1/101
Looks like no tags are added yet.
Name | Mastery | Learn | Test | Matching | Spaced | Call with Kai |
|---|
No analytics yet
Send a link to your students to track their progress

What is this parasite? What characteristic/s did you use to identify it?
Ostertagia/Teladorsagia:
7-10 mm, slender white worms

What is this parasite? What characteristic/s did you use to identify it?
Ostertagia/Teladorsagia:
Fine cervical papillae and small buccal cavity

What is this parasite? What characteristic/s did you use to identify it?
Male Ostertagia/Teladorsagia:
Arrow pointing at bursa of males, slender white worm.

What is this parasite? What characteristic/s did you use to identify it?
Trichostrongylus spp. (e.g. axei):
Excretory notch

What is this parasite? What characteristic/s did you use to identify it?
Haemonchus contortus:
Entwined ovaries and guts (hence the barbers pole worm colloquial name)

What is this parasite? What characteristic/s did you use to identify it?
Haemonchus contortus:
Prominent cervical papillae

List the 3 worms and their relative sizes - they are GI nematodes of cattle
1 = Trichostrongylus axei (5-7 mm)
2 = Ostertagia ostertagi (1cm)
3 = Haemonchus contortus (3 cm)

What is this parasite? What characteristic/s did you use to identify it?
Male Haemonchus contortus:
Bursa (top) and spicules (bottom)

What is this parasite? What characteristic/s did you use to identify it?
Haemonchus contortus:
Asymmetrical dorsal lobe

What is this parasite? What characteristic/s did you use to identify it?
Cooperia spp.:
Coiled like a watch spring

What is this parasite? What characteristic/s did you use to identify it?
Cooperia spp.:
Collar-like cervical vesicle

What is this parasite? What characteristic/s did you use to identify it?
Chabertia spp.:
Bell-shaped buccal capsule

What is this parasite? What characteristic/s did you use to identify it?
Oesophagostomum spp.:
Characteristic cephalic and cervical vesicle

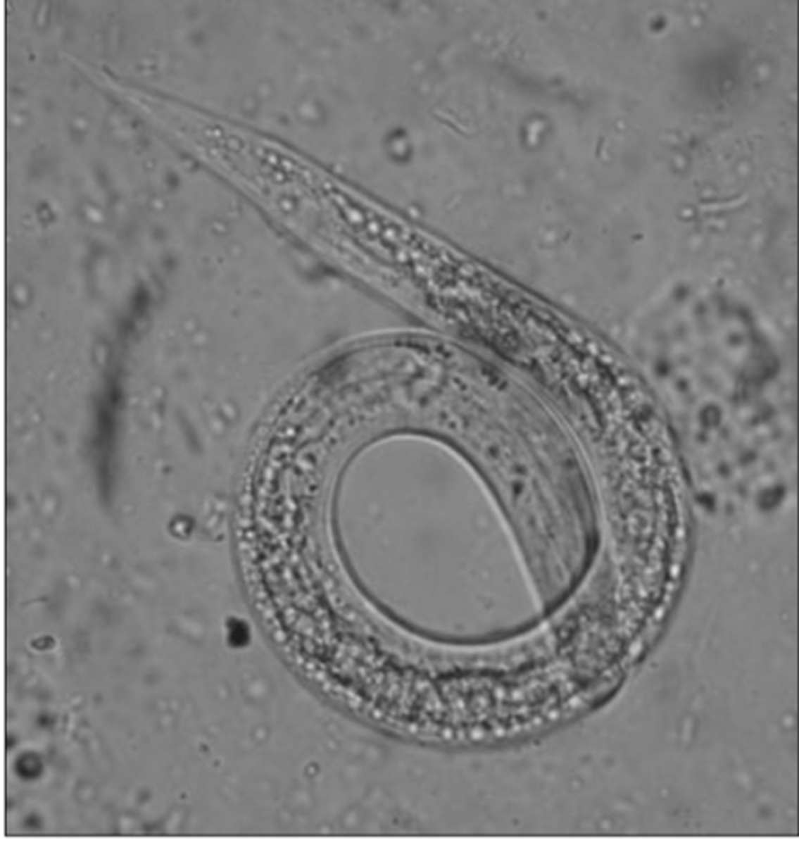
What egg does this parasite belong to? It was measured to be 90 microns
Typical Trichostrongyle egg which is undeveloped (Ostertagia/Teladorsagia, Trichostrongylus, Haemonchus, Cooperia, Chabertia and Oesophagostomum)

