1/16
Looks like no tags are added yet.
Name | Mastery | Learn | Test | Matching | Spaced | Call with Kai |
|---|
No analytics yet
Send a link to your students to track their progress

Hemi-megalencefalie (Afwijking ten gevolge van
neurogenese)

Hydra-enceffalie/ porencefalie (Afwijking ten gevolge van
neurogenese)

Micro-encefalie (Afwijking ten gevolge van
neurogenese)

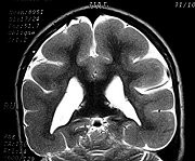
Dubbele cortex (corticale Laminaire heterotopias)(Afwijkingen ten gevolge van migratie)

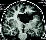
Pachygyrie (lissencefalie)
- Afwijkingen ten gevolge van migratie

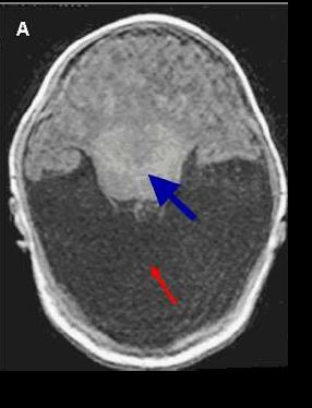
Polymicrogyrie, Agenese van het septum pellucidum, schizencefalie
- Afwijkingen ten gevolge van migratie

anencefalie
afwijking ten gevolge van neurulatie

meningocefalie
afwijking ten gevolge van neurulatie

holoprosencefalie
afwijking ten gevolge van neurulatie

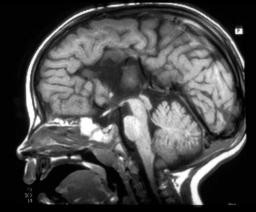
Agnese van het corpus callosum
afwijking ten gevolge van migratie
gewicht 20 weken na bevruchting
100 gram
gewicht geboorte
400 gram
gewicht 18 maanden
800 gram
gewicht 3 jaar
1100 gram
gewicht vroege volwassenheid
1300-1500 gram

Neurulatie (week 3-4)
Proencefalon delen
