1/132
Looks like no tags are added yet.
Name | Mastery | Learn | Test | Matching | Spaced | Call with Kai |
|---|
No analytics yet
Send a link to your students to track their progress
When you noticed that there may be signs of verruca vulgaris in the mouth, it is wise to do which of the following?
check the fingers of the patient
3 multiple choice options

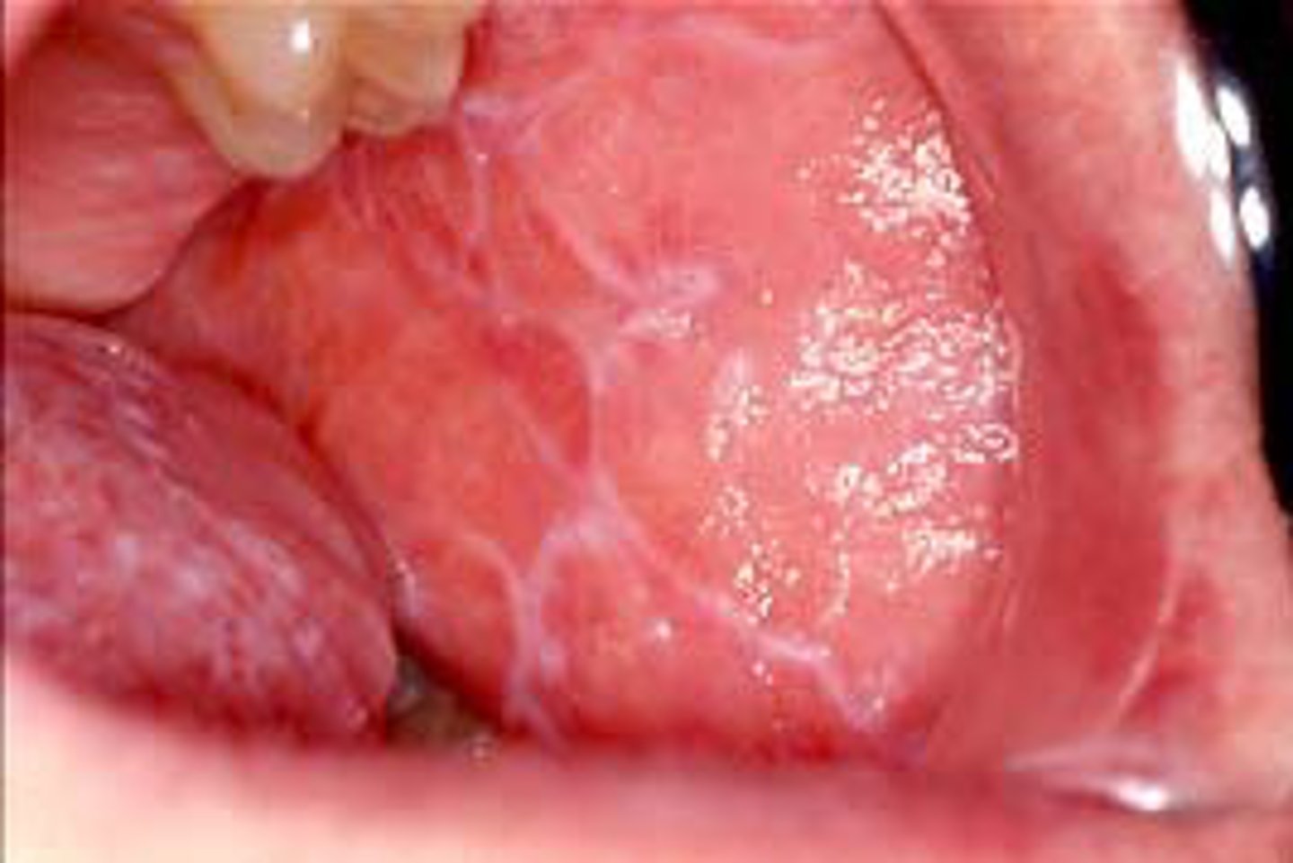
Multiple grayish-white mucosal patches ar present throughout the oral cavity.
secondary syphillis
3 multiple choice options
Lymphoid hyperplasia is classified as a:
reactive lesion
3 multiple choice options