What egg does this parasite belong to? It was measured to be 90 microns
Typical Trichostrongyle egg which is developed (Ostertagia/Teladorsagia, Trichostrongylus, Haemonchus, Cooperia, Chabertia and Oesophagostomum)

What is this parasite? What characteristic/s did you use to identify it?
Nematodirus spp.:
Cotton-wool like appearance of worms

What is this parasite? What characteristic/s did you use to identify it?
Nematodirus spp.:
Characteristic bubble-like cephalic vesicle

What is this parasite? What characteristic/s did you use to identify it?
Male Nematodirus spp.:
Long and thin spicules

What egg does this parasite belong to? What characteristic/s did you use to identify it?
Nematodirus battus:
Appears more brown thicker capsule

What egg does this parasite belong to? What characteristic/s did you use to identify it?
Nematodirus filicolis:
Barely brown with thin capsule and nodular larvae

What is this parasite? What characteristic/s did you use to identify it?
L1 of Dictyocaulus viviparus:
Food granules within

What is this parasite? What characteristic/s did you use to identify it?
Dictyocaulus viviparus:
Cephalic button

What is this parasite? What characteristic/s did you use to identify it?
Uncinaria stenocephala (Hookworm):
Cutting plates at margin of buccal cavity

What is this parasite? What characteristic/s did you use to identify it?
Ancylostoma caninum:
Buccal cutting plates adhered to mucosa of SI

What egg does this parasite belong to?
Uncinaria spp.

What is this parasite? What characteristic/s did you use to identify it?
Syngamus trachea:
Characteristic Y-shape of male and female copulating

What egg does this parasite belong to? What characteristic/s did you use to identify it?
Syngamus trachea:
Small operculum at both ends

What is this parasite? What characteristic/s did you use to identify it? (scale in mm)
Cyathostomins:
Male and females less than 1.5 cm

What is this parasite? What characteristic/s did you use to identify it? (LI mucosa)
Cyathostomins:
DL4 stage forming multifocal black dots in mucosa

What is this parasite? What characteristic/s did you use to identify it?
Cyathostomins:
DL4 stage forming infinity symbol as its wrapped around itself

What egg does this parasite belong to? The egg is 80-100 microns
Cyathostomins

What is this parasite? What characteristic/s did you use to identify it?
Cyathostomins:
Half-moon shape of EL3

What is this parasite? What characteristic/s did you use to identify it? (equine)
Strongylus vulgaris:
Has two round teeth

What is this parasite? What characteristic/s did you use to identify it? (equine)
Strongylus edantus:
No teeth but dorsal gutter (arrow)

What is this parasite? What characteristic/s did you use to identify it? (equine)
Strongylus equinus:
3 teeth with 1 bifid

