1/234
Looks like no tags are added yet.
Name | Mastery | Learn | Test | Matching | Spaced | Call with Kai |
|---|
No analytics yet
Send a link to your students to track their progress
What is a normal value for blood pressure?
120/80 mm Hg

Splenic cords

Red pulp

Capsule

White pulp

Trabecula

peyer's patches

lymph node

thoracic duct

Spleen

germinal center

cisterna chyli

Appendix

medullary cord

Trabecula

Cortex

cisterna chyli

Thymus

Hilus

Tonsils

Right lymphatic duct

Follicle

Capsule
What do we call the interstitial fluid collected from the tissues and returned to the blood vessels?
Lymph
What is the outermost tunic of a cardiovascular vessel called?
tunica externa
What is the circulatory pathway that supplies and drains the lungs?
pulmonary
What type of lymphocytes mediate cellular immunity?
T lymphocytes
What is the circulatory pathway that supplies and drains the entire body?
Systemic
Name one of the three areas of the body where lymph nodes are densely clustered together.
Cervical
What do we call the vessel that collects interstitial fluid from the tissues of the left upper extremity, head, and thorax, and the abdomen and lower extremities, and empties it into the left subclavian vein where it meets the internal jugular vein? (Note: In some individuals, this vessel collects interstitial fluid from the entire body.)
Thoracic duct
At what stage of life does the circulation bypass the lungs?
Fetal stage
What type of lymphocytes mediate humoral immunity?
B lymphocytes
What do we call the blind-ended vessels that collect interstitial fluid from the tissues so that it can be returned to the cardiovascular system?
lymphatic capillaries
What is the general term for the three wall layers of a cardiovascular vessel?
Tunics
Which organ system collects and filters interstitial fluid from the tissues and returns it to the cardiovascular system?
lymphatic system
What is the middle tunic of a cardiovascular vessel called?
tunica media
What is the circulatory pathway that supplies the brain and serves as an anastomosis (confluence of vessels providing alternate pathways in case of obstruction)?
cerebral aterial circle
Where do the stem cells that give rise to lymphcytes originate?
Bone marrow
In which primary lymph organ do T lymphocytes mature?
Thymus
What is the circulatory pathway that drains into the liver from the intestines?
hepatic portal vein
What is the innermost tunic of a cardiovascular vessel called?
tunica intima
What do we call the vessel that collects interstitial fluid from the tissues of the right upper extremity, head, and thorax, and empties it into the right subclavian vein where it meets the internal jugular vein? (Note: this vessel is not present in all individuals.)
right lymphatic duct
What cell type is the primary inhabitant of the medulla of lymph nodes?
Macrophages

Tunica media

External elastic lamina

Subendothelium

Internal elastic lamina

Tunica externa

Endothelium

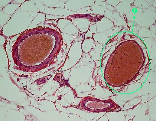
Vein

Artery
Blank
Blank
Blank
Blank

Which of the indicated phases on the diagram corresponds to isovolumetric relaxation of the ventricle?
D

Which of the indicated phases on the diagram corresponds to isovolumetric contraction of the ventricle?
B

Which of the indicated phases on the diagram corresponds to ventricular filling?
A or E

Which of the indicated phases on the diagram corresponds to ventricular ejection?
C

What cardiac cycle volume is indicated on the diagram?
End diastolic volume

What cardiac cycle volume is indicated on the diagram?
End systolic volume

What cardiac cycle volume is indicated on the diagram?
Stroke volume
Blank
blank

Which of the indicated points on the diagram corresponds to the closing of the aortic semilunar valve?
D

Which of the indicated points on the diagram corresponds to the closing of the left atrioventricular valve?
B

Which of the indicated points on the diagram corresponds to the opening of the aortic semilunar valve?
C

Which of the indicated points on the diagram corresponds to the opening of the left atrioventricular valve?
E

Which of the indicated points on the diagram corresponds to the dicrotic notch?
D
Which ventricle has a larger, denser, and more elaborate network of purkinje fibers?
Left
What effect does increased blood volume tend to have on blood pressure?
Increases
What effect does increased vessel diameter tend to have on blood pressure?
Decreases
What is the higher pressure measurement of a blood pressure reading called?
Systolic
What is the device used to measure blood pressure called?
Sphygmomanometer
What are the sounds that indicate the resumption of blood flow into the forearm after the pressure has been eased from a blood pressure cuff?
Sound of korokoff
What effect does decreased blood viscosity tend to have on blood pressure?
Decreases
What effect does decreased blood volume tend to have on blood pressure?
Decreases
What is the lower pressure measurement of a blood pressure reading called?
Diastolic
Do the apical pulse sounds occur at the same time as the radial pulse sounds?
No
Which structure in the intrinsic conduction system of the heart is called the pacemaker?
Sinoatrial node
Which artery did we listen to while we determined blood pressure?
Brachial artery
What effect does increased blood viscosity tend to have on blood pressure?
Increases
What effect does decreased vessel diameter tend to have on blood pressure?
Increases
What cardiac event results in the QRS complex?
Ventricular depolarization
What cardiac event results in the "T" wave?
Ventricular repolarization
What cardiac event results in the "P" wave?
Atrial depolarization
Blank
Blank

Identify the indicated portion of the EKG.
ST segment

Identify the indicated portion of the EKG.
T wave

Identify the indicated portion of the EKG.
Q wave

Identify the indicated portion of the EKG.
S wave

Identify the indicated portion of the EKG.
P wave

Identify the indicated portion of the EKG.
R wave

Identify the indicated portion of the EKG.
QT interval

Identify the indicated portion of the EKG.
QRS complex

PQ interval
A condition of rapid uncoordinated heart contractions is referred to as [x1].
Fibrillation
What arterial structure supplied by the internal carotid arteries and the basilar artery surrounds the pituitary and optic chiasm?
Cerebral arterial circle
A heart rate of over 100 beats/min is referred to as [x1].
Tachycardia
A heart rate below 60 beats/min is referred to as [x1].
Bradycardia

Identify the indicated portion of the intrinsic conduction system of the heart.
Bundle branches

Identify the indicated portion of the intrinsic conduction system of the heart.
atrioventricular node

Identify the indicated portion of the intrinsic conduction system of the heart.
Purkinje fibers