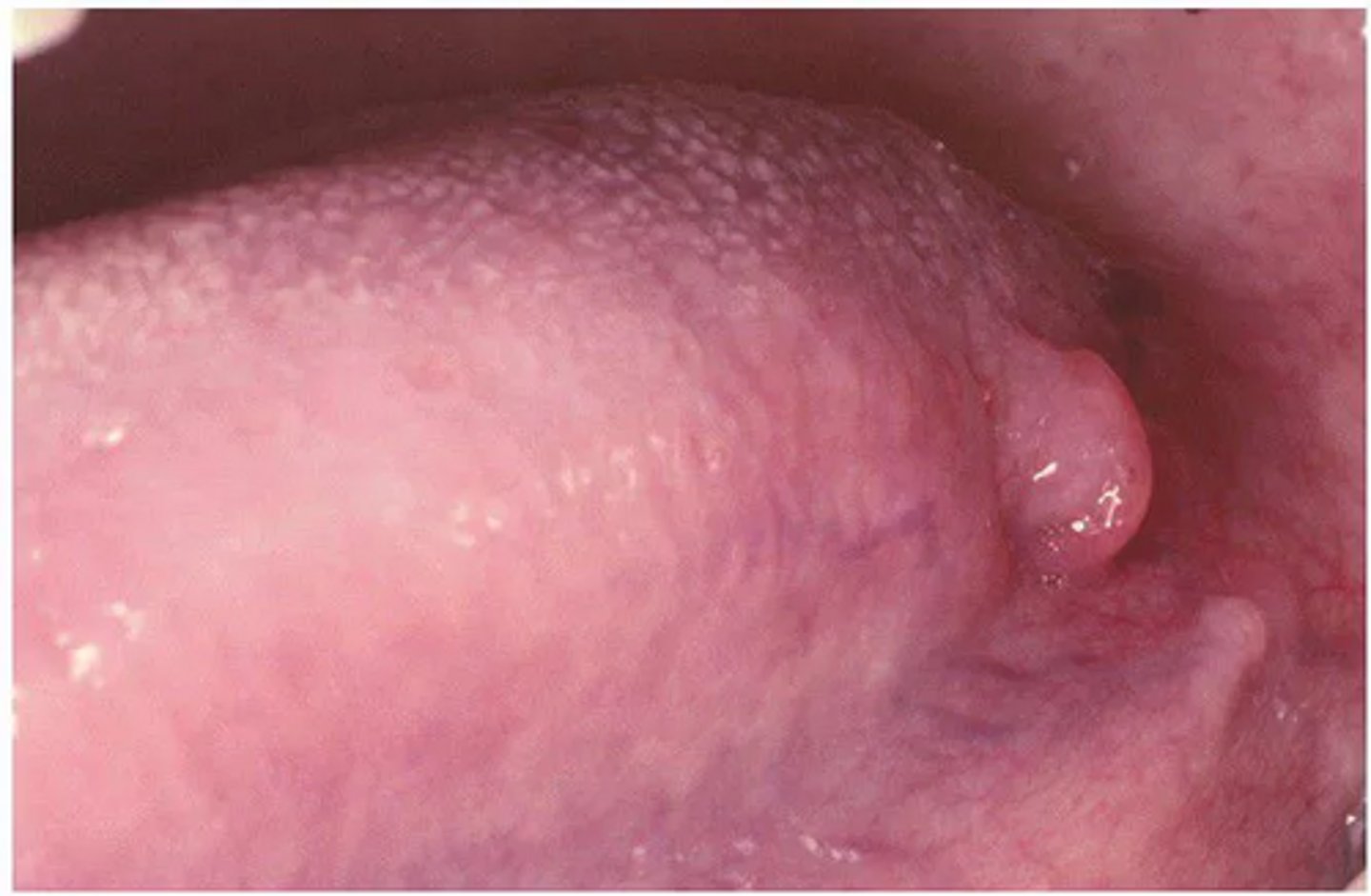
A lesion on the posterior lateral tongue appears bulbous and slightly lighter than surrounding tissue. It is asymptomatic.
What is the most likely diagnosis?
lymphoid hyperplasia
3 multiple choice options
A lipoma is classified as a:
benign neoplasm
3 multiple choice options
The most common intraoral location of fibromyalgia is the:
buccal mucosa
3 multiple choice options

A patient presents with soft, yellowish, smooth mass on the buccal mucosa. The lesion is asymptomatic and slow-growing.
What is the most likely diagnosis?
lipoma
3 multiple choice options

