1/43
Looks like no tags are added yet.
Name | Mastery | Learn | Test | Matching | Spaced | Call with Kai |
|---|
No analytics yet
Send a link to your students to track their progress
what holds the radius and ulna together?
interosseous membrane
what 3 joints are involved in the elbow, forearm, wrist & hand?
humeroulnar
humeroradial
radioulnar
what is the traditional elbow joint?
humeroulnar
what ligament holds the radius on the ulna?
annular
flexor muscles of the arm
medial side
extensor muscles of the arm
lateral side
where is most of the arm’s vascular located?
medial side

what does the carrying angle of the elbow tell us?
the distal projection of the humerus
what is a normal carrying angle of the elbow?
5-15 degrees
cubital varus carrying angle of elbow
less than 5 degrees (closer to the body)
cubital valgus carrying angle of elbow
over 15 degrees
what are the male and female typical carrying angles of the elbow?
males: 5-10 degrees
women: 10-15 degrees
prevention of elbow, forearm, wrist & hand injuries
Braces help prevent injuries typically for a secondary injury
How to fall
FOOSH causes a mess for UE. Try to teach how to brace without putting the arm down.
Decrease overuse by cross training.Â
If we introduce other sports or cross train children, they have less injuries.Â
Also helps them to decrease their chances at burnout.Â
Proper biomechanics
Adequate recovery
Adolescent and post-injury – number of throws/hits & types
There’s whole charts on this dependent on age, league, position, etc. We need these protocols so that kids don’t get overuse injuries.Â

olecranon bursitis
superficial, so injuries occur most often with direct blows
symptoms: mild pain, pressure, swelling, being tender. tends to blow up and have little pain
treatment: compress and ice it. If swelling doesn’t resolve, can drain it. If an athlete, we tend to pad area so it doesn’t keep happening

muscle strains and avulsions in arm
tend to occur with resistive motion (FOOSH) or repeated micro tears due to overuse
symptoms: pain during motion as well as tenderness and may have reduced strength
treatment: depends on severity of strain, usually ice and rest

UCL sprain
tend to rupture with valgus forces on the elbow, and with more repetition comes more microtears
. Symptoms: can hear or feel a pop, pain, and tenderness on the medial elbow, possible tingling, and laxity at the joint line
. Treatment: In depth, if grade 1 or 2, we hope conservative treatment will scar the area and stabilize it. Grade 3= 12-18 months of rehab after surgery. Throwing athletes can return to activity 22-26 weeks post-surgery, with full recovery at 18-24 months

Lateral epicondylitis
tennis elbow

medial epicondylitis
golfer’s elbow

lateral & medial epicondylitis
where muscle groups insert and are inflamed due to overuse
Symptoms: aching pain, possible tenderness, weakness in a muscle group, pain worsening as the muscle group is used, decreased ROM
treatment: rest, NSAIDs, ice, and seeing if we can slightly change biomechanics
eventually, slight stretches, slow strengthening exercises, massage, and use a counterforce brace

elbow dislocations
tends to occur due to a FOOSH
we usually see a posterior dislocation, as well as a possible fracture with the dislocation
symptoms: looks for deformity, pain, swelling and check neurovascular stat
treatment: sling and ship to be reduced and imaged
usually will be in sling for at least 3 weeks
rehab will consist of a lot of hand things until we feel they are stabilized
stay away from stretching for those few weeks

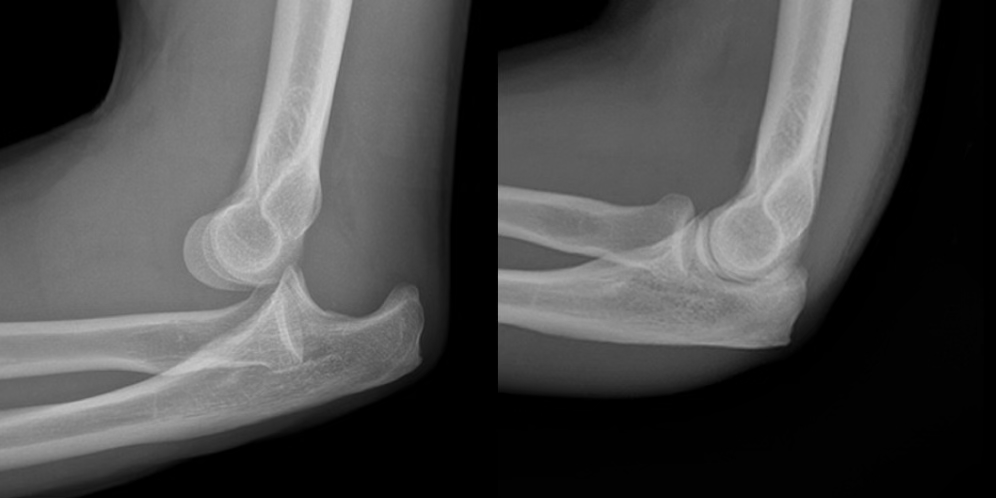
elbow fracture
FOOSH mechanism or direct hit
possible even incorrect reduction with elbow
symptoms: swelling, muscle spasm, pain, possible deformity, reduced ROM, compromised neurovascular
treatment: stabilize and ship
may need a sling or cast, or surgery
treatment will depend on cast vs. surgery

colles fx
radius & ulna fracture where they hyperextend (go dorsally)

smith fx
radius & ulna fracture and hyperflex (go volarly)

forearm fractures
FOOSH or direct blows
super common in youth due to the MOI, but rare to see as ulanr and radial fractures simultaneously
symptoms: pop, pain, swelling, possible deformity, lack of ROM
treatment: splint and ship, will need cast or surgery. 4-8 weeks and then therapy

volkmannn’s contracture
associated with forearm fractures which causes muscle spams, swelling, and reduced brachial artery flow
can be permanent or temporary, if we can fix blood flow, should be temporary but still can have muscle damage within hours
symptoms: pain in forearm, passive extension of fingers, coldness in arm (no blood flow), and decreased ROM
if caused by a cast or wrap, take it off
how many bones are in your hands?
8 carpals, 5 metacarpals, 2 sesamoids, 14 phalanges
MCP, MP, DIP, PIP joints
thenar muscles
4 thumb muscles
hypothenar muscles
3 pinky muscles
anatomical snuffbox
ext pollicus brevis and adductor pollicus retinaculum hold down tendons at joint areas

what are the two neurovascular components on the hand?
carpal tunnel
tunnel of guyon
carpal tunnel
straight down wrist (dorsal side) and has median nerve
tunnel of guyon
is on ulnar side of hand with the ulnar nerve

wrist sprain
most common wrist injury
occurs with an abnormal, forced movement (falling on hypertext wrist or violent flexion)
symptoms: pain, swelling, tenderness, difficulties with ROM
treatment: can send for images to rule out a fracture
can splint if brace if bad enough
treatment for pain management (meds, modalities)
can prevent or treat with wrist tape

TFCC injury
TFCC is injured when patient has a violent twist of the wrist, typically with a hyperextension
symptoms: pain on ulnar side, possible clicking, lack of wrist extension, swelling
treatment: if suspected, send for imaging
may need splint for about 4 weeks (rest), then start with strengthening and ROM exercises, bad case may need surgery
Triangular fibrocartilage complex (TFCC)
combination of ligaments and “meniscus” cartilage on ulnar side
stopped at nerve compression