1/20
Looks like no tags are added yet.
Name | Mastery | Learn | Test | Matching | Spaced | Call with Kai |
|---|
No analytics yet
Send a link to your students to track their progress



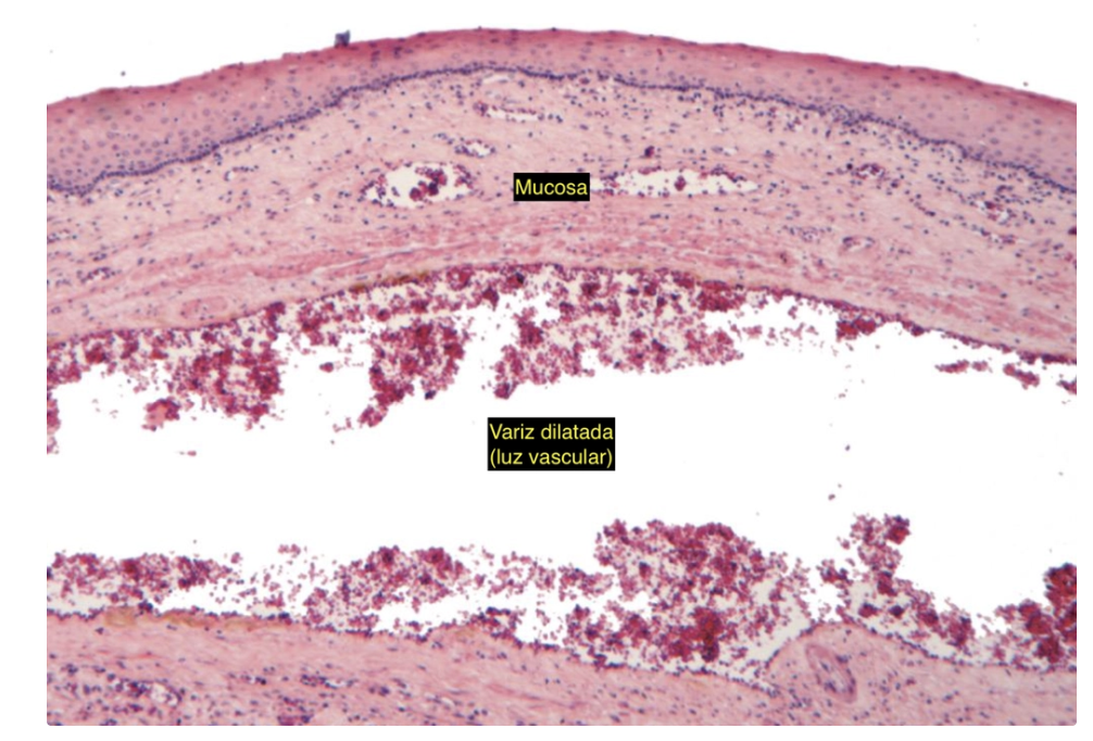
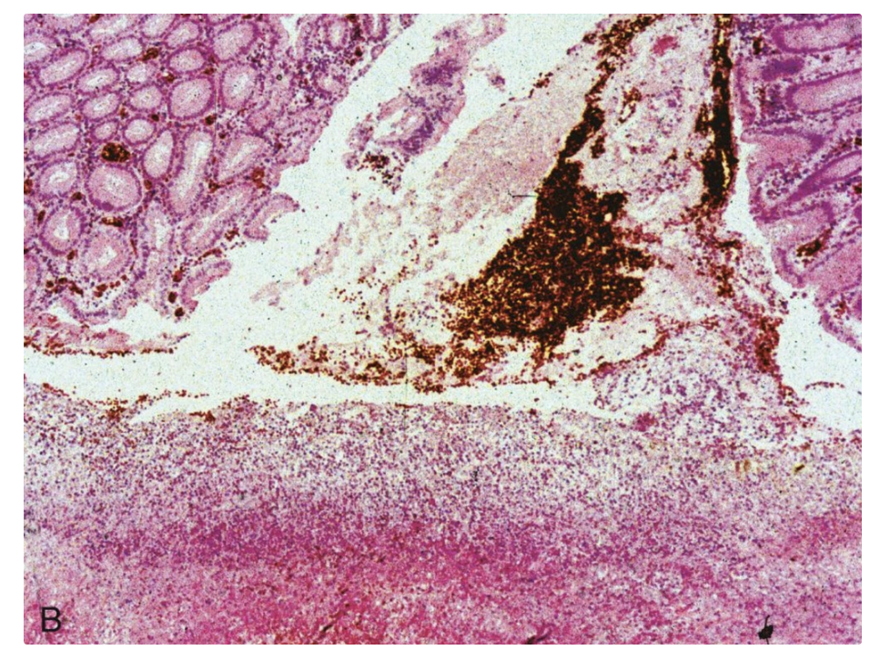
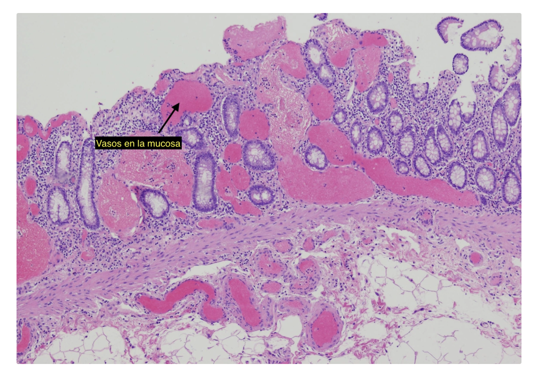
varices










