1/48
Looks like no tags are added yet.
Name | Mastery | Learn | Test | Matching | Spaced | Call with Kai |
|---|
No analytics yet
Send a link to your students to track their progress

What phylum does this belong to?
Nematoda

what kinda worm larva is this?
hookworm

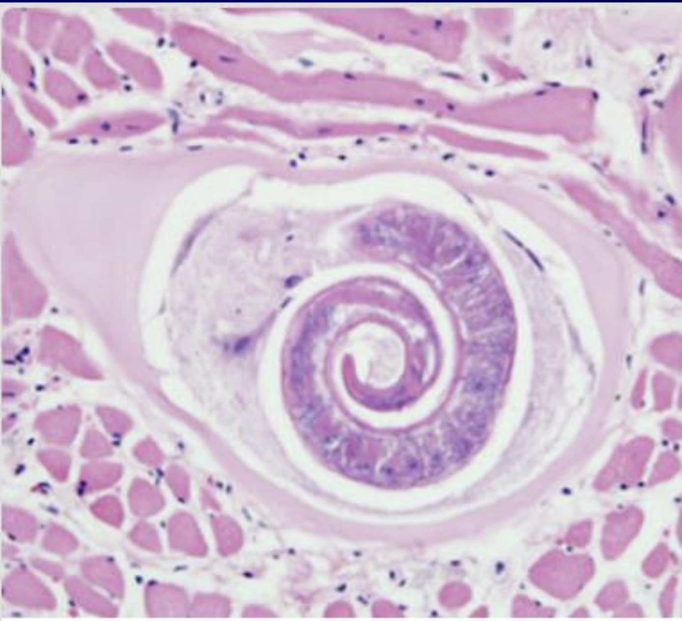
Name this parasite species?
Trichinella spiralis

