1/31
Name | Mastery | Learn | Test | Matching | Spaced | Call with Kai |
|---|
No analytics yet
Send a link to your students to track their progress

Describe what is happening to the chromosomes at the stage shown in Figure 2 (2)
Homologous chromosomes are pulled to opposite poles of the cell by spindle fibres (1)

Describe and explain the appearance of one of the chromosomes in cell X (3)
Chromosomes is formed by two chromatids (1)
which are joined together at the centre by centromere (1)
as DNA replication has occured (1)

Describe what has happened during division 1 in the figure above (2)
Homologous chromosomes are separated are pulled to opposite poles of the cell (1)
One of each into daughter cells (1)
Homologous chromosomes carry the same genes but they are not genetically identical. Explain why (1)
Homologous chromosomes carry different alleles (1)

Figure 2 shows three pairs of homologous chromosomes in a cell at the end of cell division.
The appearance of each chromosome in Figure 2 is different from those shown in Figure 1. Explain why. (1)
Chromatids have not replicated (1)

The diagram shows a cell undergoing cell division.
Identify the type and stage of cell division shown. Give evidence from the diagram to support your answer. (3)
Anaphase I in meiosis (1)
Chromosomes are moving apart (1)
Chromosomes still double structures (1)
Explain one way in which the behaviour of chromosomes during meiosis produces genetic variation in gametes. (1)
Different combinations of maternal and paternal chromosomes (1)
What is the biological importance of reducing the chromosome number when the cell divides by meiosis? (2)
restoring diploid (1)
Later fertilisation (1)
Give two processes, other than crossing over, which result in genetic variation. Explain how each process contributes to genetic variation (4)
Process- Mutation (1)
Explanation - new allele formed (1)
Process - new combination of alleles (1)
Explanation- independent segregation (1)
Describe how crossing over occurs during meiosis I (2)
Chromosomes in each pair twist around each other (1)
Chromatids break and rejoin to chromatid on sister chromosome (1)
Meiosis results in cells that have the haploid number of chromosomes and show genetic variation. Explain how (6)
Homologous chromosomes pair up (1)
Crossing over/chiasmata form (1)
Produces new combination of alleles (1)
Chromosomes separate (1)
at random (1)
Produce varying combinations of chromosomes (1)
During meiosis, one chromosome from each homologous pair goes to each of the cells produced. Explain why this is important. (2)
To get haploid (1)
so that each cell gets one copy of each chromosome (1)
The diagram shows the life cycle of a fern plant. Drawings of the chromosomes during cell division are shown for the stages that give the spore-producing plant and the gamete-producing plant.

Are the male and female gametes produced by mitosis or meiosis
Explain your answer (2)
(Mitosis because) zygote gets 2 chromosomes from each gamete (1)
Gamete-producing plant has 2 chromosomes so mitosis produce gametes with 2 (1)
Explain how crossing over can contribute to genetic variation. (3)
Sections of chromatids exchanged (1)
Sections have different alleles (1)
New combinations of linked alleles (1)
Crossing over greatly increases genetic diversity in this species of moss.
Describe the process of crossing over and explain how it increases genetic diversity (4)
Homologous pairs of chromosomes associate (1)
Chiasmata form (1)
Alleles are exchanged (1)
Producing new combinations of alleles (1)

