1/103
Looks like no tags are added yet.
Name | Mastery | Learn | Test | Matching | Spaced | Call with Kai |
|---|
No analytics yet
Send a link to your students to track their progress
FOXP2 Gene
Highly conserved in evolutionary tree
Codes for transcription factor that effects other genes
Linked to language ability
When individuals have a damaged or missing copy, they experience language deficits
Human Language Causation Study
Plomin et al. 1997
Measuring ability in verbal and spatial language tests of parents v offspring (housed together), parents v offspring (housed apart, isolating genetic component), and adoptive parents v adopted offspring (isolating environmental component)
→ Language abilities have a strong genetic component

Broca’s Aphasia
Spontaneous speech and speech motor control defecits
Wernicke’s Aphasia
Speech comprehension defecit
What areas of the brain are associated with speech? How?
Broca’s and Wernicke’s areas, damage or loss enables opportunistic study of imporance

Human Language Ontogeny Study
Johnson and Newport 1989
Acquiring second language declines with age
Sensitive period for language acquisition seems to end around 7 years old
Languages acquired based on environment

Brain Tissue takes _ energy to maintain than muscles
16 times more
How may language have evolved to justify the energy cost of increased brain maintenance?
Language transfers useful information to kin and non-kin
How does language contribute to human group behavior?
Language dialects signal group membership
Language use conveys identity, origin, and social status
Humans unconsciously mimic the linguistic patterns of people around them
Humans can consciously manipulate language to alter their secondary language signals
Phylogenetic Comparisons with Human Language
Human language more complete than other species
Chimpanzees and other species acquire rudiments of language after extensive training
Close species do not have the structural ability to produce human speech but some birds can
Degree of comprehension of human language among animals is unclear*
Confounding Variables in Studying Human Mate Choice
Cultural differences
Birth control/contraceptives
Environmental factors
Biological Basis of Mate Choice in Humans
Women are typical female mammals
Males limited by female physiology and psychology
Human Relationship between Physical Traits and Reproductive Success Study
Prokop and Fedor 2011
→Single men are less attractive than married men
→Single men are shorter than married men
→Single men have poorer reproductive success than married men

Human Association Between Strength and Facial Attractiveness Study
Fink et al. 2007
Men with best handgrip strength are rated as more attractive
→Attraction to male traits associated with power may result from fitness increase as powerful men are able to protect partners and supply resources due to high social status

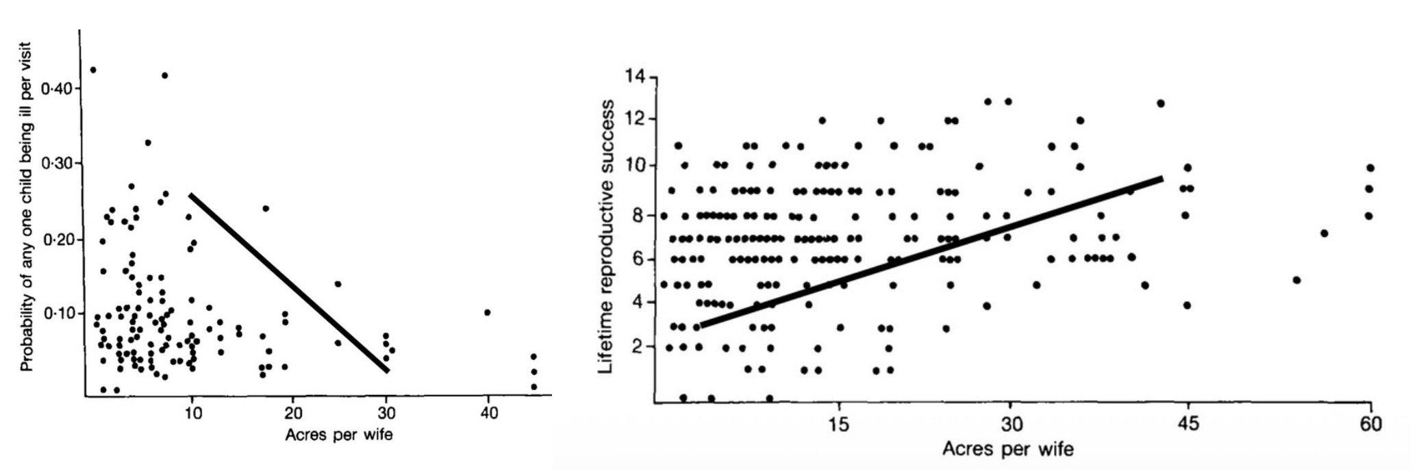
Human Reproductive Success versus Male Wealth Study
Mulder 1987
Studied lifetime reproductive success of men in Kenya compared to the number of acres they owned per wife
→Women have higher reproductive success when married to wealthy husbands
Studied probability of any given child being ill per visit compared to number of acres owned per wife
→Offspring have better health when father is wealthy

