1/35
Pathology
Name | Mastery | Learn | Test | Matching | Spaced | Call with Kai |
|---|
No analytics yet
Send a link to your students to track their progress
Cholelithiasis
Biliary stones
6 F's (gallstones)
Fat, female, fertile, flatulent, fair, forty
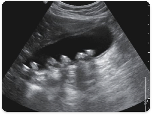
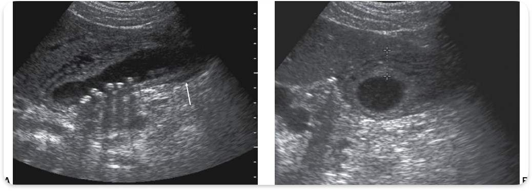
WES sign
GB completely filled w/ stones. Only anterior wall visualized

Cholelithiasis, gallstones

WES sign
Sludge
Viscid bile, due to biliary stasis

Gallbladder sludge

Sludge with stones
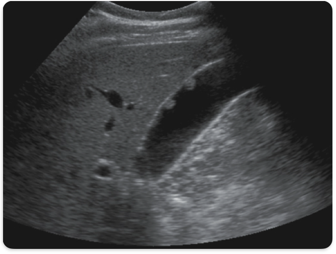
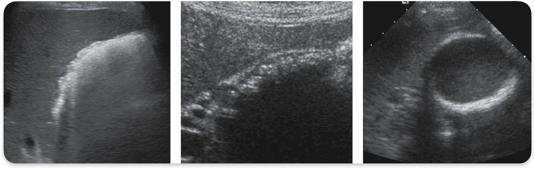
Polyps
Projection of tissue from GB wall into lumen
Most common type of gallbladder polyp
Cholesterol polyp

Polyps on anterior wall
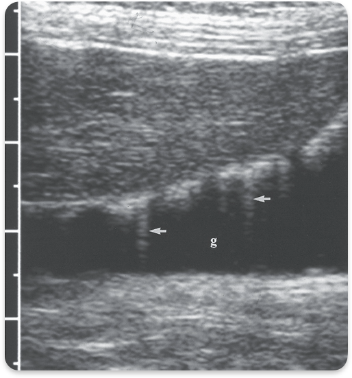
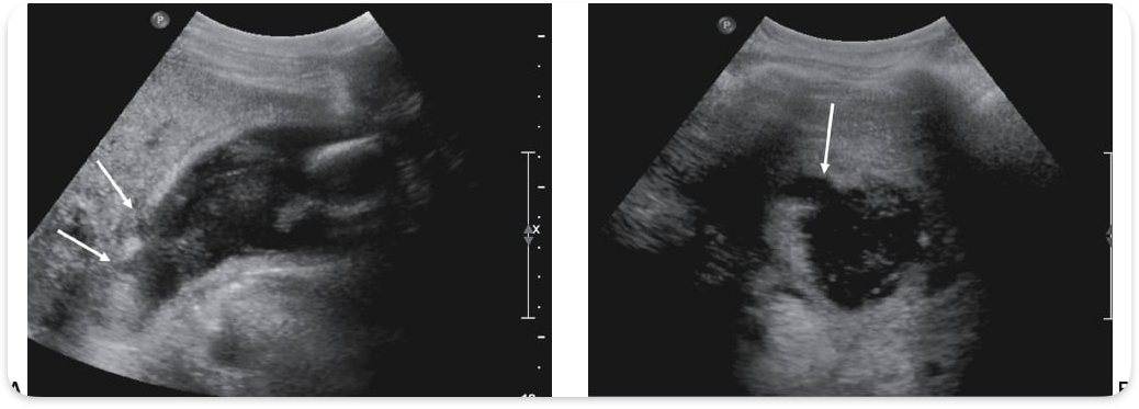
Adenomyomatosis
Thickened wall, diverticuli (rokitansky Aschoff sinuses)
Rokitansky Aschoff sinuses
Pockets in gallbladder wall containing cholesterol crystals, causing comet-tail artifact. (Adenomyomatosis)

Adenomyomatosis
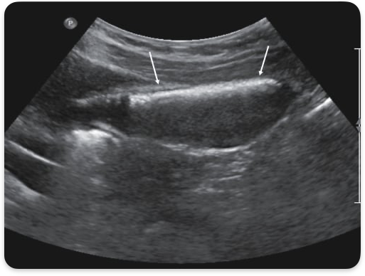
Acute cholecystitis
Sudden onset of gallbladder inflammation
Indicators for acute cholecystitis
Gall stones & positive murpheys

Acute cholecystitis
Gangrenous cholecystitis
Direct evolution of acute cholecystitis.
Focal wall necrosis
Bulges in wall
Perforation
Rupture of gallbladder wall - fatal

Perforation in gallbladder wall
Emphysematous cholecystitis
Acute cholecystitis caused by "gas-forming“ infection
Mostly found in diabetic patients
Emphysematous cholecystitis
Champagne sign
Echogenic bubbles visualized on anterior wall

Emphysematous cholecystitis
Chronic cholecystitis
Multiple bouts of acute cholecystitis, obstruction of the cystic duct
Acalculus cholecystitis
Inflammation of gallbladder w/ no gallstones
Who is most affected by acalculus cholecystitis
Children, hospitalized patients, immunocompromised
Enlarged gallbladder
Measures more than 5 × 10 × 4
Hydropic gallbladder
Blockage of cystic duct, palpable

Hydropic gallbladder.
Courvoisier gallbladder
Biliary obstruction due to pancreatic head mass
Porcelain gallbladder
Calcified gallbladder wall

Porcelain gallbladder
Gallbladder carcinoma
Polyp measures more than 1 cm
Most common cancer of biliary tract
Gallbladder carcinoma

Gallbladder carcinoma