1/16
Looks like no tags are added yet.
Name | Mastery | Learn | Test | Matching | Spaced | Call with Kai |
|---|
No analytics yet
Send a link to your students to track their progress
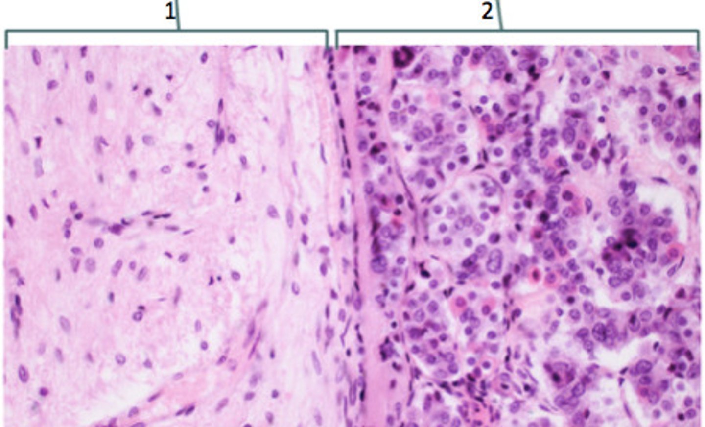
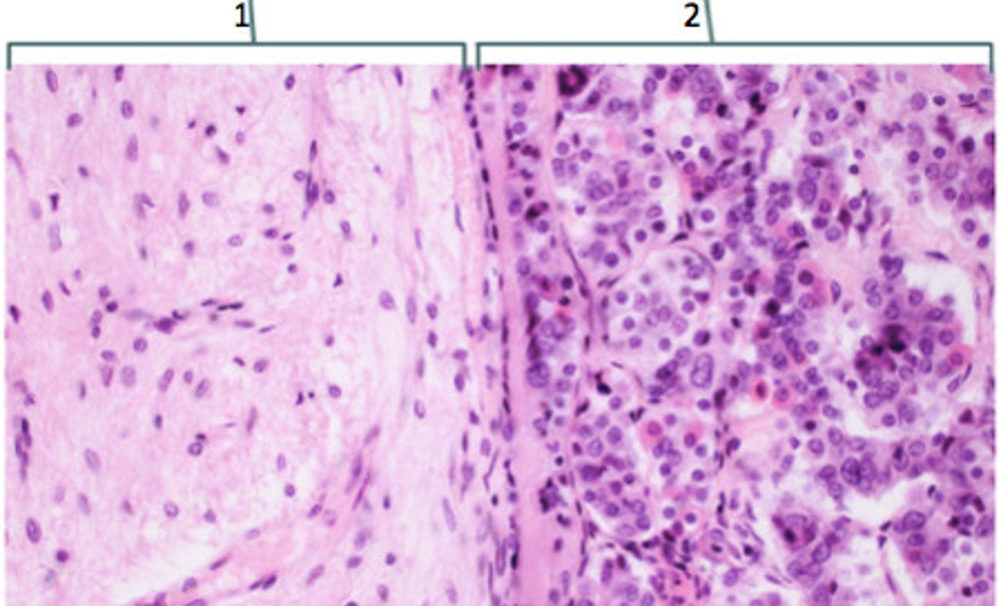
adrenal gland
1. Capsule
2. Adrenal Cortex
3. Adrenal Medulla
Identify this gland and areas labeled

