Block 3 Week 4 Catastrophe Histology

0.0(0)
Studied by 0 people
call kaiCall Kai
learnLearn
examPractice Test
spaced repetitionSpaced Repetition
heart puzzleMatch
flashcardsFlashcards
GameKnowt Play
Card Sorting

1/29

encourage image

There's no tags or description

Looks like no tags are added yet.

Last updated 8:42 PM on 2/27/26
Name
Mastery
Learn
Test
Matching
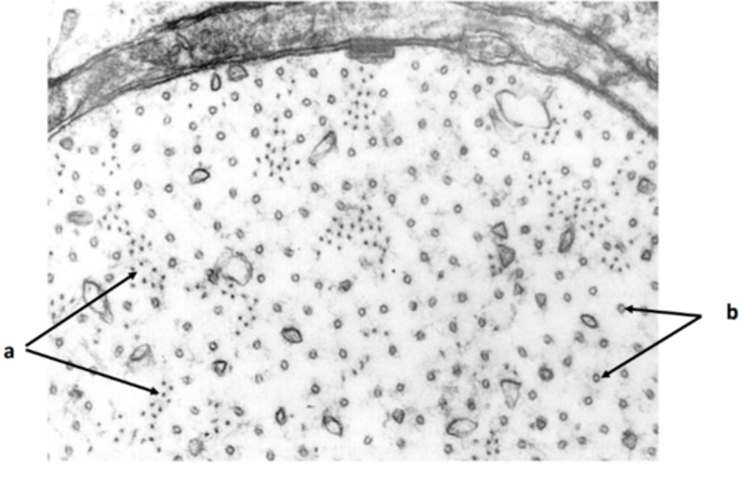
Spaced
Call with Kai