Human Trait Value Study
Li et al. 2002
Gave participants a point budget to select traits of an ideal partner
Men put 21% of budget into attractiveness, Women put 10%
Men put 3% of budget into income, Women put 17%
Sex based preference gap was highest when points budget is low
→ Females value resources more, Males value attractiveness more
In Singapore women value social level more and men value physical attractiveness more as well

Human Female Self-Perception Mate Choice Study
Buston and Emlen 2003
→Women with a higher self-perceptionhave a stronger preference for mates with better traits

Human Mate-Choice Copying Study
Waynforth 2007
Had women rate the attractiveness of a photo of a man
Showed women photo of man with either a low, medium, or highly attractive woman
Women’s impression of a man’s attractiveness increased in the man’s initial attractiveness was low when depicted with a woman, with the most change with a highly attractive woman
Women’s impression of a man’s attractiveness decreased for initially medium or highly attractive men depicted with low or medium attractive women
→ Human females are more attracted to a man associated with a ‘high value’ woman, indicating human mate-choice copying

Human Women’s Physical Indications of Fertility
Lower waist to hip ratio
Higher breast to waist ratio
Human Female Association Between Figure and Fertility Study
Jasienska et al. 2004
Studied the concentration of salivary oestradiol (fertility hormone) in women with a large or small breasts and a narrow or broad waste
Women with a narrow waist and large breasts had higher concentrations of salivary oestradiol
→ Males may be attracted to large breasts and narrow waists due to their indication of the fertility of a female

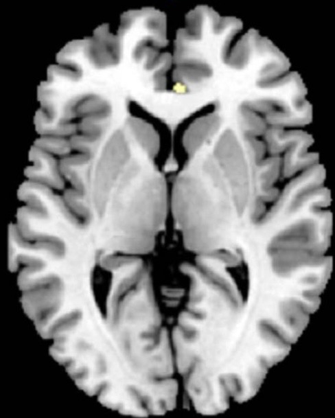
Human Male Brain Recognition of Female Figure Ratio Study
Platek and Singh 2010
Changes in waist hip ratio activated anterior paracingulate gyrus of men

Human Male Detection of Ovulation from Odor Study
Singh and Bronstad 2001
Had women wear shirts for multiple days at different parts of their menstruation cycle and then had male participants blindly sniff shirts
Males preferred scents of shirts worn during ovulation
→ Men can likely detect and prefer differences in scent due to increased fertility
Human Male Detection of Ovulation from Voice Study
Recorded women speaking at different parts of their menstrual cycle
Women have slightly higher pitch during ovulation
Men rate voices during ovulation as more attractive
→Men are able to detect and are attracted to tonal changes associated with ovulation likely due to increased fertility
Human Mate Infidelity Study
Winking et al. 2007
The proportion of men having an affair per year decreases and number of dependents increase
→ Men are less likely to have an affair with more dependents, potentially due to demonstrated reproductive success