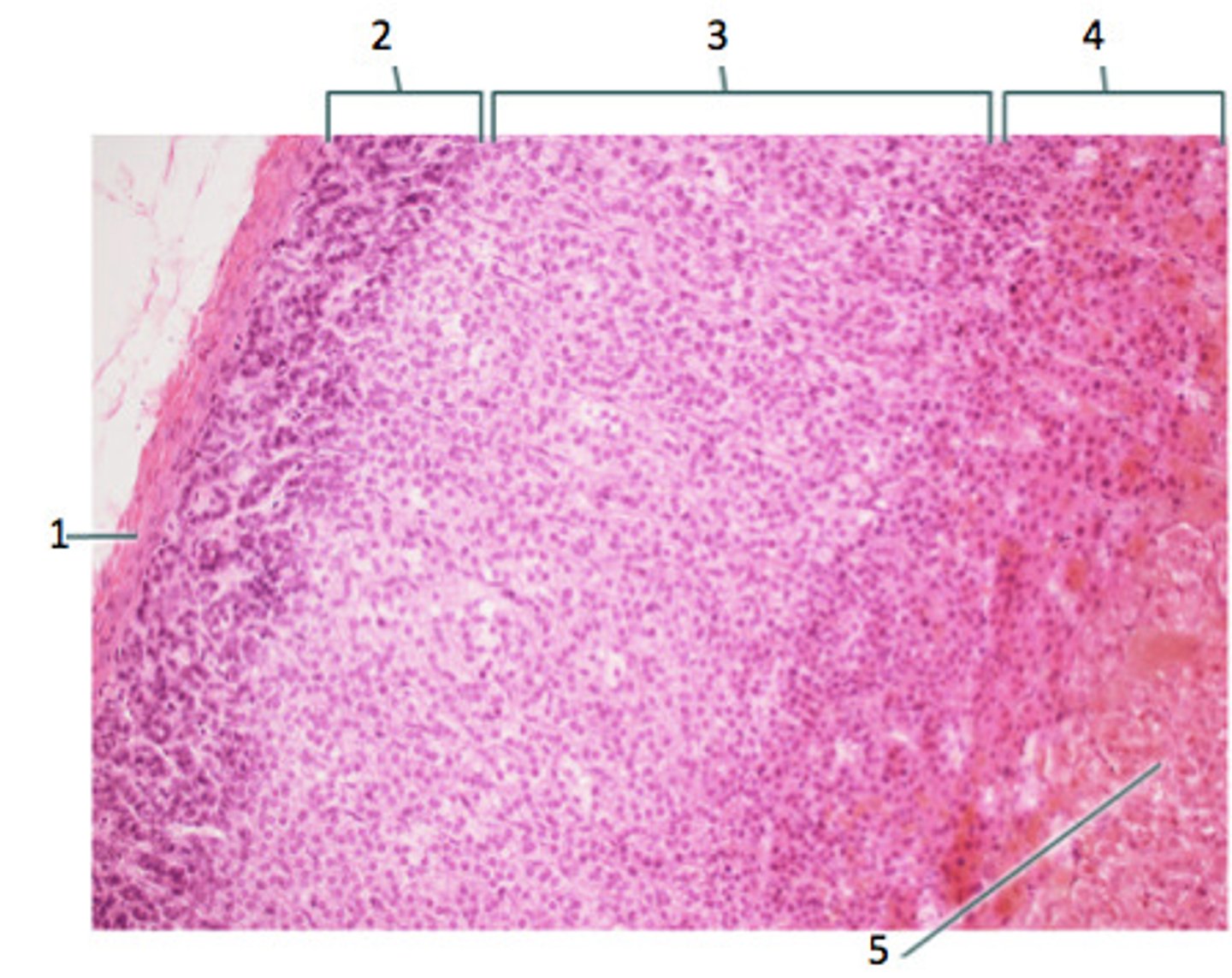
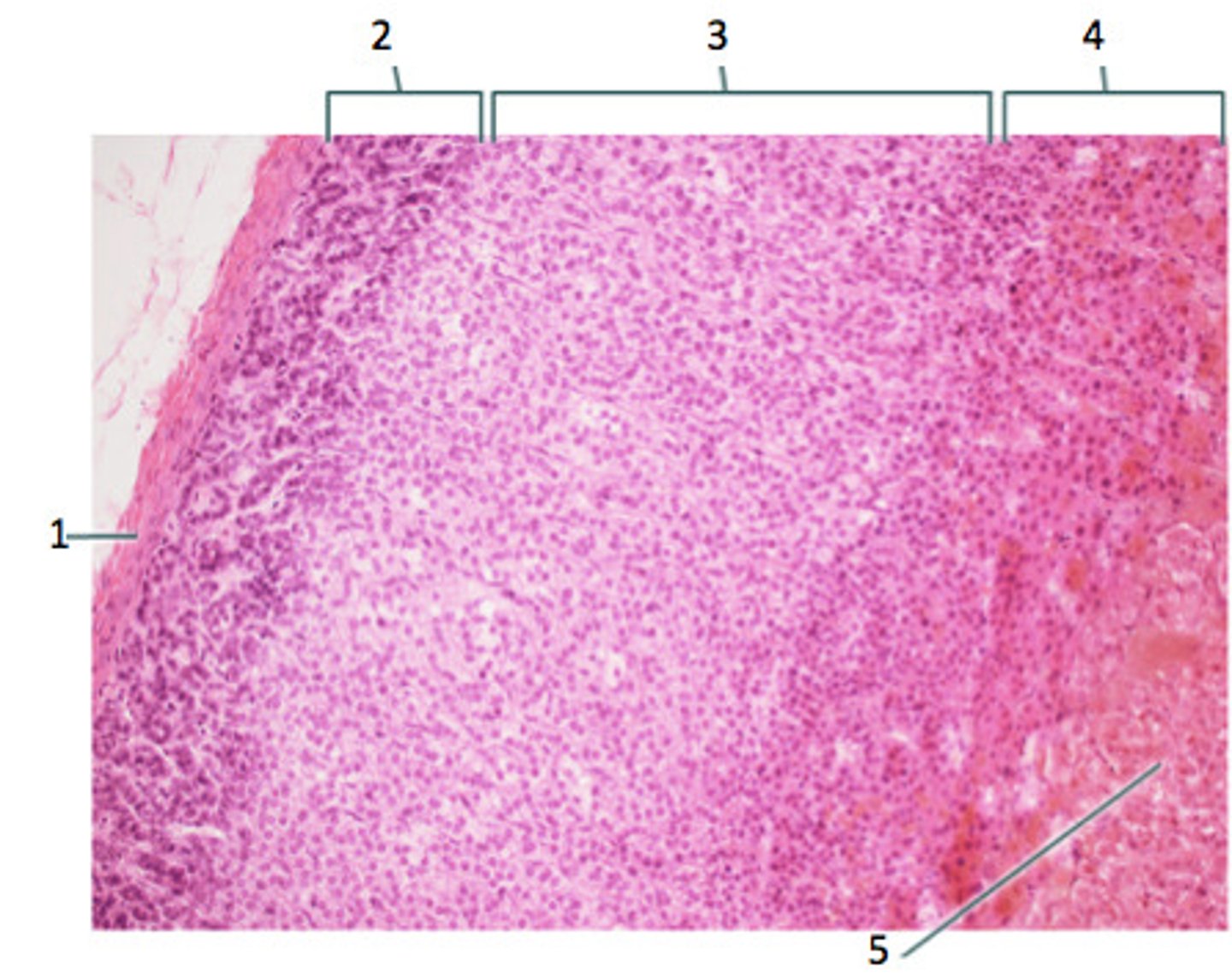
Adrenal Gland
1. Capsule
2. Zona Glomerulosa
3. Zona Fasciculate
4. Zona Reticularis
5. Adrenal Medulla
Identify the labeled areas and the gland

