1/72
Looks like no tags are added yet.
Name | Mastery | Learn | Test | Matching | Spaced | Call with Kai |
|---|
No analytics yet
Send a link to your students to track their progress
Pika
What kind of lagomorph is this?

It means their ears fall down instead of stand up.
They tend to have chronic otitis and ear problems
What does it mean if a rabbit is a "lop"? Why might this matter?

TRUE
TRUE OR FALSE: Rabbits do NOT have paw pads.
Females
note: males are larger in rodents
Which are larger in rabbits, males OR females?
3 sets (6 incisors total)
note: 2 sets on top, one of which is the peg teeth, and one set on bottom
How many SETS of incisors do rabbits have?

Grow continuously
Rabbits cheek teeth and incisors are rooted OR grow continuously
They cannot vomit and they are both hindgut fermenters (cecum takes up a lot of space)
How are rabbits like horses with their GI tract?
Fiber
What is the main "engine" for GI motility in rabbits? What food?
They are a prey species so they were not able to fight off other species for high quality forage, so they evolutionarily they adapted to accept low quality food
Why is fiber the main fuel for rabbits? How did it become this way instead of protein or high quality forage?
Large, light brown, formed, mostly dry balls
What will rabbit poop look like normally?
The droppings will be harder, smaller, and darker in color
What will rabbit feces look like when they are anorexic/hyporexic or have too little fiber in their diet?
This is from the rabbits ingesting too much hair. It may not necessarily be super abnormal, but the owner should brush the rabbit more
What does it mean when rabbits have "string of pearls" feces?
There is too much sugar/concentrate in the diet --> must increase amount of grass hay given
What does it mean when rabbits have moist, soft droppings, minimally formed?
"cecal droppings" or "night feces"
What is the term for the small clusters of droppings that smell very "pungent", which rabbits should ingest directly from the anus since it allows them to reabsorb vitamins B and K?
Grass hay
What is arguably the MOST IMPORTANT part of the rabbit's diet?
Pelleted feed is too concentrated and there is not enough fiber for it to sustain the rabbit alone, may cause GI issues
Why are pelleted feeds not needed at all in adult rabbits and should be given in small amounts?
They may luxate/fracture their vertebrae if their hindlegs are not restrained properly and they kick out
Why does restraint need to be very specific in rabbits?
Rabbit hemorrhagic disease virus (caused by calicivirus)
What is the name of the reportable virus in rabbits that leads to hepatic failure and subsequent coagulopathy, presenting as rabbits that bleed from the nostrils, anus, and urogenital tract?
Sheds in bodily fluids and viable at room temperature for MONTHS on fomites
What is the problem with how rabbit hemorrhagic disease virus spreads in the environment?
Subunit (no viral shedding) Medgene vaccine. Give 2 initial SQ doses 21 days apart then an annual booster.
What is the U.S. vaccine for rabbit hemorrhagic disease? How often does it need to be given?
Normal
Is this a normal OR abnormal rabbit?

Normal
Is this a normal OR abnormal rabbit?

The caudal border of the stomach should not pass the caudal border of L2
How do you determine if the stomach is normal size on rabbit x-rays?
Lateral saphenous
What is this blood draw site for rabbits?

Marginal ear vein
What is this blood draw site for rabbits?

PCV LOWER in rabbits than dogs and cats
What is the PCV like for rabbits compared to dogs and cats?
Heterophils
Which do rabbits have, heterophils OR neutrophils
Hypercalcemia (they do not use vitamin D to absorb calcium from the GIT)
Which is more common with rabbits, hyper OR hypo calcemia?
Not useful
Lactate is extremely useful OR not useful in rabbits
Because they are hindgut fermenters and can generate their own lactate
Why is lactate not particularly useful in rabbits?
Population control, eliminate risk of testicular abscess/neoplasia, dec. aggression/marking, dec. smell
Why would you castrate rabbits?
Pasteurella
What bacteria can cause testicular abscess/neoplasia in rabbits?
Closed
With rabbits, you want to do open OR closed castration
Eliminate risk of uterine neoplasia and risk of pyometra
What is the main indication of an ovariohysterectomy in rabbits?
Middle 1/3 between umbilicus and pubis
Where do you perform an ovariohysterectomy in rabbits?
Thin
Rabbits have a thin OR thick abdominal wall
Cecum (white arrowhead)
What structure tends to be apparently visible when you open the abdomen for an ovariohysterectomy in rabbits?