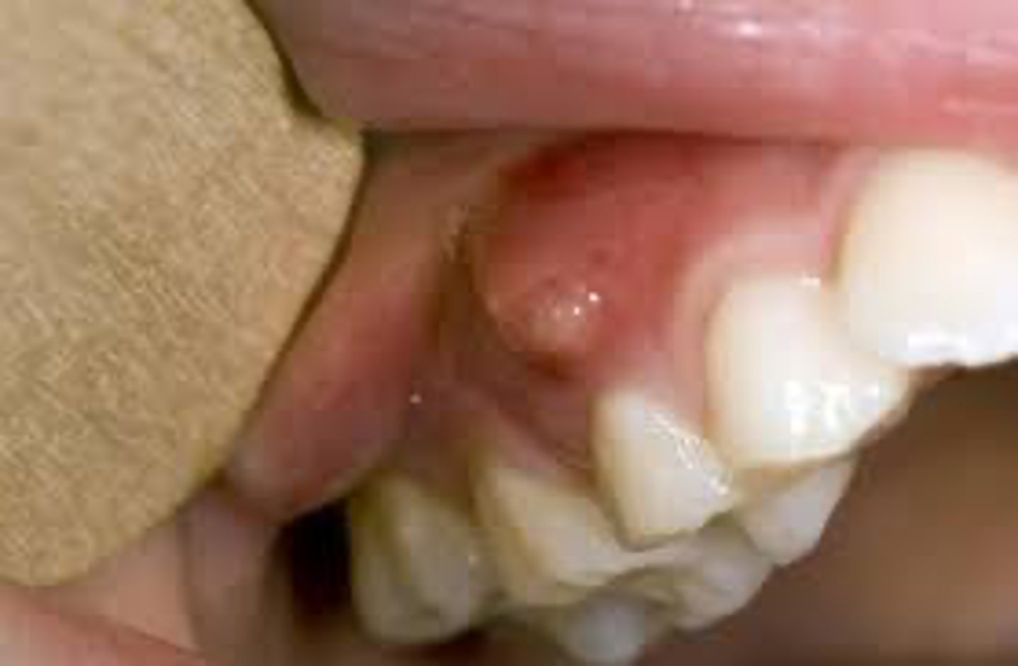
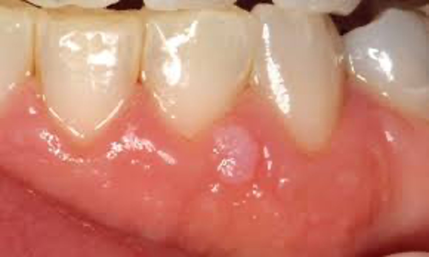
A patient presents with a small, red-yellow bump on the gingiva near a non-vital tooth. The lesion appears to contain pus.
What is the most likely diagnosis?
parulis
3 multiple choice options

A cyst forms after trauma where epithelial cells are implanted into connective tissue. The lumen contains keratin.
What is the most likely diagnosis?
epidermoid cyst
3 multiple choice options

A radiopaque mass is seen in the floor of the mouth near the submandibular duct.
Which condition is most likely?
sialolithiasis
3 multiple choice options
Which description is most consistent with oral melanoma?
blue-black lesion with irregular borders and asymmetry
3 multiple choice options
A pigmented lesion suspicious for melanoma is most likely to be found in which location?
hard palate and maxillary gingiva
3 multiple choice options

A patient presents with a small, well-circumscribed blue-gray lesion on the palate. The lesion has been present for years with no change in size or color.
What is the most likely diagnosis?
blue nevus
3 multiple choice options
A 35-year-old patient presents with a small, well-defined blue-gray lesion on the hard palate. The lesion has been present for many years with no changes in size, color, or shape.
Which of the following should NOT be included in the differential diagnosis?
hemangioma
3 multiple choice options
Which of the following represents the ABCDE warning signs of melanoma?
asymmetry, border irregularity, color variation, diameter >6 mm, evolution
3 multiple choice options

A patient presents with multiple flat brown macules on the lips, oral mucosa, and perioral skin. The pigmentation is diffuse and symmetric, with no single dominant lesion.
Which of the following is MOST likely to be considered in the differential diagnosis?
Peutz-Jeghers syndrome
3 multiple choice options

A patient presents with multiple brown macules on the lips, oral mucosa, and perioral skin. The patient reports these lesions have been present since early childhood. Medical history reveals intestinal polyps.
Which of the following is the LEAST likely diagnosis?
melanosis
3 multiple choice options

A patient presents with white patches on the buccal mucosa that can be wiped off, leaving a red, raw surface.
What is the best treatment?
antifungal therapy
3 multiple choice options

A young patient presents with diffuse, thick, bilateral white plaques on the buccal mucosa. The lesions are asymptomatic and there is a family history of similar findings.
What is the most likely diagnosis?
white sponge nevus
3 multiple choice options

A patient presents with a white, corrugated lesion on the lateral border of the tongue that cannot be wiped off. The patient is immunocompromised.
This lesion is most strongly associated with which of the following?
EBV
3 multiple choice options
A patient presents with a persistent white lesion on the lateral tongue that cannot be wiped off. There is no obvious source of irritation, and the lesion has been present for several weeks.
What is the most appropriate next step?
refer for biopsy
3 multiple choice options
If biopsies are performed on leukoplakia, ______ will show hyperkeratosis.
80%
3 multiple choice options

You discovered a white, opalescent, opaque-appearing finding in your patient's buccal mucosa. What is the most likely diagnosis?
leukoedema
3 multiple choice options
Morsicatio buccarum and morsication labiorium are both related to which of the following?
hyperkeratosis
3 multiple choice options

Which of the following lesions have malignant potential?
chronic hyperplasticity candidiasis
3 multiple choice options