2. Zona Glomerulosa- Mineralcorticoids: Aldosterone
3. Zona Fasciulate- Glucorticoids: Cortisol
4. Zona Reticularis- Gonadocorticoids: Androgens
5. Adrenal Medulla- Epinephrine, Norepinephrine
What hormones are produced by 2,3,4,5

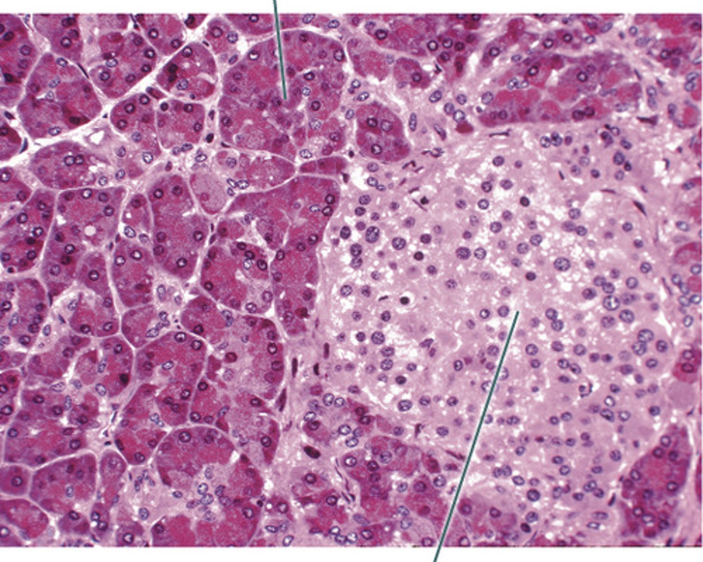
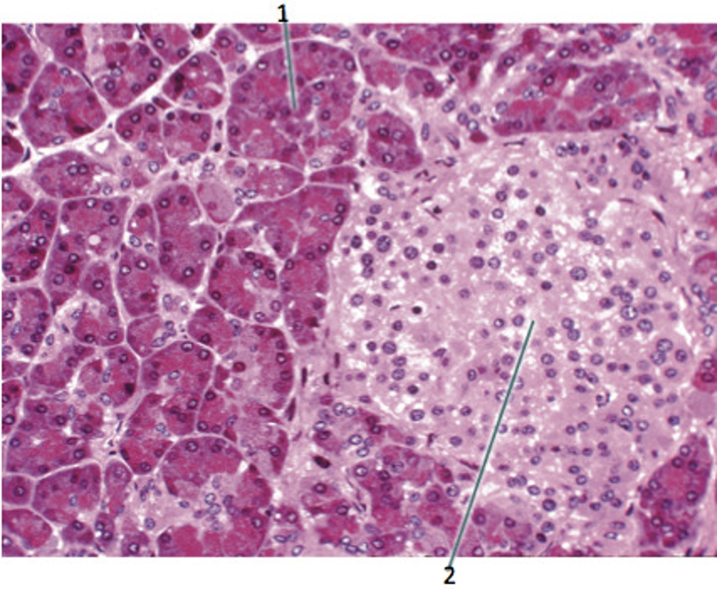
Pancreas
1. Acinar Cells
2. Islets of Langerhans
Name this organ and identify 1 & 2

