1/20
Looks like no tags are added yet.
Name | Mastery | Learn | Test | Matching | Spaced | Call with Kai |
|---|
No analytics yet
Send a link to your students to track their progress
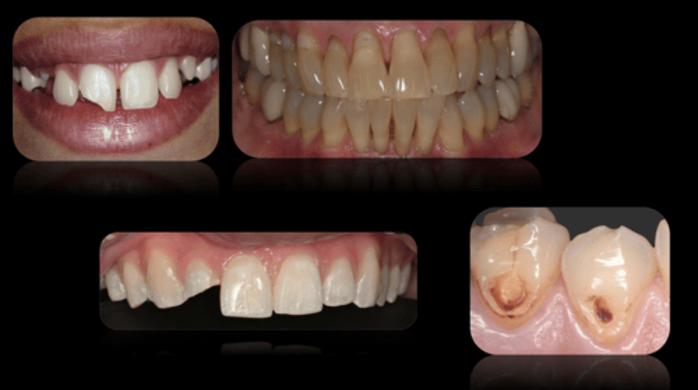
Indications of resin-based composite in anterior area

Indications of resin-based composite in anterior area

Hue
The color family (Red, Blue, Green, ETC)
Shade guide: A
Brown
70% of world population
Shade guide: B
Yellow + Brown
15% of world population
Shade guide: C
Grey + Brown
10% of the world population
Shade guide: D
Red + Brown
5% of the world population
Chroma
Purity of a color - saturation
Lower chroma =
less pure (more washed out)

Never choose chroma by
incisal area
Cervical: more chromatic (dentin)
Value
Lightness of a color

Munsell color system

Transparent
allows the light to freely pass through. Can see through it almost clearly

Translucent
Allows light to pass partially through but not showing the distinct view on the other side.

Opaque
Blocking and preventing light from passing through an object

Body combines the
optical properties of both enamel and dentin --> intermediate translucency
Thick dentin =
very opaque restoration
Thick enamel =
Gray appearance due to increased translucency even if you select correct shade
T or F
Composite is in the same shades among different manufactures
false
Shade selection steps
1. Turn the dental light off
2. Perform shade selection at a distance of about 12-15 inches
3. Place the tab on the same plane and vertical orientation
4. Select the shade within 5 seconds
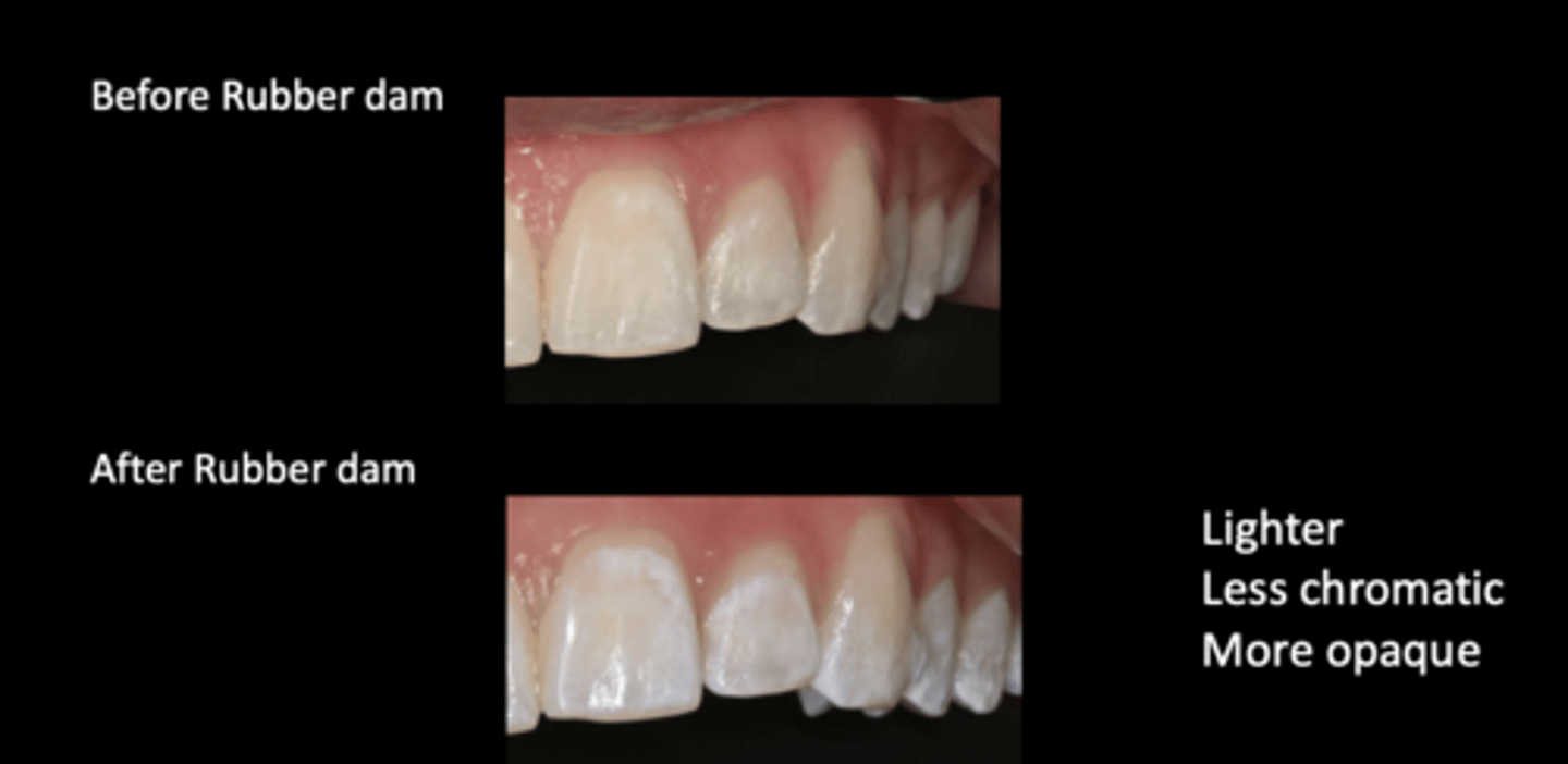
5. Perform at the beginning (before placing the rubber dam)
Why before rubber dam isolation
