1/162
Looks like no tags are added yet.
Name | Mastery | Learn | Test | Matching | Spaced | Call with Kai |
|---|
No analytics yet
Send a link to your students to track their progress
- liquido/ ascitis
- animal joven
¿qué son las causas de pérdida de definición abdominal en una radiografía?
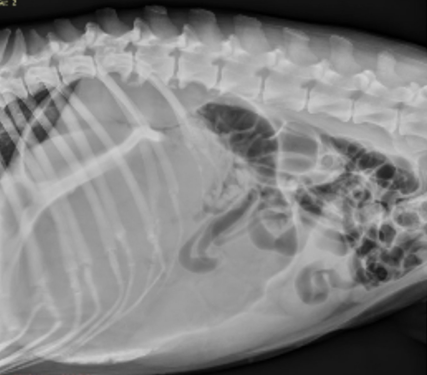
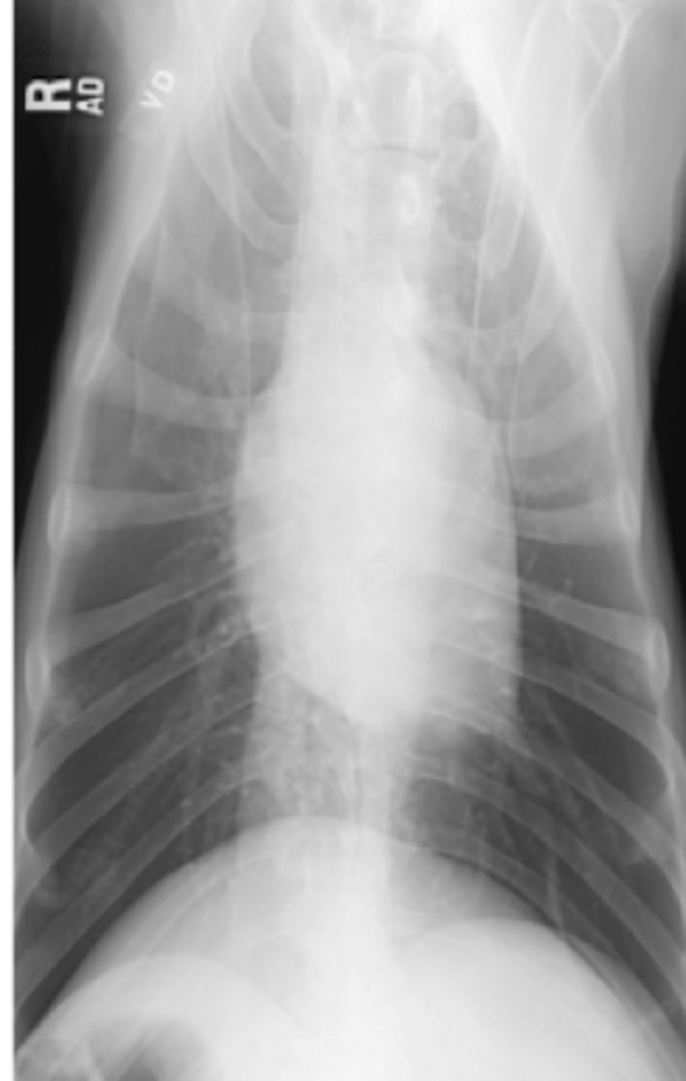
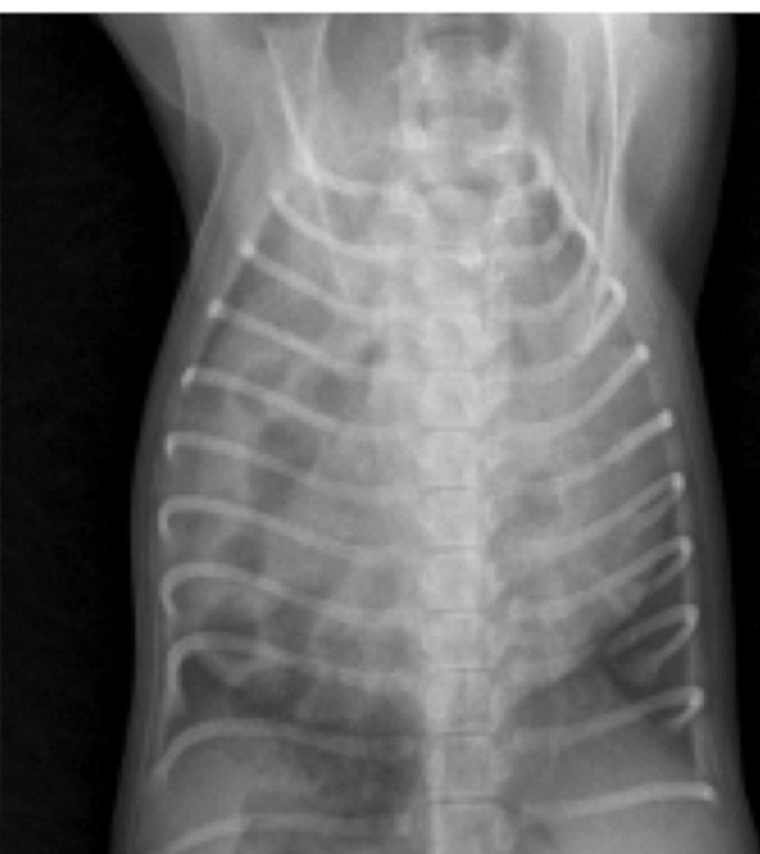
megaesófago
patología:

megaesófago
patología:

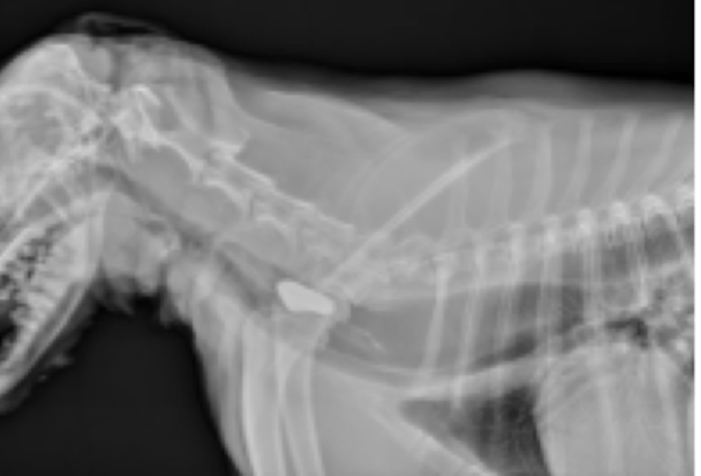
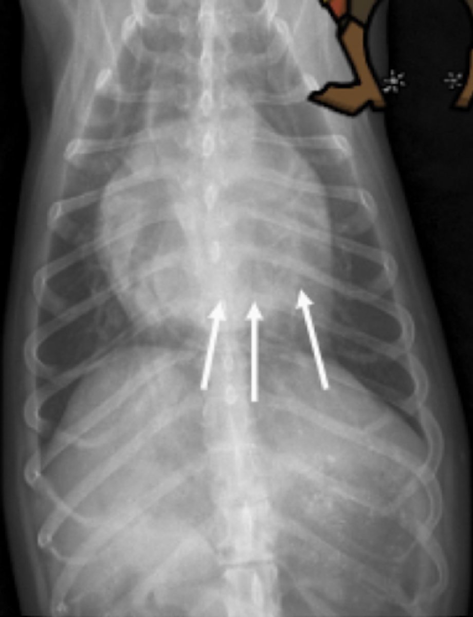
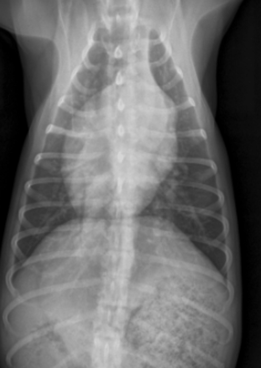
megaesófago, por cuerpo extraño
patología:

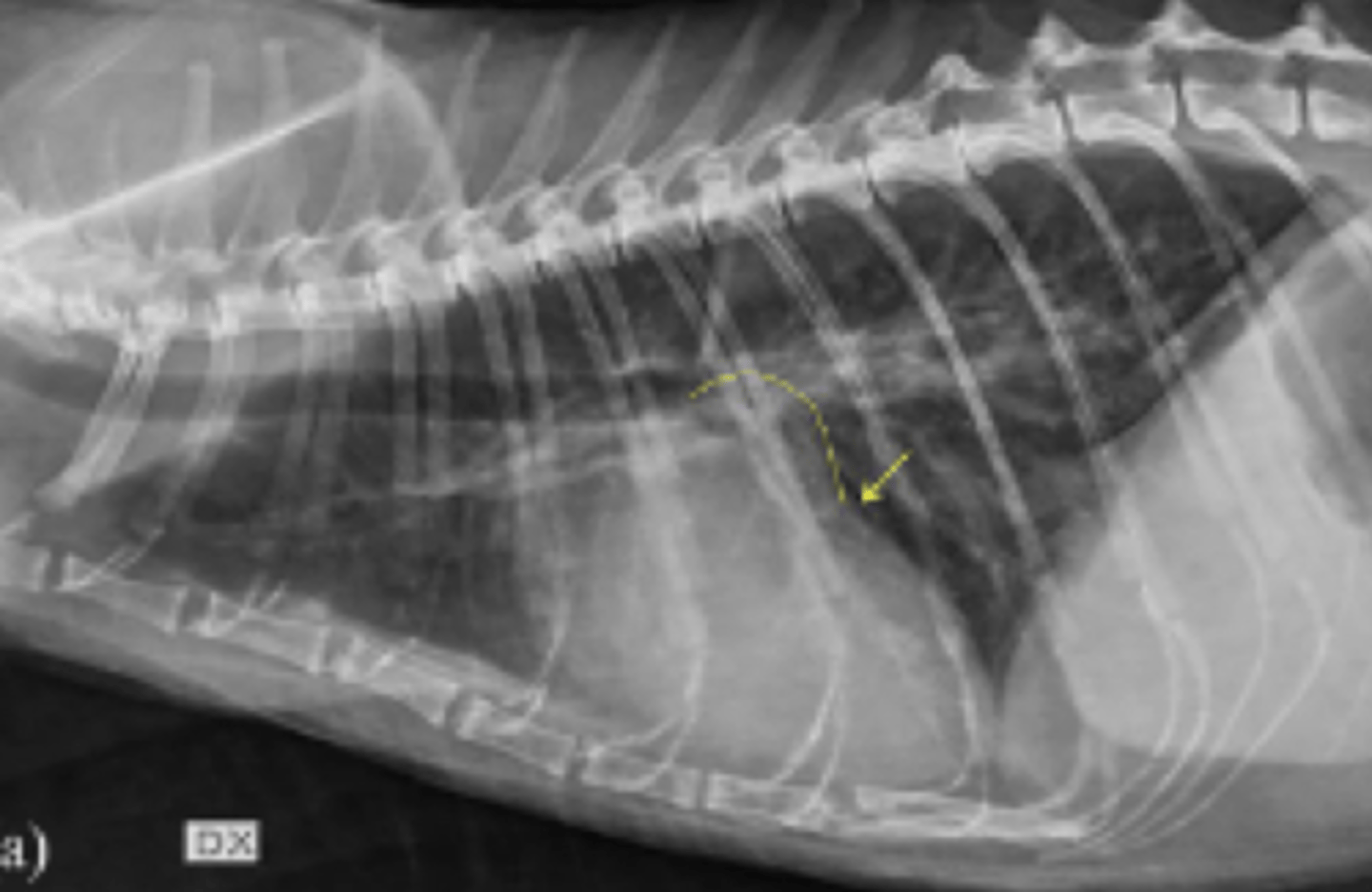
megaesófago
patología:

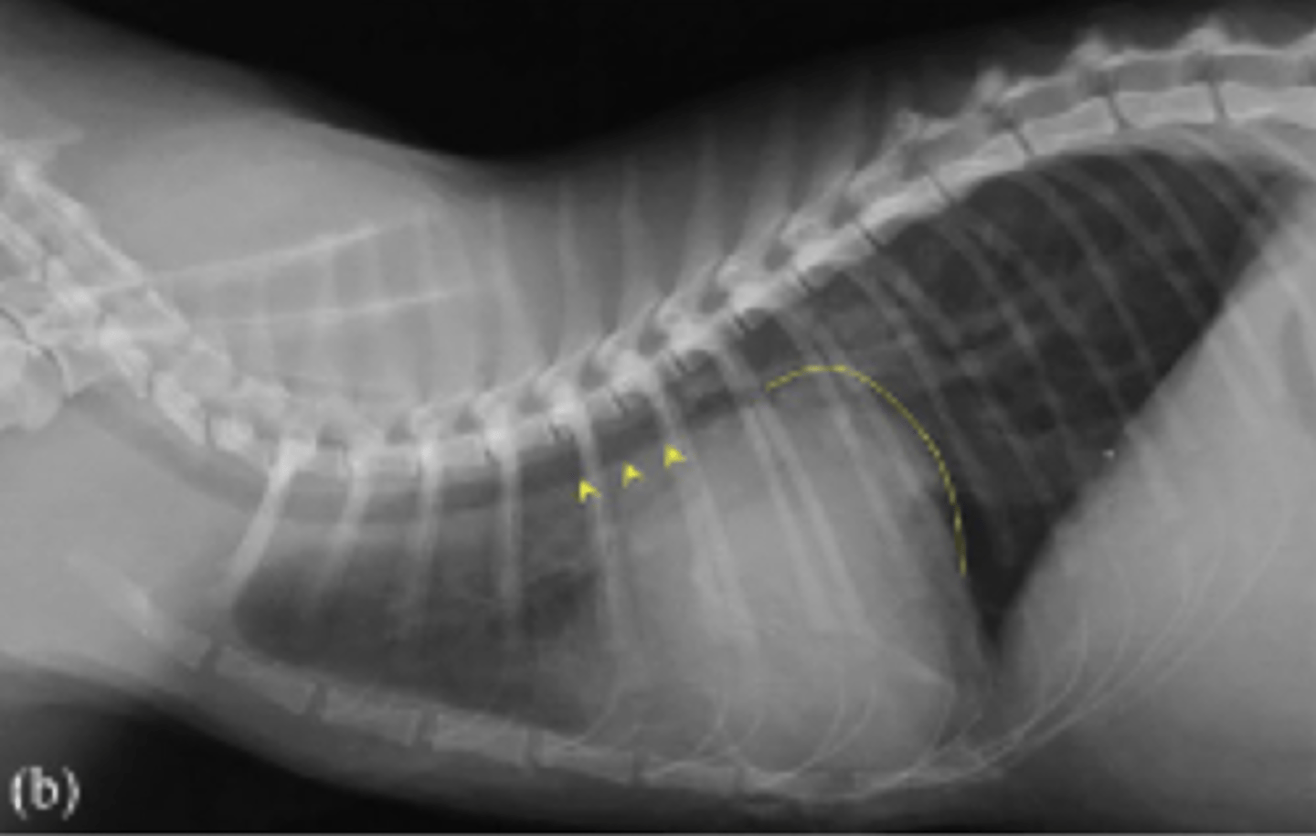
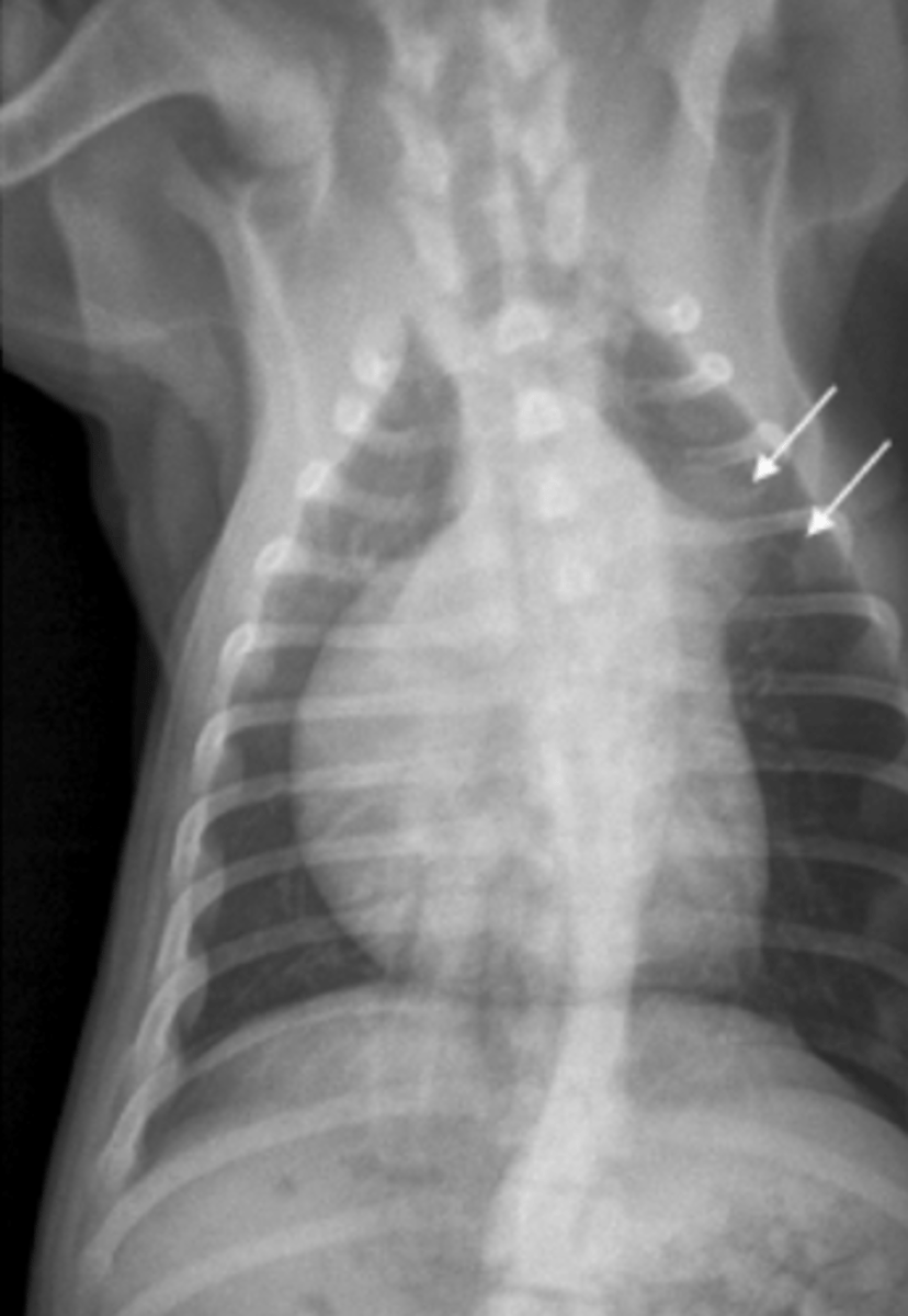
megaesófago, por cuerpo extraño
patología:

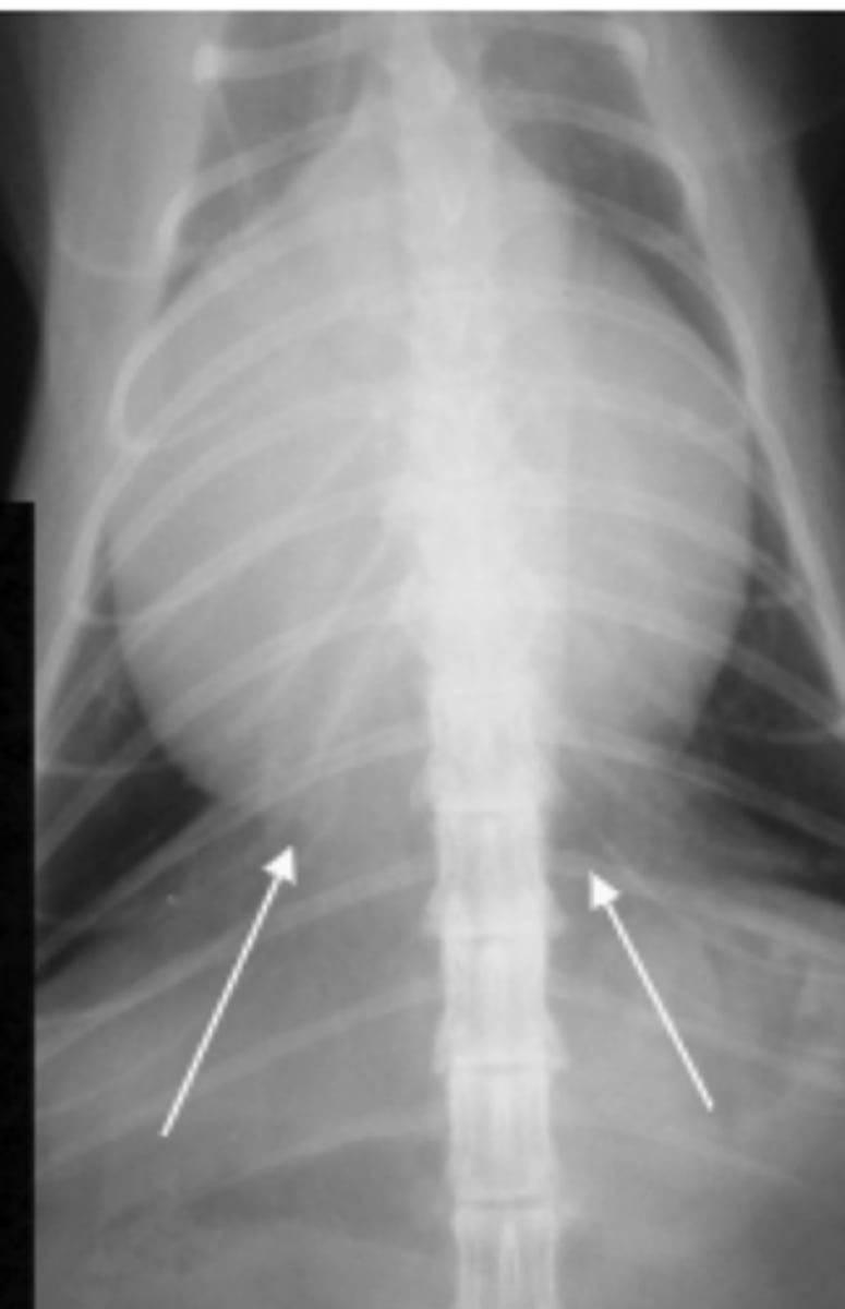
neumonía por aspiración por
megaesófago
patología:

la parenquíma pulmonar, por riesgo de neumonía por aspiración
si vemos megaesófago en una radiografía, es importante evaluar:
radiopaco.
(blanco)
en radiología simple, un cuerpo extraño aparece con radiopacidad:
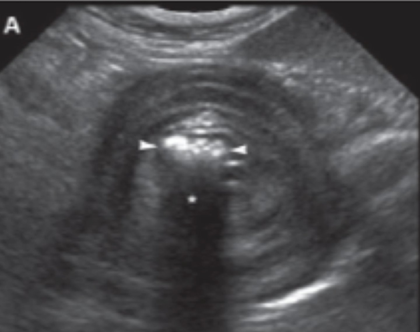
cuerpo extraño en estomago
patología:

cuerpo extraño en estomago
patología:

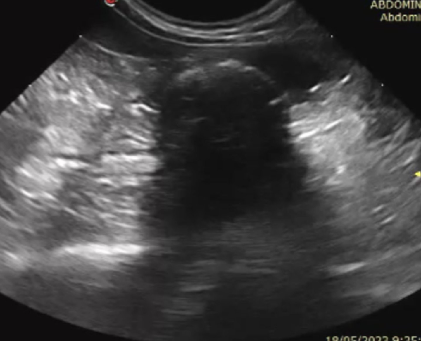
cuerpo extraño en estomago
(objeto hiperecoica + sombra)
patología:

cuerpo extraño en estomago
(objeto hiperecoica + sombra)
patología:

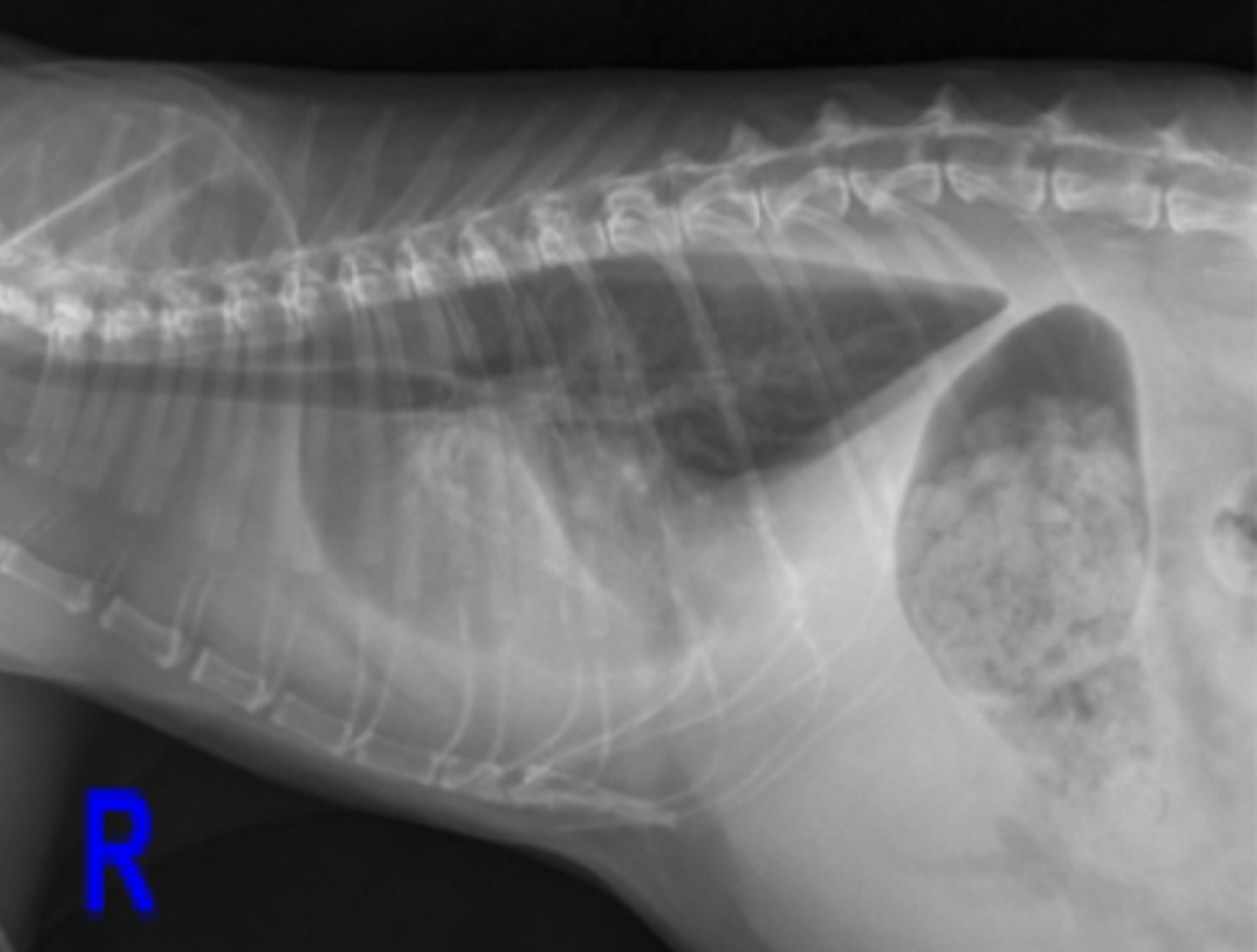
dilatación-torsión gástrica
patología:

dilatación-torsión gástrica
patología:

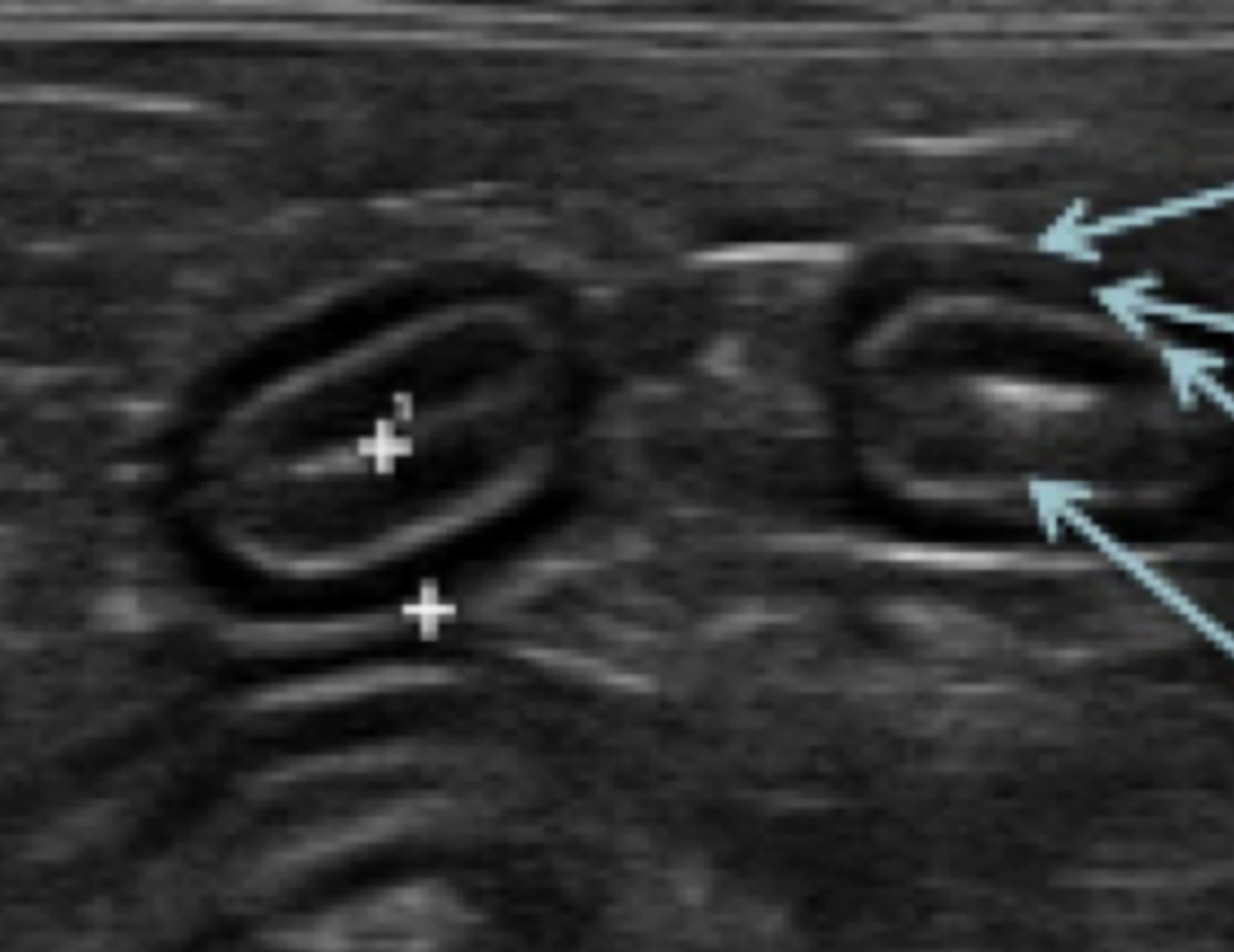
intestino
(corte transversal)
¿qué parte del cuerpo?