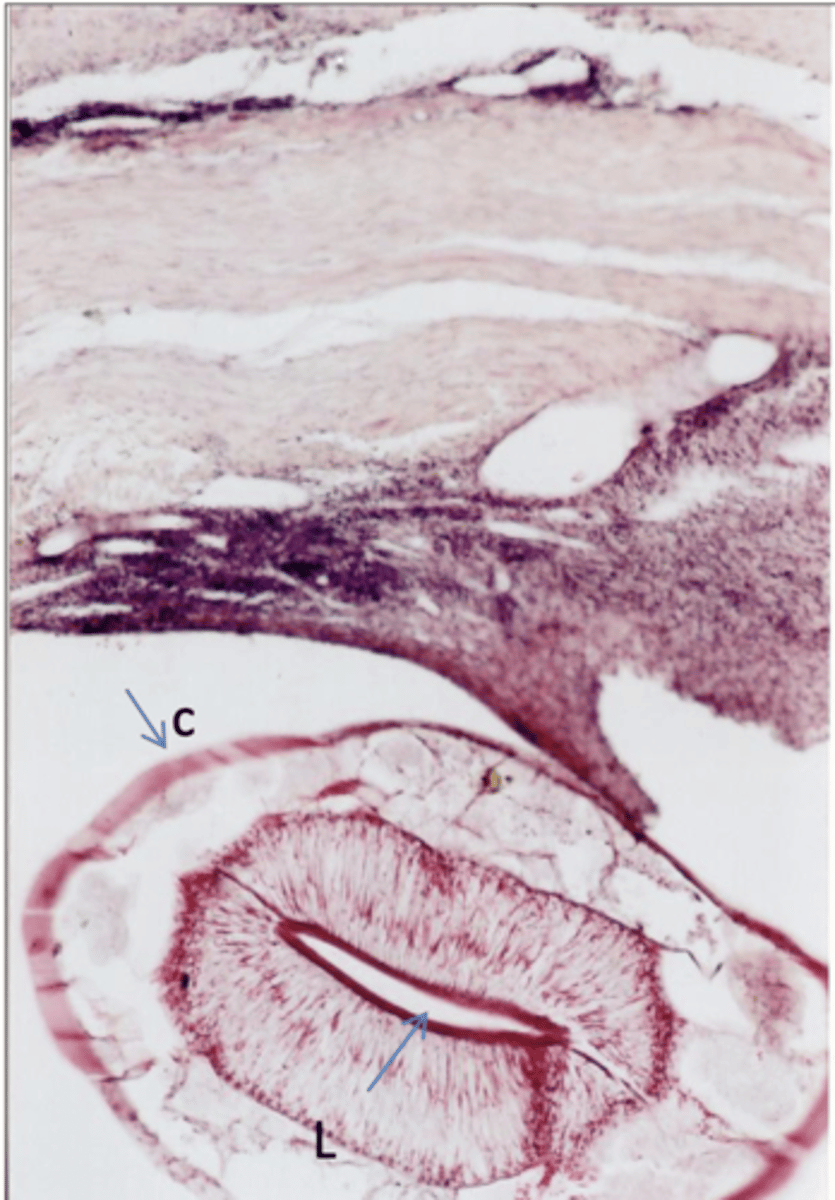
What is this parasite? What characteristic/s did you use to identify it? (within mesenteric artery)
Strongylus vulgaris:
Cross section - can view cuticle and gut lumen

What egg does this parasite belong to? From tape impression of perianal hairs
Oxyuris equi

What egg does this parasite belong to? From tape impression of perianal hairs
Oxyuris equi

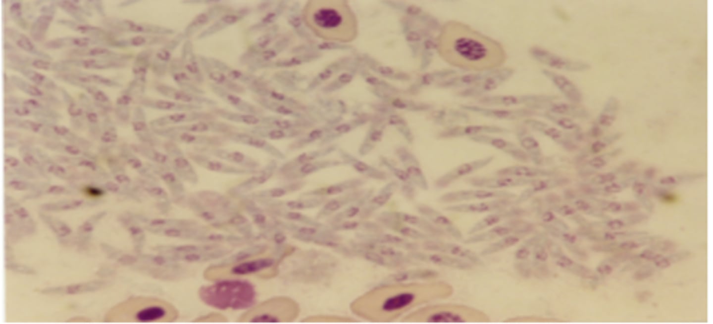
Slide from a dead chicken - What parasite and life stage is this?
Eimeria spp. - Merozoites (banana-shaped, central red nuclei)

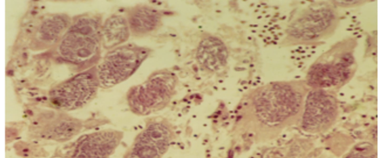
Slide from a dead chicken - What parasite and life stage is this?
Eimeria spp. - Microgametocyte (see many small microgamonts within cell)

Slide from a dead chicken - What parasite and life stage is this?
Eimeria spp. - Schizonts (many merozoites within them)

