1/178
Looks like no tags are added yet.
Name | Mastery | Learn | Test | Matching | Spaced | Call with Kai |
|---|
No analytics yet
Send a link to your students to track their progress
Epidermis
outer layer of skin

keratin
scleroprotien component of the horny, or cornfield, layer of the epidermis. It is also contained in the hair and nails.

melanin
Color or pigmentation of the skin.

dermis
inner layer of skin (also called the true skin)

sudoriferous/sweat glands
tiny coiled, tubular structures that emerged through pores on the skin surface and Secrete Sweat

sebaceous glands
secrete sebum (oil) into the hair follicles, the where the hair shafts pass through the dermis

hair
compressed, keratinized cells that arise from hair follicles, the sacs that enclose the hair fibers.

nails
Originate in the epidermis. Nails are found on the upper surface of the ends of the fingers and toes. The white area at the base the nail is called the Lunula, or moon

cutane/o, derm/o, dermat/o
skin

hidr/o
sweat

kerat/o
horny tissue, hard
kerat/o is also used to refer to the cornea of the eye chap 12
onych/o, ungu/o
nail

seb/o
sebum (oil)

trich/o
hair

aut/o
self

coni/o
dust

bi/o
life

crypt/o
hidden
heter/o
other

myc/o
fungus

necr/o
death (cells,body)
pachy/o
thick

rhytid/o
wrinkles

staphyl/o
grape like clusters

strept/o
twisted chains

xer/o
dry

Epi-
On upon over

Intra-
Within

Para-
Beside Beyond around abnormal

Per-
Through

Sub-
Under below

Trans-
Through across Beyond

-a
Noun suffix no meaning

-cococus, -cocci
Berry shaped from of bacterium
-ectomy
Excision or surgical removal

-ia
Disease or abnormal State condition of

-itis
Inflammation

-malacia
Softening
-opsy
Viewing of viewing

-phagia
Eating or swallowing

-plasty
surgical repair

-rrhea
Flow discharge

-tome
Instrument used to cut

Dermatitis
Inflammation of the skin

Dermatofibroma
fibrous tumor of the skin

Hidradenitis
Inflammation of the sweat glands

Leiodermia
Condition of smooth skin

Onychocryposis
Abnormal condition of a hidden nail (ingrown nail)

Onychomalicia
Softening of the nails
Abrasion
Scraping away of the skin by mechanical process or injury
Abscess
Localized collection of pus
is derived from the Latin ab, meaning from, and cedo, meaning to go. The tissue dies and goes away, with the pus replacing it.
Acne
Inflammatory disease of the skin involving the sebaceous glands and the hair follicles
Actinic keratosis
Pre-cancerous skin condition of horny tissue formation that results from excessive exposure to sunlight it may involve into a squamous cell carcinoma
Congenital hereditary condition characterized by a partial or total lack of pigment in the skin hair and eyes
Albinism