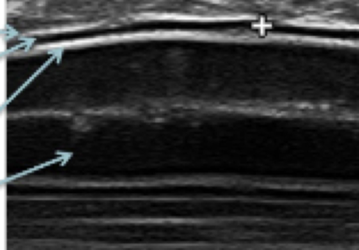
intestino
(corte longitudinal)
¿qué parte del cuerpo?

intususcepción
patología:

intususcepción
patología:

intususcepción
patología:

megacolon
patología:

colelitos
(opacidad mineral, nivel hígado)
patología:

colelitos
(hiperecoico, con sombra)
patología:

barro/ sedimento biliar
(más hiperecoico en la vesicula biliar)
patología:

torsión esplénica
(C invertida)
patología:

masa esplénica
patología:

masa esplénica
patología:

neoplasia (adenocarcinoma) esplénica
patología:

neoplasia (linfoma) esplénica
patología:

mielolipomas en bazo
patología:

mielolipomas en bazo
patología:

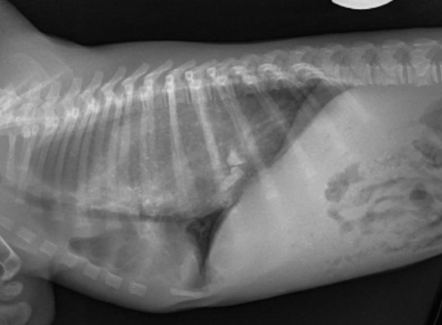
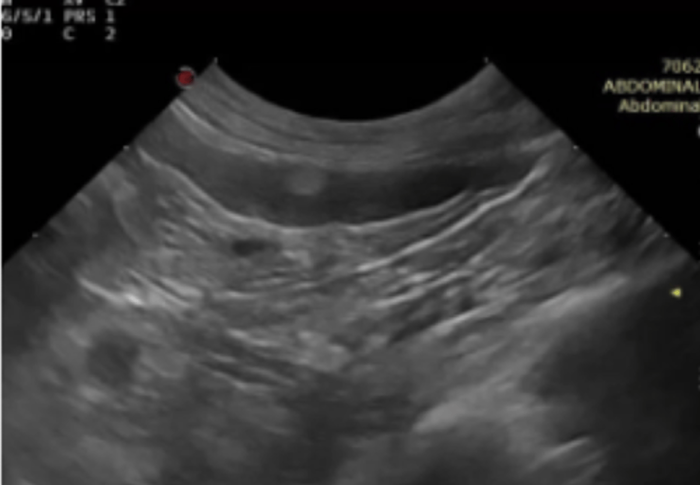
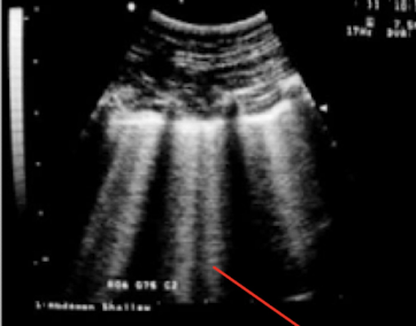
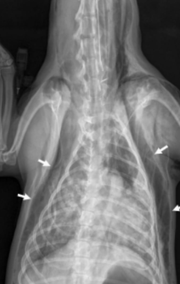
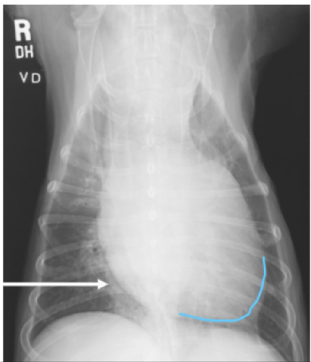
efusión abdominal
patología:

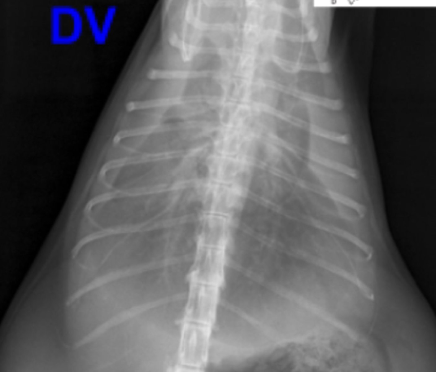
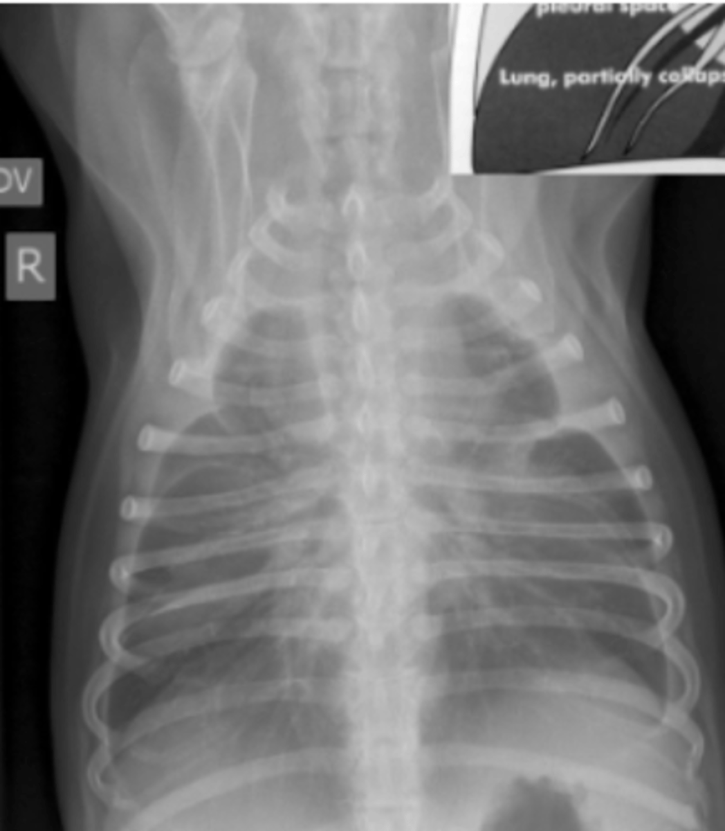
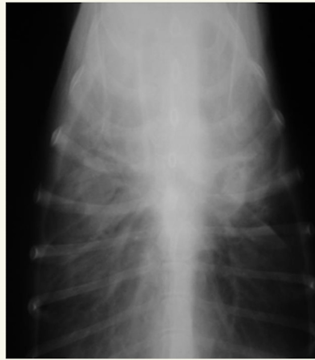
efusión pleural
patología:

efusión abdominal
patología:

efusión pleural
patología:

efusión pleural
patología:

efusión pleural
patología:

efusión pleural
patología:

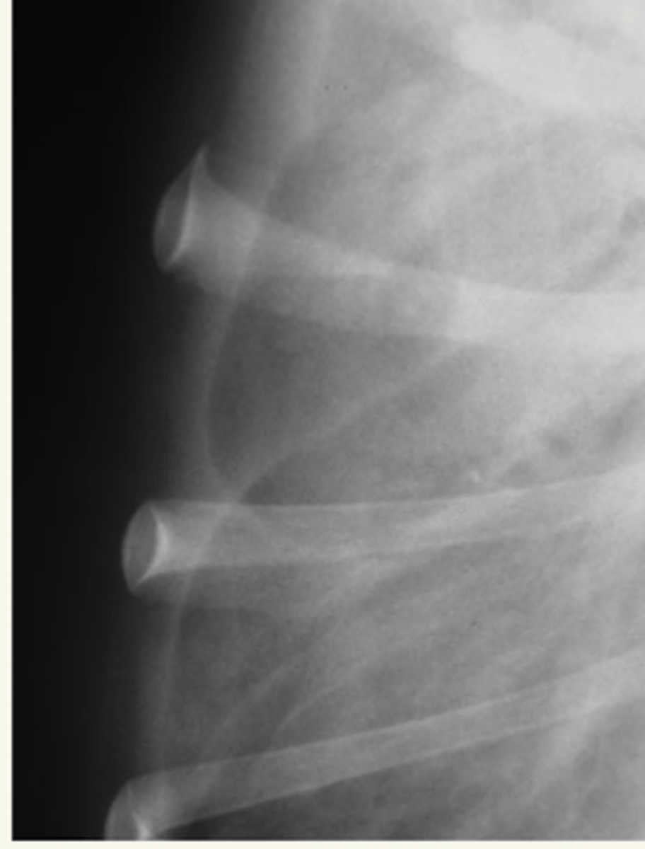
pneumotorax
patología:

pneumotorax
patolgía

efusión pleural
patología:

efusión pleural
patología:

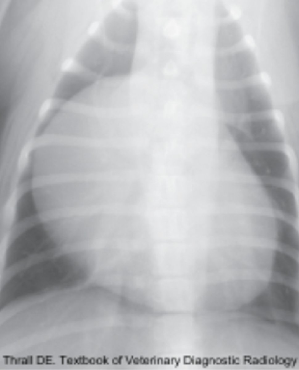
edema pulmonar
patología:

edema pulmonar
patología:

edema pulmonar
patología:

efusión torácica
patología:

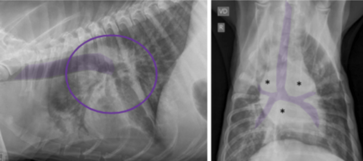
neumomediastino
patología:

neumomediastino
patología:

microcardias
(silueta separado de la diafragma)
patología:

microcardias
(silueta separado de la diafragma)
patología:

microcardias
(silueta separado del esternón)
patología:

microcardias
(silueta separado del esternón)
patología:

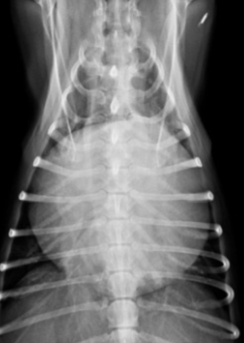
aumento del aurículo izquierdo
patología:

aumento del aurículo izquierdo
patología:

aumento del aurículo izquierdo
patología:

aumento del aurículo izquierdo
patología:

aumento del aurículo izquierdo
patología:

aumento del aurículo izquierdo
patología:

aumento del ventrículo izquierdo
patología:

aumento del ventrículo izquierdo
patología:

aumento del aurículo derecho
patología:

aumento del aurículo derecho
patología:

aumento del ventrículo derecho
patología:

aumento del ventrículo derecho
patología:

aumento del ventrículo derecho
patología:

neoplasia
patología:

cardiomiopatía dilatada
(perros)
patología:

cardiomiopatía hipertrófica
(gatos)
patología:

efusión pericárdica
patología:

efusión pericárdica
patología:

hernia diafragmática peritoneopericardica
patología:

hernia diafragmática peritoneopericardica
patología:

hernia diafragmática peritoneopericardica
patología:

conducto arterioso patente
(cardiomegalia izq, regiones engrosadas- arco aortico, arteria pulmonar, auriculo izq)
patología:

conducto arterioso patente
(cardiomegalia izq, regiones engrosadas- arco aortico, arteria pulmonar, auriculo izq)
patología:

estenosis pulmonar
(cardiomegalia derecha, arteria pulmonar engrosada)
patología:

estenosis pulmonar
(cardiomegalia derecha, arteria pulmonar engrosada)
patología:

estenosis aórtica
(engrosamiento del ventrículo izquierdo, dilatación del arco aórtico)
patología:

estenosis aórtica
(engrosamiento del ventrículo izquierdo, dilatación del arco aórtico)
patología:

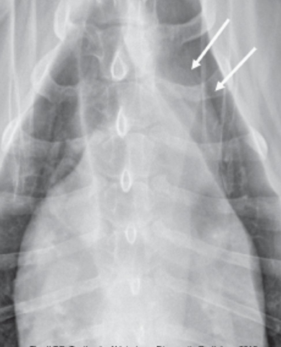
masa mediastínica craneoventral
- desplazamiento cd corazón
- desplazamiento tráquea derecha y dorsal
patología:

masa mediastínica craneodorsal
- desplazamiento ventral y/o derecha de la tráquea y corazón
patología:

masa hiliar/perihiliar
- ↑ densidad perihiliar
- se acentúa la flexión ventral de la tráquea distal
- desplaz. dorsal de la tráquea craneal
patología:

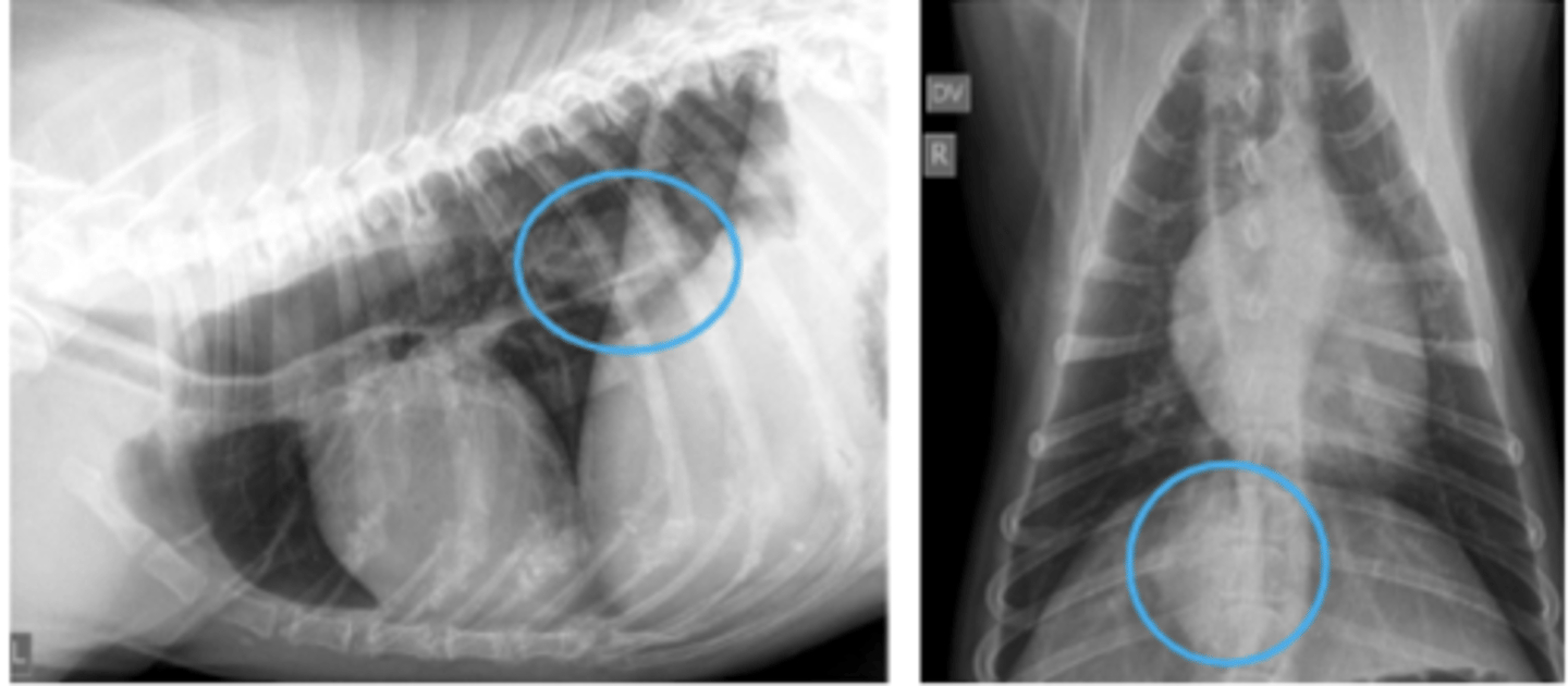
masa mediastínica caudodorsal
- desplaz esofágico/ compresión de su luz
- signo silueta con el diafragma
patología:

masa mediastínica caudoventral
- desplaz y/o compresión de la vena cava craneal
- signo silueta con el borde caudal del corazón y/o diafragma
patología:

eco
RMN
¿cuál técnica de imagen utilizaría para diagnosticar una valvulopatía?
eco
RMN
¿cuál técnica de imagen utilizaría para diagnosticar una miocardiopatía?
eco
TAC
RMN
¿cuál técnica de imagen utilizaría para diagnosticar una enfermedad pericárdico?
RX
TAC
¿cuál técnica de imagen utilizaría para diagnosticar una disnea?
eco
RMN
¿cuál técnica de imagen utilizaría para diagnosticar soplos?
eco?
(normalmente no dx con imagen)
¿cuál técnica de imagen utilizaría para diagnosticar fiebre?
eco
RMN
¿cuál técnica de imagen utilizaría para diagnosticar arritmias?
TAC
RMN
¿cuál técnica de imagen utilizaría para diagnosticar una cardiopatía congénita?
RMN
¿cuál técnica de imagen utilizaría para diagnosticar una isquemia cardiaca?
TAC
¿cuál técnica de imagen utilizaría para diagnosticar enfermedades vasculares?
eco
TAC
RMN
¿cuál técnica de imagen utilizaría para diagnosticar un tumor cardiaco?
TAC
¿cuál técnica de imagen utilizaría para diagnosticar tromboembolismos?
TAC
¿cuál técnica de imagen utilizaría para diagnosticar una enfermedad coronaria?
TAC
¿cuál técnica de imagen utilizaría para diagnosticar una aneurisma?
para identificar un defecto septal
se inyecta solución fisiológico en una cámara, y si inmediatamente va al otra cámara, hay defecto
¿para qué utilizamos contraste en una ecocardiografía?
pulso espectral: registrar la velocidad, dirección, y tipo de flujo sanguíneo
pulso color: información sobre tamaño, forma, y estructura del corazón
¿para qué utilizamos ecocardiografía Doppler?
