1/240
Looks like no tags are added yet.
Name | Mastery | Learn | Test | Matching | Spaced | Call with Kai |
|---|
No analytics yet
Send a link to your students to track their progress
urinary bladder
Identify the indicated structure.

renal
What is the vessel that supplies blood to the kidney called?
kidney
Identify the indicated structure.

urethra
What is the name of the tube that carries urine from the urinary bladder to the exterior?
proximal convoluted tubule
What portion of the renal tubule receives urinary filtrate from the glomerulus?
proximal convoluted tubule
Identify the indicated region of the nephron.

cortex
Identify the indicated region of the kidney.

glomerulus
What portion of the nephron is the site of the filtration of blood plasma and the formation of urinary filtrate?
minor calyx
Identify the indicated structure.

stratified columnar
What type of epithelium is present in this portion of the urethra?

tubular secretion
At several places along the length of the kidney tubule, additional material is removed from the blood plasma by either active or passive transport. This process is called:
urethra
Identify the indicated structure.

collecting duct
What portion of the kidney receives urine from several distal convoluted tubules?
glomerular filtration
The process of passing a portion of the blood plasma through the epithelium of the proximal portion of the nephron results in the initial stage of urine formation. This process is called:
transitional
What type of epithelium is present in the bladder?

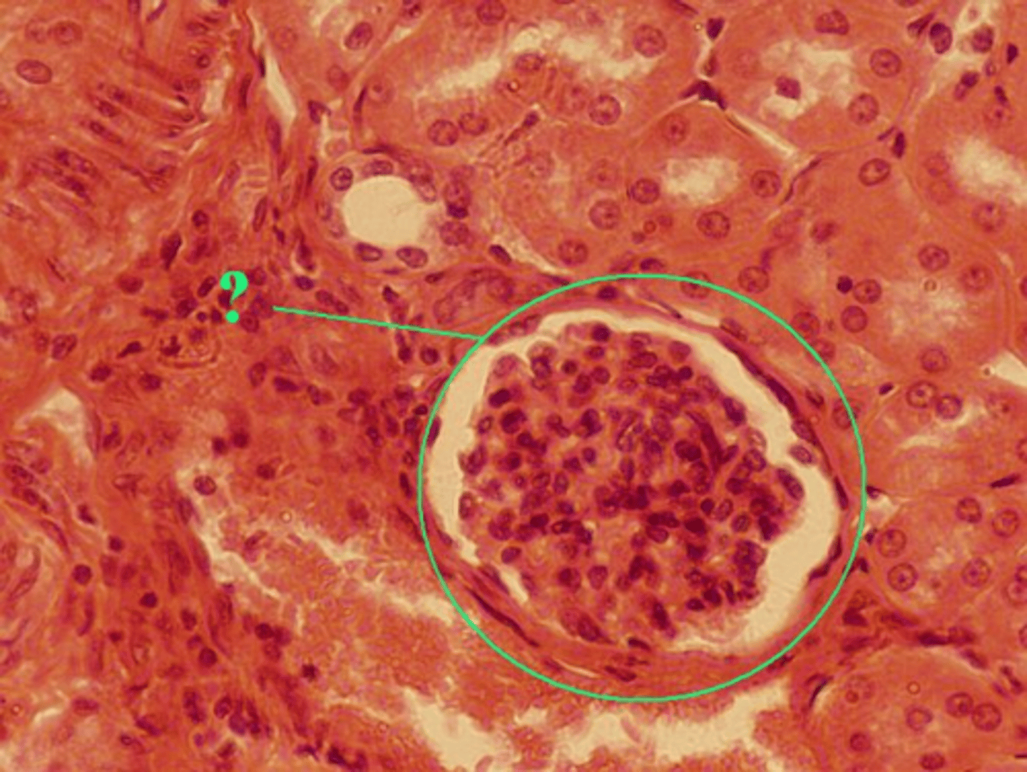
Bowman's capsule
Identify the indicated region of the nephron.

renal column
Identify the indicated structure.

renal pelvis
Identify the indicated structure.

glomerulus
Where in the nephron does filtration take place?
nephron
What is the functional unit of the mammalian kidney?
simple cuboidal
What type of epithelium is present in the thick segments of the Loop of Henle?
thick segment
Identify the indicated region of the loop of Henle.

