1/30
Looks like no tags are added yet.
Name | Mastery | Learn | Test | Matching | Spaced | Call with Kai |
|---|
No analytics yet
Send a link to your students to track their progress
The adrenal glands are located in the ___ within ___ ___ (___ space).
retroperitoneium, Gerota's fascia, perirenal
What are the 3 arteries that supply the adrenal glands and where do they originate?
1. Superior Suprarenal Artery: branch of the Inferior Phrenic Artery
2. Middle Suprarenal Artery: branch of the Aorta
3. Inferior Suprarenal Artery: branch of the Renal Artery


On laboratory tests, what do we look at if we are concerned about the adrenal glands?
Adrenocoricotropic hormone (ACTH, corticotropin)
Aldosterone
Cortisol
17-Ketogenic Steroids (17-KS)
Potassium
Sodium

Why are adrenal glands so much easier to see in fetuses/neonates?
The cortex of the adrenal glands is very hypoechoic and hypertrophied (large) and the medulla is echogenic
(*Easily seen in fetus/neonates up to 1 year old
Adrenal larger in proportion to rest of abdomen
The infant adrenal gland is 1/3 the size of the kidney)
What is the cause of Chronic Primary Hypoadrenalism (Addison's Disease)?
Insufficient secretion of adrenocortical hormones resulting from insidious and profound atrophy of adrenal glands (decrease in cortisol production)
Chronic Primary Hypoadrenalism is AKA =
Addison’s Disease
What is the most common cause of chronic secondary hypoadrenalism?
Abrupt end of steroid therapy
With Cushing's Syndrome, what lab value signs and symptoms will be present (What will be increased/decreased)?
Increased: ACTH, WBC, and blood glucose levels
Decreased: serum potassium
What is Hyperaldosteronism (Conn Syndrome) caused by?
Excessive and uncontrolled secretion of aldosterone
Hyperaldosteronism is AKA =
Conn Syndrome
What are the signs and symptoms associated with Hyperaldosteronism (Conn Syndrome)?
Principal manifestations:
Hypernatremia (excessive sodium in blood)
Hypokalemia (extreme potassium depletion in blood)
Sodium conservation leads to water retention causing arterial hypertension
Potassium loss results in muscle cramps and weakness
Hypertension
Increased aldosterone levels
Abnormal ECG
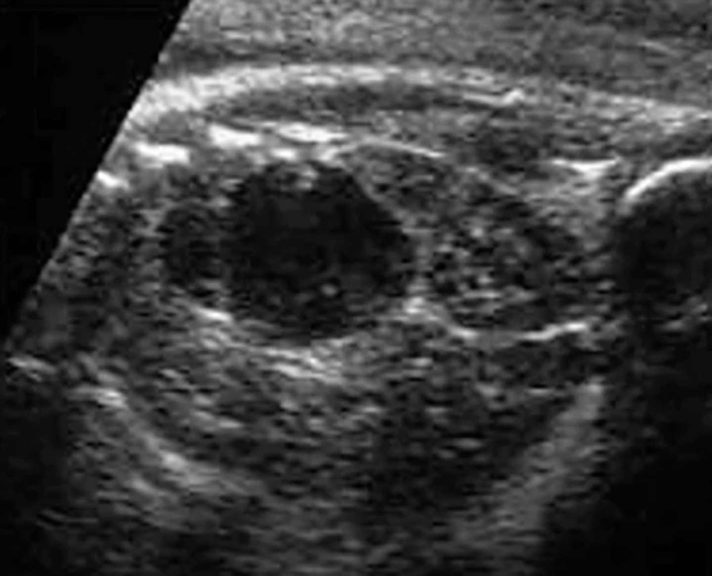
What is the most common primary adrenal tumor?
Benign nonfunctioning adenoma

What patient population is going to have a higher incidence of having an adrenal adenoma?
Older patients with diabetes or hypertension

A pheochromocytoma is a rare, ___ vascular tumor of adrenal ___ that secretes excessive ___ (___ and ___)
solid, medulla, catecholamines, epinephrine, norepinephrine
Rare, solid vascular tumor of adrenal medulla that secretes excessive catecholamines (epinephrine and norepinephrine)
Pheochromocytoma
What does a pheochromocytoma secrete?
Catecholamines (epinephrine and norepinephrine)
What are the clinical symptoms associated with pheochromocytoma?
Mild to marked hypertension (90%)
Severe headaches (80%)
Sweating/excessive perspiration (65%)
Tachycardia/heart palpitations (50%)
Is a pheochromocytoma benign or malignant?
Either one
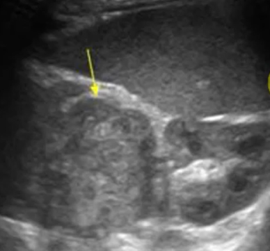
What is the most common malignancy of the adrenal glands in childhood and most common tumor of infancy?
Neuroblastoma

What is the typical sonographic appearance of a neuroblastoma?
Heterogeneous, hyperechoic mass with poorly defined margins

What will Color Doppler demonstrate on a neuroblastoma?
Capsular flow
What will Spectral Doppler demonstrate on a neuroblastoma?
Low-resistance arterial waveforms
What does FAST scan stand for?
Focused Assessment with Sonography for Trauma
A FAST scan is designed as a ___ tool for patients suffering from penetrating or blunt ___/___ trauma
screening, abdominal, thoracic
What is the goal of a FAST scan?
To demonstrate the presence of ___ ___ in the ___, ___ space, or ___ space
free fluid, abdomen, pleural, pericardial
What is the goal of a FAST scan?
To demonstrate free fluid in the abdomen, pleural space, or pericardial space

What is being evaluated on a FAST scan if the transducer is in the subxyphoid area (angle superiorly from just inferior to the xyphoid process)?
Pericardial effusion

Presence of fluid within the pericardium
Pericardial effusion
What is being evaluated on a FAST scan if the transducer is in the RUQ area?
Morison's pouch
What is the sliding lung sign? Explain the normal and abnormal findings.
• If pleura is normal, will see visceral pleura (covering the lungs) slide across parietal pleura (covering the chest wall) when patient breathes
• If pneumothorax is present, sliding lung sign will be absent in area of pneumothorax
If a pneumothorax is present you will not see _________ you will see _______.
reverberation ; shadowing
