1/205
Looks like no tags are added yet.
Name | Mastery | Learn | Test | Matching | Spaced | Call with Kai |
|---|
No analytics yet
Send a link to your students to track their progress
What type of epithelium is present in the thin segments of the Loop of Henle?
simple squamous
Will decreasing the number of glucose carrier proteins in the renal tubule increase or decrease the amount of glucose eliminated in the urine?
increase
What is the storage site of urine before it is eliminated from the body?
urinary bladder
What portion of the renal tubule receives urinary filtrate from the proximal convoluted tubule?
loop of Henle
The process of eliminating urine from the body is called:
micturation
The hollow ball of cells that forms after the 32-cell stage is the:
blastula
Identify the indicated vessel. interlobar vein

Identify the indicated structure. renal column

Identify the indicated vessel. interlobular artery

Identify the indicated vessel. segmental artery

Identify the indicated vessel. interlobar artery

Identify the indicated region of the kidney. cortex

Identify the indicated vessel. interlobular vein

Identify the indicated region of the kidney. medullary pyramid

Identify the indicated structure. major calyx

Identify the indicated structure. ureter

Identify the indicated vessel. renal artery

Identify the indicated structure. renal pelvis

Identify the indicated structure. minor calyx

Identify the indicated vessel. renal vein

Identify the indicated vessel. lobar artery

Identify the indicated vessel. arcuate artery

Identify the indicated vessel. arcuate vein

Identify the indicated region of the kidney. hilus

Identify the indicated structure. pyramidal papilla

Identify the indicated layer of the kidney. capsule

What type of epithelium is present in the bladder? transitional

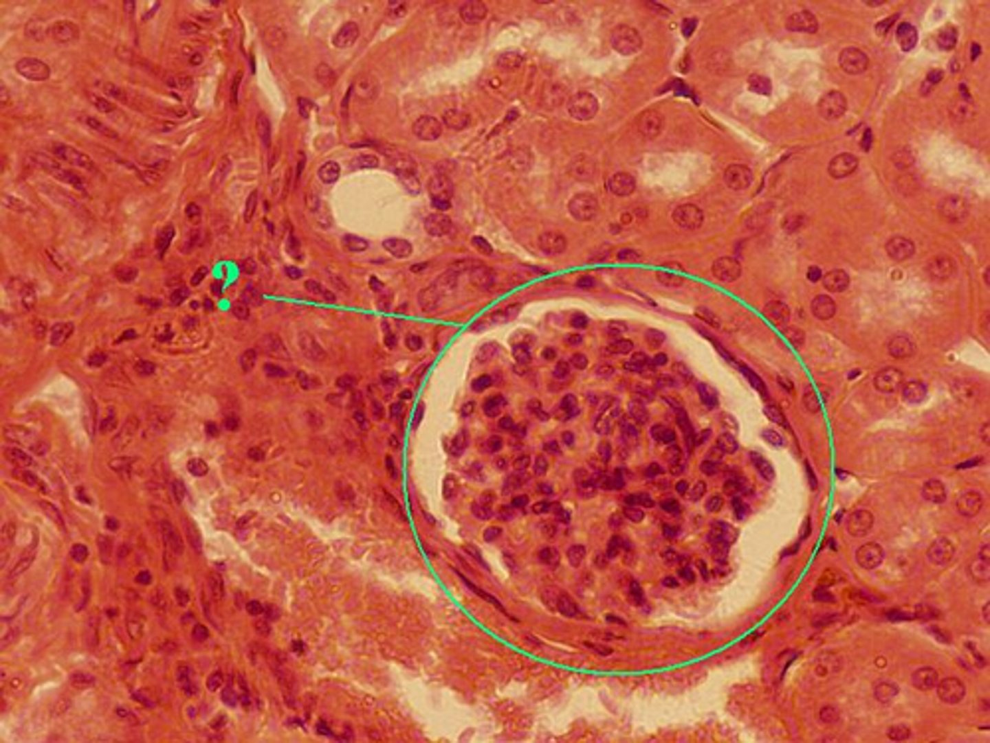
Identify the indicated structure in the kidney. glomerulus