No analytics yet

Send a link to your students to track their progress

30 Terms

1
New cards

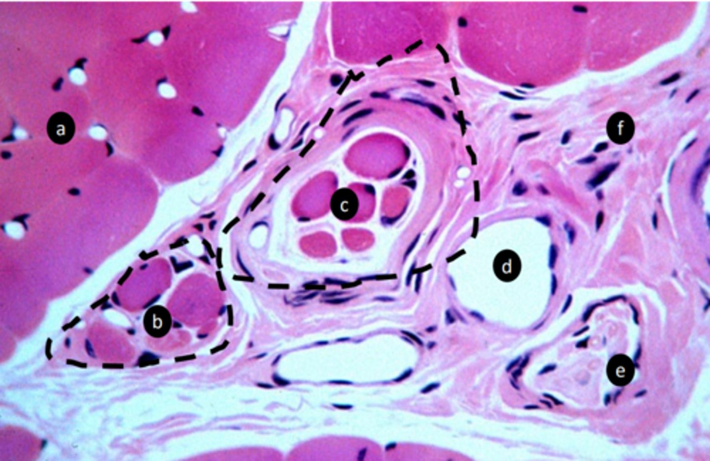
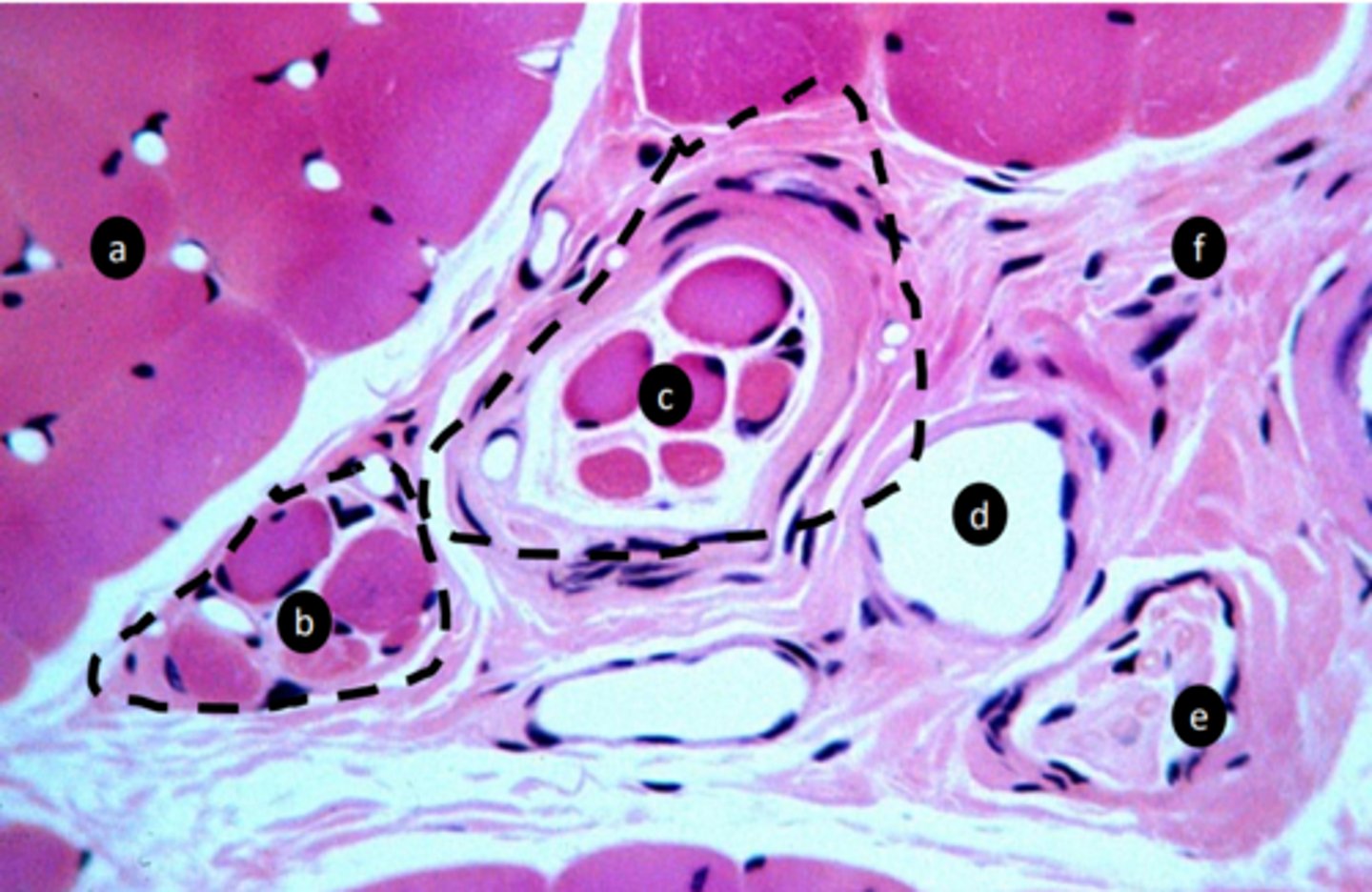
