1/6
When identifying the tissues under the microscope, name what is HIGHLIGHTED on the slide photo!
Name | Mastery | Learn | Test | Matching | Spaced | Call with Kai |
|---|
No analytics yet
Send a link to your students to track their progress

This tissue lines the nasal cavity and nasopharynx.
pseudostratified ciliated columnar epithelium

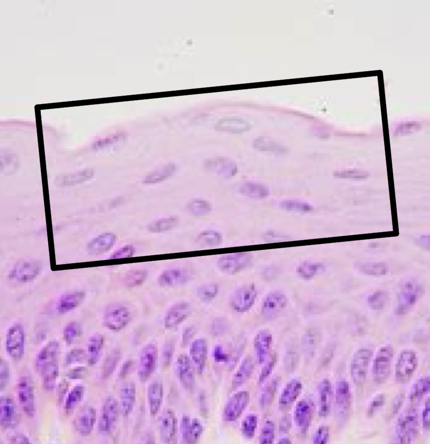
This tissue lines the laryngopharynx, and part of the oropharynx.
nonkeratinized stratified squamous epithelium

This tissue makes up part of the oropharynx, the epithelium from the stomach to the end of the large intestine, the wall of the villus.
simple columnar epithelium

This tissue lines the vestibule and makes up part of the serosa/adventitia. The cells of this tissue are also refered to as Type I alveolar cells.
simple squamous epithelium

This tissue makes up part of the serosa—a layer that lines digestive organs that are inside the peritoneal cavity.
loose connective tissue

This tissue makes up the adventitia--a type of serosa that lines digestive organs that are OUTSIDE the peritoneal cavity.
dense irregular connective tissue

This tissue is found modified in the acini of the pancreas.
simple cuboidal epithelium