1/75
Looks like no tags are added yet.
Name | Mastery | Learn | Test | Matching | Spaced | Call with Kai |
|---|
No analytics yet
Send a link to your students to track their progress
Transcription
DNA to mRNA
Where is mRNA transcribed?
Nucleus
Transcription factors
proteins that bind to the promoter region of DNA to initiate transcription (RNA polymerase binds to make mRNA)
What initiates transcription?
transcription factors
Transcription steps
initiation: Binding of transcription factors and RNA
polymerase to promoter
Elongation: RNA polymerase adds nucleotides in 5’ → 3’
direction
Termination: terminator sequence is reached
mRNA
copy of gene - goes to ribosome
RNA processing
happens before leaving the nucleus
Add 5’ cap and 3’ poly-A tail
remove introns and join exons
exons
are expressed
introns
discarded
RNA structure
single stranded
ribose = sugar
U instead of T
Translation
mRNA to polypeptide
Where does translation take place?
at ribosomes
Translation steps
Initiation: mRNA, small ribosomal unit, and tRNA come together
Elongation: large subunit attaches, tRNA molecules bring AA to ribosome, AA is attached
Termination: stop codon reached
tRNA
anticodon complementary to codon on mRNA; carries amino acids to ribosomes
GENETIC CODE TRAITS: redundant
multiple codons (UCA, UCC, UCU) can code for the same amino acid (Ser)
GENETIC CODE TRAITS: unambiguous
each codon specifies only one amino acid (ACU codes ONLY for Thr)
GENETIC CODE TRAITS: universal
all codons specify the same amino acid in all organisms (genetic code is the same for cats and humans)
epigenetics
control of gene expression; “above the gene”
epigenetic changes
do not change DNA sequences
do change chemical groups associated with DNA
can be passed to new generation
True or false: Epigenetics changes the DNA sequence
False
True or false: You can inherit epigenetic patterns
true
global chain switching
subunits of hemoglobin differ in embryo, fetus, and adult
embryo hemoglobin
epsilon and zeta (embryo, epsilon; ze pregnant lady)
fetus hemoglobin
gamma and alpha (noelle is just a baby [gamma phi] and she’s the alpha)
adult hemoglobin
alpha and beta (me and mom are adults, I am alpha and she”s beta)
Why do we globin switch?
to meet changing oxygen needs; fetal blood has a higher affinity for oxygen, allowing the fetus to extract oxygen from maternal blood
histones
proteins around which DNA entwines; expose DNA to allow transcription
chromatin remodeling
acetyl groups turn on transcription (athletes turn me on)
methyl groups turn off transcription (men turn me off)
alternative splicing
exons shuffled into unique arrangements to produce different proteins
protein modifications
different chemical groups (sugars and lipids) added to base protein
protein splicing
a single protein is cut in two
metacentric chromosome
centromere is in MIDDLE of chromosome

sub-metacentric chromosome
centromere is off of middle by a liitle

acrocentric chromosome
centromere is at top of chromosome (leaves acorn looking arms)

point mutation
change in a single DNA base
silent mutation
no effect on phenotype
missense mutation
replaces one amino acid with another
nonsense mutation
changes a codon for amino acid into a stop codon - resulting protein is too short (no = stop)
deletions and insertions
removal or addition of several DNA bases
frameshift mutation
adding or removing bases throws off reading frame of protein synthesis machinery (literally shifts the frame of protein)
conditional mutation
a mutation that affects the phenotype only under certain conditions (ex. G6PD, triggered by fava beans, sulfa drugs, or infections)
Why are mutations harmful?
Protein is changed, leading to disease
Mice epigenetics example
All mammals have a gene called agouti. When a mouse's agouti gene is completely unmethylated, its coat is yellow and it is obese and prone diabetes and cancer. When the agouti gene is methylated (as it is in normal mice), the coat color is brown and the mouse has a low disease risk. Fat yellow mice and skinny brown mice are genetically identical. The fat yellow mice are different because they have an epigenetic "mutation."
When researchers fed pregnant yellow mice a methyl-rich diet, most of her pups were brown and stayed healthy for life. These results show that the environment in the womb influences adult health. In other words, our health is not only determined by what we eat, but also what our parents ate.
allelic disorders
different disease phenotypes caused by mutations in same gene; result from mutations in different parts of the gene (ex. sickle cell, beta thalassemia)
sickle cell and beta thalassemia
are both due to mutations in the beta-globin gene (hemoglobin is a protein comprised of 2 alpha-globin and 2 beta-globin chains). Allelic disorders result from mutations in different parts of the same gene.
beneficial mutations
mutations that benefit the organism; lead to new versions of proteins that help organisms adapt to changes in their environment; essential for evolution to occur
spontaneous mutations
generated spontaneously (random mistake in DNA replication)
induced mutations
chemicals or radiation
DNA proofreading
DNA polymerase reads the newly added base, ensuring that it is complementary to the corresponding base in the template strand before adding the next one
mismatch repair
proofreading enzymes remove mismatched bases
excision repair
enzymes cut out segments of DNA with mistake
chromosome abberations
large scale changes that have effects on health
cytogenetics
matching of phenotype to detectable chromosomal abnormalities
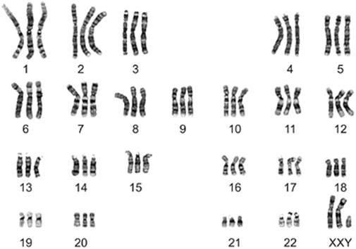
karyotype
images of metaphase chromosomes organized according to size

At what stage do we view chromosomes
metaphase when chromosomes are condensed
tests during pregnancy: amniocentesis
removal of fetal cells at 14-16 weeks; causes miscarriage in 1/1600 cases
tests during pregnancy: chorionic villus sampling
removal of fetal cells from chorionic villi at 10-12 weeks; greater risk of miscarriage
polyploidy
extra sets of chromosomes

aneuploidy
one missing chromosome or one extra chromosome

trisomy
an extra chromosome (ex. trisomy 21=down syndrome, trisomy 18=edward syndrome)
monosomy
a missing chromosome
turner syndrome
XO females (missing another X), delays sexual development
klinefelter syndrome
XXY males; delays sexual development, causes long limbs
XXY
causes tallness and acne, falsely linked to violent behavior
uniparental disomy
inheriting both copies of a chromosome from one parent (rare); arises from 2 nondisjunction events or a trisomy with subsequent chromosome loss
population
individuals of same species in same area
gene pool
all the alleles in a population
evolution
change in genetic structure of a population
nonrandom mating
mating is not random (ex. arranged marriage)
migration
gene flow between two previously isolated populations
genetic drift
changes in allele frequencies due to chance (in small populations)
mutations
create new alleles, most have harmful effects
natural selection
limited resources, differential reproductive rates, those with advantageous traits survive and reproduce (this is different from artificial selections which is intentional breeding for certain traits; ex. pugs, french bulldogs)
Hardy-Weinberg principle
allele and genotype frequencies stay constant unless disturbed (population stays in equilibrium and does not evolve)
allele frequencies
p + q = 1
freq of dominant allele (A) = p
req of recessive allele (a) = q
genotype frequencies
p^2 + 2pq + q^2 = 1
freq of homozygous dominant (AA) = p^2
freq of heterozygote (Aa) = 2pq
req of homozygous recessive (aa) = q^2