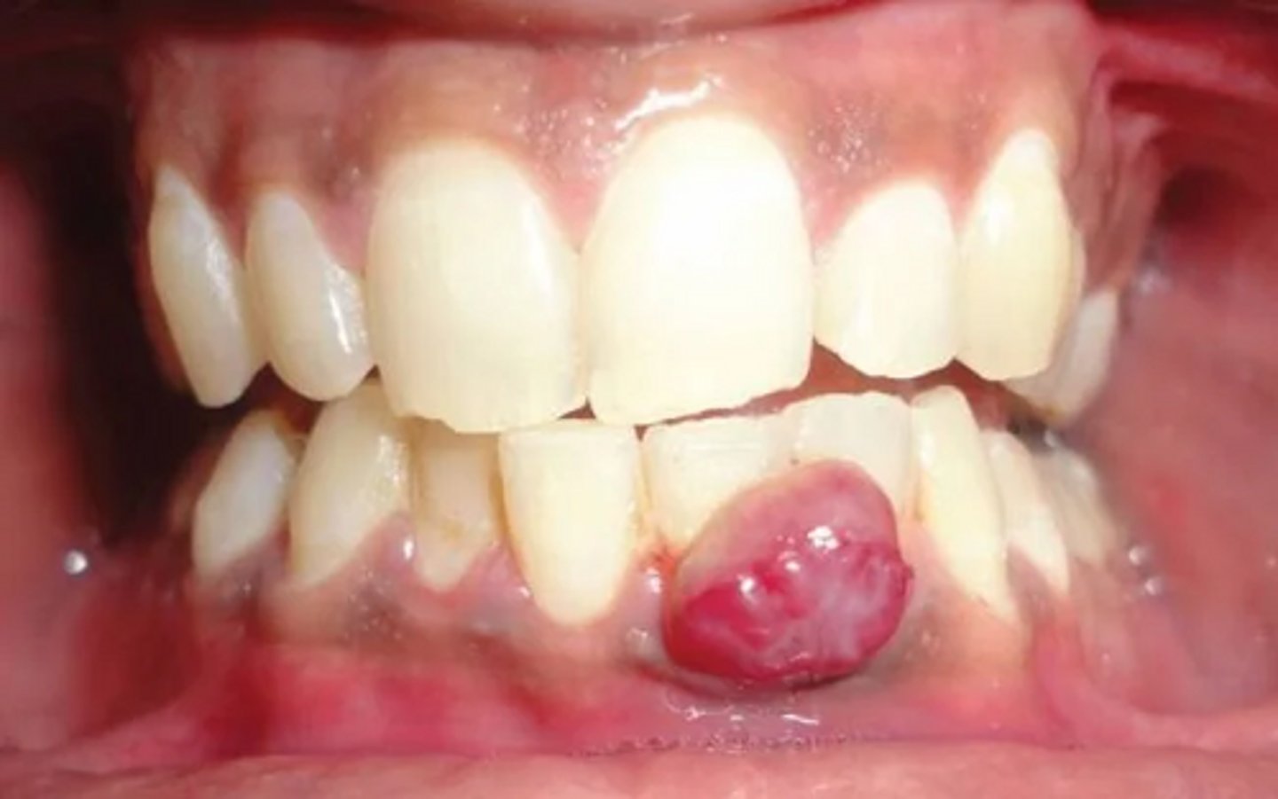
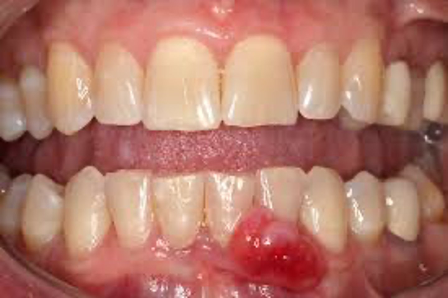
A lesion is described as a benign, solitary vascular growth that represents an exuberant tissue response to local irritation or trauma.
pyogenic granuloma
3 multiple choice options
A patient presents with a pyogenic granuloma on the gingiva. What is the most appropriate treatment?
surgical excision and removal of local irritants
3 multiple choice options
Which of the following is NOT a characteristic of pyogenic granuloma?
contains purulent exudate
3 multiple choice options

A patient presents with multiple pinpoint red spots (<2 mm) on the soft palate.
What is the most likely diagnosis?
petechiae
3 multiple choice options

A lesion measures approximately 5 mm, appear red-purple, and does not blanch on pressure.
What is the most likely diagnosis?
purpura
3 multiple choice options

A patient presents with blue-purple on the ventral lesion on the ventral tongue that blanches when pressure is applied.
What is the most likely diagnosis?
varix
3 multiple choice options
The primary mode of transmission of condyloma acuminatum is:
sexual contact
3 multiple choice options

What is the BEST initial management?
improve denture hygiene and adjust denture
3 multiple choice options

A patient presents with arthritis, conjunctivitis, and urethritis. Oral lesions resember geographic tongue. What is the MOST likely diagnosis?
reactive arthritis
3 multiple choice options
What diseases are caused by HSV?
- primary herpetic gingivostomatitis
- recurrent herpes simplex infections
- primary varicella virus
- secondary varicella virus

A presents with painful oral ulcers and sloughing of the mucosa when slight pressure is applied. What is the MOST likely diagnosis?
Pemphigus vulgaris
3 multiple choice options

A patient with oral lesions develops progressive eye scarring that may lead to blindness. What is the MOST likely diagnosis?
mucous membrane pemphigoid
3 multiple choice options