A mutation in the number of chromosomes in a S. townsendii cell produced a new species, Spartina anglica. Figure 2 shows the number of chromosomes in leaf cells of these species.
Name the type of mutation that changed the number of chromosomes in S. townsendii to produce S. anglica. Explain your answer. (3)
Non-disjunction (1)
(in) meiosis (1)
Chromosomes not separated OR all chromosomes stay in one cell (1)
Define the term mutagenic agent. (1)
(A factor that) increases (the rate of) mutations (1)
Genetic variation within a species is increased during meiosis by crossing over and the independent segregation of homologous chromosomes.
Apart from mutation, explain one other way genetic variation within a species is increased.(2)
Random fusion of gametes (1)
(Produces) new allele combinations (1)
Define ‘gene mutation’ and explain how a gene mutation can have:
• no effect on an individual
• a positive effect on an individual. (6)
(Definition of gene mutation)
Change in the base/nucleotide (sequence of chromosomes/DNA) (1)
Results in the formation of new allele (1)
(Has no effect because)
Genetic code is degenerate (1)
(New allele) is recessive so does not influence phenotype (1)
(Has positive effect because)
May result in increased reproductive success (1)
Results in change in polypeptide that positively changes the properties (of the protein) (1)
A scientist crossed a strain of the fungus Neurospora producing pink spores with a strain of Neurospora producing white spores.
In the life cycle of Neurospora most stages are haploid. Fusion of two haploid strains of this fungus produces diploid zygotes. Nuclear division in these zygotes occurs by meiosis.
Give two differences between mitosis and meiosis (2)
Mitosis has one division, whereas meiosis involves two divisions (1)
(Daughter) cells genetically identical, daughter cells genetically different in meiosis (1)

At the end of meiosis, this fungus produces cells called spores. The spores are produced in narrow tubes that restrict their movement. As a result, each tube contains a single line of spores. The spores are coloured either pink or white. The spore colour gene is located on a pair of homologous chromosomes. Each zygote produced in this cross has one chromosome with a pink allele (p) and one chromosome with a white allele (w). This is shown in the diagram
There are seven chromosomes in a spore nucleus. Place a tick (✓) in the box next to the number that represents the number of chromatids present in the zygote shown in the diagram above.
7
14
21
28 (1)
28 (1)

The scientist recorded the arrangement of coloured spores inside many narrow tubes. His results are shown in the table
Using all the information in this question, what can you conclude from the scientist’s results about the movement of chromosomes in meiosis in this fungus? (3)
Separation of homologous chromosomes (occurred) (1)
(Arrangement/separation/segregation of chromosomes is) random/ (almost) equally frequent (in tubes 1 and 2) (1)
Crossing over occurred in tube 3/10 tubes (1)
Draw the general structure of an amino acid. (1)
(1)

A change from Glu to Lys at amino acid 300 had no effect on the rate of reaction catalysed by the enzyme. The same change at amino acid 279 significantly reduced the rate of reaction catalysed by the enzyme. Use all the information and your knowledge of protein structure to suggest reasons for the differences between the effects of these two changes. (3)
Amino acid number | Correct amino acid | Amino acid inserted as a result of mutation |
|---|---|---|
203 | Val | Ala |
279 | Glu | Lys |
300 | Glu | Lys |

(Both) negatively charged to positively charged change in amino acid (1)
Change at amino acid 300 does not change the tertiary structure (1)
Amino acid 279 may have been involved in a (ionic, disulfide or hydrogen) bond and so the tertiary structure changed (1)

If two diploid (2n) gametes fuse at fertilisation, it can result in the growth of a tetraploid plant which has 4 copies of each chromosome.
Red clover is a plant grown to produce cattle feed. Tetraploid red clover plants produce a higher yield than diploid red clover plants.
Whether a red clover plant produces 2n gametes is genetically controlled.
Scientists investigated the possibility of breeding red clover plants that only produced 2n gametes.
• In breeding cycle 0, they grew red clover plants and identified plants
that produced 2n gametes.
• In breeding cycle 1, they used the plants producing 2n gametes to
produce offspring.
• In breeding cycles 2 and 3, they identified plants producing 2n
gametes and used these to produce offspring.
The scientists used the following null hypothesis.
‘The proportion of plants that produce 2n gametes will not change from one breeding cycle to the next.’
Complete the table to show the expected number of plants that did not produce 2n gametes and the expected number of plants that did produce 2n gametes after 1 cycle.
Give each answer to the nearest whole number. (2)
52 4 (1)
Explain how the chromosome number is halved during meiosis (2)
Homologous chromosome (pair) (1)
One of each (pair) goes to each (daughter) cell/ to opposite pole (1)

