1/28
Looks like no tags are added yet.
Name | Mastery | Learn | Test | Matching | Spaced | Call with Kai |
|---|
No analytics yet
Send a link to your students to track their progress
Statīvā atrodas:
- bakterioloģiskās cilpas (garās)
- stabiņos tādos- baktēriju tīrkultūras
- marķieris - var atzīmēt, ko pētām
- pincete - fiksējam preparātu uz liesmas
- destilētais ūdens ar pipeti (lai pagatavotu iztriepi, bakt. tīrkultūras tiek izšķīdinātas ūdenī)

Krāsvielas:
- metilēnzilais
- kristālvioletais (Gramma krāsošana)
- safranīns (red)
- lugola šķīdums (pie Gramma)
- atšķaidītais spirts - arī pie gramma
Iztriepes gatavošana: (pamatsoļi)
- spirta lampiņa - on
- uz priekšmetstikliņa uzrakstām, kādas bakt. + savs vārds
- uz stikliņa uzpilinām destilēto ūdeni
- ņemam baktēriju tīrkultūru , nevajag ņemt agaru, vajag vnk pieskarties virsmai
- bakterioloģisko cilpu sterilizējam uz uguns
- atveram tīrkultūras barotni, paņemam kultūru
- ar cilpu iemaisam ūdens pilienā uz stikliņa
- sterilizējam cilpu
TAD IR ŽĀVĒŠANA
- sauss preparāts ir gatavs darbam tālāk
FIKSĒŠANA
- paņemam ar pinceti stikliņu
- pie liesmas - dažas reizes pabīdam, līdz stikliņš sasilst
Vienkārša krāsošana - izmantojam vienu krāsvielu, varēsim redzēt baktērijas formu un baktēriju izkārtojumu
- pārklājam iztriepi ar krāsu
- atstājam stikliņu uz dažām minūtēm (5)
- tad noskalojam krāsas pilienu ar ūdeni
- ir iegūts nokrāsots preparāts, sauss
- to var mikroskopēt

Mikroskopēšana
x100 palielinājums.
Piefiksējam priekšmetstikliņu uz galdiņa. Iepilinām 1 pilienu inversijas eļļas. Tā uzlabo attēla kvalitāti, palielina to.
Izmantojam makro un mikro skrūves, atrodam ideālo fokusu. Parasti vajag, lai inversijas eļļa saskaras ar lēcu.
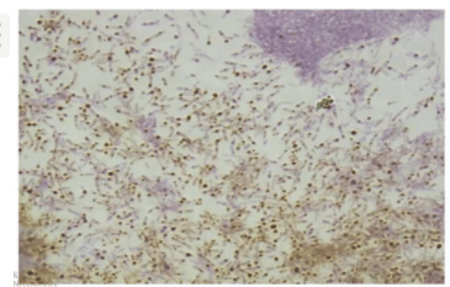
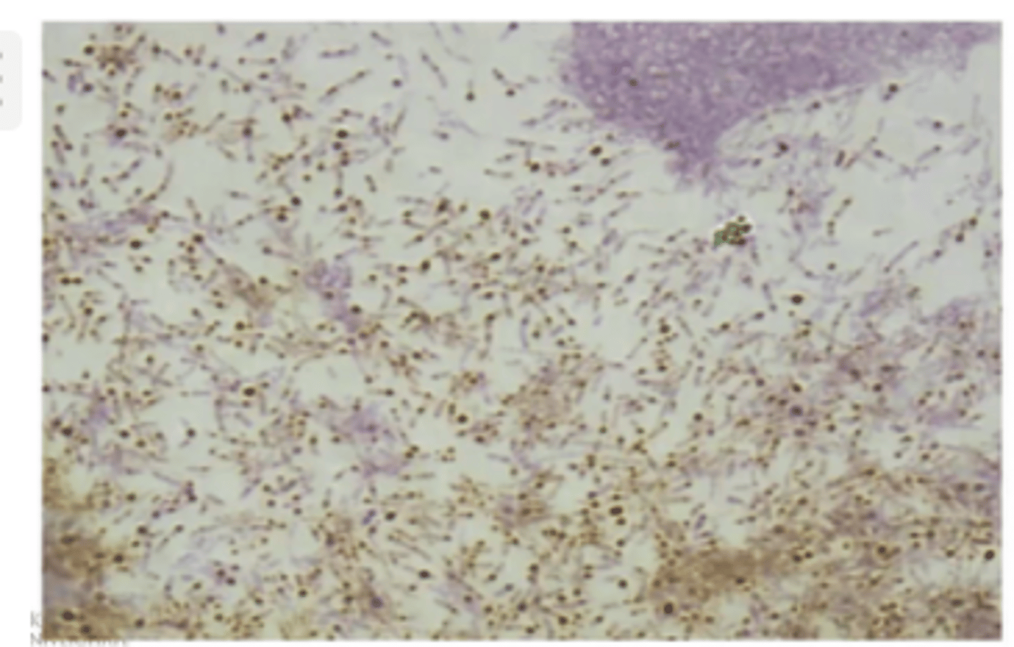
Eschericia coli, tīrkultūra, safranīns
- visas vienādas - tā ir tīrkultūra
- krāsojuma metode - redzam sarkano krāsu, tātad safranīns
Preparāta nosaukums: bakt nosaukums, tīrkultūra/jaukta kultūra, krāsa
4' = minūtes, cik ilgi turēja krāsu