A patient present with a lesion that begins as vesicles and then ruptures into ulcers on the lower vermillion border. What is the most likely diagnosis?
recurrent herpes simplex
3 multiple choice options
Another name for an amalgam tattoo is:
Focal Argyrosis
3 multiple choice options
When viral DNA is integrated into the DNA of the host, HPV is said to be:
high risk and possible malignant
3 multiple choice options
What are the steps in making a definitive diagnosis?
- describe the abnormality in clinical terms
- determine a list of diseases/conditions that present with similar manifestations
- eliminate some of the possible causes already listed
- rank the reamining possible causes
- decide what additional information might be necessary to eliminate more of the possibilities
What is a listing of probable causes of a particular disease manifestations or group of manifestations?
differential diagnosis
1 multiple choice option

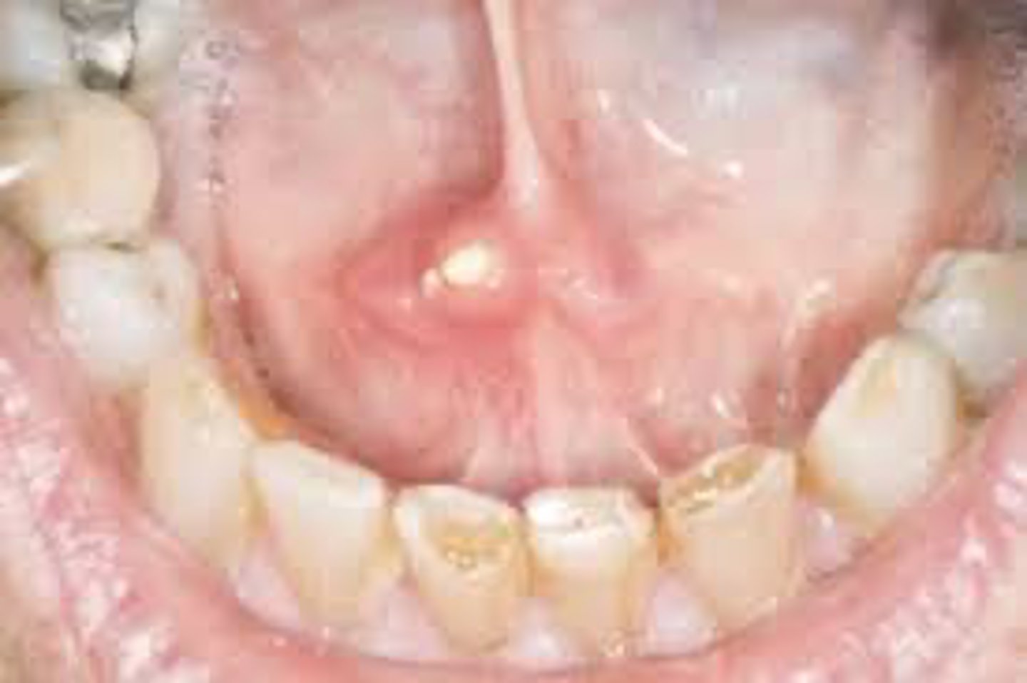
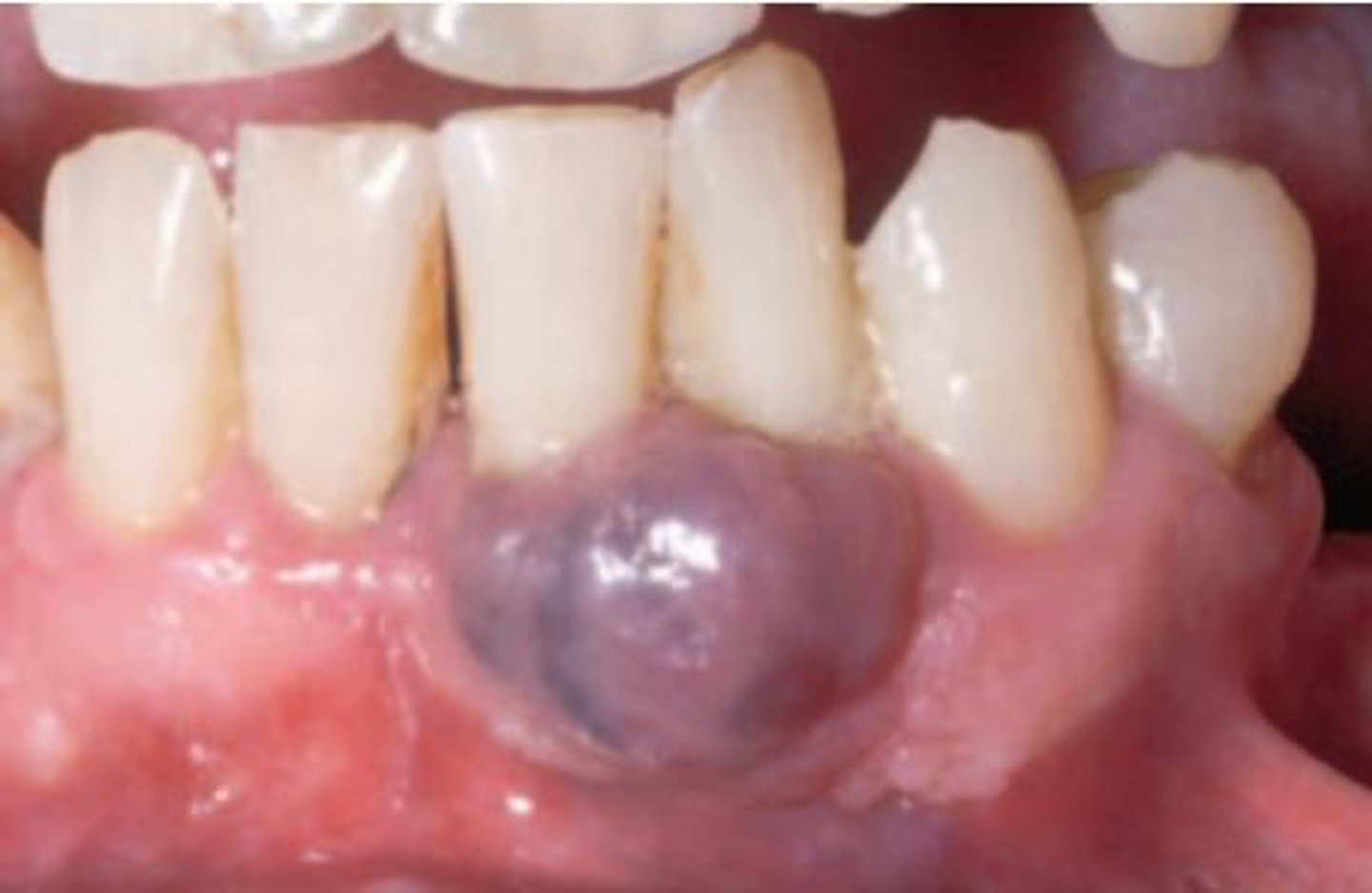
What is a painless, benign, dome-shaped, soft fluctuant nodule with a soft blue hue and some what translucent?
mucocele
3 multiple choice options
Which location is MOST commonly associated with a mucocele?
lower lip
3 multiple choice options
The most common cause of mucocele is:
trauma to minor salivary gland duct
3 multiple choice options
Trauma such as lip biting can lead to a mucocele. T/F?
true
1 multiple choice option