Human Mate Sexual Conflict Study
Buss and Schmitt 1993
Over a span of time men ideally prefer to have more sexual partners than women
→ Men may be more interested in acquiring additional sexual partners than women
83% of studied preindustrial societies allowed multiple wives
Over a span of time men are more quick to opt to have intercourse with a woman, generally showing higher probability

Human Willingness to Reproduce with Stranger Study
Clark and Hatfield 1989
Had an attractive member of the opposite sex proposition either men or women on the street
0% of women said yes, 75% of men said yes
→ Women are likely less inclined to practice sex with a man they don’t know well due to a higher reproductive risk to women resulting from copulation
Human Infidelity Preference Study
Wiederman and Kendall 1999
Asked participants whether they found the idea of their partner exhibiting emotional or sexual infidelity more troubling
63% of women were more concerned about emotional infidelity, 62% of men were more concerned about sexual infidelity
→ Women may be less concerned about sexual infidelity due to biological insurance that offspring she is raising are her own
Habitat Choice
Where animals distribute themselves in space and time with respect to resources in their environment
Ideal Free Distribution
Predicts how animals should first settle into habitats
Predicts equilibrium frequency of individuals in different patches
→ Where individuals moving between habitat 1 and habitat 2 would suffer a reduced payoff→ Resources in Habitat 1/Individuals in Habitat 1= Resources in Habitat 2/Individuals in Habitat 2 (Resource Matching Rule)
Assumes all individuals are counted, individuals are free-moving, and there are no costs to movement (never the case irl)
Tends to accurately predict the distribution of animals in a controlled setting

Ideal Free Distribution in Sticklebacks Study
Milinski 1979
Pumped differing amount of food species (Daphnia sp.) into opposing sides of a tank full of stickleback
Stickleback demonstrated IFD distribution, with equal proportions of population to food

Ideal Free Distribution in Ducks Study
Harper 1982
Bread thrown to ducks at opposing sides of pond
Ducks divided attention to food in IFD ratio
Disease Risk Effect on Habitat Choice Study
Koesecker and Skelly 2000
Gray treefrogs can contract a deadly parasite from American ribbed fluke snail
Number of treefrog eggs deposited in habitat was measured where snails were not present, in different concentrations, or infected or uninfected with the parasite
Frogs deposited many more eggs in area with no snails than other habitat
Frogs deposited no eggs in areas with infected snails
Frogs deposited eggs in higher concentrations when snails were uninfected and at low concentration than at high concentration
→ Gray treefrogs avoid habitat shared with a species that may infect them
→ Gray treefrogs may be sensitive to detecting whether a snail is infected

Territoriality
Occupation and defense of a particular area
Territory size is influenced by _.
The types and strengths of costs and benefits available in potential territories

Territoriality in Chimpanzees Study
Goodall 1986
Participants were either single individuals, related individuals, or unrelated individuals
Chimpanzees risk lives patrolling and fighting to expand and defend territory
MORE INFO
Learning Territoriality Study
Stamps 1987
Presented a lizard with two potential territories, one containing a conspecific, and then removed the conspecific and allowed the lizard to explore the territories
Lizard approached the territory previously containing a conspecific more quickly and spent more time there over multiple days
→ Lizards learn territory value from conspecific, likely because in the wild, presence of a conspecific in a territory indicates resources valuable to an individuals niche

Satellites
Conspecifics of a territory owner that are tolerated on their territory
Satellites in Pied Wagtails Study
Davies and Houston 1981
Pied Wagtails were observed in their foraging territories and satellites were counted, defense of the territory by satellites was also measured
→ Satellites contributed to defense of territory
→ Satellites were tolerated when food was abundant but not when it was limited
An example of conditional cooperation

Territorial Dynasties in Florida Scrub Jay Study
Woolfenden and Fitzpatrick 1978
Over time, individuals maintained and grew territories
An example of territorial budding