Name the parasite species?
Angiostrongylus cantonensis

are these worms male or female?
female

Name this nematode species?
Strongyloides stercoralis

How does human infection occur?
through skin penetration by larva

name the species?
Necator americanus

name the species?
Ancylostoma duodenale

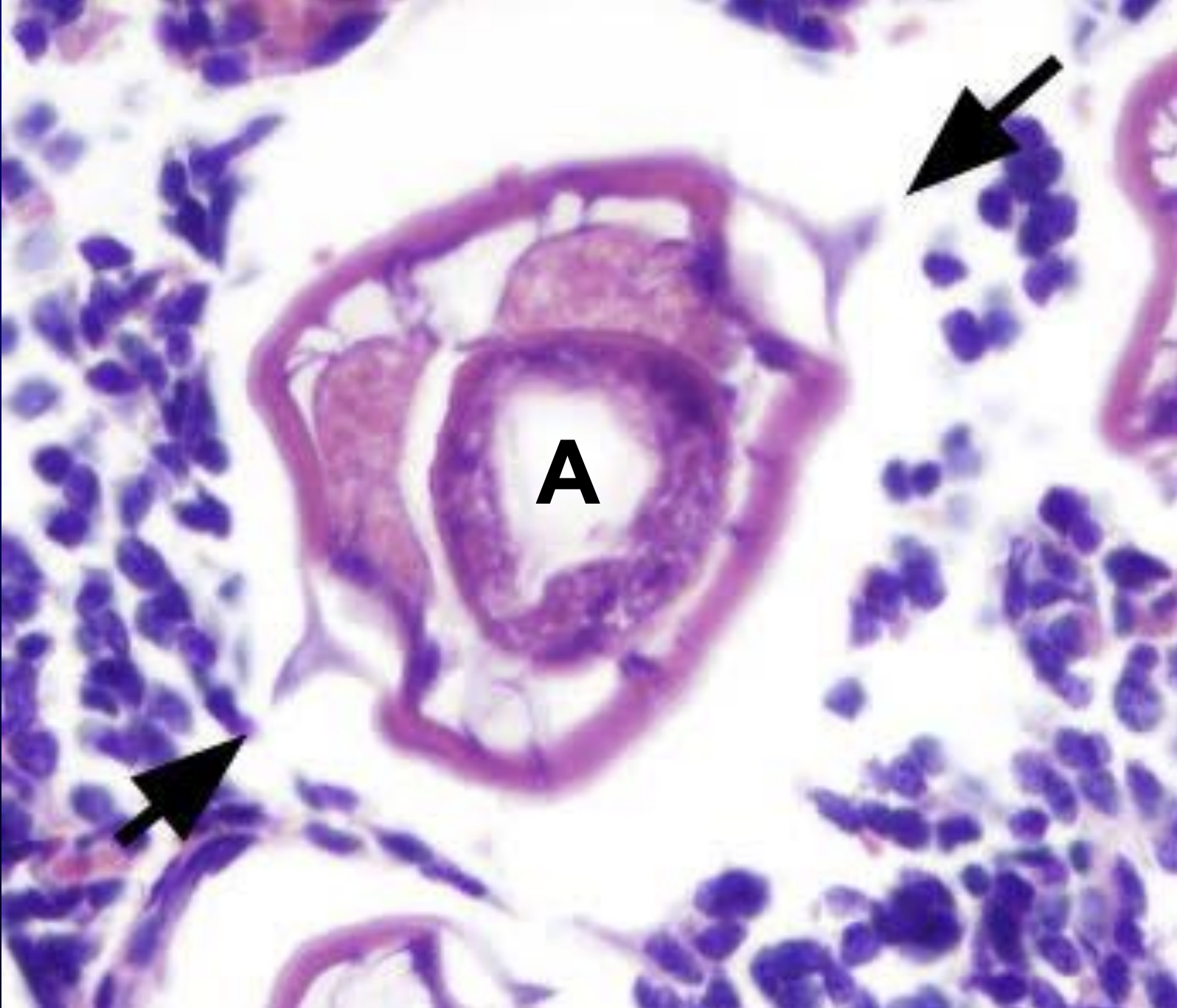
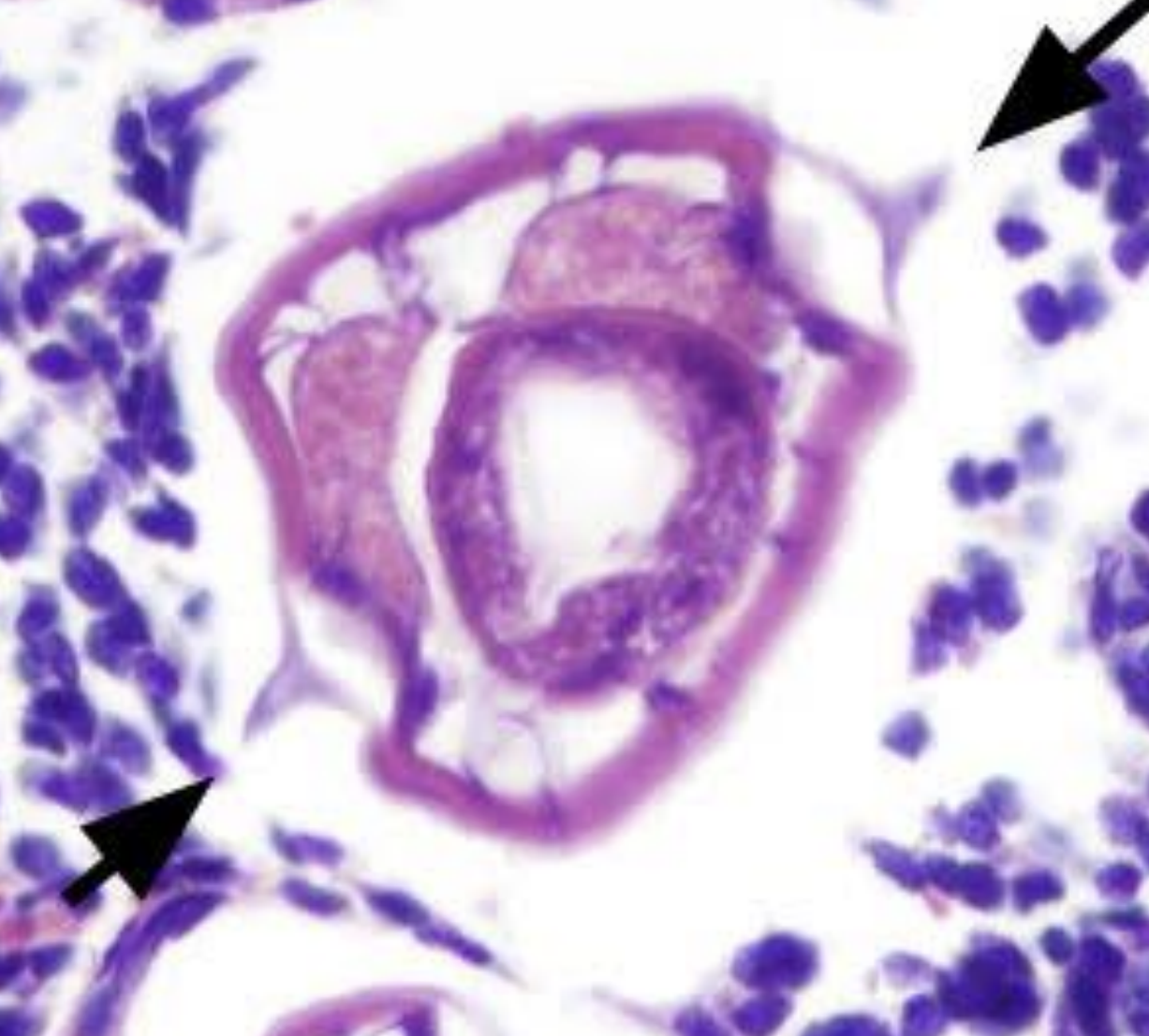
name the structure the red arrow is pointing at?
Pseudocoelom