Which lesion is caused by obstruction of submandibular or sublingual salivary glands?
ranula
3 multiple choice options
Where is ranula typically located?
floor of the mouth
3 multiple choice options

A midline floor of mouth swelling that elevates the tongue and has been presnt for years. It feels doughly, not fluid-filled.
What is the diagnosis?
dermoid cyst
3 multiple choice options
A dermoid cyst is BEST described as:
a developmental cyst containing skin appendages
3 multiple choice options
Which of the following may be found inside a dermoid cyst?
hair and sebaceous material
3 multiple choice options
A dermoid cyst is classified as:
developmental lesion
3 multiple choice options

A pediatric patient presents with a lesion on the tongue that has a pebbly, vesicle-like surface. Upon palpation, a crackling (crepitus) sensation is noted.
What is the most likely diagnosis?
lymphangioma
3 multiple choice options
Lymphangioma is classified as a:
developmental lesion
3 multiple choice options
Lipomas may feel soft and movable. T/F?
true
1 multiple choice option
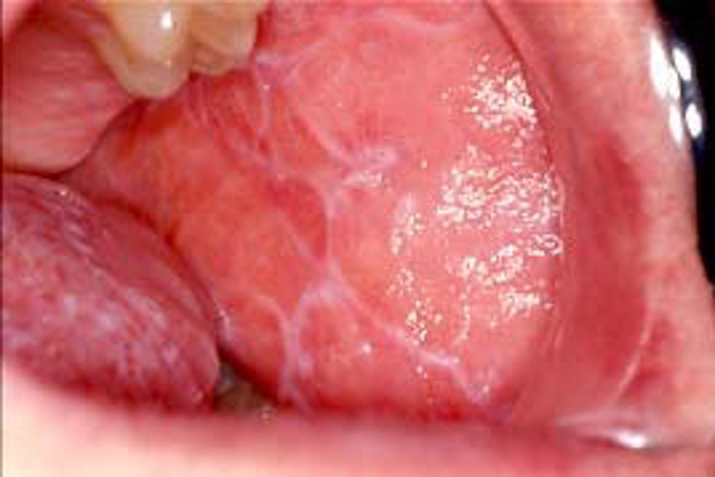
A white lesion is noted along the line of occlusion on the buccal mucosa. It appears shaggy and diffuse. Patient reports cheek biting.
Which of the following is the best management?
remove source of irritation and re-evaluate
3 multiple choice options

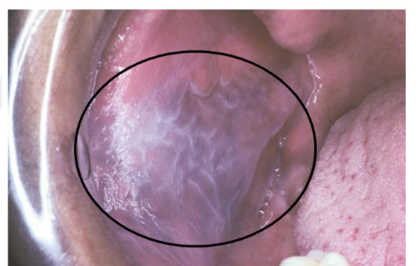
A patient presents with bilateral white lacy striations on the buccal mucosa.
What ist he most likely diagnosis?
lichen planus
3 multiple choice options