Types of Migration
Obligatory
Irruptive
Select
Obligatory Migration
Where migration reliably occurs in a species during a measurable cycle
Irruptive Migration
Where migration in a species does not reliably occur but will occur if certain conditions are met
Select Individual Migration
Where a species as a whole is not migratory but some individuals or populations are
Monarch Migration Navigation Study
Perez et al. 1997
Monarchs were allowed to remain outside, remained inside for a period of time with a simulated sun cycle matching outdoors, or remained inside for a period of time with a sun cycle moved later by 6 hours
The sun’s location in the sky indicates direction differently based on time of day
Monarchs exposed to later sun cycle flew in a different direction
→ Monarchs use a time-compensated sun compass to navigate

Indigo Bunting Migration Navigation Study
Emlen 1975
Buntings were places in a planetarium in an Emlen Funnel which clearly demonstrates area where the bird travels through scratches
When the planetarium depicted a spring star map, the birds attempted to move north
When the planetarium depicted a fall star map, the birds generally attempted to move south
When no stars were shown the birds did not move in a specific direction
→ The Indigo Bunting uses stars to navigate

Bobolink Migration Navigation Study
Beason and Nichols 1984
Bobolinks migrate a 12,400 round trip and may demand a complex navigation system
When shown correct visual star patterns, the bird was correctly oriented
When shown correct visual star patterns, and given correct magnetic polarity cues, the bird was correctly oriented
When shown correct visual star patterns, and given incorrect magnetic polarity cues, the bird was not correctly oriented
→ The Bobolink primarily navigates with magnetic cues during migration
→ Magnetic substances in olfactory nerves and bristles projecting into nasal cavity make up system that can detect cues from Earth’s magnetic field
German Black-Cap Migration Heritability Study
Pulido et al. 2001
Measured time of displayed migratory restlessness in captive German Black-cap
Restlessness way delayed by 7.65 days in the second generation
Heritability of migration instinct was determined to be .72
→ German black-caps demonstrate a high degree of inherited migration instinct in the absence of migrational cues/ability to migrate

Immune Function of Migrants Study
Moller and Erritzoe 1988
Measured volume of organs (bursa and spleen) associated with immune function in resident and migratory birds of close relation
Migratory birds exhibited greater bursa and spleen volumes
→ Migratory birds have more robust immune systems, likely due to migratory exposure to differing pathogens and the need to maintain health during migration

Migration Phylogeny Study
Outlaw and Voelker 2006
Asked what factors predict evolution of migration
Studied migration habits of many related birds with differing environmental conditions
→Species in higher altitudes are more likely to migrate
Asked what the ancestral state of migration is
→ ancestrally the Pipit birds were likely sedentary