Stafilokoki

NEGATĪVA KRĀSOŠANAS METODE - jēga
- nokrāsojas fons, jo izmanto krāsvielas, kas nevar iekļūt baktērijās
- var secināt tikai par formu
- preparāts netiek fiksēts
- iemaisam baktēriju kultūru pa taisno krāsvielā

NEGATĪVA KRĀSOŠANAS METODE - process
IZMANTOJAM 2 priekšmetstikliņus!
1. Uzpilinam ___ šķidrumu uz priekšmetstikliņa (maliņā, nevis pa centru).
2. Ar bakterioloģisko cilpu, sterilizējam ar ugums liesmu.
3. Paņemam baktēriju kultūru.
4. Iemaisām kultūru krāsvielā (tajā pilienā uz pirmā stikliņa).
5. Sterilizējam cilpu.
6. Ar otro stikliņu šķidrumu dzenam uz priekšu pie nosaukuma, tad atpakaļ pie citas malas.

Sarcina sp.
fons ir tumšs un iekrāsots, bet baktērijas nav iekrāsotas

SALIKTAS KRĀSOŠANAS METODE> GRAMA KRĀSOŠANA - jēga
Ļoti informatīva metode. Iegūstam info ne vien par bakt. formu, bet arī to, vai tā bakt. ir Grama pozitīvā vai negatīvā.
Negatīvie - sarkanie, pozitīvie - violetie.
Ir 4 soļi, izņemot preparāta pagatavošanu krāsošanai.
GRAMA KRĀSOŠANA - process ar jauktu kultūru:

GRAMA KRĀSOŠANA = summary (kas vispār tiek darīts)
1. Karbogēnciānvioletais - viss violets
2. Lugola šķīdums - gram+ ir violetas
3. spirts - gram- kļūst bezkrāsainas
4. safranīns - gram- kļūst sarkanas

Grama krāsošana - piemērs

Cīla-Nēlsena metode - kad tiek izmantota?
- tiek izmantota skābju rezistentām baktēriju krāsošanām (piem., mycobacterium tuberculosis)
- pacienta materiāls - krēpas
Cīla-Nēlsena metode - process
1. Fiksētam preparātam uzliek filtrpapīru, uzlej koncentrētu karbolfuksīna šķīdumu.
2. Karsē virs spirta lampas liesmas, līdz parādās tvaiki.
3. Atkrāso ar 5% sērskābes šķīdumu vai spirta un sālsskābes maisījumu. (atkrāsojas viss, izņemot mycobacterium tuberculosis, jo tā ir skābju rezistenta - ar skābēm to nevar atkrāsot).
4. Metilēnzilo krāso 2 min

Neissera metode - izmantošana
- izmanto difterijas ierosinātājam corynebacterium diphteriae (gram+ nūjiņveida baktērija)
- var redzēt šūnas ieslēgumus - volutīna graudus (tie nav iekrāsoti)
- pacienta materiāls - iztriepe no pseidomembrānas malas (no rīkles nekrotiski audi) - kultivēšana - tīrkultūra, Neissera metode
- izmanto reti
- tiek izmantota vienkāršā metode ar metilēnzilo

Neissera metode - process
Neissera 1 šķīdums - iekrāso baktēriju
Neissera 2 šķīdums - iekrāso volutīna graudus

Ginsa metode
- capsule staining
- baktēriju kapsulu vizualizēšanai (kapsulas nekrāsojas)
- Klebsiella pneumoniae, Streptococus pneumoniae
- pacienta materiāls - krēpas - kultivēšana - tīrkultūra - Ginsa metode

Ginsa metode- process
Negatīvā metode (fons iekrāsojas, bet baktērijas neiekrāsojas) → safranīns

pic - endosporas
endosporas neiekrāsojas

pic - T. orale (treponema orale, ir mutes dobumā, veido zobu aplikumu)

pic - Borrelia recurrentis, pacienta materiāls, Gimza krāsošanas metode

pic - saccharomyces

pic - Raugiem līdzīgās sēnītes - Candida albicans (tumšāka iekšpusīte - tā var atšķirt no saharomicām)

pic - penicilium

pic - aspergillus

pic - Pelējums -Mucor, tīrkultūra, natīvs (nekrāsots)

pic - Aktinomīces (bakt.?)
