1/63
Looks like no tags are added yet.
Name | Mastery | Learn | Test | Matching | Spaced | Call with Kai |
|---|
No analytics yet
Send a link to your students to track their progress
What is the male reproductive system comprised of?
Testes
Ducts
Accessory glands
Penis
What is the function of the testes?
Produce spermatozoa and testosterone
Important in sexual differentiation
Where is gonadotropin secreted from?
The pituitary gland
What do metabolites stimulate in males during puberty?
Accessory glands
Hair follicles
What are the functional components of the system of ducts?
Ductuli efferentes → Epididymis → Vas deferens → Ejaculatory duct → Urethra
What are the functional components of the accessory (exocrine) glands?
Seminal vesicles (x2)
Prostate gland
What are the functional components of the penis?
Copulatory organ
Bulbourethral gland lubricate urethra
What covers the testes and divides them into lobules?
Tunica albuginea
Dense irregular connective tissue capsule that forms septa creating ~250 lobules
What terminology is more accepted in the gross room?
Testis and Testes
What structures are found within each testicular lobule?
1-4 seminiferous tubules
Interstitial (Leydig) cells
Connective tissue
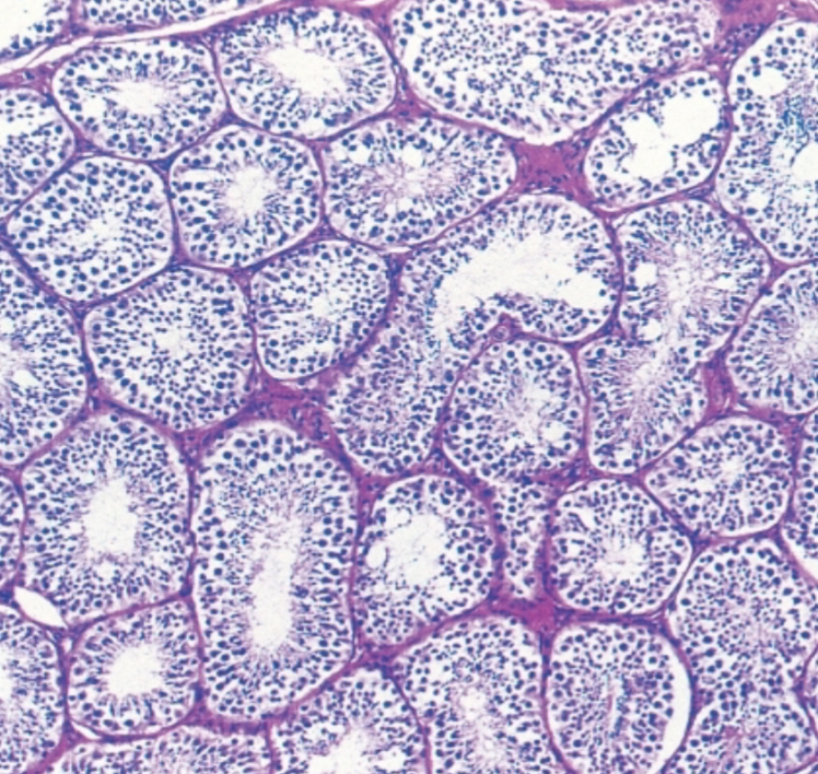
Describe seminiferous tubules
Highly coiled, 200 μm diameter, 30-70 cm long
Lined by germinal epithelium (Sertoli + spermatogenic cells)
Surrounded by myoid cells

What is this?
Posterior aspect of the testes
TA - Tunica albuginea
RT - Rete testis
S - Septa
E - Epididymis
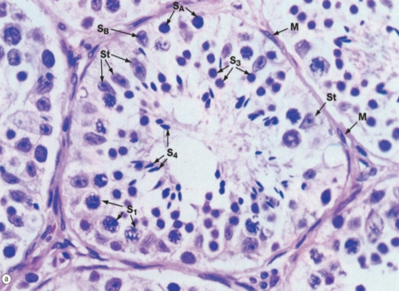
What are germinal epithelium composed of?
Sertoli cells
Spermatogenic stem cells
What is spermatogenesis?
Production of male gametes (~70 days)
What is spermiogensis?
Maturation into motile spermatozoon
What are the key features and functions of Sertoli cells?
Tall columnar cells with prominent nucleolus
Activated by FSH
Support/Nourish germ cells
Form blood-testis barrier
Secrete inhibin, regulate Leydig cells
Phagocytose residual bodies
What is phagocytosis?
Excess cytoplasm digested by lysosomes during spermiogenesis