antidiuretic hormone
What hormone serves to decrease water loss by increasing the permeability of the collecting ducts to water?
increase
Will increasing the diameter of the efferent arterioles to the glomerulus increase or decrease the rate of glomerular filtration?
arcuate vein
Identify the indicated vessel.

glomerulus
Identify the indicated region of the nephron.

interlobar vein
Identify the indicated vessel.

segmental artery
Identify the indicated vessel.

increase
Will decreasing the number of glucose carrier proteins in the renal tubule increase or decrease the amount of glucose eliminated in the urine?
collecting duct
Identify the indicated region of the nephron.

corpus cavernosum
What is the indicated erectile tissue of the penis called?

capsule
Identify the indicated layer of the kidney.

pyramidal papilla
Identify the indicated structure.

glomerulus
Identify the indicated structure in the kidney.

major calyx
Identify the indicated structure.

medullary pyramid
Identify the indicated region of the kidney.

hilus
Identify the indicated region of the kidney.

distal convoluted tubule
Identify the indicated region of the nephron.

simple squamous
What type of epithelium is present in the thin segments of the Loop of Henle?
renal artery
Identify the indicated vessel.

increase
Will high blood pressure increase or decrease the rate of glomerular filtration?
aldosterone
What hormone serves to increase sodium reabsorption at the expense of potassium ions?
arcuate artery
Identify the indicated vessel.

renal vein
What is the vessel that drains blood from the kidney called?
renal vein
Identify the indicated vessel.

interlobular artery
Identify the indicated vessel.

thin segment
Identify the indicated region of the loop of Henle.

interlobar artery
Identify the indicated vessel.

tubular reabsorption
At several places along the length of the kidney tubule, material that passed into the urinary filtrate are returned to the blood plasma by either active or passive transport. This process is called:
loop of Henle
What portion of the renal tubule receives urinary filtrate from the proximal convoluted tubule?
micturition
The process of eliminating urine from the body is called:
urinary bladder
What is the storage site of urine before it is eliminated from the body?
distal convoluted tubule
What portion of the renal tubule receives urinary filtrate from the loop of Henle?
decrease
Will decreasing the diameter of the afferent arterioles to the glomerulus increase or decrease the rate of glomerular filtration?
interlobular vein
Identify the indicated vessel.

retroperitoneal
Where are the kidneys relative to the peritoneal membrane?
loop of Henle
Identify the indicated region of the nephron.

ureter
Identify the indicated structure.

ureter
Identify the indicated structure.

lobar artery
Identify the indicated vessel.

gamete nuclei fuse
Fertilization occurs when:
gastrulation
The process that results in the formation of the three germ layers is:
zygote
A fertilized ovum is called a:
cleavage
The series of mitotic divisions that divide the fertilized ovum into successively smaller and smaller cells (without intervening growth periods between divisions) is called:
morula
The solid ball of cells that results from the division of the fertilized ovum at the 32-cell stage is the:
blastula
The hollow ball of cells that forms after the 32-cell stage is the:
meiosis
The process of nuclear division that results in the halving of chromosome number and leads to the formation of gametes is called:
ovary
Identify the indicated structure.

fallopian tube
Identify the indicated structure.

fimbriae
Identify the indicated structures.

round ligament
Identify the indicated structure.

cervix
Identify the indicated structure.

labia minora
Identify the indicated structure.

labia majora
Identify the indicated structure.

vagina
Identify the indicated structure.

external urethral orifice
Identify the indicated opening.

urethra
Identify the indicated structure.

uterosacral ligament
Identify the indicated structure.

urinary bladder
Identify the indicated structure.

uterus
Identify the indicated structure.

anus
Identify the indicated structure.

mons pubis
Identify the indicated structure.

suspensory ligament
Identify the indicated structure.

clitoris
Identify the indicated structure.

ejaculatory duct
Identify the indicated structure.

infundibulum
Identify the indicated structure.

bulb of the penis
Identify the indicated structure.

prostate gland
Identify the indicated structure.

prepuce
Identify the indicated structure.

ureter
Identify the indicated structure.

external urethral orifice
Identify the indicated opening.

scrotum
Identify the indicated structure.

anus
Identify the indicated structure.

membranous urethra
Identify the indicated structure.

ampulla of ductus deferens
Identify the indicated structure.

urinary bladder
Identify the indicated structure.

bulbourethral gland
Identify the indicated structure.

testis
Identify the indicated structure.

vas deferens
Identify the indicated structure.

epididymis
Identify the indicated structure.