What is the indicated erectile tissue of the penis called? corpus cavernosum

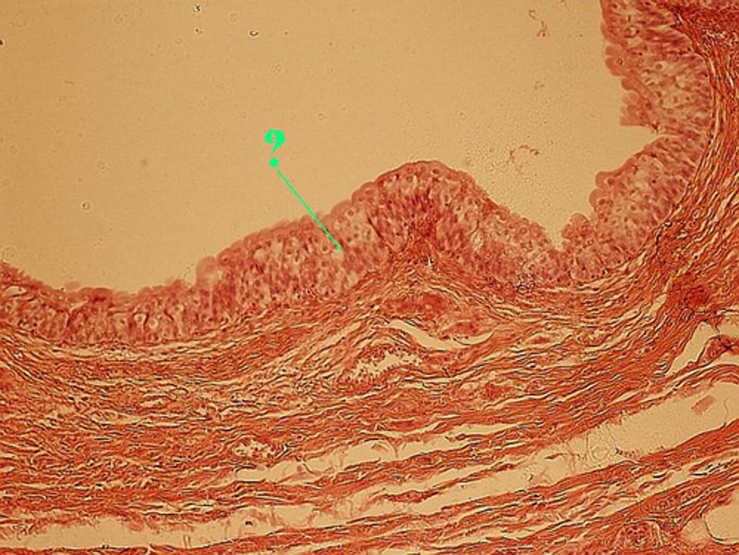
What type of epithelium is present in this portion of the urethra? stratified columnar

Identify the indicated region of the nephron. collecting duct

Identify the indicated region of the nephron. proximal convoluted tubule

Identify the indicated region of the nephron. loop of Henle

Identify the indicated region of the nephron. Bowman's capsule

Identify the indicated region of the loop of Henle. thick segment

Identify the indicated region of the nephron. distal convoluted tubule

Identify the indicated region of the loop of Henle. thin segment

Identify the indicated structure. ureter

Identify the indicated structure. kidney

Identify the indicated structure. urinary bladder

Identify the indicated structure. urethra

Identify the indicated structure. suspensory ligament

Identify the indicated structure. adipose tissue

Identify the indicated structure. areola

Identify the indicated structure. lobe

Identify the indicated structure. lactiferous sinus

Identify the indicated structure. nipple

Identify the indicated structure. infundibulum

Identify the indicated structure. suspensory ligament

Identify the indicated structure. labia majora

Identify the indicated structures. fimbriae

Identify the indicated structure. vagina

Identify the indicated structure. cervix

Identify the indicated structure. urethra

Identify the indicated structure. ovary

Identify the indicated structure. anus

Identify the indicated structure. clitoris

Identify the indicated structure. urinary bladder

Identify the indicated structure. fallopian tube

Identify the indicated opening. external urethral orifice

Identify the indicated structure. uterosacral ligament

Identify the indicated structure. ureter

Identify the indicated structure. ampulla of ductus deferens

Identify the indicated structure. prostate gland

Identify the indicated structure. anus

Identify the indicated structure. seminal gland

Identify the indicated structure. glans penis

Identify the indicated structure. urinary bladder

Identify the indicated structure. testis

Identify the indicated structure. scrotum

Identify the indicated structure. membranous urethra

Identify the indicated structure. bulb of the penis

Identify the indicated opening. external urethral orifice

Identify the indicated structure. epididymis

Identify the indicated structure. spongy urethra

Identify the indicated structure. ejaculatory duct

Identify the indicated region. corpus cavernosum

Identify the indicated region. corpus spongiosum

Identify the indicated region of the ovary. medulla

Identify the indicated region of the (ovulated) follicle. corona radiata

Identify the indicated region of the follicle. antrum

Identify the indicated layer of the ovary. germinal epithelium

Identify the indicated type of follicle. primary follicles

Identify the indicated region of the follicle. granulosa cells

Identify the indicated region of the follicle. zona pellucida

Identify the indicated region of the ovary. cortex

Identify the indicated type of follicle. secondary follicle

Identify the indicated type of follicle. primary follicle

Identify the indicated structure. corpus albicans

Identify the indicated type of follicle. antral follicle

Identify the indicated region. corpus spongiosum

Identify the indicated structure. crus of the penis

Identify the indicated structure. vas deferens

Identify the indicated opening. external urethral orifice

Identify the indicated structure. urinary bladder

Identify the indicated structure. ureter

Identify the indicated structure. bulb of the penis

Identify the indicated structure. epididymis

Identify the indicated structure. seminal gland

Identify the indicated region. corpus cavernosum
