1/30
These flashcards cover essential vocabulary and concepts related to 3D imaging in dentistry, aimed at helping students prepare for their examinations.
Name | Mastery | Learn | Test | Matching | Spaced | Call with Kai |
|---|
No analytics yet
Send a link to your students to track their progress
3D Imaging
A technology that creates three-dimensional representations of dental and facial structures.
CBCT
Cone Beam Computed Tomography; a 3D imaging technology used in dentistry to capture accurate bone anatomy.
Voxel
The smallest distinguishable box-shaped part of a three-dimensional space, representing a value on a 3D grid.
Effective Dose
A measure used to estimate the risk of radiation exposure to human tissues, expressed in sieverts (Sv).
Patient Movement
An obstacle in imaging that can increase artifacts and decrease accuracy in scans.
FOV
Field of View; the extent of the observable area captured in the imaging process.
Artifact
An undesirable feature in an image caused by errors in data capture or processing.
3D Visualization
The ability to view anatomy in three dimensions, improving accuracy in diagnosis and treatment planning.
Background Radiation
The natural radiation present in the environment, measured in microsieverts (μSv).
Dosimetry
The calculation and assessment of the radiation dose received by the human body.
Segmentation
The process of separating distinct structures in an image for analysis and treatment planning.
3D
accuracy and dimentions create an improved diagnosis
facts!!
one scan is multiple images
accurate
1:1 measure
3D
myths
New tech
high dose
dont gain info
disrupt workflow
patients dont want
true obstacles
initial cost
learning curve
workflow
patient movement
increased artifacts
intraoral
excellent for bone at an implant site
doesnt give width height angle location
panoramic
screening tool
has distortion,mag, ghost, superimposition, operator error
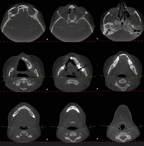
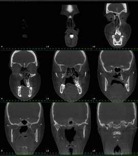
CBCT
cone beam computed tomography
cbct
volumetric imaging /3D imaging
voxel
pixel with a 3D edge
organized by size location and value
smaller voxel size
means better resolution
bit depth of computer
number of shades of gray your computer can compute
2^ whatever bit#

axial sections

coronal sections

saggital slicing

transaxial sections

segmenting the CBCT imaging

3d modeling of bone used for planning

pathology preventing tooth eruption