Slide from a dead chicken - What parasite and life stage is this?
Eimeria spp. - Macrogametocyte (see wall forming bodies)

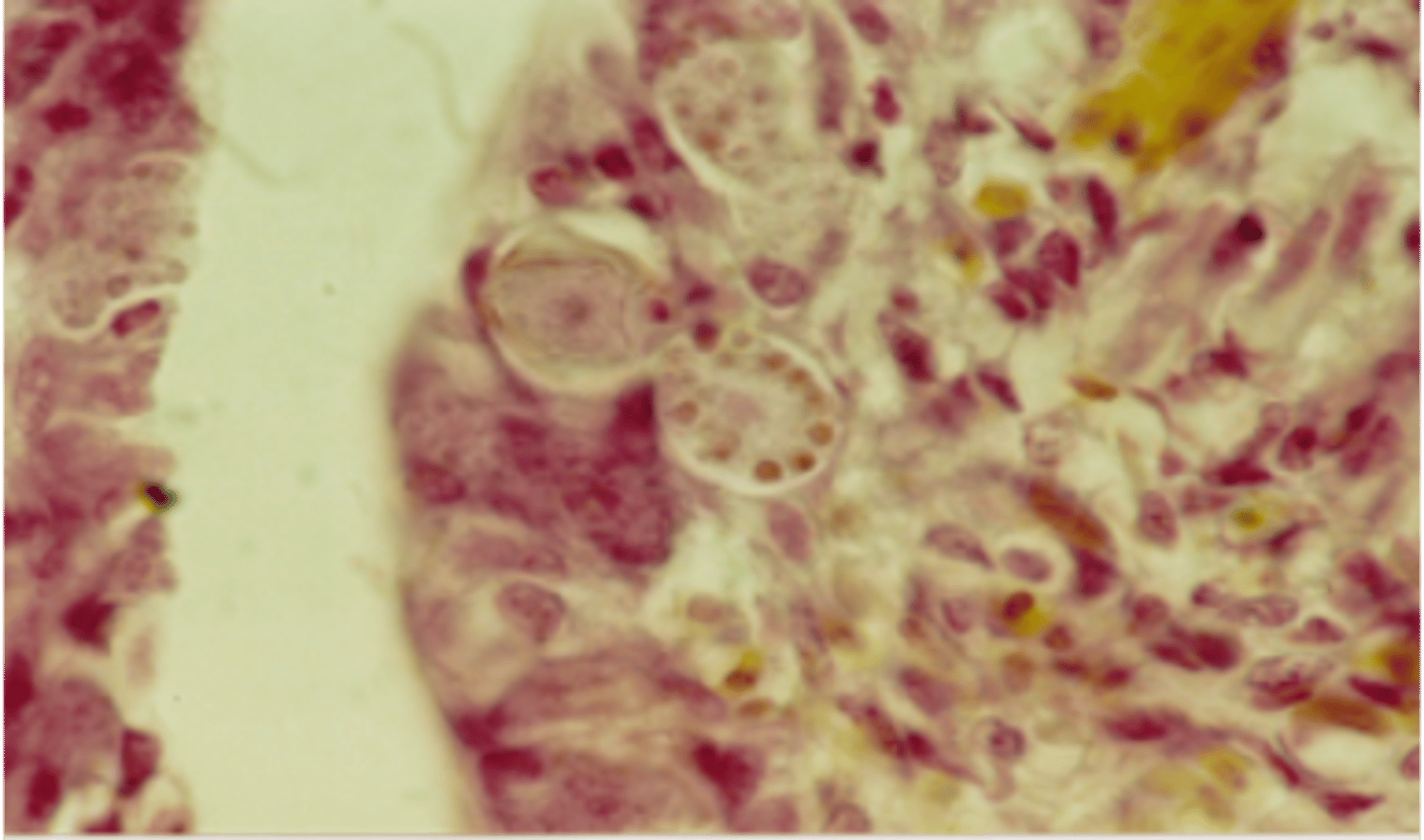
Slide from a dead chicken - What parasite and life stage is this?
Eimeria spp. - Sporulated oocyst (20 microns).

