1/64
Looks like no tags are added yet.
Name | Mastery | Learn | Test | Matching | Spaced | Call with Kai |
|---|
No analytics yet
Send a link to your students to track their progress

RBC and WBC
RBC: glomerulonephritis, pyelonephritis, trauma, menstruation
WBC: glomerulonephritis, pyelonephritis, cystitis, urethritis

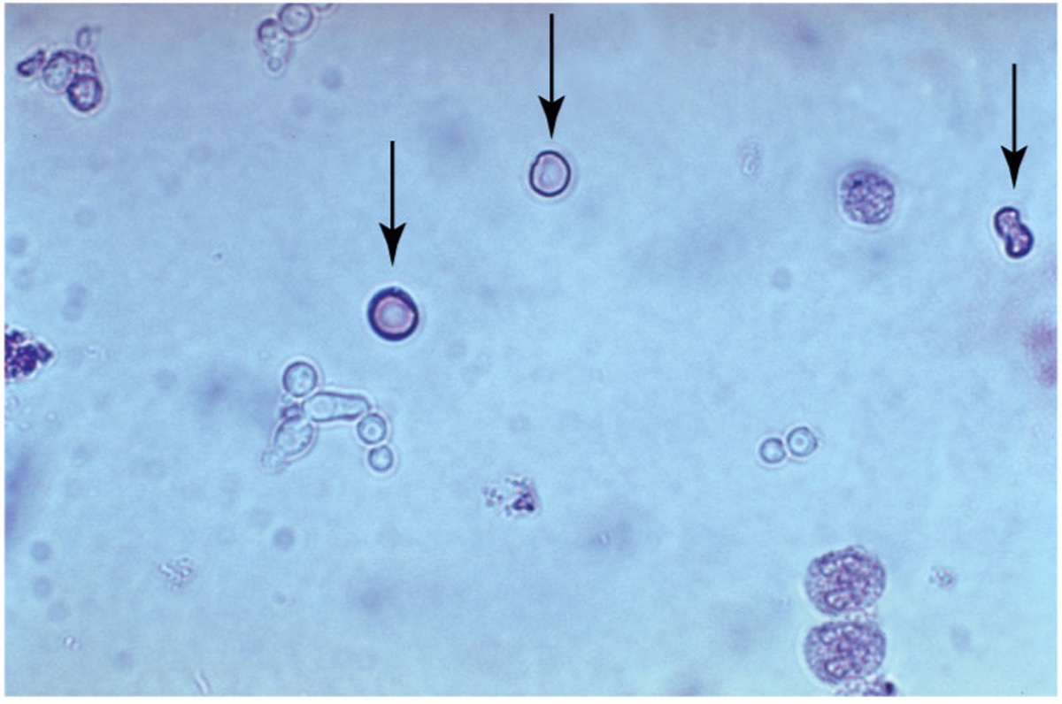
RBC, WBC, and yeast
Yeast infection
RBC: glomerulonephritis, pyelonephritis, trauma, menstruation
WBC: glomerulonephritis, pyelonephritis, cystitis, urethritis

RBC: glomerulonephritis, pyelonephritis, trauma, menstruation

RBC, WBC, yeast
RBC: glomerulonephritis, pyelonephritis, trauma, menstruation
WBC: glomerulonephritis, pyelonephritis, cystitis, urethritis

WBC: glomerulonephritis, pyelonephritis, cystitis, urethritis

WBC: glomerulonephritis, pyelonephritis, cystitis, urethritis

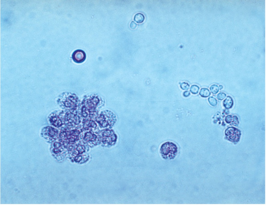
Squamous Epithelial Cells: contamination