A gingival lesion appears bluish-purple and is firm. Radiographs show cupping resorption of underlying bone.
What is the most likely diagnosis?
peripheral giant cell granuloma
3 multiple choice options
Which of the following is the most characteristic of peripheral giant cell granuloma?
gingiva anterior to the molar region
3 multiple choice options

A patient presents with a well-defined, exophytic gingival mass that is pedunculate. The lesion is located on the attached gingiva and appears pink and firm.
What is the most likely diagnosis?
peripheral ossifying fibroma
3 multiple choice options
Which of the following location is most characteristic of peripheral ossifying fibroma?
attached gingiva
3 multiple choice options

A patient presents with a large blue-purple discoloration (>1 cm) on the mucosa resembling a bruise.
What is the most likely diagnosis?
ecchymosis
3 multiple choice options

A patient presents with a bilateral lacy striations on the buccal mucosa. The lesions are asymptomatic.
What is the most likely diagnosis?
lichen planus
3 multiple choice options

A patient presents with white striations on the buccal mucosa. The lesion is unilateral and located adjacent to a dental restoration.
What is the most likely diagnosis?
lichenoid reaction
3 multiple choice options
Which of the following is NOT a risk factor for candidiasis?
increased salivary flow
3 multiple choice options
Which intraoral site is most commonly affected by Kaposi's sarcoma?
hard palate
3 multiple choice options

A lesion appears purple on the palate and does not blanch or resolve over time. The patient has a history of HIV.
What is the most likely diagnosis?
Kaposi's sarcoma
3 multiple choice options

A patient presents with a red, velvety lesion on the floor of the mouth that cannot be wiped off.
What is the most likely diagnosis?
erythoplakia
3 multiple choice options
A red lesion cannot be clinically identified as any other condition?
What is the correct term for this lesion?
erythroplakia
3 multiple choice options
The most likely mode of transmission for verruca vulgaris is:
autoinnoculation
3 multiple choice options

A small, white, rough lesion on the gingiva of a child who bites their nails is most likely:
verruca vulgaris
3 multiple choice options

Multiple pink, sessile lesions in the oral cavity are most likely:
condyloma acuminatum
3 multiple choice options

A solitary, pedunculated lesion with a cauliflower surface is most likely:
squamous papilloma
3 multiple choice options
Which of the following is TRUE regarding oral squamous papilloma?
usually pedunculated and solitary
3 multiple choice options

A dental hygienist examines a child who attends daycare and notices multiple soft, flat-topped, mucosa-colored papules on the labial mucosa. Several other children at the daycare have similar lesions. What is the MOST likely diagnosis?
focal epithelial hyperplasia
3 multiple choice options
Multiple oral lesions in a child should raise suspicion for all EXCEPT:
papilloma
3 multiple choice options