They have more fat deposition compared to other species
What makes the broad ligament difficult to visualize in rabbits during an ovariohysterectomy?
They have 2 cervix and the uterine vessels are separated from the uterine body, so you must ligate separately
What is special about the female rabbit reproductive tract?
Midazolam + butorphanol. May also use dexmedetomidine or alfaxalone
What should you use for sedation in rabbits?
"PLACE"
Penicillin
Lincomycin
Ampicillin/Amoxicillin
Cephalosporins/clavamox/clindamycin
Erythromycin
Name the antibiotics you NEED TO AVOID in rabbits?
Trimethoprim sulfa
Enrofloxacin
Azithromycin
Metronidazole
What antibiotics CAN YOU USE in rabbits?
Buprenorphine IV, lidocaine CRI. Potentially meloxicam but you have to be careful with GI disease
What are some good analgesics to use in rabbits?
MUST be IV or IM, there is poor bioavailability if SQ
What route of administration MUST you give buprenorphine in rabbits?
Insignificant
Maropitant is a significant OR insignificant way to reduce pain in rabbits
They have keratinized (thicker) epithelium
Why is efficacy of transmucosal buprenorphine unknown in rabbits?
Dorsoventral
What radiographic view is this to image rabbits?

Lateral
What radiographic view is this to image rabbits?

Oblique
What radiographic view it this to image rabbits?

To see individual bullae and see dental pathology
Why would you take oblique radiographs in rabbits?

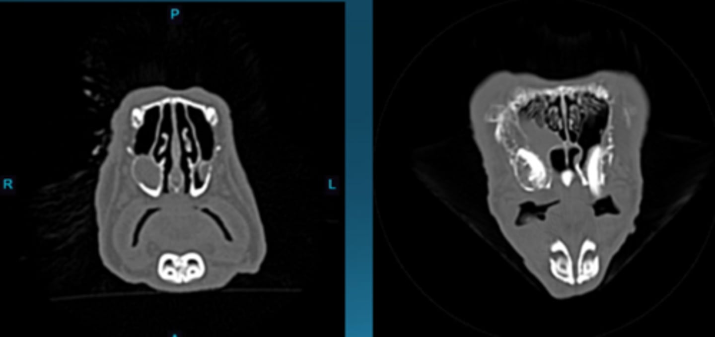
CT
What type of imaging is this in rabbits to see dental disease?

Porphyrinuria (do urinalysis to differentiate)
What is the typical cause of "hematuria" in rabbits?
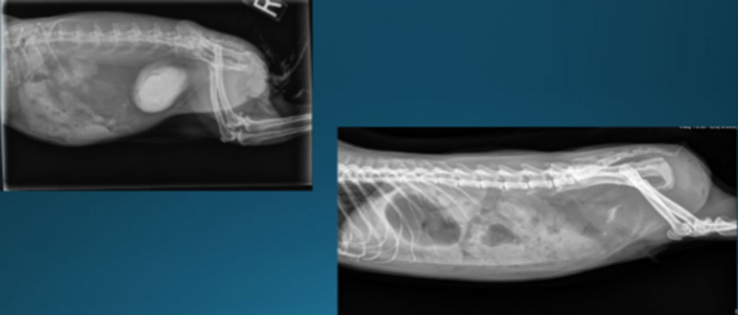
"sludge" in the bladder from hypercalciuria and dec. calcium in the diet. discrete stone expression is uncommon in rabbits
What is happening in this rabbit?

Unilateral exophthalmia from a retrobulbar mass typically an ABSCESS associated with odontogenic infection
What is happening in this rabbit?

Streptococcus and Fusobacterium
TREATMENT = antibiotics or euthanasia
Unilateral exophthalmia in rabbits is typically associated with odontogenic infection. What are the most common bacteria isolated from these abscesses? What are the typical treatments?
High blood pressure (might be systemically high or high intracranial venous pressure)
A middle aged to older rabbit presents with bilateral exophthalmia and dyspnea. What is most likely the underlying problem for this issue?

Cardiomegaly, pericardial effusion, mediastinal mass (thymoma)
What are your top 3 differentials for this rabbit?

Surgery, radiation, medical prednisolone
How do you treat thymomas in rabbits?
Otitis media and subsequent faical nerve paralysis
A rabbit presents with head tilt/torticollis. The rabbit also cannot blink. What do you think is going on based on this radiograph?

Encephalitozoan cuniculi
DIAGNOSIS: histopath and antibody titers but ONLY indicate exposure, not necessarily confirm this is what is causing disease now
A rabbit presents with head tilt and cataracts. What is your top differential and how do you diagnose?