Squamous Epithelial Cells: contamination

Squamous Epithelial Cells: contamination

Transitional Epithelial Cell: catheterization, UTI, cystitis

Transitional Epithelial Cell: catheterization, UTI, cystitis

Renal tubular epithelial cell: acute tubular necrosis, glomerulonephritis

Renal tubular epithelial cell: acute tubular necrosis, glomerulonephritis

Hyaline cast: glomerulonephritis, pyelonephritis

Hyaline cast: glomerulonephritis, pyelonephritis

Hyaline cast: glomerulonephritis, pyelonephritis

Waxy cast: severe chronic renal disease

Waxy cast: severe chronic renal disease

Granular cast: glomerulonephritis, interstitial nephritis, acute kidney injury

Granular cast: glomerulonephritis, interstitial nephritis, acute kidney injury

Granular cast: glomerulonephritis, interstitial nephritis, acute kidney injury

RBC cast: glomerulonephritis, pyelonephritis

WBC cast: glomerulonephritis, pyelonephritis

Epithelial cell cast: glomerulonephritis, pyelonephritis

Fatty cast: nephrotic syndrome

Fatty cast: nephrotic syndrome

Hemoglobin cast: hemolytic anemia

Broad waxy cast: severe chronic renal disease

Broad waxy cast: severe chronic renal disease

Uric acid crystals: gout

Uric acid crystals: gout

Uric acid crystals: gout

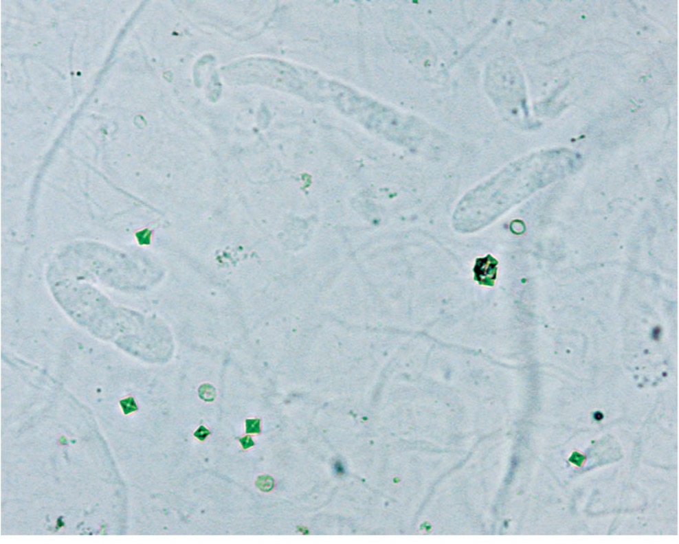
Calcium oxalate crystals: kidney stones, antifreeze

Calcium oxalate crystals: kidney stones, antifreeze

Bilirubin crystals: liver disease

Bilirubin crystals: liver disease

Cystine crystals: liver disease, aminoacidopathies

Cystine crystals: liver disease, aminoacidopathies

Tyrosine crystals: liver disease, aminoacidopathies

Tyrosine crystals: liver disease, aminoacidopathies

Leucine crystals: liver disease, aminoacidopathies

Cholesterol crystals: nephrotic syndrome

Cholesterol crystals: nephrotic syndrome

Cholesterol crystals: nephrotic syndrome

Sulfonamide crystals: sulfonamide antibiotics

Amorphous rates and phosphate crystals

Triple phosphate crystals: urinary stasis

Triple phosphate crystals: urinary stasis

Calcium phosphate crystals: urinary stasis

Calcium phosphate crystals: urinary stasis

Ammonium bitrate crystals: no clinical significance, contamination

Ammonium bitrate crystals: no clinical significance, contamination

Ampicillin crystals

Calcium carbonate: calculi

Bacteria: upper or lower UTI

Yeast: yeast infection

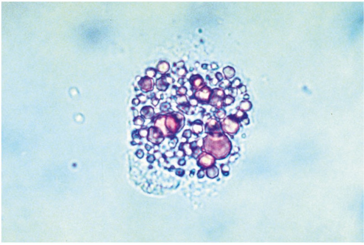
Oval fat bodies: nephrotic syndrome

Oval fat bodies: nephrotic syndrome

Hemosiderin: intravascular hemolysis

Sperm

Trichomonas vaginalis, Pinworm, Schistosoma haematobium

Trichomonas vaginalis

Trichomonas vaginalis

Pinworm

Schistosoma haematobium