1. Pancreas
2. -Alpha Cells: Glucogon
- Beta Cells: Insulin
(Both with the Islets of Langerhans)
1. Name the Gland
2. The hormones produced here, and the cells they are produced by

Parathyroid gland
PTH: Parathyroid Hormone
Identify this organ and the hormone produced

1.posterior pituitary gland: NONE!!!
--stores ADH(Vasopressin) & Oxytocin
2. anterior pituitary gland:
Growth Hormone GH
Adrenocorticotrophic Hormone ACTH
Lutenizing Hormone LH
Follicle Stimulating Hormone FSH
Thyroid Stimulating Hormone TSH
Prolactin PRL
What hormones are produced in areas 1 & 2

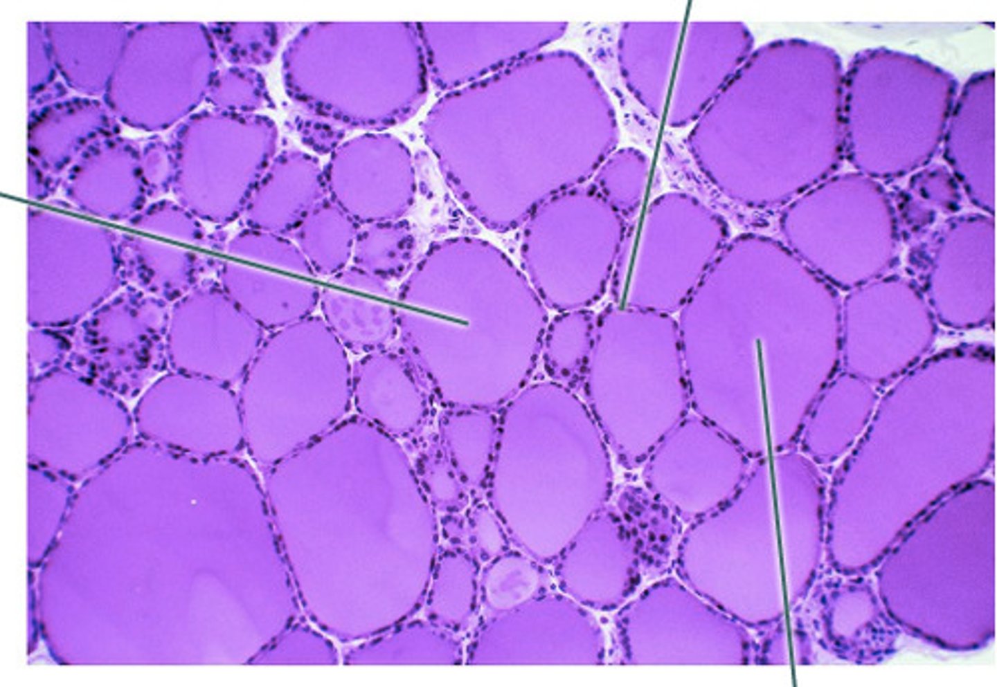
thyroid gland : Thyroid hormone (T3, T4), Calcitonin
Name this gland and hormones produced

1. Thyroid Follicles
2. Follicular Cells
3. Colloid
Thyroid Hormones T3, T4
Identify labelded areas and hormones produced there
1. whole structure
2.
3. Fluid inside

