor area

What area is this
Premotor area

What area is this
Primary somatosensory area

What is this
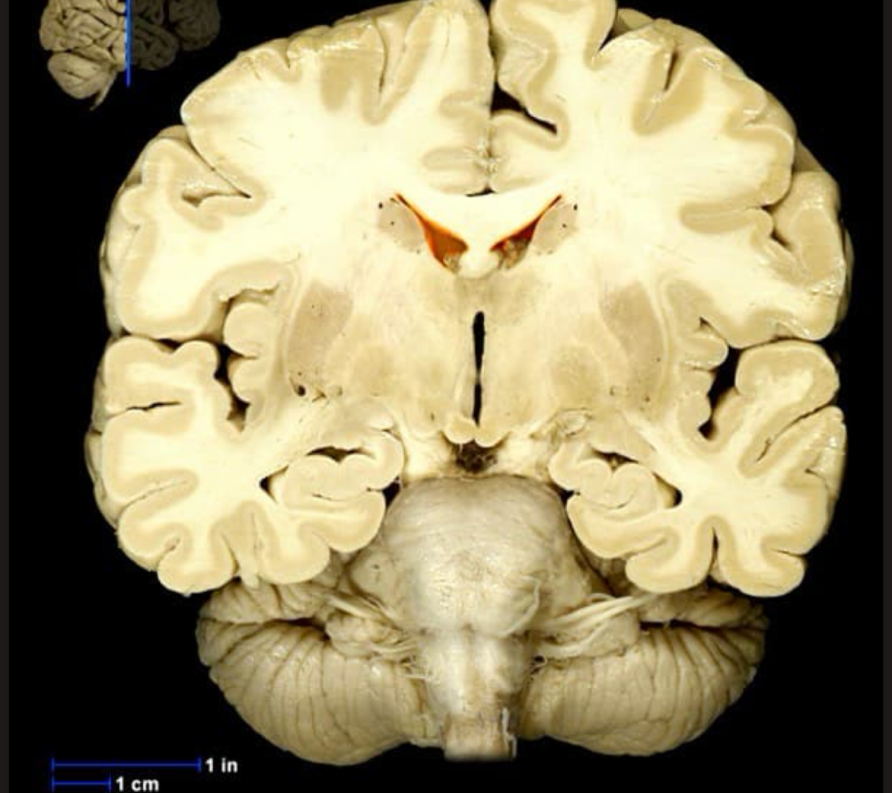
Lateral ventricles

What is this
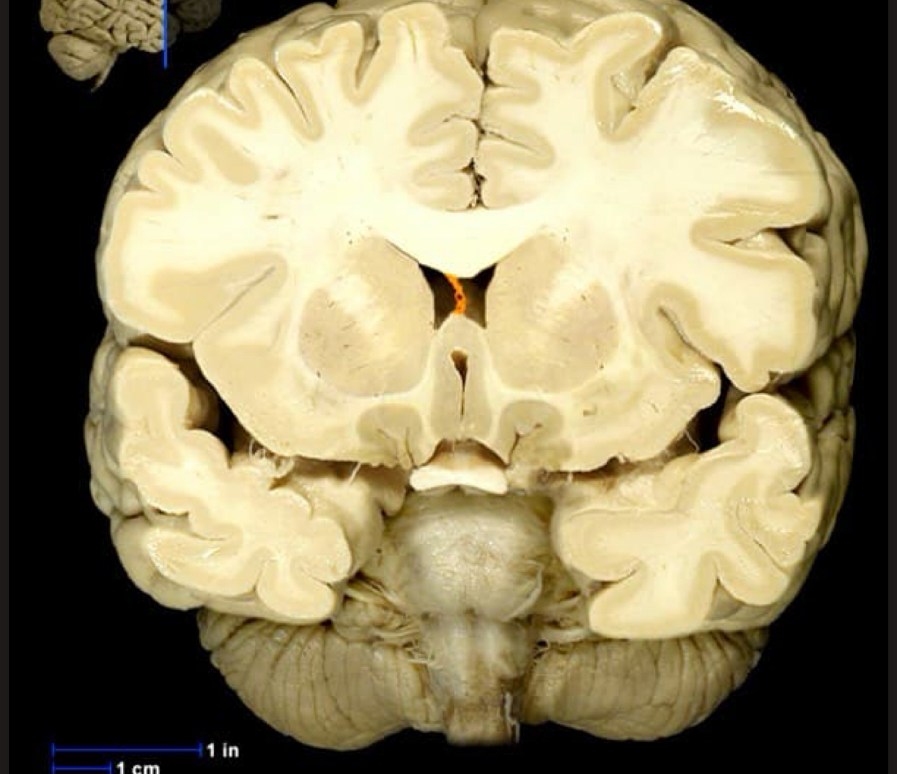
Septum pellucidum

What is this
Longitudal fissue

What is this
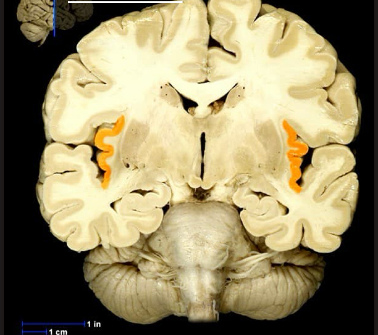
Insular lobe

What is 1 pointing to
Lumbar enlargement

What is 2 pointing at
Parietal lobe

What is 9 pointing at
Longitudinal fissure

What is 8 pointing at
Premotor cortex

What is 7 pointing at
Primary motor cortex

What is 1
Primary somatosensory cortex

What is 6
Auditory association cortex

What is 5
Primary auditory cortex

What sulcus is 2
Lateral sulcus

What sulcus is 1
Central sulcus

What gyrus is 5
Post central gyrus

What is 16
Olfactory bulbs

What is 17
Optic nerves

What is 15
Cerebral peduncles

What is 14
Mammilary bodies

What is 2
Pons

What is 8
Superior colliculi

What is 9
Inferior colliculi

What is 7
Cerebral peduncles

What is 1
Lateral ventricles

What is 5
Fourth ventricle

What is 5
Choriod plexus

What is arrow 1 (top)
Extrensic muscle

What is arrow 2
Sclera

What is the top arrow 1
Choroid

What is the 2nd arrow
Ciliary muscle

What is the 3rd arrow
Iris

what gland is this
Thymus gland



What is this
Femoral nerve

What is this
Pancreas

What is this
Septum pellucidum

What is this
Mammilary bodies

What is this
Thalamus

What is this
Trochealr nerve

What is this
Pupil

What is this
Semicircular canals

What is this
Anterior white column

What is this
Stapes

What is this
Lateral gray horn

What is this
Median nerve

What is this
Intermediate mass

What is this
epithalamus

What is this
Lens

What is this
Vestibule

What is this
Tympanic membrane

What is this
Cillary body

What is this
External auditory canal