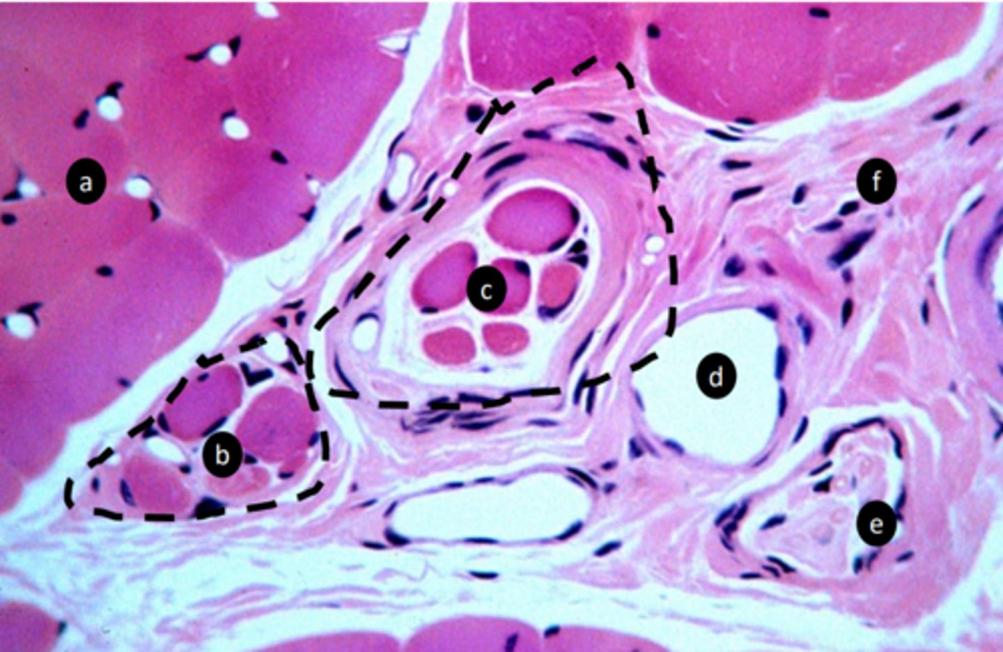
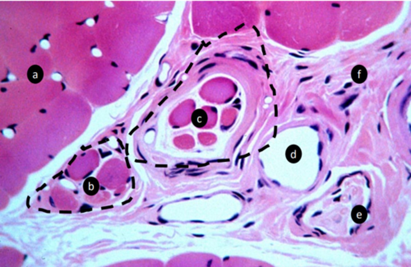
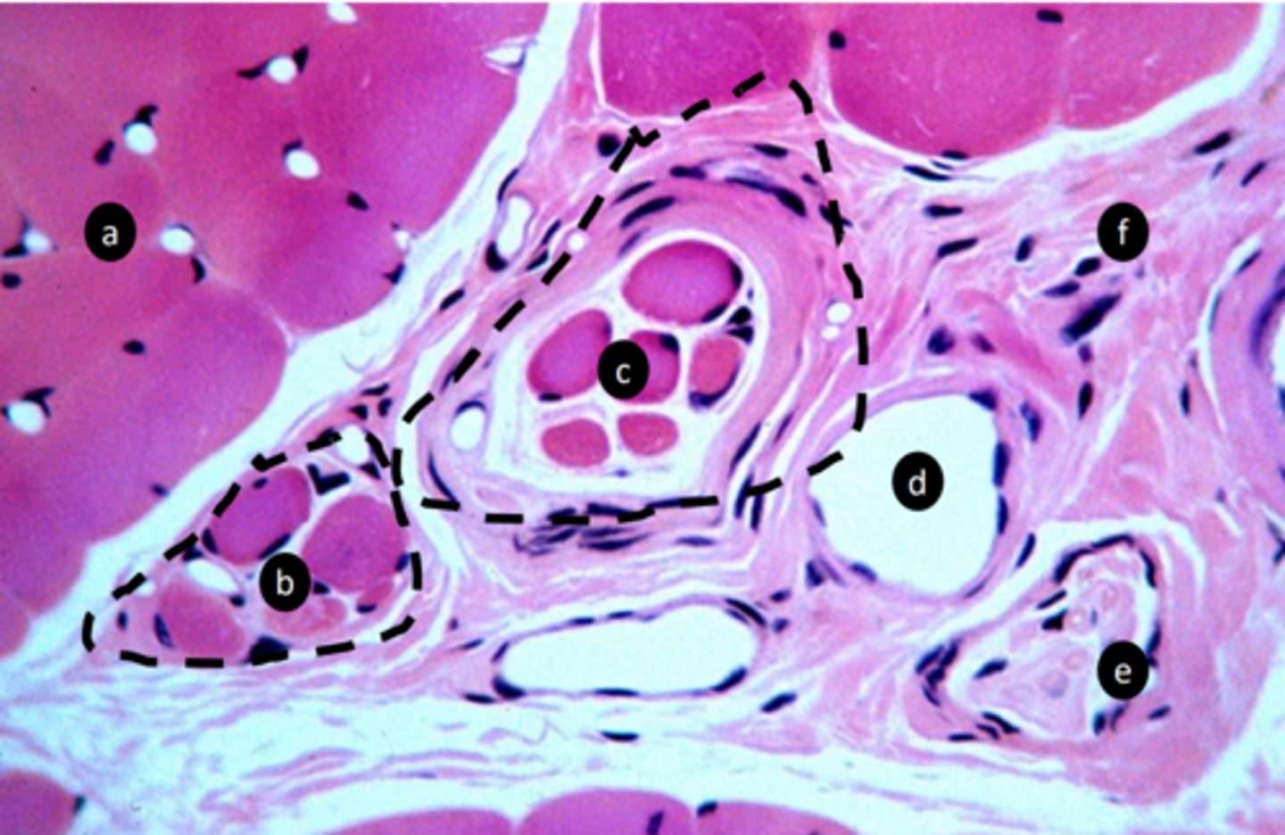
extrafusal myofibers