1. Posterior Pituitary Gland (Neurohypophysis)
2. Anterior Pituitary Gland (Adenohypophysis)
Identify areas 1 & 2

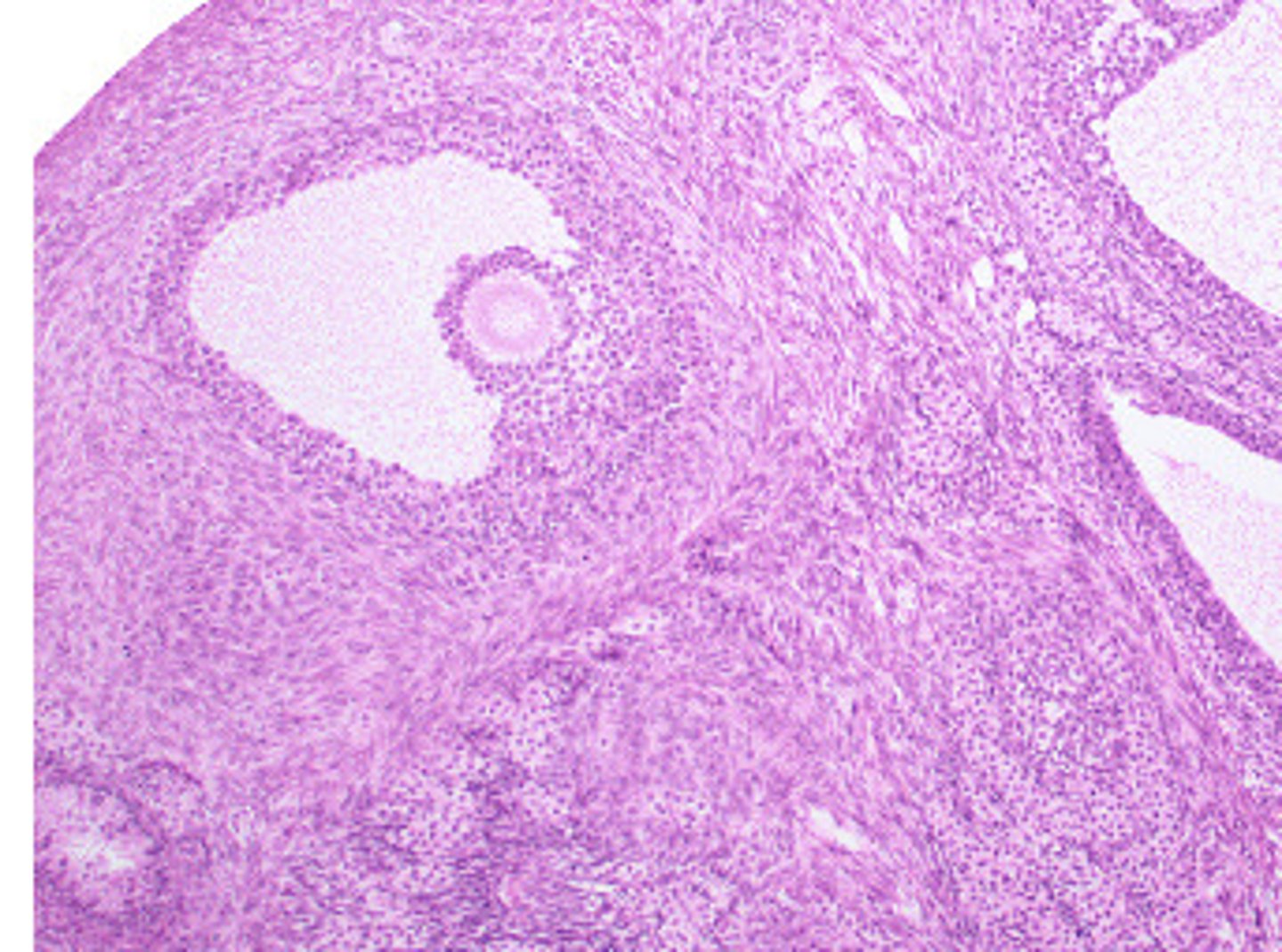
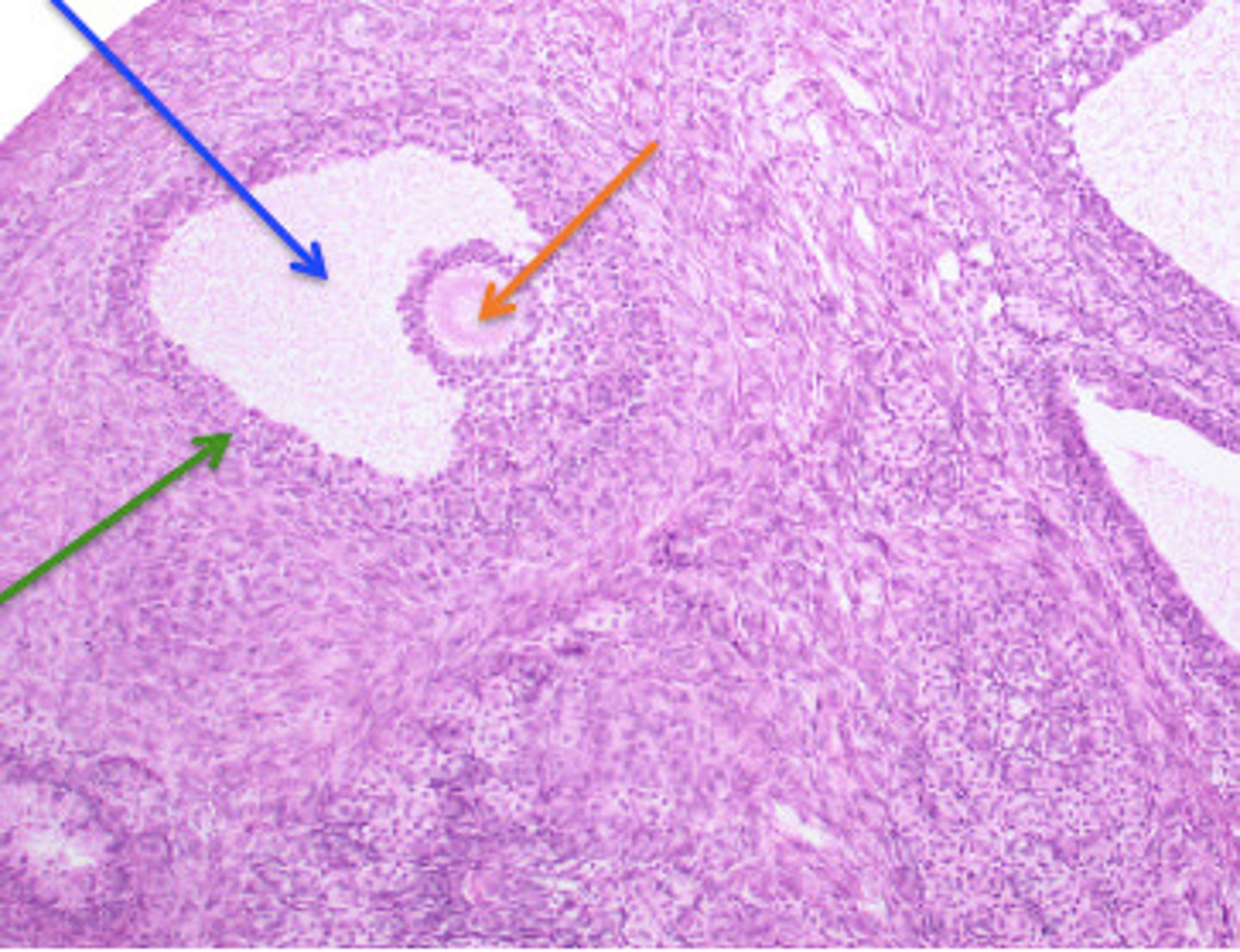
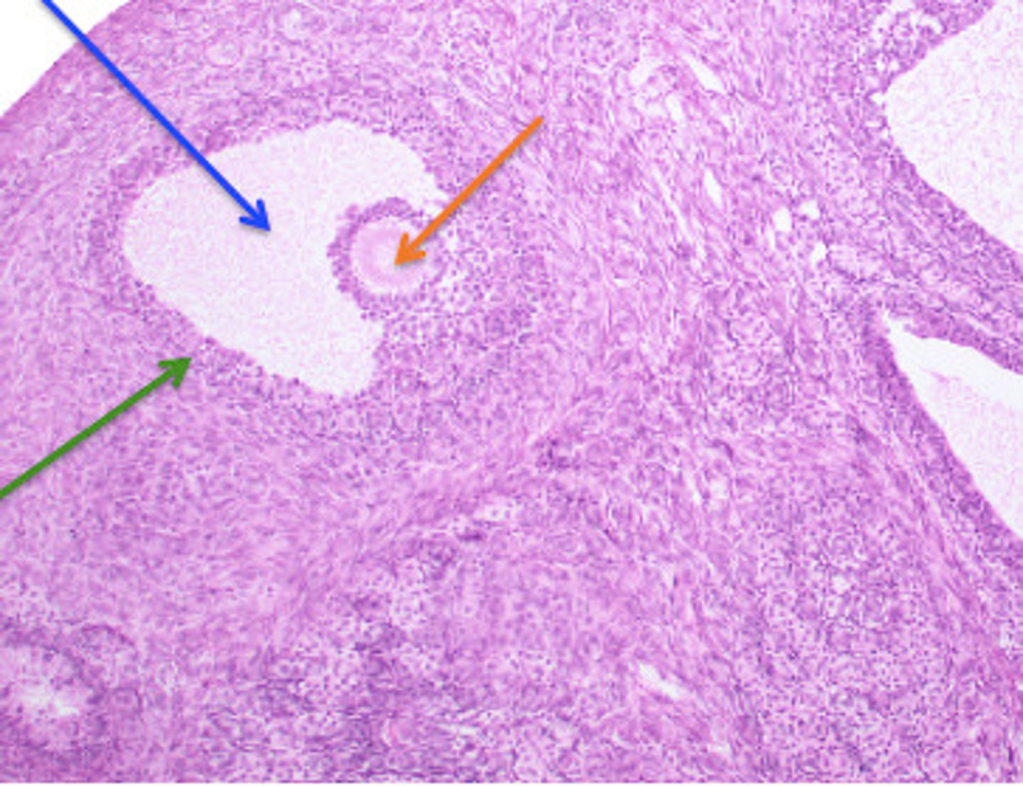
