1/26
Looks like no tags are added yet.
Name | Mastery | Learn | Test | Matching | Spaced | Call with Kai |
|---|
No analytics yet
Send a link to your students to track their progress

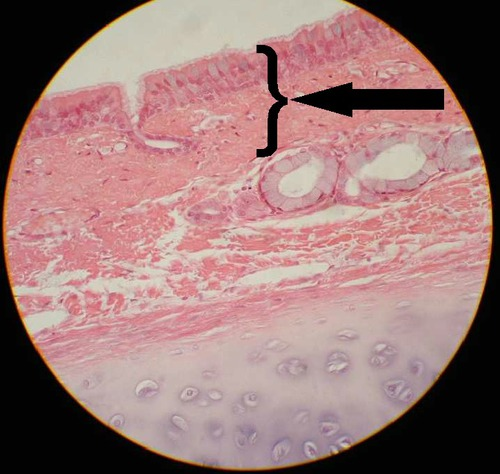
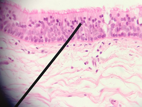
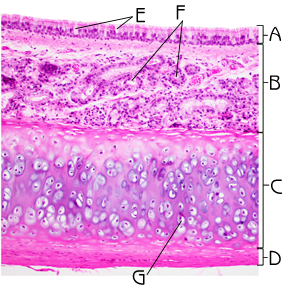
mucosa (trachea)

pseudostratified epithelium (trachea)

B
Submucosa (trachea)

Submucosal glands (trachea)

hyaline cartilage (trachea)

alveolus (lung)

simple squamous epithelium (lungs)

Capillaries (lungs)

bronchiole (lungs)

simple columnar epithelium (bronchiole)

smooth muscle (bronchiole)

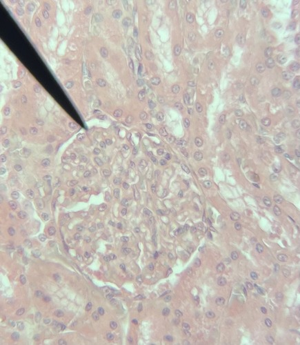
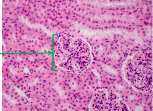
kidney

white space
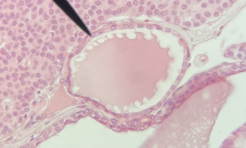
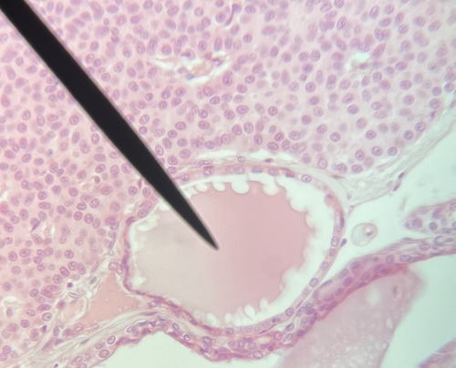
Bowman's capsule (kidney)

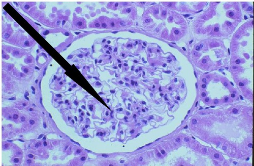
glomerulus (kidney)

renal corpuscle (kidney)

follicles (thyroid/parathyroid)

follicular cells (thyroid/parathyroid)

colloid (thyroid/parathyroid)

muscularis (ureter)

lamina propria (ureter)

adrenal cortex (adrenal gland)

adrenal medulla (adrenal gland)
layers of adrenal gland
zona glomerulosa, zona fasciculata, zona reticularis

islet of langerhans (pancreas)
what phase of uterus is straight glands with narrow lumen
proliferative
what phase of uterus has destroyed stratum functionalis
menstrual
what phase of uterus has tubular glands and thick endometrium
secretory