Found in a dog with persistent coughing and poor weight gain. What parasite is this?
Toxocara canis

Found in a kitten with poor weight gain without diarrhoea. What parasite is this?
Toxocara cati - Arrow shaped alae

Found in a puppy with pot belly. What parasite species does this egg belong to?
Toxocara spp. (canis)

Found in a puppy with pot belly. What parasite is this?
Toxocara canis - Cervical alae

Found in a cattery/kennels with dogs who are coughing and poor weight gain. What parasite species does this egg belong to?
Toxascaris leonina

Found in pigs in dirty environment who are failing to gain weight. What parasite is this?
Ascaris suum

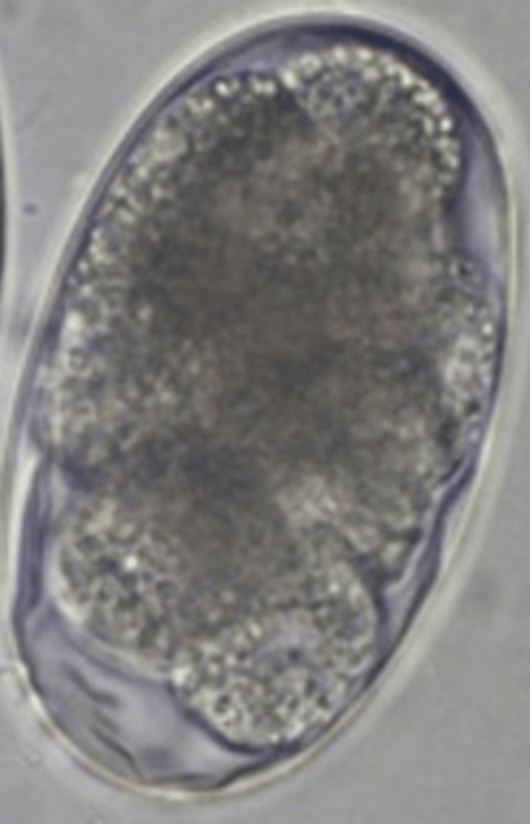
Found in pigs which are persistently coughing and have visible worm blockages in the small intestine on ultrasound. What parasite species does this egg belong to?
Ascaris suum - 65 microns and mammillated egg surface.

Found in a horse and caused impaction colic leading to death. What parasite is this?
Parascaris equorum

Found in horses which are showing pneumonia-like symptoms and are poorly gaining weight. What parasite species does this egg belong to?
Parascaris equorum

Found in turkey poults diagnosed with black head. What parasite species is this?
Heterakis gallinarum (1.5 cm)

Found in chickens in poor conditions and have a poor FCR. What parasite species does this egg belong to?
Ascaridia galli or Heterakis gallinarum

Found in outdoor-reared pigs presenting with cough. What parasite is this?
Metastrongylus apri - L1 with knob on tail.

Found in dog with severe pulmonary hypertension. What parasite is this?
Angiostrongylus vasorum - L1 with spine and notched tail.

Found in dog pup presenting with cough and dyspnoea with bitch presenting similarly. What parasite is this?
Oslerus olseri - Coiled L1.

Found in sheep and cattle with severe dyspnoea and white frothy mucous. What parasite is this?
Dictyocaulus viviparus - Cephalic button of L1.

Found in cat showing mild dyspnoea. What parasite is this?
Aeulurostrongylus abstrusus - L1 with S-shaped tail.

Found in outdoor-reared chicken showing dyspnoea and weight loss. What parasite species is this?
Syngamus trachea - Male and Female adult forming Y shape in-copulo.

Found in outdoor-reared chicken showing severe dyspnoea and poor FCR. What parasite species dies this egg belong to?
Syngamus trachea - Operculum at both ends.

Found in cow with severe cough and dyspnoea. What parasite is this?
Dictyocaulus viviparus - L1 with refractive food granules.

Found incidentally in the lungs of a sheep who died of hepatic failure causes. What parasite is this?
Muellerius capillaris - Incidental finding in lungs of sheep.

