1/92
Looks like no tags are added yet.
Name | Mastery | Learn | Test | Matching | Spaced | Call with Kai |
|---|
No analytics yet
Send a link to your students to track their progress
cowper's gland

vas deferens

ejaculatory duct

epididymis

epididymis head

epididymis body

epididymis tail

inguinal canal

corpus cavernosum

corpus spongiosum

external urethral orifice

glans penis

foreskin

base
check book

prostate gland

scrotum

seminal gland

spermatic cord

testis

tunica albuginea

broad ligament

broad ligament

ovarian ligament

ovarian ligament

ovary

suspensory ligament

suspensory ligament

uterine tube

fimbria

infundibulum

uterus

body

endometrium

myometrium

perimetrium

cervix

cervical canal

fundus

basement membrane
thin membrane surrounding the tubule

leydig cell

lobule

primary spermatocyte

rete testis

secondary spermatocyte

seminiferous tubule
red

spermatid

spermatogonium

sperm
black lines
nurse cell

tunic albuginea

sperm head

sperm neck

sperm tail

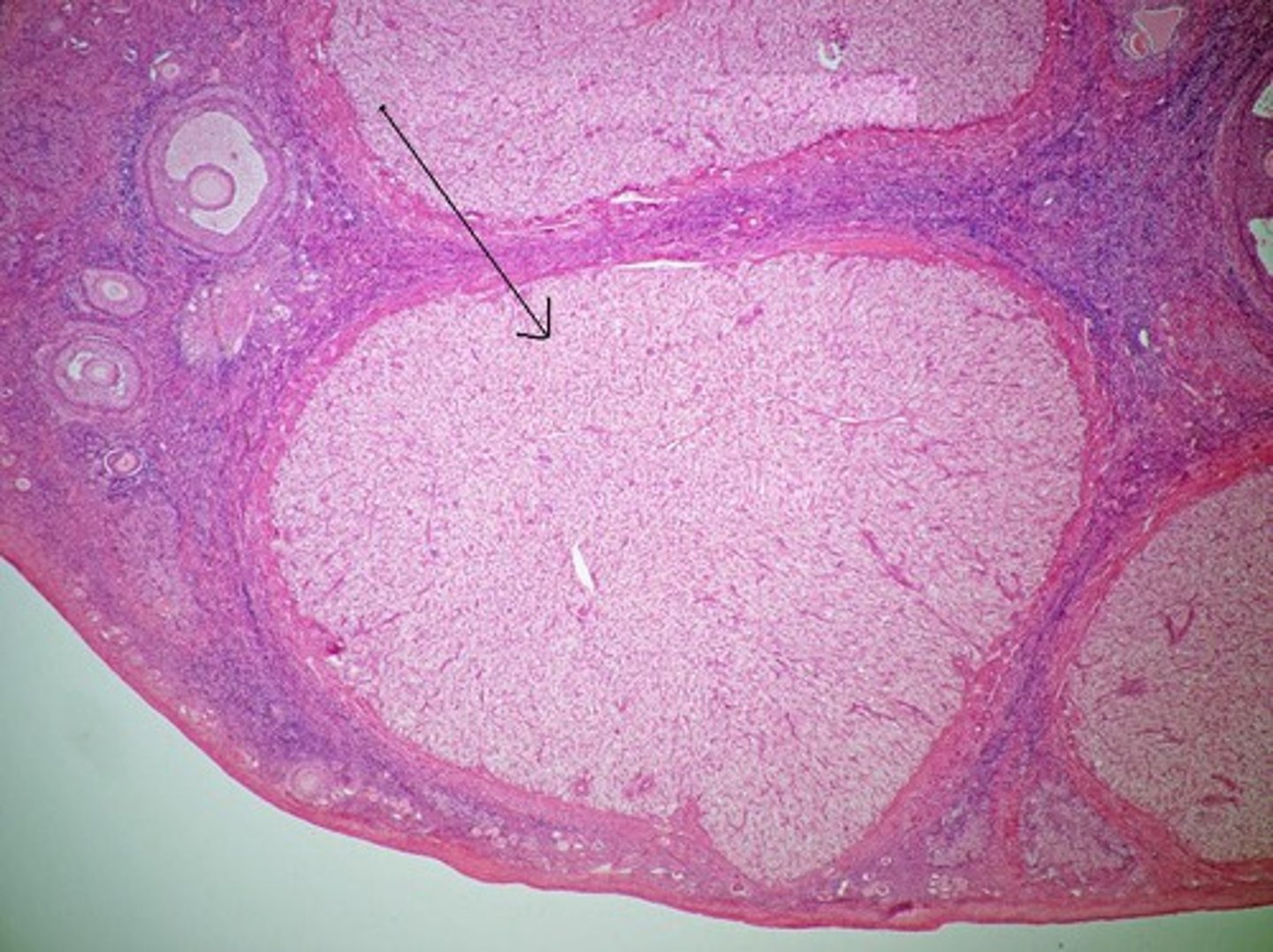
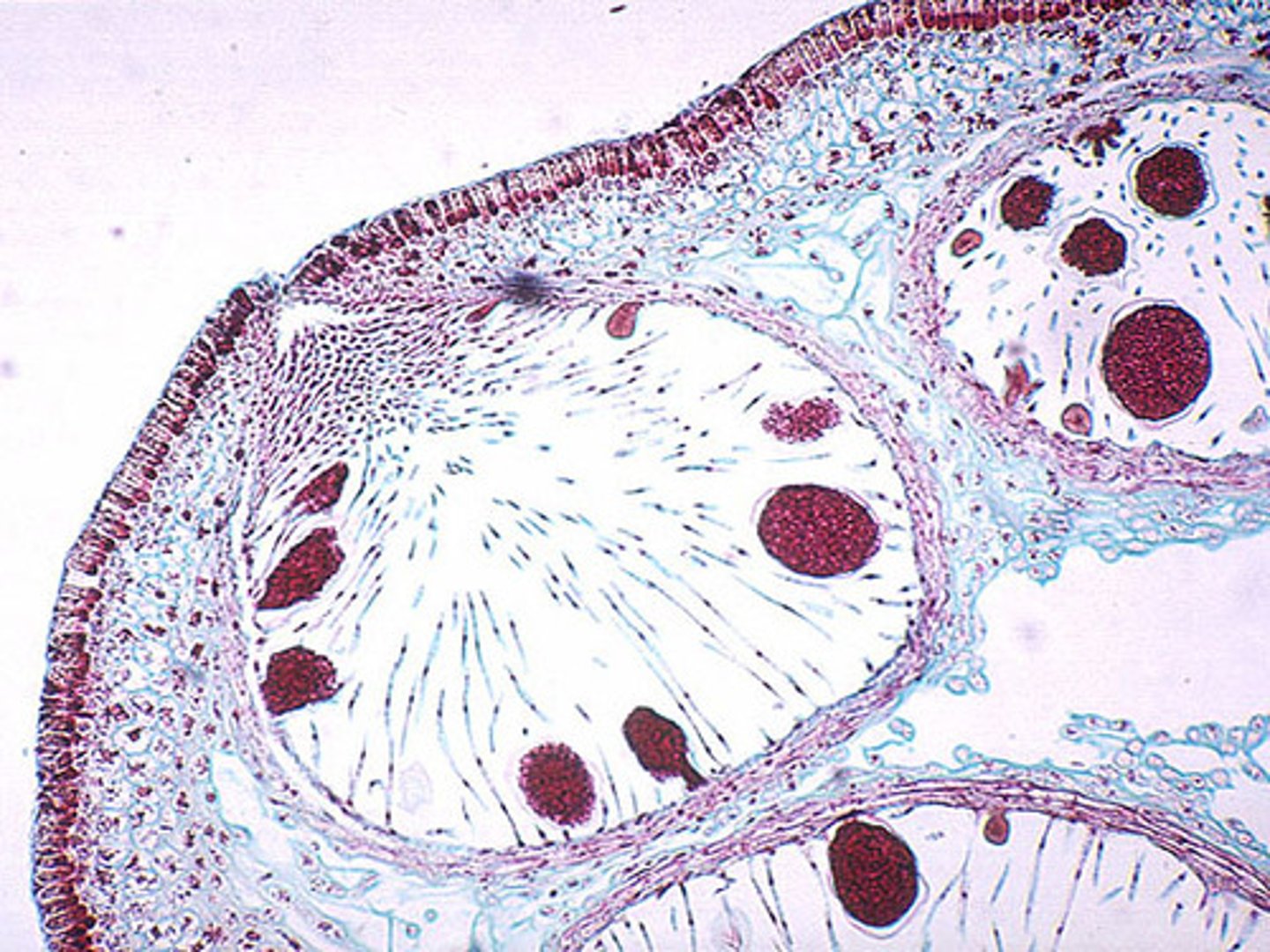
corpus albican