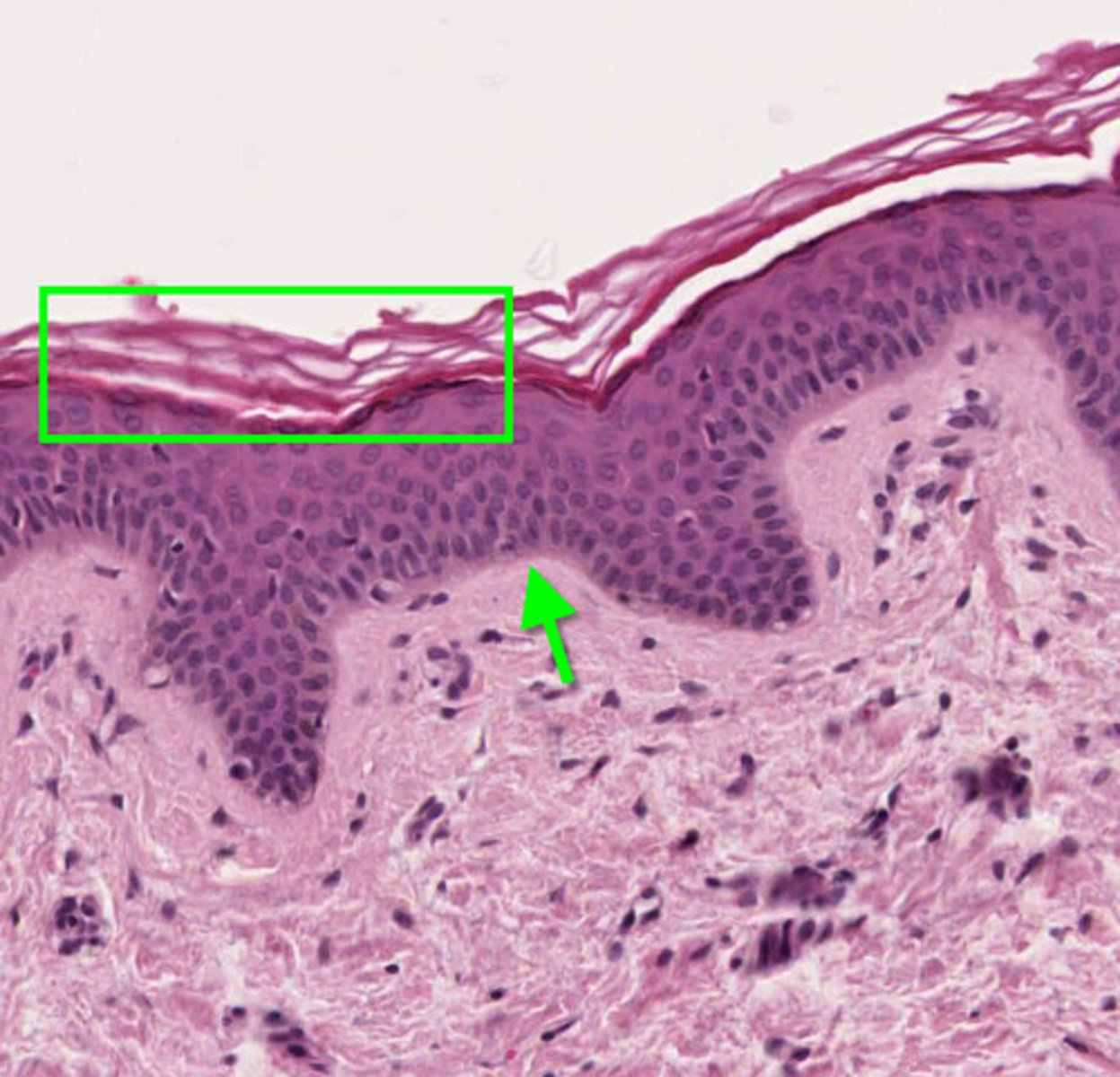
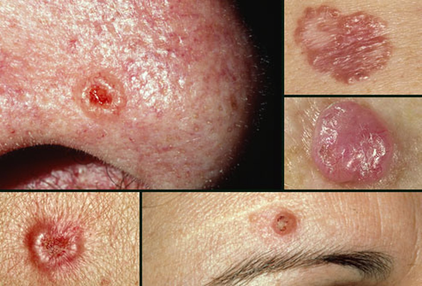
Basal cell carcinoma (BCC)
malignant epithelial tumor arising from the bottom layer of the epidermis called the basal layer; it seldom metastasizes, but invades local tissue and may recur in the same location. Common in individuals who have had excessive sun exposure.

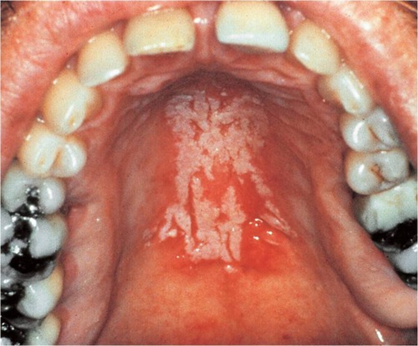
Candidiasis
Infection of the skin mouth (also called thrush) or vagina caused by the yeast type fungus candida albicans. candidiasis normally present in the mucous membranes, overgrowth causes an infection. esophagus candida they cyst is often seen in patients with AIDS (acquired immunodeficiency syndrome)

Carbuncle
bacterial infection of skin and subcutaneous tissue composed of a cluster of boils (furuncles, see below) caused by staphylococcal bacteria

Contusion
Injury with no break in the skin characterized by pain swelling and discoloration also called bruise

Eczema
Non infections inflammatory skin disease characterized by redness blisters scabs and itching

Fissure
Slit or crack like sore in the skin
painful skin not caused by staphyl Loco call that area of the hair follicle also called and boil
Furnicle
Gangrene
Death of tissue caused by loss of blood supply followed by bacterial Invasion a form of neurosis

Herpes
is derived from the Greek herpo, meaning to creep along. It is descriptive of the course and type of skin lesion.
Inflammatory skin disease caused by herpes virus characterized by small blisters in clusters many type of herpes it exists herpes simplex for example causes fever blisters herpes zoster also called shingles is characterized by painful skin eruptions that follow nerves inflamed by the virus

impetigo
Superficial skin infection characterized by puzzles and caused by either staphylococci or streptococci