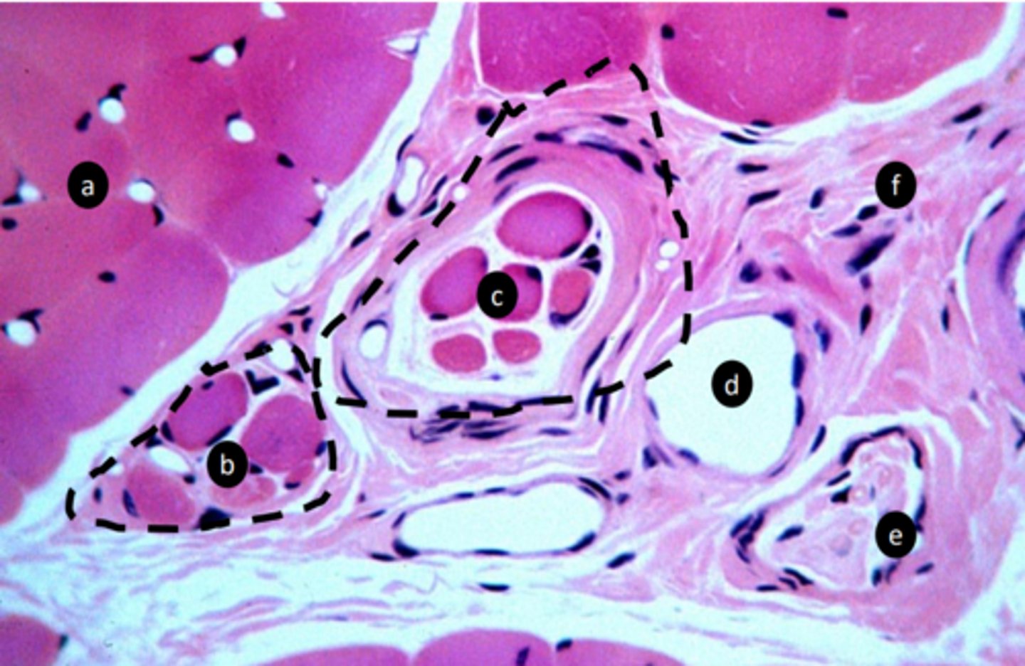
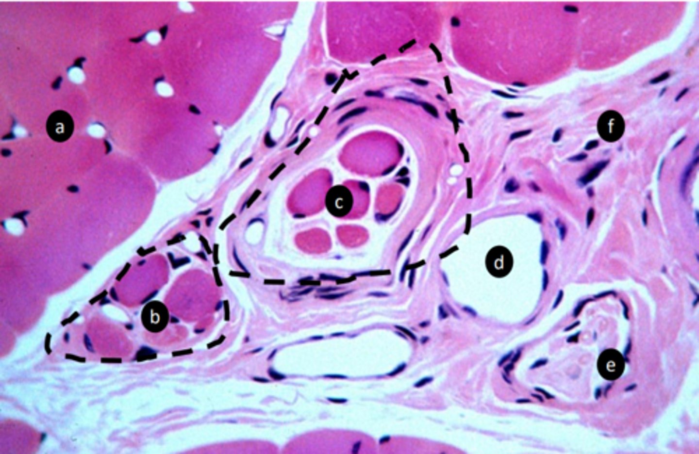
a: specific tissue type

