pierwotniaki zdjęcia mikroskopowe

0.0(0)
Studied by 0 people
call kaiCall Kai
learnLearn
examPractice Test
spaced repetitionSpaced Repetition
heart puzzleMatch
flashcardsFlashcards
GameKnowt Play
Card Sorting

1/38

flashcard set

Earn XP

Description and Tags

zajęcia 1-3

Last updated 5:10 PM on 3/9/23
Name
Mastery
Learn
Test
Matching
Spaced
Call with Kai

No analytics yet

Send a link to your students to track their progress

39 Terms

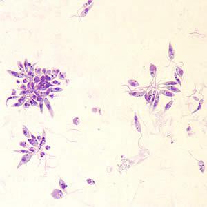
1
New cards
term image
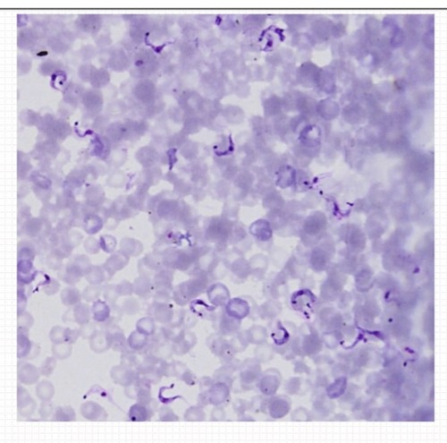
trypanosoma brucei, trypomastigota
2
New cards
term image
trypanosoma brucei, typomastigota
3
New cards
term image
trypanosoma brucei. trypomastigota
4
New cards
term image
trypanosoma cruzi epimastigota
5
New cards
term image
trypanosoma brucei epimastigota
6
New cards
term image
trypanosomacruzitrypomastigotatrypanosoma cruzi trypomastigota
7
New cards
term image
trypanosoma cruzi trypomastigota
8
New cards
term image
trypanosoma cruzi amastigota
9
New cards
term image
trypanosoma cruz amastigota
10
New cards
term image
leishmania donovani promastigota
11
New cards
term image
leishmania donovani promastigota
12
New cards
term image
leishmania donovani amastigota
13
New cards
term image
giardia intestinalis trofozoit
14
New cards
term image
giardia intestinalis cysta
15
New cards
term image
giardia intestinalis cysta
16
New cards
term image
trichomonas vaginalis __**trofozoit**__
17
New cards
term image
entamobea histolityca trofozoit
18
New cards
term image
entamobea histolityca trofozoit (dobrze widoczne jądro “kwiatkowe”)
19
New cards
term image
entamobea histolityca cysta
20
New cards
term image
entamobea histolityca cysta
21
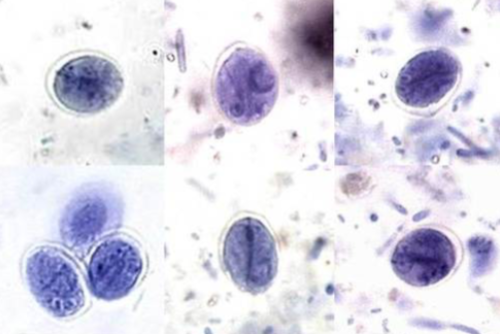
New cards
term image
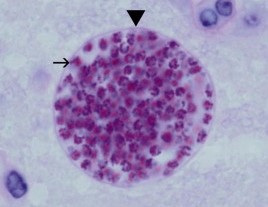
cryptosporidium spp. oocysta ze sporozoitami
22
New cards
term image
cryptosporidium spp. oocysta ze sporozoitami
23
New cards
term image
toxoplasma gondii tachyzoit
24
New cards
term image
toxoplasma gondii tachyzoit
25
New cards
term image
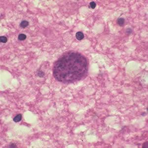
toxoplasma gondii bradyzoit w cyście tkankowej
26
New cards
term image
toxoplasma gondii bradyzoit w cyście tkankowej
27
New cards
term image
toxoplasma gondii cysta nieinwazyjna → inwazyjna
28
New cards
term image
eimeria spp (niewysporulowana, wysporulowana z 2 sporozoitami)
29
New cards
podaj wszystkie gatunki plasmodium
falciparum, knowlesi, malariae, ovale, vivax
30
New cards
\
\
sporozoit plasmodium vivax sporozoit
31
New cards
term image
plasmodium vivax trofozoit
32
New cards
term image
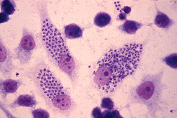
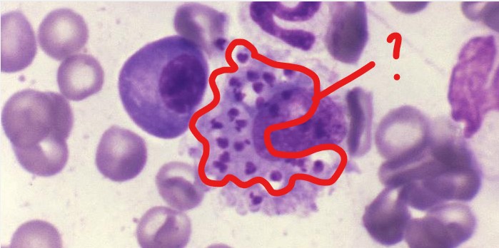
plasmodium falciparum schizont (trofozoit)- faza egzoerytrocytarna
33
New cards
term image
plasmodium falciparum faza pierścienia (młody trofozoit) - faza endoerytrocytarna
34
New cards
term image
babeshia canis merozoit
35
New cards
term image
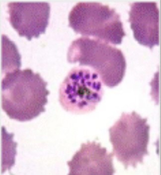
babeshia microti merozoit (krzyż maltański)
36
New cards
term image
balantioides coli trofozoit
37
New cards
term image
balantioides coli cysta
38
New cards
term image
balantioides coli trofozoit
39
New cards
\
\
trichodina mutabilis trofozoit