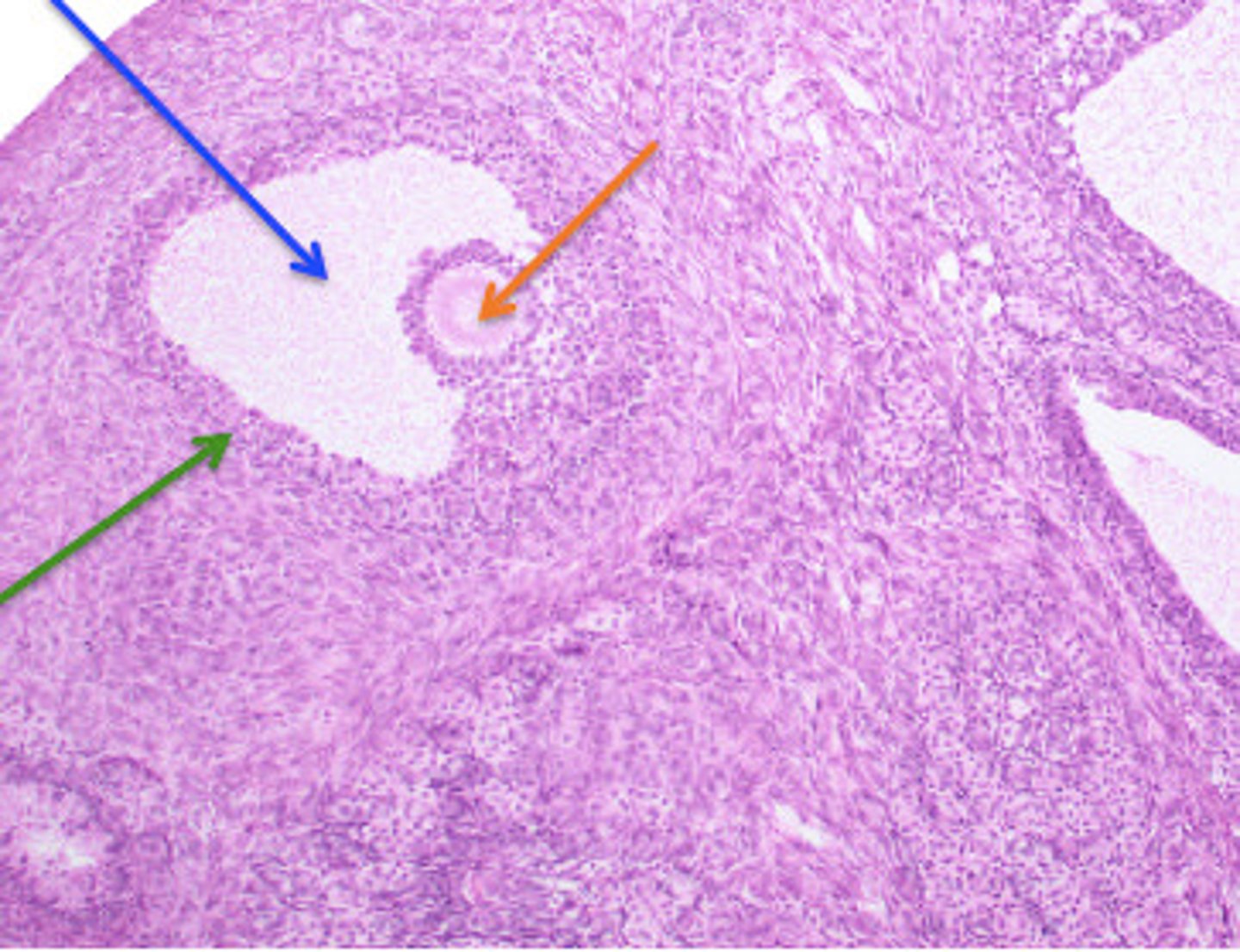
Ovary: Progesterone/Estrogen, Inhibin, Relaxin
Name this organ and hormones produced here