<p>a: specific tissue type</p>
2
New cards

intrafusal muscle fiber

b: specific tissue type

<p>b: specific tissue type</p>
3
New cards

intrafusal muscle fiber (muscle spindle)

c: specific tissue type

<p>c: specific tissue type</p>
4
New cards

stretch receptor, proprioception: detect length and velocity

function of c?

<p>function of c?</p>
5
New cards

vein

e: structure

<p>e: structure</p>
6
New cards

nerve fibers

f: structure

<p>f: structure</p>
7
New cards

CT

g: tissue type

<p>g: tissue type</p>
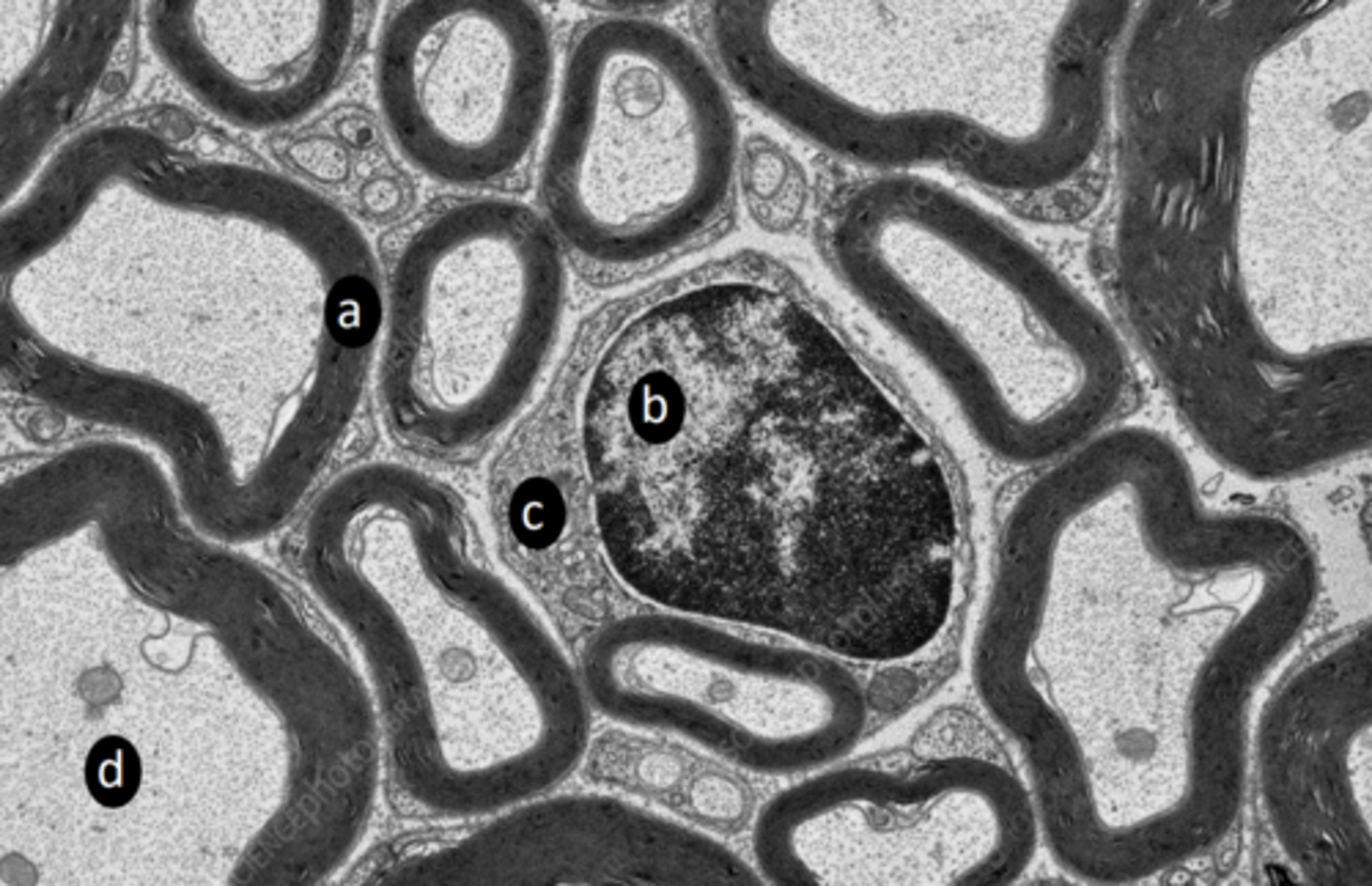
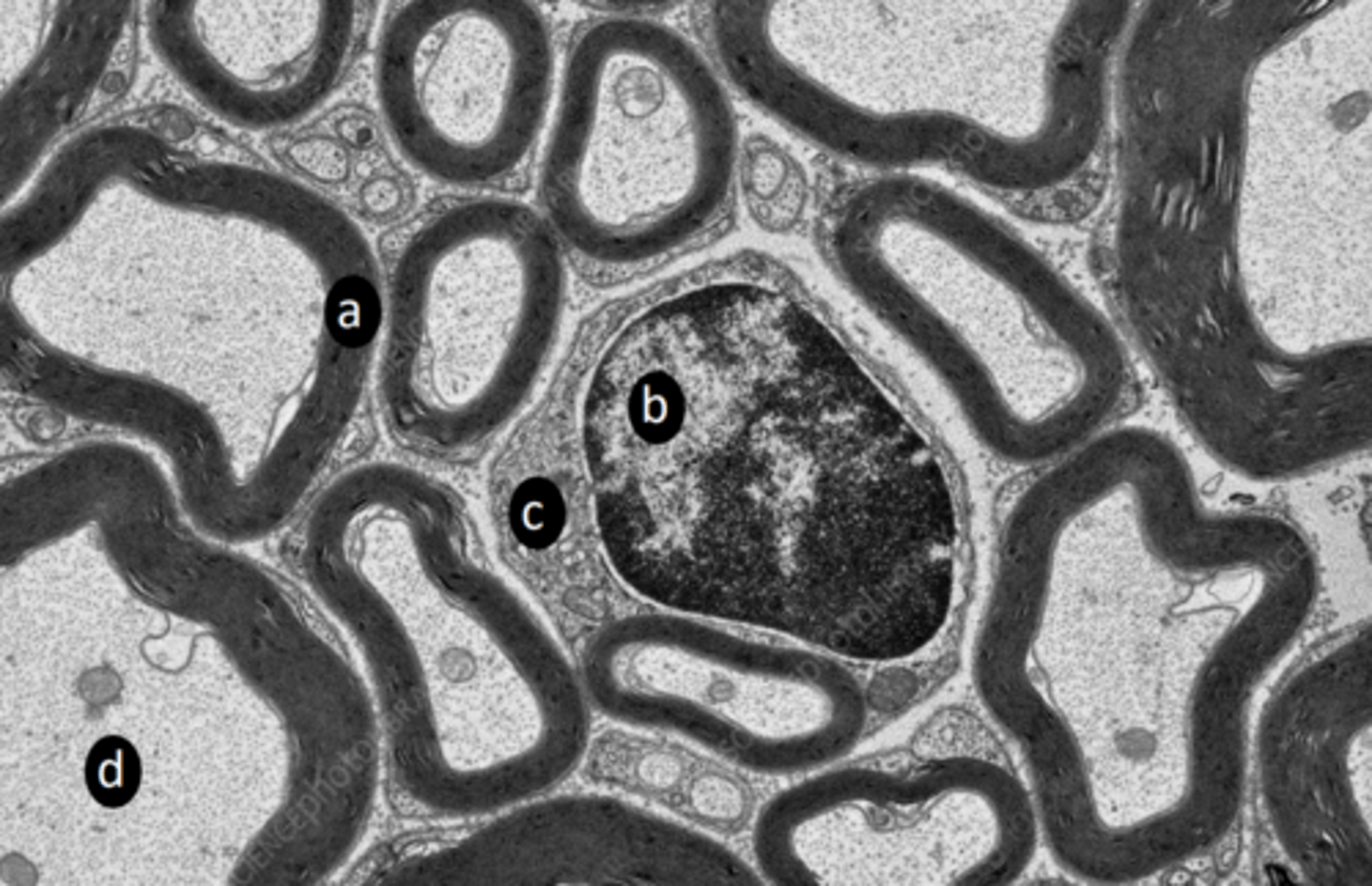
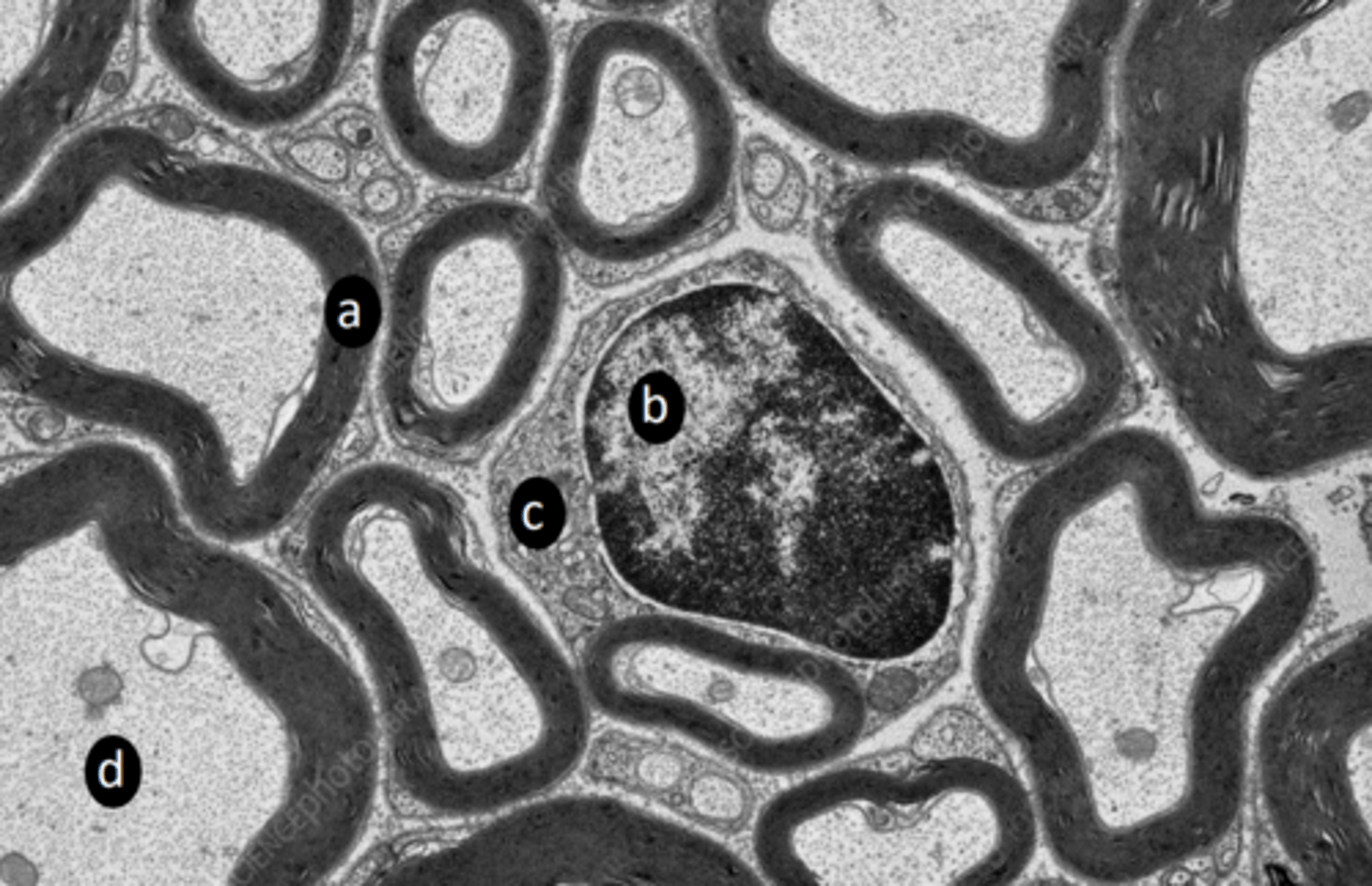
8
New cards