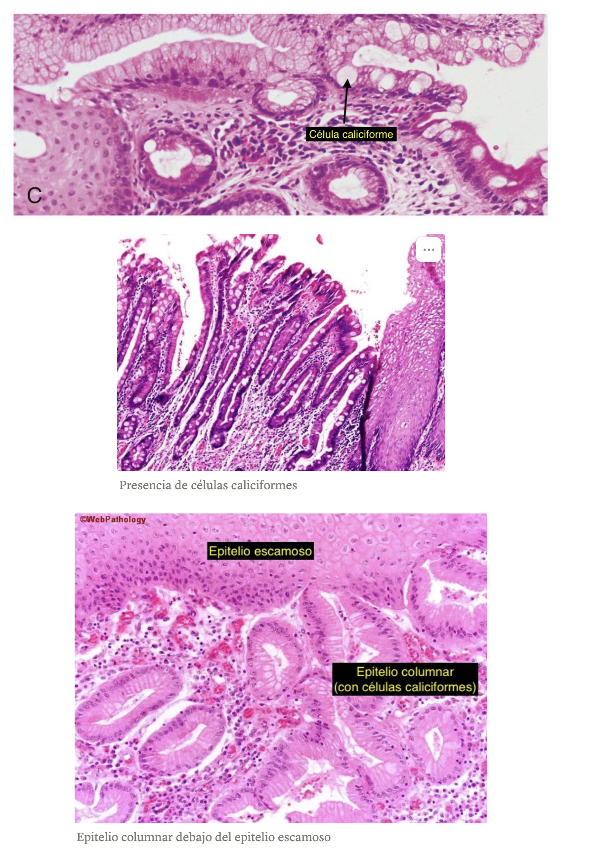
ESÓFAGO DE BARRETT

ESÓFAGO DE BARRETT micro






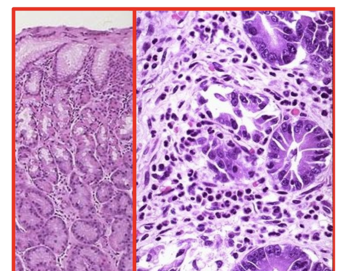
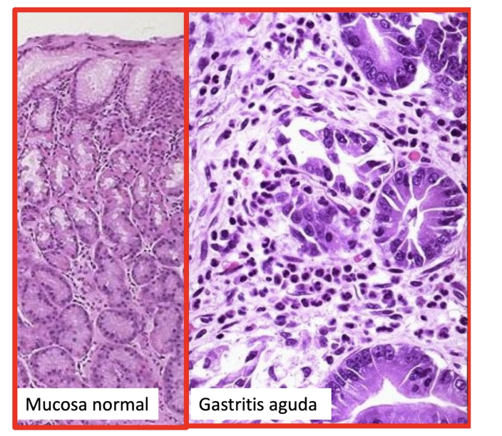
Gastritis por H. pylori:

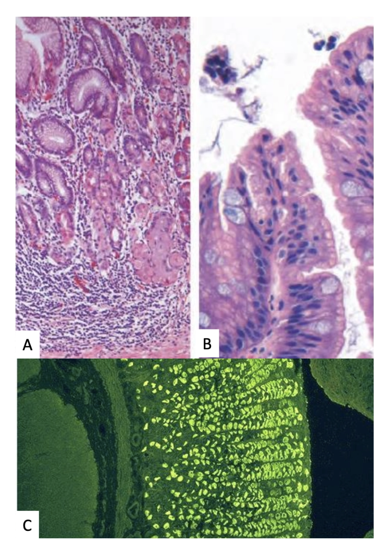
Gastritis autoinmune atrófica:
Afecta al cuerpo y fondo (no al antro como HP)
Histología: atrofia glandular difusa + infiltrado linfocitario en zonas profundas + metaplasia intestinal (característica compartida con HP).
Serología: anticuerpos anti-células parietales (secretoras de HCl y factor intrínseco)


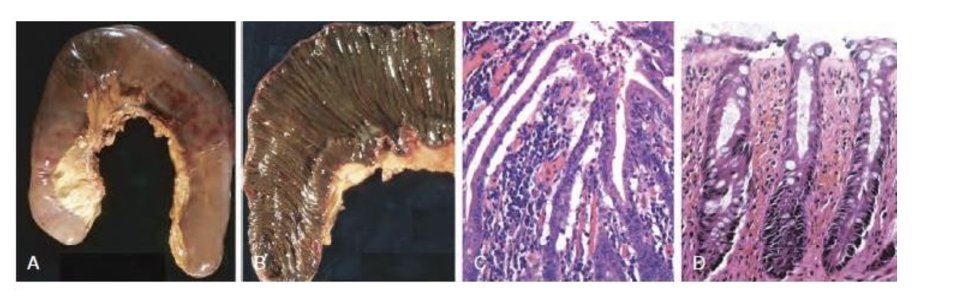
ENFERMEDAD ULCEROSA PÉPTICA (ÚLCERA CRÓNICA)






ENFERMEDAD ULCEROSA PÉPTICA (ÚLCERA CRÓNICA)





Diverticulosis / Diverticulitis


Divertículo de Meckel

Enfermedad de Hirschsprung: megacolon agangliónico congénito por ausencia de plexo submucoso de Meissner y mientérico de Auerbach. Tratamiento quirúrgico (biopsias intraoperatorias para saber hasta qué segmento no hay células ganglionares)