1/131
Looks like no tags are added yet.
Name | Mastery | Learn | Test | Matching | Spaced | Call with Kai |
|---|
No analytics yet
Send a link to your students to track their progress
Need-to-know about medications (5 things)
name, dosages, indications, contraindications, and adverse reactions
anxiety can cause __________ making puncture more painful
vasoconstriction
4 different types of vascular access devices
peripheral IV line, central line, PICC line, port-a-cath
what is the most commonly used vascular access device
peripheral line
a catheter placed into internal/external jugular vein, chest (subclavian vein), or groin (femoral vein)
central line
what vascular access device is used to administer medication or fluids
central line
a peripherally inserted central catheter
PICC line
PICC Line
a central venous catheter inserted into the arm rather than a vein in the neck or chest
what is a port a cath
a small medical appliance that is surgically installed beneath the skin
what connects the port to a vein in a port a cath
a catheter
where is a port-a-cath usually inserted
in the upper chest below the clavicle
what are ports mostly used for
to treat hematology and oncology patients
which part of the needle attaches to syringe
the hub
which part of the needle is the length of the needle
cannula or shaft
which part of the needle is the slanted portion at tip
bevel
which part of the needle is the diameter or needle bore
gauge
types of needles
hypodermic, butterfly sets, angiocatheters
what is an over-the-needle cannula
it allows catheer to slip off needle into the vein and the steel is removed
what needle is usually used by radiographers for IV administration
butterfly sets and angiocatheters
whats the rule on syringe size
size should be one size larger than volume injected
site selection general rule
select most distal site that can accept the needle size and can tolerate injection rate and solution
during administration of medication, infiltration or extravasation means:
fluid has entered tissues instead of vein
3 complications/reactions of contrast
mild, moderate, severe
mild reactions include:
sensation of warmth, metallic taste, sneezing
moderate reactions include
nausea, vomiting, itching
severe reactions include
anaphylactic shock, cardiac or respiratory distress
infiltration or extravasation is a complication and its symptoms include
swelling, redness, burning, pain
5 rights of medication administration
right patient, right medication, right route, right amount, right time
Which of the following are suitable veins for venipuncture?
A. Median cubital
B. Cephalic
C. Basilic
D. All of the above
D. all of the above
All of the following are moderate reactions to contrast,
except:
A. Metallic taste
B. Nausea
C. Vomiting
D. Itching
A. metallic taste
urinary system is also called the:
excretory system
what shape are the borders of the kidneys
convex lateral borders and concave medial borders
which kidney is slightly longer and narrower
the left kidney
is superior or inferior aspect of kidney more posterior
superior
the kidneys lie in what degree of an oblique plane
30 degrees anteriorly toward aorta
where do the kidneys extend from
T12-L3
which kidney is lower
right slightly lower
renal capsule
outer covering
renal cortex
outer layer of renal tissue
renal medulla
inner layer of renal tissue
what is the renal medula composed of
8-15 cone-shaped segments of collecting tubules
renal columns
extensions of cortex between renal pyramids
the essential microscopic component of kidney
nephron
glomerulus formed by:
tiny branch of renal artery entering capsule and dividing into capillaries
vessel entering capsule
afferent arteriole
vessel exiting arteriole
efferent arteriole
what is the glomerulus
a filter for blood, allowing fine particles and water to pass into the capsule
calyces
cup shaped stems that enclose one or more papilla
when united, what do major calyces form
renal pelvis
how much can an adult bladder hold
500 ml
prostate
small glandular body surrounding the proximal part of the male urethra
2 components of a nephron
renal corpuscle and tubule
trigone
triangular area of bladder base between three openings
what are the two filling techniques for the renal parenchyma contrast studies
antegrade (IVU, IVP) and retrograde (cysto)
antegrade
contrast medium enters the kidney in the normal direction of blood flow
retrograde
contrast material is introduced against the normal flow
bladder study contrast media
lower concentrations required because of large amount required to fill bladder
which media is less likely to cause an adverse reaction in bladder studies
nonionic media
what does a clear demonstration of urinary system requires what?
GI tract to be free of gas and fecal material
if a patient is dehydrated, what does this put them at an increased risk of during a contrast study
contrast medium-induced renal failure
what is needed for excretory urography and most retrograde studies of the bladder and urethra
standard radiographic room
what is needed for retrograde urographic procedures that require cystography
combination cystoscopic-radiographic unit
what is required for infusion nephrourography
tomography
procedural considerations
image quality, motion control, respiration, scout examination
soft tissues that must be defined in study
sharply defined outline of kidneys
lower border of liver
lateral margin of psoas muscles
when should exposure be made for urinary system radiography
the end of expiration
what is the scout image used for
to reveal extrarenal lesions that could cause symptoms making urinary studies unnecessary
intravenous urography is also called
excretory urography
what does intravenous urography represent
structure and function of kidneys
why would intravenous urography be used
evaluate suspected or continues presence of ureteral obstruction
normal creatinine
0.5-1.2mg/100mL
normal glomerular filtration rate
90-120 mL/min/1.72m2
what GFR represents renal dysfunction
90 mL/min or less
postvoid radiograph of bladder may be taken in IVU examinations why
to check for small tumor masses or enlarged prostate in male patients