myelin sheath

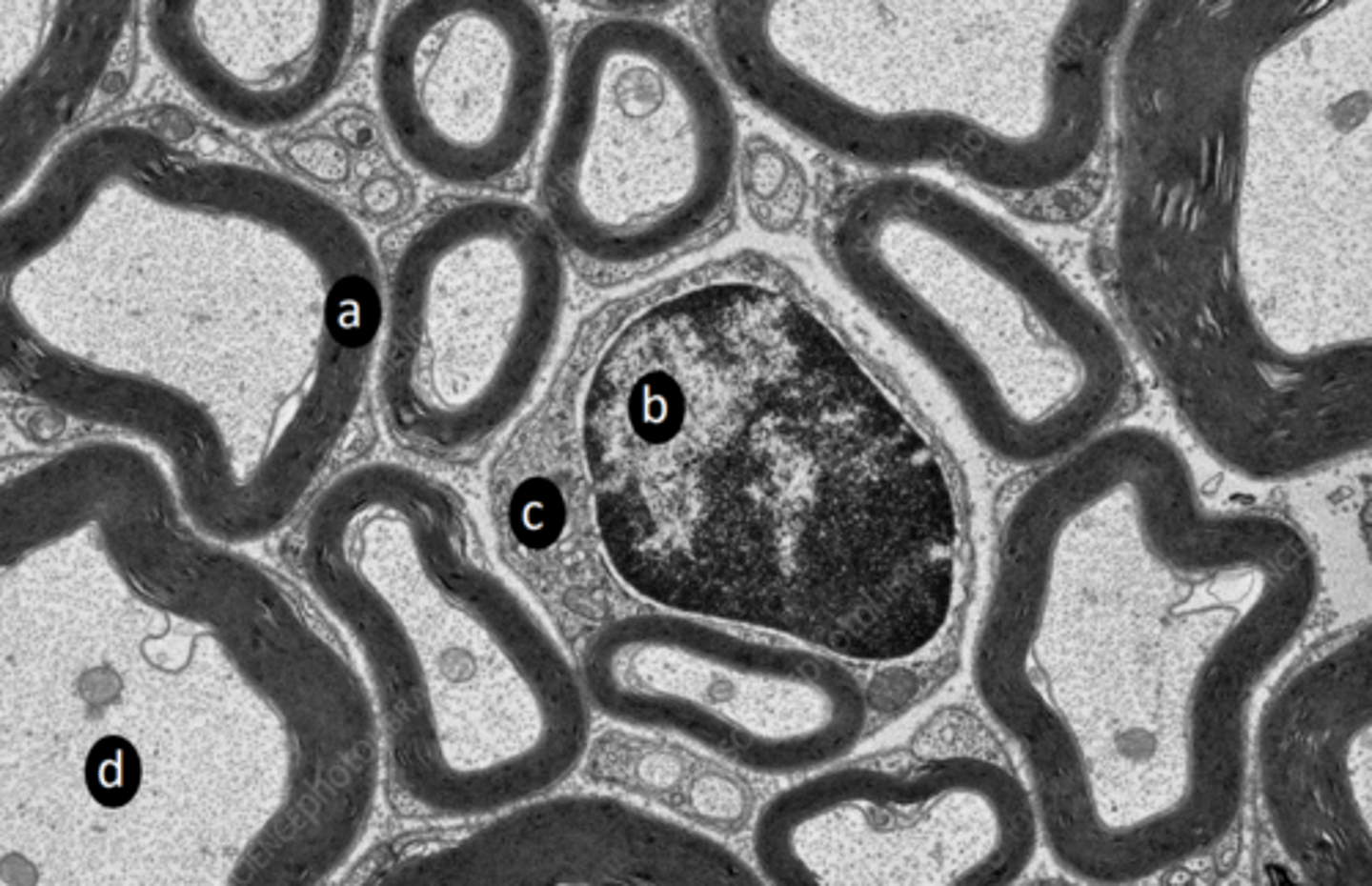
a: structure

<p>a: structure</p>
9
New cards

schwann cell nucleus

b: structure

<p>b: structure</p>
10
New cards

schwann cell cytoplasm

c: structure

<p>c: structure</p>
11
New cards

microtubule, neurofilament, mitochondria

d: two structures present in labelled region

<p>d: two structures present in labelled region</p>
12
New cards

axon

a: structure

<p>a: structure</p>
13
New cards

calcium

what ions stimulate action potential?

<p>what ions stimulate action potential?</p>
14
New cards

secretory vescicles

c: structure

<p>c: structure</p>
15
New cards

axon terminal

d: structure

<p>d: structure</p>
16
New cards

acetycholine receptors, ACh receptors

e: structure

<p>e: structure</p>
17
New cards

acetycholine

f: structure

<p>f: structure</p>
18
New cards

synaptic cleft

g: space

<p>g: space</p>
19
New cards

sarcolemma

h: structure

<p>h: structure</p>
20
New cards

acetylcholinesterase

i: compound

<p>i: compound</p>
21
New cards

neurofilament

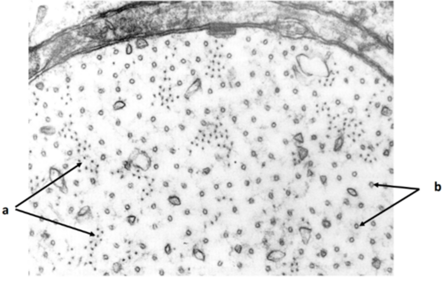
a: structure

<p>a: structure</p>
22
New cards

neurotubule

b: structure

<p>b: structure</p>
23
New cards

Schwann cell cytoplasm

red: structures

<p>red: structures</p>
24
New cards

secondary synaptic clefts

orange: structures

<p>orange: structures</p>
25
New cards

synaptic vesicles

yellow: structure

<p>yellow: structure</p>
26
New cards

primary synaptic clefts

blue: structures

<p>blue: structures</p>
27
New cards

mitochondria

purple: structure

<p>purple: structure</p>
28
New cards

synaptic vescicles

orange: structures

<p>orange: structures</p>
29
New cards

basal lamina

yellow: structures

<p>yellow: structures</p>
30
New cards

active zones

green: structures

<p>green: structures</p>