Infection
Invasion of pathogens in body tissue and acute infection May remain localized if the body's defense mechanisms are effective or may persist to become subu kit or chronic a system infection occurs when the pathogen causing a local infection gains access to the vascular or lymphatic system it becomes this men disseminated throughout the body
Kaposi sarcoma
Cancerous condition starting as a purple or brown pup pools on the lower extremities that spreads through the skin to the lymph nodes and internal organs frequently seen with AIDS

Invasion of the Body tissue by methicillin-resistant staphylococcus aureus a strain of common factor bacteria that is develop resistance to Metals listen and other antibiotics it can produce skin and soft tissue infections and sometimes bloodstream infections and phenomena which can be fatal if not treated MRSA is quite common in hospitals and long-term care facilities but is increasingly emerging as an important infection in the general population
MRSA infection (MRSA)
MRSA infection (MRSA)
methicillin-resistant Staphylococcus aureus
Pediculosis
Invasion into the skin and hair by lice
Psoriasis
Chronic skin condition producing red lesions covered by silvery scales

Rosacea
Chronic disorder of the skin that produces erythema, papulles, and broken blood vessels usually occurring on the central area of the face in people older than 30 years old it is also called acne rosacea

Scabies
Skin infection caused by the itch mite characterized by a papule eruptions that are caused by a female during into the hour outer layer of the skin and laying eggs this is a condition that is accompanied by a severe itching

Scleroderma
Disease characterized by a chronic hardening (induration) of the connective tissue of the skin and other body organs

Squamous cell carcinoma (SCC)
malignant growth developing from scalelike epithelial tissue of the surface layer of the epidermis; it invades local tissue and may metastasize. While most commonly appearing on the skin, SCC can occur in other parts of the body including the mouth, lips, and genitals. The most frequent cause is chronic exposure to sunlight.
systemic lupus erythematosus (SLE)
chronic inflammatory disease involving the skin joints kidneys and nervous system. The autoimmune disease is characterized as by periods of remission and exacerbation it may also affect the other organs

tinea
fungal infection of the skin, The fungi may infect keratin of the skin, hair and nails. Infections are classified by body regions such as tinea capitis (scalp) tinea Coriolis (body) and tinea capitis (foot). Tinea in general is also called ringworm and tinea pedis spcifically is also called athletes foot

Urticaria
Itchy skin eruption composed of the wheels and individual have a varying size sizes and shapes Indio Pathak Yura Taqueria and sometimes associated with infections and with Allard allergic reactions to food medicine and other agents your tackeria reaction can include swelling of the Airways that can be medical emergency other causes including internal disease physical stimuli and genetic disorders also called hives
Vitiligo
White patches of the skin caused by the destruction of melanocytes associated with autoimmune disorders
abscess
Is a localized collection puss
chronic skin condition characterized by Red lesions covered by silvery scales
Pediculosis
An inflammatory skin disease caused by a virus and characterized by small blisters in clusters is called?
Herpes
Pediculosis
is the name given to the invasion of the skin and hair by lice
Squamous cell
A malignant growth that develops from scale like epithelial tissue is known as blank blank carcinoma
Cellulitis
Inflammation of the skin and subcutaneous tissue caused by infection characterized by redness swelling and fever is called
Impetigo
Is the name given to a superficial skin infection characterized by pustules and caused by either staffylococci or streptococci
Basal cell
An epithelial tumor commonly found on the face of individuals who have had excessive sun exposure is blank blank carcinoma

Epidermal
Pertaining to upon the skin
Erythroderma
Redskin abnormal redness of the skin
Hypothermic
Pertaining to under the skin
Intradermal ID
Pertaining to within the skin
Keratogenic
Originating in horny tissue
Necrosis
Abnormal condition of death cells and tissue die because of disease
Percutaneous
Pertaining to through the skin
Staphylococcus (pl. staffylococci) (abb:staph)
Berry shaped bacteria in grape-like clusters these bacteria cause many skin diseases
Streptococcus(pl. streptococci) (abb: strep)
Berry shaped bacterium is Twisted chains
Subcutaneous (abb: subcut)
Pertaining to underneath the skin
Transdermal (abb: TD)
Pertaining to through the skin
Ungual
Pertaining to the nail
Xanthoderma
Yellow skin also called jaundice
Alopecia
Loss of hair