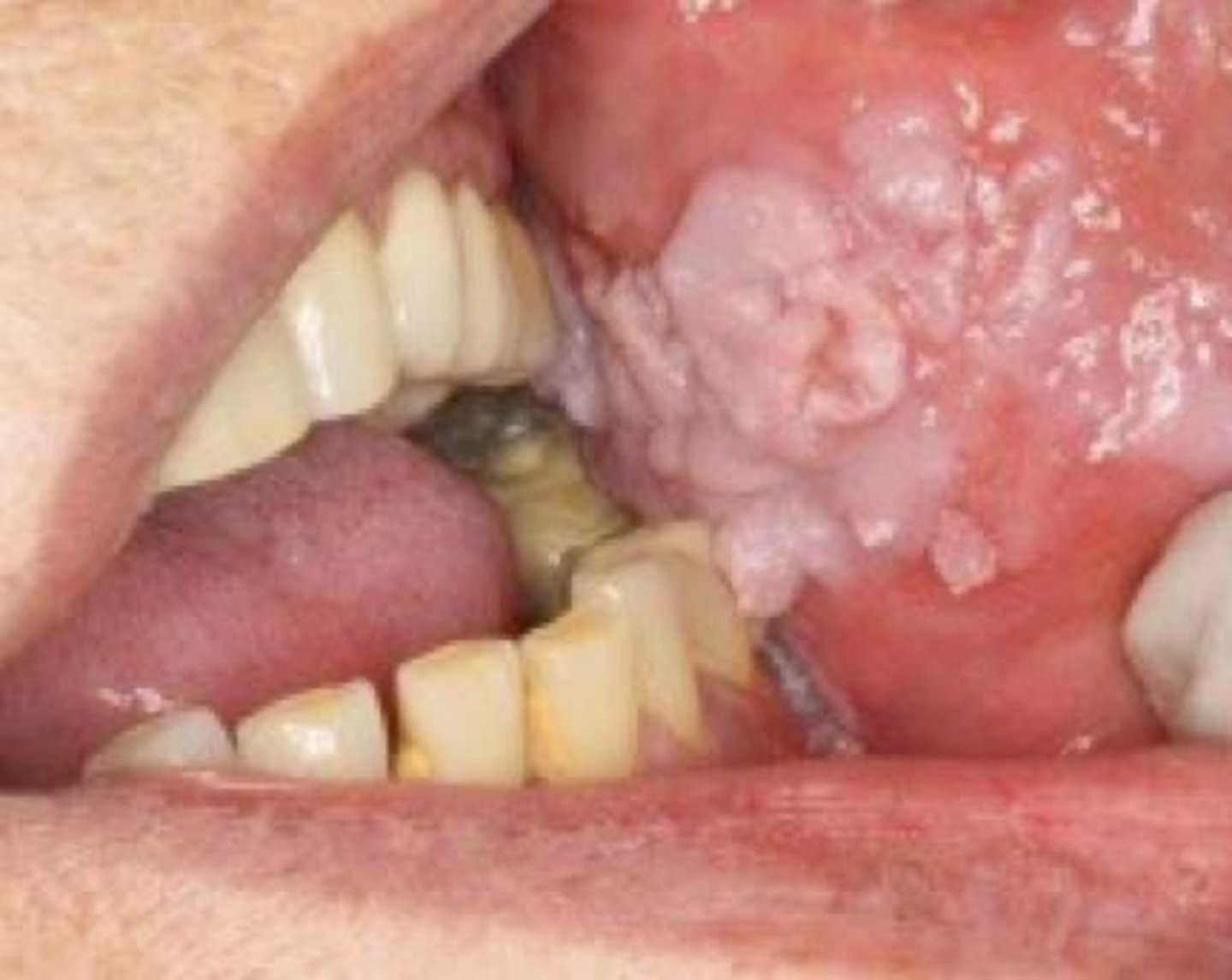
A slow-growing, thick, white, warty lesion on the buccal mucosa of an older adult who uses smokeless tobacco is most likely:
verrucous carcinoma
3 multiple choice options
What is the BEST treatment for verrucous carcinoma?
surgical excision
3 multiple choice options
Which location is most characteristic of inflammatory papillary hyperplasia?
hard palate
3 multiple choice options

A lesion is found on the lateral border of the tongue and appears ulcerated and indurated. What is the MOST likely diagnosis?
sqamous cell carcinoma
3 multiple choice options
What are factors of keratocanthoma?
- exposure of the affected area to sunlight
- chromosomal abnormalities in the skin
- occupational exposure to tar/and or pitch
- compromised immune system
- exposure to several forms of HPV

A 68-year-old patient presents with a dome-shaped lesion on the lower lip that developed over the past 4 weeks. The lesion is firm, well-circumscribed, and asymptomatic. What is the MOST likely diagnosis?
keratoacanthoma
3 multiple choice options
Which oral finding is MOST associated with reactive arthritis?
erythematous patches with white borders
3 multiple choice options
Which feature is most characteristic of erythema multiforme?
target lesions on skin
3 multiple choice options

A patient presents with sudden onset of painful oral ulcers and hemorrhagic crusting of the lips. What is the most likely diagnosis?
erythema multiforme
3 multiple choice options

An oral lesion presents with central erythema and white radiating striae. The patient also has a butterfly rash on the face. What is the most likely diagnosis?
lupus erythematous
3 multiple choice options

A patient presents with recurrent painful oral ulcers, genitial ulcers, and eye inflammation. What is the MOST likely diagnosis?
Bechet syndrome
3 multiple choice options
What are examples of vesiculobullous lesions?
- mucocele
- HSV
- pemphigus vulgaris
- epidermolysis bullosa
- lichen planus
- mucus membrane pemphigoid
Which virus is responsible for hand, foot, and mouth disease?
Coxsackievirus
3 multiple choice options
Which virus is responsible for Rubella?
togavirus
3 multiple choice options
Which virus is responsible for Rubeola?
Paramyxoviridae
3 multiple choice options
Nikolsky sign is BEST described as:
sloughing of epithelium with slight pressure
3 multiple choice options
Which of the following is MOST characteristic of pemphigus vulgaris?
intraeptihelial blister
3 multiple choice options
Which of the following is MOST characteristic of mucous membrane pemphigoid?
subepithelial blister
3 multiple choice options

A patient presents with desquamative gingivitis and intact bullae. Which is the MOST likely diagnosis?
mucus membrane pemphigoid
3 multiple choice options

A child presents with blistering of the oral mucosa following minor trauma. What is the MOST likely diagnosis?
epidermolysis bullosa
3 multiple choice options
Epidermolysis bullosa is BEST described as:
genetic disorder
3 multiple choice options

A blistering condition presents in adulthood and is associated with autoantibodies. What is the MOST likely diagnosis?
epidermolysis bullosa acquista
3 multiple choice options

A child presents with yellow, crusted lesions around the mouth. What is the MOST likely diagnosis?
impetigo
3 multiple choice options
Which of the following lesions is NOT preceded by vesicle formation?
aphthous ulcers
3 multiple choice options