1/24
Looks like no tags are added yet.
Name | Mastery | Learn | Test | Matching | Spaced | Call with Kai |
|---|
No analytics yet
Send a link to your students to track their progress

Trypanosoma cruzi/brucei trypomastigote

Trichomonas vaginalis

Trypanosoma cruzi amastigote

Giardia trophozoite

Entamoeba histolytica cyst

Entamoeba histolytica trophozoite

Giardia cyst

Loa loa microfilariae

Toxoplasma gondii tachyzoite

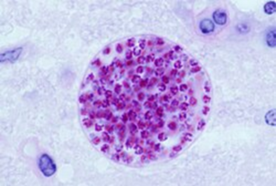
Toxoplasma gondii bradyzoite

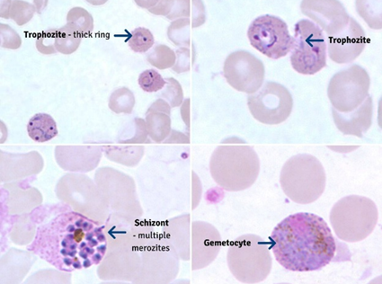
Plasmodium falciparum gametocyte

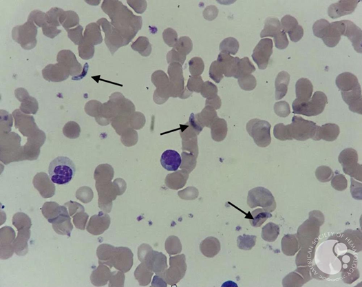
Plasmodium vivax

Ascaris (cross section)

Schistosoma mansoni adult

Schistosoma mansoni egg

Schistosoma mansoni cercariae

Fasicola hepatica adult

Diphyllobothrium latum scolex

Diphyllobothrium latum proglottids

Taenia solium proglottids

Taenia solium scolex

Trichuris trichuria adult

Trichinella spiralis encysted larvae

Necator americanus adult

Enterobius vermicularis egg