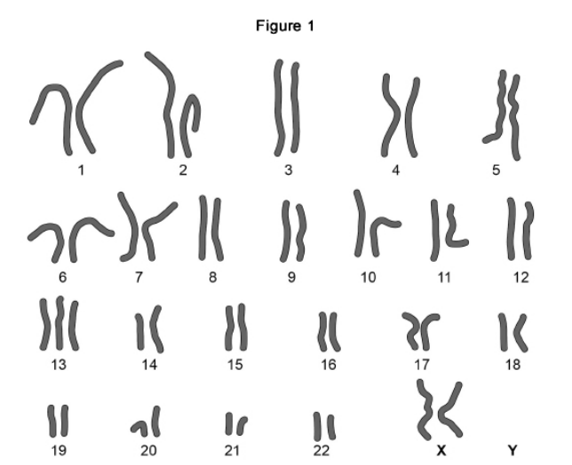
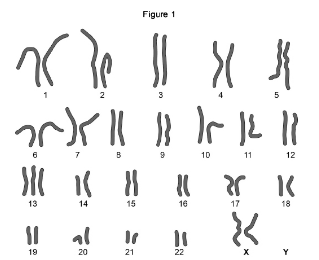
Patau syndrome is a condition caused by a mutation affecting chromosome number. All the cells of the body will have this mutation. Figure 1 shows the chromosomes from one of the cells of a female who has Patau syndrome.
What is the effect of Patau syndrome on the chromosomes of this female? (1)
Three of chromosome 13 / an extra chromosome 13 (1)

Patau syndrome is a condition caused by a mutation affecting chromosome number. All the cells of the body will have this mutation. Figure 1 shows the chromosomes from one of the cells of a female who has Patau syndrome.
Explain why all the cells of the body will have this mutation.(2)
Mutation / extra chromosome in gamete / egg / sperm (that formed zygote) (1)
All cells derived (from a single cell / zygote) by mitosis (1)
Mosaic trisomy 18 is another type of Edwards’ syndrome. This occurs due to a chromosome mutation after fertilisation.
In mosaic trisomy, the body has cells with an extra chromosome 18 and cells with the correct number of chromosomes.
Explain how cells with different numbers of chromosomes are produced in mosaic trisomy. (1)
Cells with correct number (of chromosome are produced) from cells without mutation (1)
Scientists have produced a mutated rice variety in which there is no crossing over.
A population of the mutant rice variety produced by sexual reproduction shows genetic variation. Populations of non-mutant rice varieties also show genetic variation.
Suggest and explain the similarities and differences in the causes of genetic variation within these rice populations (3)
(similarities)
(both populations) have (variation due to) independent segregation/assortment (of chromosome/chromatids) (1)
(Both populations) have (variation due to) random fertilisation (of gametes) (1)
(difference)
crossing over causes variation in non-mutant only (1)
Describe how the process of meiosis results in haploid cells. Do not include descriptions of how genetic variation is produced in meiosis. (4)
DNA replication (during late interphase) (1)
Two divisions (1)
Separation of homologous chromosomes (in first division) (1)
Separation of (sister) chromatids (in second division) (1)

Figure 1 shows the arrangement of chromosomes in a cell during the first meiotic division.
Figure 1
A scientist observed 300 cells. All of the cells were at exactly the same
stage of meiosis as the cell shown in Figure 1.
Use your knowledge of the independent segregation of homologous chromosomes to calculate how many of these cells are expected to have an identical arrangement of chromosomes to those shown in Figure 1.
Assume no crossing over occurs. (2)
4 homologous pairs are present
As each pair has 2 possible orientations
24 = 16 possible arrangements
Only 1 out 16 match with the diagram so
1/16×300 = 18.75 = 19 cells (2)