Anthropogenic Conservation Issues Surrounding Migration
Light pollution can inhibit navigation by stars
Barriers can cut off individuals from migration routes
Habitat destruction can result in migration to now non-existent habitat
Climate change and anthropogenic expansion can alter migration cues
Migrating species require monitoring and conservation efforts across range
How is information transferred within and between generations?
Genetics
Cultural Transmission
Cultural Transmission
Transfer of information that affects an individual’s phenotype by means of:
Social learning
or
Teaching
Social Learning
Learning via observation of others
Cultural Transmission in Macaques Example
Imo (1 yo macaque) developed skill for watching sweet potatoes and wheat that were scattered on the beach
Other members of Imo’s troupe learned washing behavior from watching Imo
Cultural Transmission in Norway Rats Study
Galef and White 1997
Norway rats are faster to find food if they observe a conspecific eating it first
Information: Food location and edibility
Phenotype: Eating behavior
Social Learning: Observation of conspecific
Importance of Cultural Transmission
Information can be spread through individuals beyond offspring
Information transfer occurs more quickly than reproduction or genetic selection
Social Learning Human Example
Bandura et al. 1961
Children observed adults behaving either violently or calmly toward a toy clown
→When permitted to play, children tended to imitate the behavior they had observed
Types of Social Learning
Imitation
Copying
Imitation
Acquisition of a novel response through observation of a demonstrator performing that response
New behavior learned
Involves spatial manipulation
Achieves a goal
Imitation in Blue Tits Study
Fisher and Hinde 1949
Blue tits had learned to puncture foil on milk bottle deliveries to drink milk
Behavior transmitted through learning the new behavior from conspecifics
Imitation in Budgerigars Study
Galef et al. 1986
Observing budgie watched a demonstrator either lift a lid with their foot or bill
Observers were more likely to lift the lid in the way the demonstrator did
Budgie did not have a predisposition to a certain strategy but instead learned how to remove lid from conspecific →imitation
Physiology of Imitation Study
Molenberghs et al. 2012
In rhesus macaques, neurons in the F5 premotor area are active when observing or performing a behavior
Copying
Observer repeats what it has seen a demonstrator do
New behavior does not need to be learned
Achievement of goal
Copying in Mice Study
Kavaliers et al. 1999
Prior to fly exposure mice do not respond to fly bites
Unexposed mice who observe a demonstration of a mouse being bitten and then burying itself will then bury itself after seeing a fly
If an inhibitor (NPC) is applied (to the NMDA receptor) before the behavior is observed, the observer does not bury itself
→ Inhibition of the NMDA receptor preventing the intake of a behavior supports claim that this behavior is learned
Mate-choice Copying in Guppies Study
Dugatkin 1992
Focal female placed in a tank between two males, with a model female placed towards one of the males
Focal female tended to switch initial choice to follow model female demonstration compared to control
Female guppies are inclined to select with males of oranger coloration, which is a heritable trait
When the males in the experiment had a different amount of orange coloration and the model was always positioned near the male with less orange, the focal female would choose the model’s selection most of the time until there was a 40% difference in coloration the time
→ Both genetic and social cues influence female guppy mate choice, but they demonstrate a significant degree of mate-choice copying
Mate-choice Copying
An individual copies mate choice of a conspecific
Modes of Cultural Transmission
Vertical
Oblique
Horizontal
Vertical Cultural Transmission
Information transferred across generations from parents to offspring
ex. beaching and sponging in dolphins tends to be exhibited in calves whose mothers practiced these behaviors
Oblique Cultural Transmission
Information transferred from non-parental members of the parental generation but not by parents to offspring
Oblique Cultural Transmission in Macaques Study
Cook et al. 1985
Lab-raised monkeys do not exhibit hesitation towards snakes
Naive juveniles were exposed to snakes before and after watching an unrelated demonstrator show fear for snakes
Following exposure, lab-raised monkeys exhibited hesitation towards snakes, demonstrating oblique cultural transmission
If naive juveniles are exposed to a film where the demonstrator had been made to look feerful of a flower, the juvenile would not show increased fear response towards flowers
Horizontal Cultural Transmission
Information transferred among peers (members of the same generation)
Horizontal Cultural Transmission in Guppies Study
Laland & Williams 1998
Groups of similarly-aged guppies were trained to take a long or short route for food, then naive individuals would be introduced to each school, before the groups were removed and the naive individual remained alone
Untrained guppies followed the route that they had learned from demonstrators, with loyalty to long path decreasing over time → demonstrating oblique learning
Teaching