Encephalitozoan cuniculi
Microsporidian parasite closely related to fungus causes WHAT disease in rabbits?
Fenbendazole
note: but be careful because this can cause pancytopenia or toxicosis
What do you use to treat encephalitozoan cunculi in rabbits?
Hypothermia***
Rabbits that present with rabbit gastrointestinal syndrome and hyper OR hypothermia have a higher risk of death before hospital discharge AND up to one week after discharge.
Bellow 100F is a SIGNIFICANT PROBLEM, and any 1.8F decrease doubles the odds of death
Rabbits that have rabbit gastrointestinal syndrome and hypothermia have a SIGNIFICANTLY higher risk of death compared to those without. Describe the temperatures that correlate with this issue
c. metoclopramide
d. cisapride
e. simethicone
Foods, fluids, and analgesia are the mainstays for treating rabbit issues. Sometimes, clinicians try to reach for promotility drugs. Seelectwhich of the following are drugs that have NO EFFECT in rabbits:
a. lidocaine CRI
b. maropitant
c. metoclopramide
d. cisapride
e. simethicone
1. dec. ISO MAC, HR, BP
2. improve survivability of GI obstruction
3. inc. fecal output and food intake
4. better glucose conc. than buprenorphine
Lidocaine CRI helps improve post-operative outcomes in rabbits. Name some things that it does that make this the case.
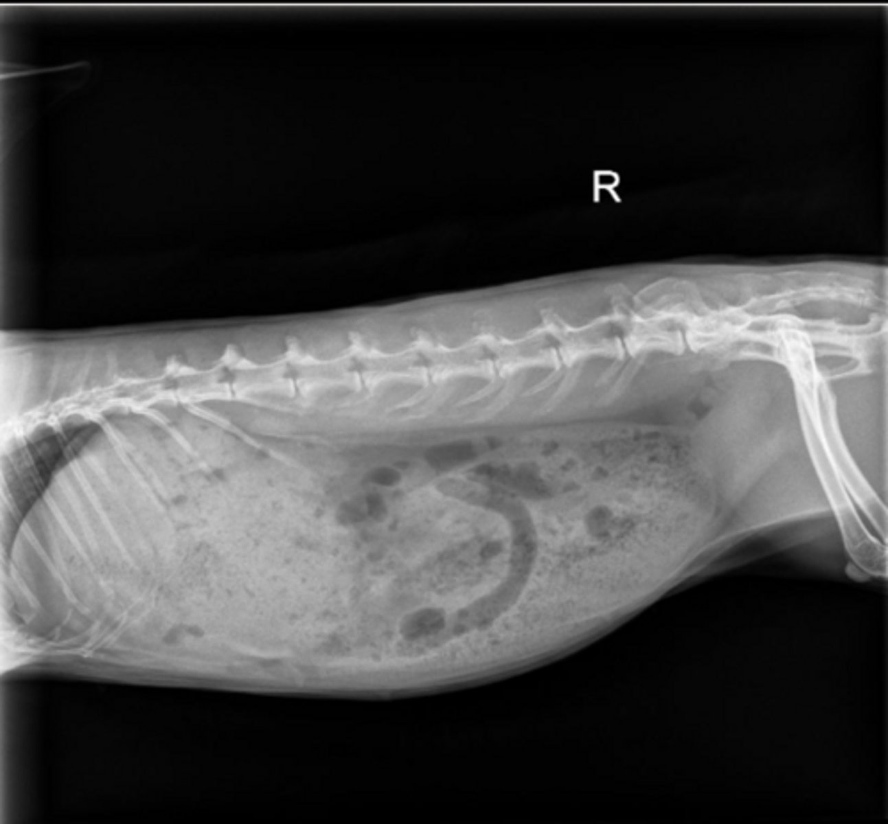
There is lots of gas in the cecum and the stomach is getting large.
Give IV fluids, syringe feed, lidocaine CRI
What do you want to do for this rabbit, who has recently been spayed?

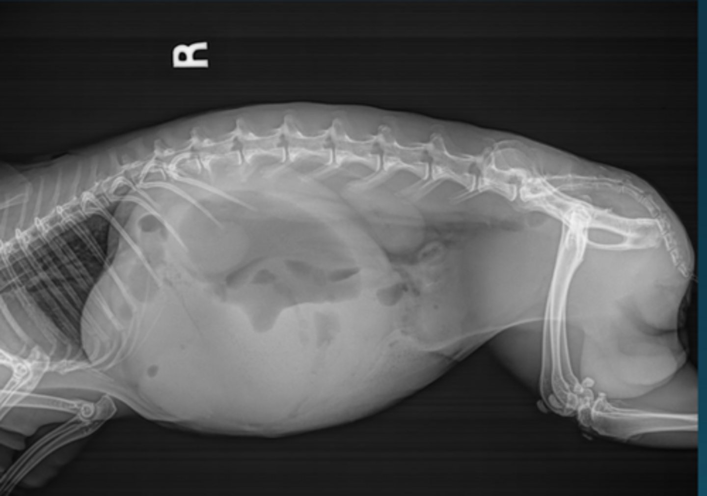
Hyperglycemia associated with GI obstruction. This patient is also hypothermic.
Give thermosupport, surgery, may sedate and pass orogastric tube to relieve pressure in stomach
This rabbit has a temperature of 98.1 F. There is a firm, cranial abdominal mass. The bloodwork is normal apart from hyperglycemia of 641. What is likely happening here and how do you treat?

Liver lobe torsion
What is your top differential for a rabbit with mild anemia and high liver values who is not eating?
Frontline
What flea treatment is TOXIC TO RABBITS?
Mites (Psoroptes cuniculi)
What is happening in this rabbit, treated with ivermectin and revolution?

Trichophyton --> will not fluoresce under woods lamp
What is the most common cause of dermatophytosis in rabbits? How is this different from dogs?

Syphilis --> treat with azithromycin
Treponema cuniculi in rabbits with nasal/labial genital lesions is the causative agent of WHAT? How do you treat?