What is this?
Seminiferous tubules

What cells are present here?
Sertoli cells (ST)

What is the arrow pointing at?
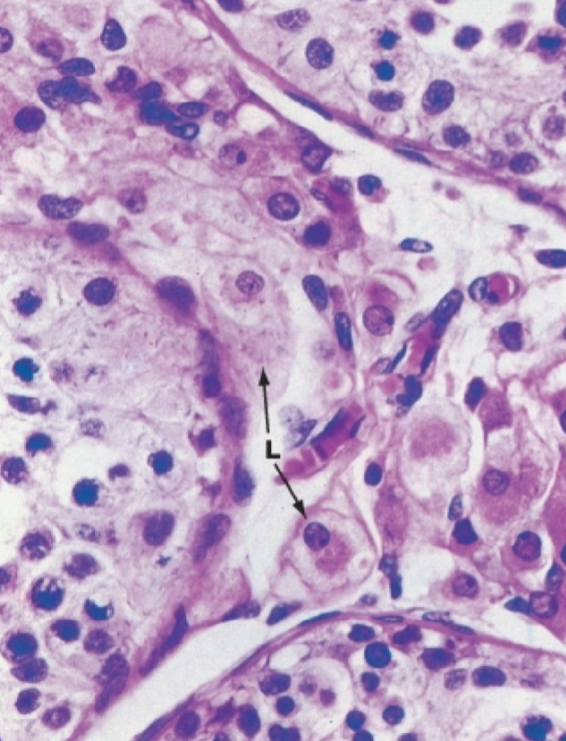
Interstitial (Leydig) cells
What stimulates Leydig cells and what do they produce?
Stimulated by LH to produce testosterone
What histologic features identify Leydig cells?
Round nucleus, dispersed chromatin (1-2 nucleoli)
Eosinophilic cytoplasm
Reinke crystals (protein inclusions) ← Characteristic THOUGH RARE
What are the three intratesticular ducts?
Straight tubules
Rete testis
Efferent ductulus
What epithelium lines straight tubules?
Initially → Only Sertoli cells
Later → Simple cuboidal
Describe the rete testis
Plexiform network
Simple cuboidal epithelium with microvilli
Surrounded by vascular collagenous tissue with myoid cells
What does short straight tubules connect?
Loops of seminiferous tubules to rete testis
What are the key features of efferent ductules?
Tall ciliated columnar cells alternating with short non-ciliated cells
Contains brown pigment
Smooth muscle helps move non-motile sperm

What is this?
Rete testes

What is this?
Ductus efferens
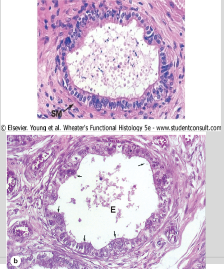
What are the functions of the epididymis?
Sperm accumulation, storage, maturation
Development of motility (spermogenosis)
Smooth muscle increases distally (sympathetic nervous system) → Strong contraction during ejaculation
What epithelium lines the epididymis?
Tall pseudostratified columnar epithelium with long cilia
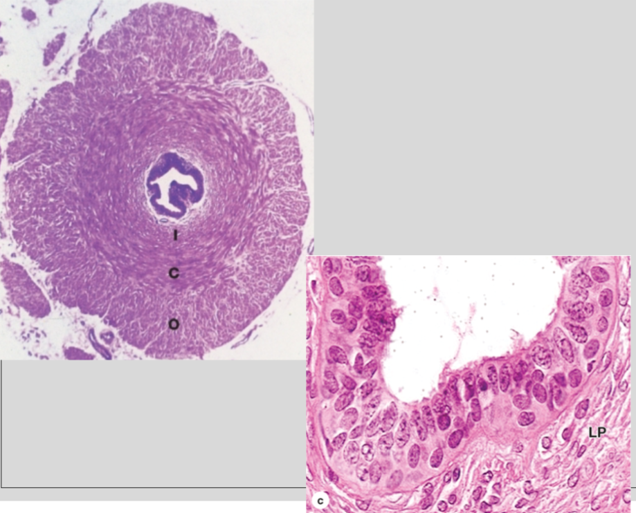
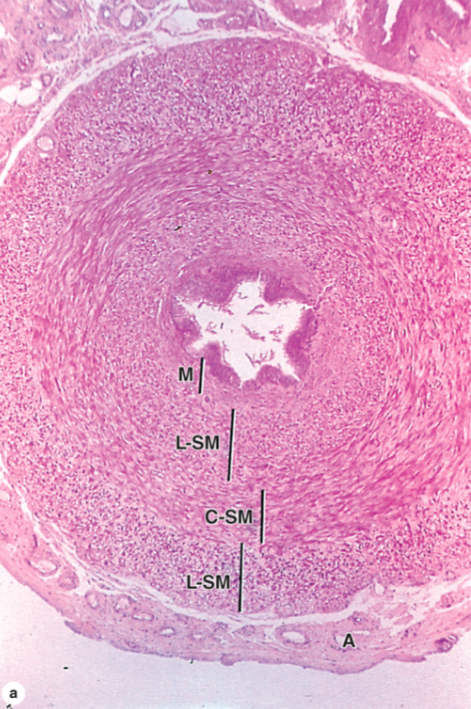
Describe the vas deferens histology
Thick muscular wall (3 layers)
Pseudostratified columnar epithelium
Sympathetically innervated