Mature Follicle
Blue arrow (general structure)

Oocyte
orange arrow

Follicle Cells
green arrow

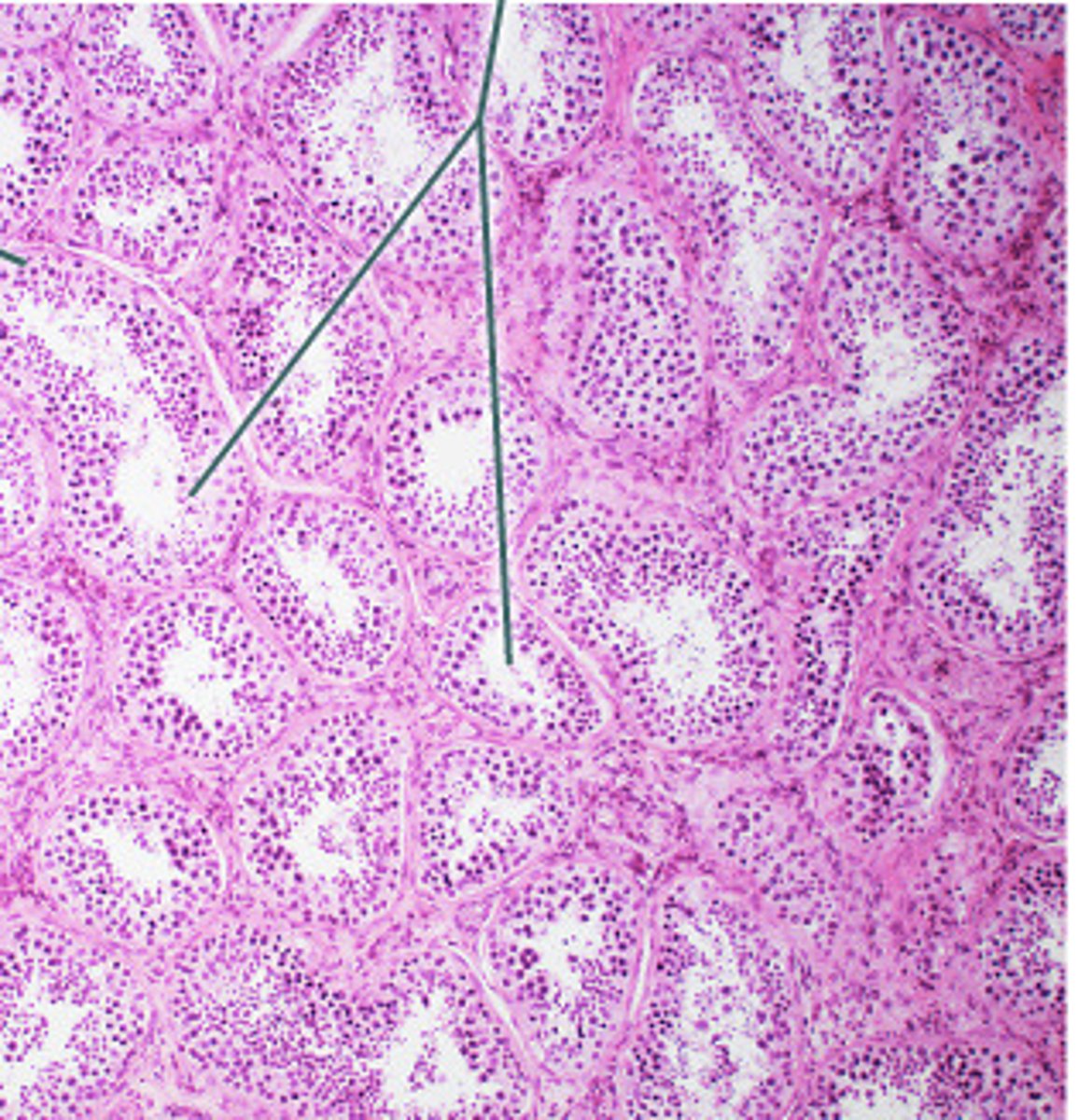
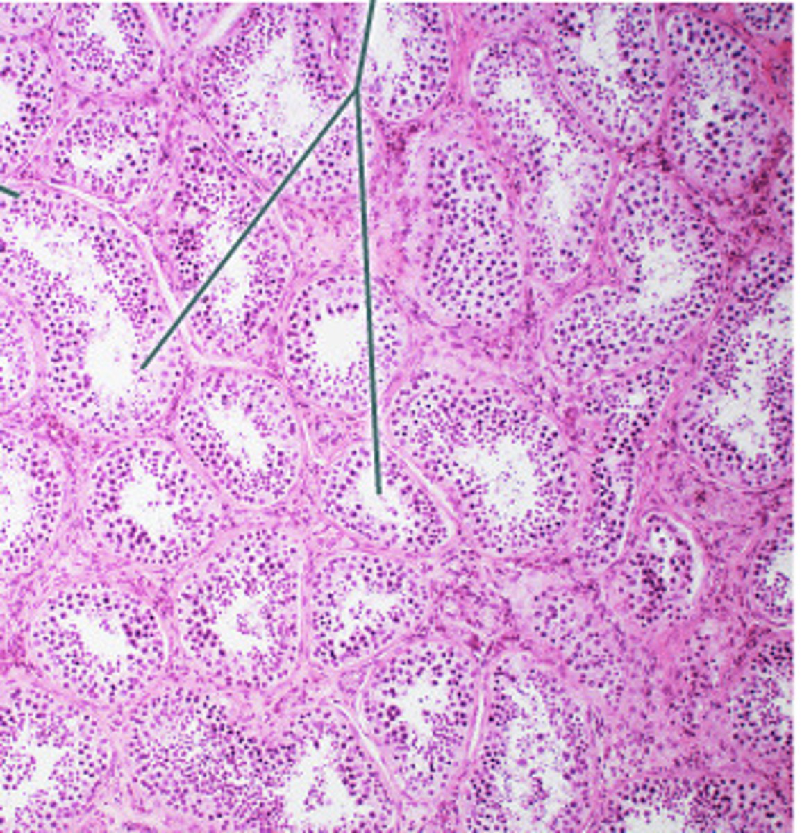
Testes: Testosterone, Inhibin
Both produced in Interstitial Cells of the testes
Name this gland and hormones produced (and location)

Seminiferous Tubules
Identify the structures

Still learning (9)
You've started learning these terms. Keep it up!