Found in a pig with poor weight gain. What is this parasite?
Taenia solium

Found in sheep with anal pruritus. What parasite is this?
Taenia spp. or Echinococcus spp.

Found in a lamb with fatal hepatitis. What parasite is this?
Echinococcus granulosus or Taenia hydatigena

Found in a farm dog with poor weight gain. What parasite is this?
Echinococcus granulosus

Found in a dog infested with mites. What parasite species is this?
Diphylidium caninum

Found in a horse who died due to SI rupture. What parasite is this?
Anoplocephala perfioliata

Found in a horse with spasmodic colic which lead to intussusception of the ileum. What parasite does this egg belong to?
Anoplocephal perfoliata - Y shape within and irregularly shaped.

Found incidentally in a sheep PM. What parasite is this?
Moniezia spp.

Found in a ewe with hepatopathy. What parasite is this?
Taenia hydatigena - Thin necked bladder worm

Found in a ewe showing CNS signs such as head pressing. What parasite is this?
Taenia multiceps - Jellyfish like

Peritoneum of a rabbit. What parasite species is this?
Taenia pisiformis

Found in subcutaneous tissue of a rabbit. What parasite species is this?
Taenia serialis

Found in a wild cat. What parasite species is this?
Taenia taeniaformis - Bell shaped proglottid

Found in a dog with poor weight gain. What parasite species is this?
Diphylidium caninum

Isolated from the faeces of a puppy with diarrhoea. Owner also reports diarrhoea in the household. What parasite is this?
Giardia spp. - Cyst (2 trophozoites within; 4 nuclei)

Isolated from a kitten with diarrhoea. What parasite is this?
Giardia spp. - Trophozoite with 4 flagella, binucleate

Isolated in a dog with low albumen content and anaemia. What parasite is this?
Uncinaria stenophala - Buccal capsule with cutting plates.

Isolated in a dog with severe anaemia and weight loss. What parasite is this?
Ancylostoma caninum - buccal capsule with teeth.

Dog with weight loss, diarrhoea and anaemia. What parasite species does this egg belong to?
Ancylostoma caninum

Dog with weight loss and anaemia. What parasite species does this egg belong to?
Uncinaria stenocephala

Found in a dog with right sided congestive heart failure. What parasite is this?
Dirofilaria immitis

Found on a chicken with intense scaling and crusting. What parasite is this?
Knemidocoptes spp. - 4 legged, rounded shape.

Found on a chicken with severe anaemia and papules which are intensely pruritic. What parasite is this?
Dermanyssus gallinae - D-shaped anal plate, 4 pairs of legs.

Found on a chicken with severe anaemia causing death. What parasite species is this?
Ornithonyssus sylviarum - Pear shaped anal plate.

Which image (left or right) displays the correct conformation of Eimeria spp. oocysts?
Left. (right is Isospora spp.)

What Babesia spp. is this? How do you know?
Babesia canis - large merozoite stage

What parasite is vectored by this species?
Leishmania infantum

These were found in a dog with severe emaciation and alopecia who had travelled to France within the last 6 months. What parasite is this?
Leishmania infantum - Promastigote stage (flagellated)

These abnormalities are present within the macrophages of a fox from Greece. What parasite is this?
Leishmania infantum - Amastigote stage (no flagella)

Found in a piglet which died due to emaciation and diarrhoea. What parasite is this?
Strongyloides ransomi

Found in the environment with piglets showing diarrhoea and weight loss. What parasite species does this egg belong to?
Strongyloides ransomi - thin egg membrane

Found in a pig with severe bloody diarrhoea and anaemia. What parasite species does this egg belong to?
Trichuris suis (whipworm)

Found in a sow whose farmer had severe gastritis. What parasite is this?
Trichuris suis - encysted L1 within muscle.

Found in the tongue muscle of a boar. What parasite is this?
Trichuris suis

Found in a pig whose owner had intestinal disease. What parasite is this?
Balantidium coli

Found in a piglet with intense pruritus and poor growth rates. What parasite is this?
Haematopinus suis

Found in a chicken crop with inappetence and decreased egg production. What parasite is this?
Capillaria spp.