What is this?
Epididymis

What is this?
Ductus (Vas) deferens

What is this?
Ductus (Vas) deferens
What forms the ejaculatory duct?
Ampulla of vas deferens
Seminal vesicle duct
Joins urethra in prostate gland
What percentage of seminal fluid is produced by seminal vesicles?
~85%
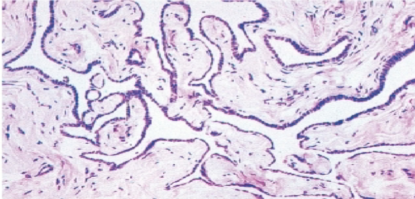
What are the key histologic features of seminal vesicles?
Pseudostratified tall columnar epithelium
Secretory cells with lipid droplets
Brown lipofuscin granules

What is this?
Seminal vesicles

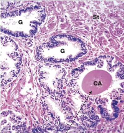
What is this?
Prostate gland

What is the arrow pointing at?
Corpora amylacea-inspissated secretions (prostate gland)

What is this?
Semen

What organ is this?
Penis

What is this?
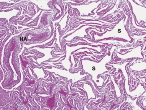
Corpus spongiosum

What is this?
Erectile tissue
S: Sinuses
HA: Helicine arteries
What substances do seminal vesicles secrete?
Fructose
Fibrinogen
Vitamin C
Prostaglandins
What are the four zones of the prostate?
Peripheral zone — Most cancer
Central zone
Transitional zone — BPH
Anterior fibromuscular zone
What does the prostate secrete?
Citric acid and proteolytic enzymes that liquefies coagulated semen after it is deposited in vagina
What are corpora amylacea?
Inspissated secretions found in prostate glands
What is the ejaculatory ducts relationship to the urethra?
Posterior
What histologic change indicates prostate cancer?
Loss of basal cells and prominent nucleoli
What are the histological features of the prostate?
Tall pseudostratified columnar epithelium (secretory) with prominent round basal nuclei and pale-staining cytoplasm
Small flat basal cells at base of gland
What is semen composed of?
Spermatozoa + seminal fluid (seminal vesicles + prostate)
What percentage of sperm are normally abnormal?
~25%
What is capacitation?
Final maturation in female tract involving:
Cholesterol removal
Membrane reorganization
Increase intracellular calcium
What are the three erectile bodies of the penis?
Two corpora cavernosa (dorsal)
One corpus spongiosum (ventral, surrounds urethra)
Describe corpus spongiosum histology
Erectile tissue with large irregular vascular channels and fibrocollagenous stroma
What causes erection?
Parasympathetic-mediated dilation of helicine arteries
Filling of vascular sinuses
Venous outflow restriction
What epithelium lines the prostatic urethra?
Transitional/Urothelium
What epithelium lines the membranous urethra?
Stratified or pseudostratified columnar epithelium
What epithelium lines the penile urethra?
Pseudostratified columnar epithelium
Surrounded by the corpus spongiosum
What epithelium lines the urethral meatus?
Stratified squamous epithelium
What lubricates the penile urethra?
Bulbourethral glands of Cowper
What is the order of the different urethras?
Prostatic → Membranous → Penile → Urethral meatus