1/3
Looks like no tags are added yet.
Name | Mastery | Learn | Test | Matching | Spaced | Call with Kai |
|---|
No analytics yet
Send a link to your students to track their progress

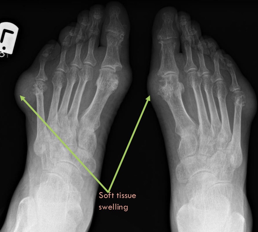
Gout ⭐
Soft tissue swelling
Well defined, punched-out erosions (rat bite)


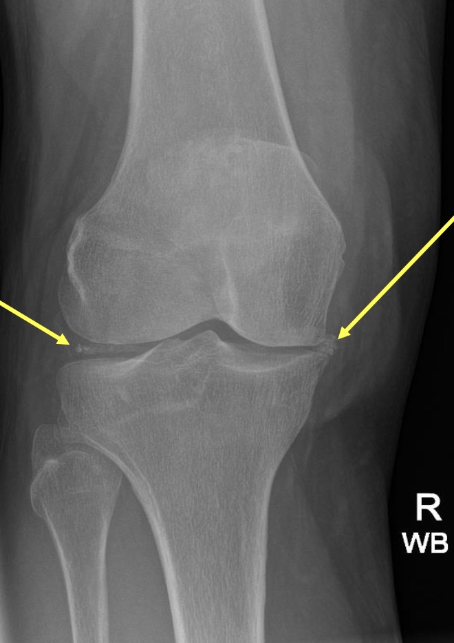
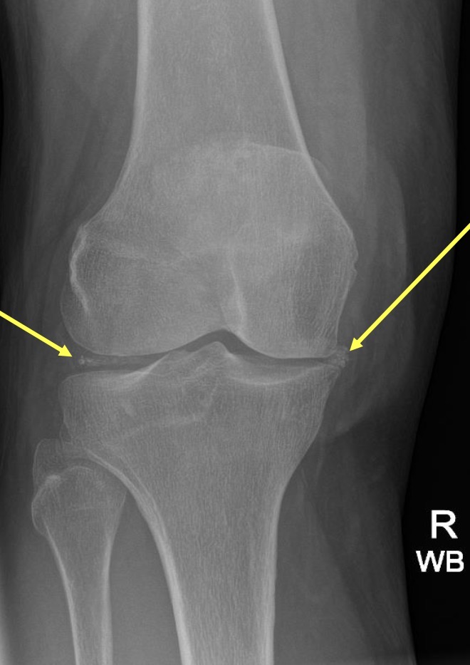
Calcium Pyrophosphate Deposition (CPPD) ⭐
Also known as pseudogout
Calcium deposit within the joint
State it as ‘Calcium deposition within the joint space consistent with CPPD or pseudogout’


Ankylosing Spondylitis ⭐
Fusion of joints in spine
First manifests in Sacroiliac joints:
Widening or fusion of SIJ’s
Vertebral body squaring, shiny corners of squares
Syndesmophytes visible - Bamboo spine
Ossification of interspinous ligaments - Dagger spine


Diffuse Idiopathic Skeletal Hyperostosis ( DISH ) ⭐
Flowing, bridging osteophytes - typically anterior + right side
Requires 4 or more connecting vertebrae