When one individual serves as instructor and another individual seves as sudent that learns from instructor. Teachers have an active role.
Teacher must:
provide immediate benefit to student but not self
teach naive students only
transfer information at faster rate than student could acquire it on its own
Teaching in Meerkats Study
Thornton and McAuliffe 2006
Young meerkats cannot catch prey
At 1 month old: meerkats start following older ‘helpers’ to find food
As pups get older, helpers feed them less disabled prey and spend less time monitoring pups, pups capture more of their own food and lose less, pup handling time decreases
→ Opportunity teaching
Helpers nudge pups towards rare food items
→ Coaching
Types of Teaching
Opportunity
Coaching
Opportunity Teaching
Teachers place students in situations conducive to learning
Coaching
Teachers alter student behavior through reward or punishment
While the study of animal behavior is mainly concerned with … individuals, consevation biology is concerned with the behavior of _.
Populations
Uses of Behavior in Conservation
Estimating population size
Understanding behavioral problems
Predicting degree of risk to environmental change
Predicting introduction success
etc.
Estimating Population Size in Hyenas Study
Mills et al. 2001
Hyena calls were played to populations with various differences from the speaker and known population sizes and the number of hyenas that responded was recorded
While proximate populations didn’t always reliably respond, within 3.2 kilometers calls were returned by either the whole population or none at all, while further populations did not respond
→ Nearby populations could be reasonably counted if they respond to the calls
Understanding Behavioral Problems in Penguins Study
Fowler et al. 1995
Magellanic penguins with less than five percent oil contamination were returned to the colony after an oil spill, but didn’t reproduce successfully
Female penguins with oil exposure produced lower estradiol (sex hormone) levels
Male penguins with oil exposure produced lower levels of testosterone and DHT (necessary for reproduction)
→ Despite low exposure, penguins with oil contact exhibited low reproductive success due to effects on sex hormones
Are generalists or specialists more likely to be vulnerable to disturbance?
Specialists
Kestrel Environmental Risk Study
Temple 1984
Went from 4 Wild Mauritius Kestrels in 1974 to Endangered
Vulnerability was caused by extensive habitat destruction and introduction of predators
While kestrels previously nested in tree cavities, they shifted to nesting in hole/niches on cliffs
→ Specialist species can adapt to environmental change in some circumstances, demonstrating that they are not necessarily sentenced to extinction with severe disturbances
Whales and Noise Pollution Study
Military Sonar has been demonstrated to disrupt whales
In contact with military sonar, whales will stop feeding, swim away, or take sudden deep dives leading to mass confusion and drowning
→ Environmental threats are not always recognized
Introduction success rate is _ for species with sexually dichromatic plumage versus species with sexually monochromatic plumage
lower
Introduction Success of Bettongs Study
McLean et al. 2000
Captive Bettong populations were exposed to behavioral tests to determine whether they were equipped to survive predator exposure in the wild
Post-testing the Bettongs exhibited more vigilant behavior → in captivity, we can train animals to address natural conditions appropriately
Introduction Success of Whooping Cranes Study
Due to extremely low population size, Whooping cranes were raised in captivity
Captive whooping cranes lost migratory knowledge and lost a location as a result
By associating a flock with a light aircraft and flying the historic migration route, a new population that could retrace and pass on migratory route was founded, effectively reintroducing a population into the area
Social behaviors are effective adaptations when they
increase animal’s lifetime reproductive success
potential benefits outweigh costs
Benefits of Social Behavior
Resource acquisition: food (easier hunts, more ways to find food)
Resource acquisition: mates (finding mates, learning mating behaviors, defending mates, leks)
Resource acquisition: territory
Maintenance (allogrooming, thermoregulation)
Predator Avoidance (dilution, confusion, detection efficiency, group defense)
Costs of Social Behavior
Resource Competition: food
Resource Competition: ideal mates
Disease Risk
Predation Risk
Types of Social Interactions
Mutualism
Parasitism
Altruism
Reciprocal Altruism
Predator Avoidance: Dilution Effect
Where by being part of a larger group of potential prey, the odds of any specific individual being predated is reduced
ex. Butterfly evasion of Smooth-billed ani (Burger & Gochfeld 2001)
Predator Avoidance: Confusion Effect
Where predator’s ability to discern individual prey is reduced
Predator’s hunting efficiency decreases as school size increases
ex. Largemouth bass predation of Silvery minnows (Landeau and Terborgh 1986)
Predator Avoidance: Detection Efficiency
Individuals can rely on warning signs given by group members
ex. Meerkats, Chickens
Predator Avoidance: Group Defense
Where groups are more capable of preventing casualties by fending off predators pursuing a member
ex. mobbing ravens to drive them away from nests