name the species?
Trichuris trichiura

name the species?
Ascaris lumbricoides

Which set of proglottid are immature?
Set C

what structure is labeled A (ignore black arrows)
Intestine of the digestive tract

name the species?
Trichuris trichiura

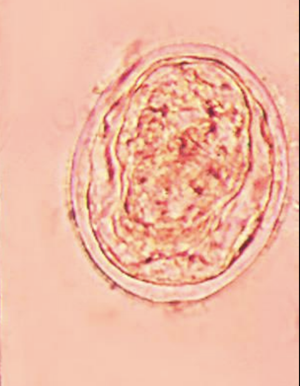
what is the life stage?
egg

name the species?
Enterobius vermicularis (also called Pinworms)

What phylum does this animal belong to
Platyhelminthes

what life stage is this?
Adult

What major group of Platyhelminthes does this belong to?
Trematoda

what class does this animal belong to?
Digenea

what life stage is this?
Miracidium

what life stage is this?
Cercariae

name the species?
Enterobius vermicularis

name the species?
Hymenolepis nana ( also called Dwarf Tapeworm)

name the species?
Hymenolepis diminuta (also called Small Rat Tapeworm)

what is the species?
Dipylidium caninum

name the species?
Hymenolepis diminuta (also called Small Rat Tapeworm)

what is the defining characteristic of this species shown in the image?
Proglottids overlap

name the species?
Diphyllobothrium latum (also called Broad Fish Tapeworm)

what is the defining characteristic of this species shown in the image?
Rosette-shaped ovaries

What class of flatworms does this parasite belong to?
Trematoda

What is the developmental stage of this parasite?
Cercariae

name this species of parasites?
Diphyllobothrium latum (also called Broad Fish Tapeworm )

name the shape of its scolex?
Bothriate

name the species?
Taenia solium (also called Pork Tapeworm)

name the shape of its scolex?
Acetabulate

Name the structure labeled B?
Hooks

name the species?
Dipylidium caninum (also called Double Pored-Tapeworm)

name this species?
Taenia solium (also called Pork Tapeworm)

name the species?
Taenia saginata

name this species?
Fasciola hepatica

name this species?
Schistosoma mansoni

name the species?
Schistosoma haematobium

name the species?
Schistosoma japonicum

name the genus of this parasite?
Echinococcus

name the species?
Echinostoma ilocanum (also called Spiny-headed Fluke)

name the species?
Schistosoma

which one is the male?
the larger one labeled B