which one is postvoid
the right
what does retrograde urography require
catheterization of ureters
what does retrograde urography provide
improved opacification of renal collecting system
indicated for evaluation of collecting system in patients with:
renal insufficiency or contrast sensitivity
what is retrograde urography classified as
an operative procedure
what is performed in a specifically equipped cystoscopic radiographic examining room
retrograde urography
retrograde urography patient position
supine on cystoscopic table, knees flexed over stirrups
what 3 AP projections for retrograde urography
preliminary image, pyelogram, ureterogram
patient position for AP urinary system to demonstrate opacified bladder and kidney mobility
upright position
where is CR centered for the AP urinary system
the iliac crests
what structures does the AP urinary system show
kidneys, ureters, and bladder filled with contrast medium
what is superimposed on the AP urinary system
superimposing intestinal gas
evalutation criteria AP bladder if needed
prostate area in male patients, labeled postvoid images showing residual contrast medium

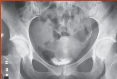
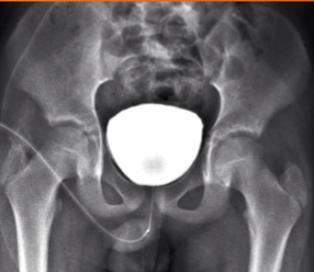
what is this a projection of
AP Bladder

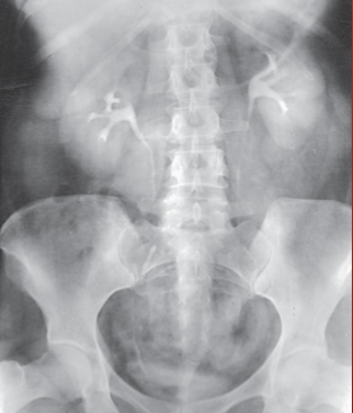
what is this a projection of
AP urinary system
in an AP oblique urinary system which kidney is perpendicular to plane of IR
the kidney closer to IR (downside kidney)
in an AP oblique urinary system which kidney is parallel with the IR
the kidney farther from the IR (elevated kidney)
MCP rotated how when taking an AP oblique urinary system
30 degree angle
where does CR an AP oblique urinary system
approx 2 inches lateral to midline on elevated side at level of iliac crest

what is this a projection of
AP oblique urinary system
what has NO superimposition on the AP oblique urinary system
the kidney farther from the IR on the spine

what is this
cystography
cystography usually performed via:
retrograde contrast administration
Indicated for:
• Vesicoureteral reflux
• Recurrent lower urinary tract infection
• Neurogenic bladder
• Bladder trauma
• Lower urinary tract fistulae
• Urethral stricture
• Posterior urethral valves
cystography
contraindications for cystography
related to catheterization of the urethra
the first cystogram has the patient in what position
supine