corpus albican

corpus hemorrhagicum

corpus hemorrhagicum

corpus luteum

corpus luteum

luteal cells

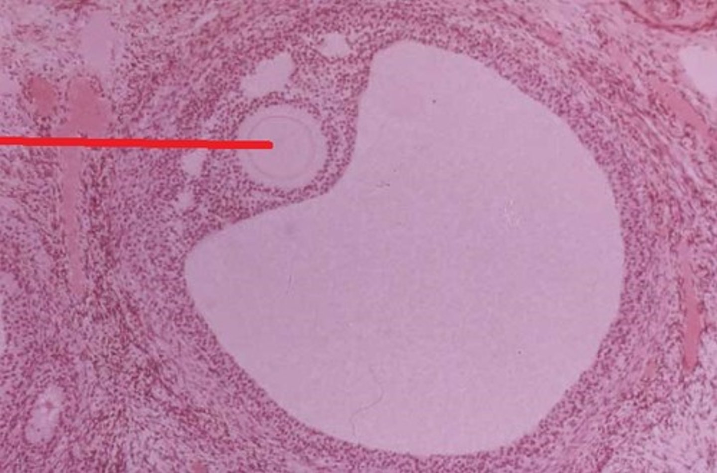
mature follicle

mature follicle
ignore arrow

antrum

corona radiata

cumulus oophorus
purple dots going around the small circle

follicular fluid

granulosum cells
what is the cumulus oophorus made of
stratum granulosum
SG to the right of it is the basement membrane

theca interna

theca externa
zona pellucida

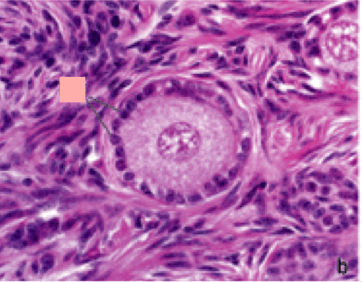
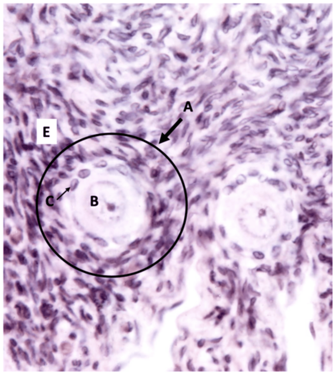
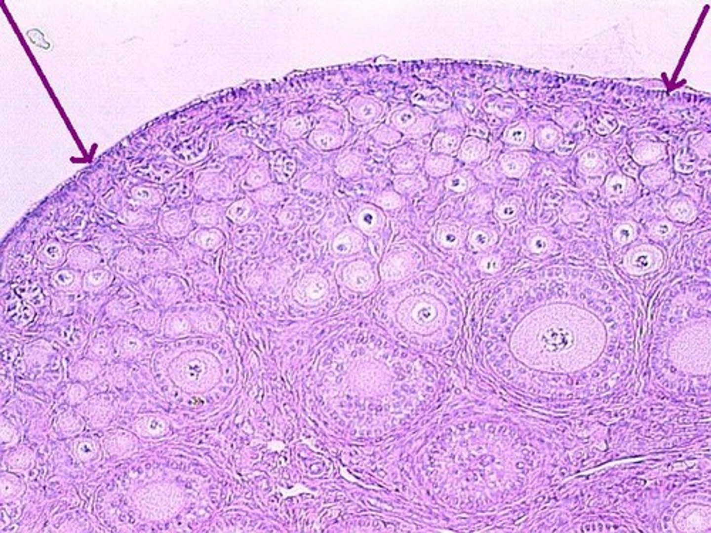
primary follicle

cuboidal follicular cell

primordial follicular cell

squamous follicular cell
C

secondary follicule

granulosa cells

tertiary follicule, antrum, granulose cells
name follicle and arrowed part and what it is made of

oogonium

ovum
small dot in the oocyte

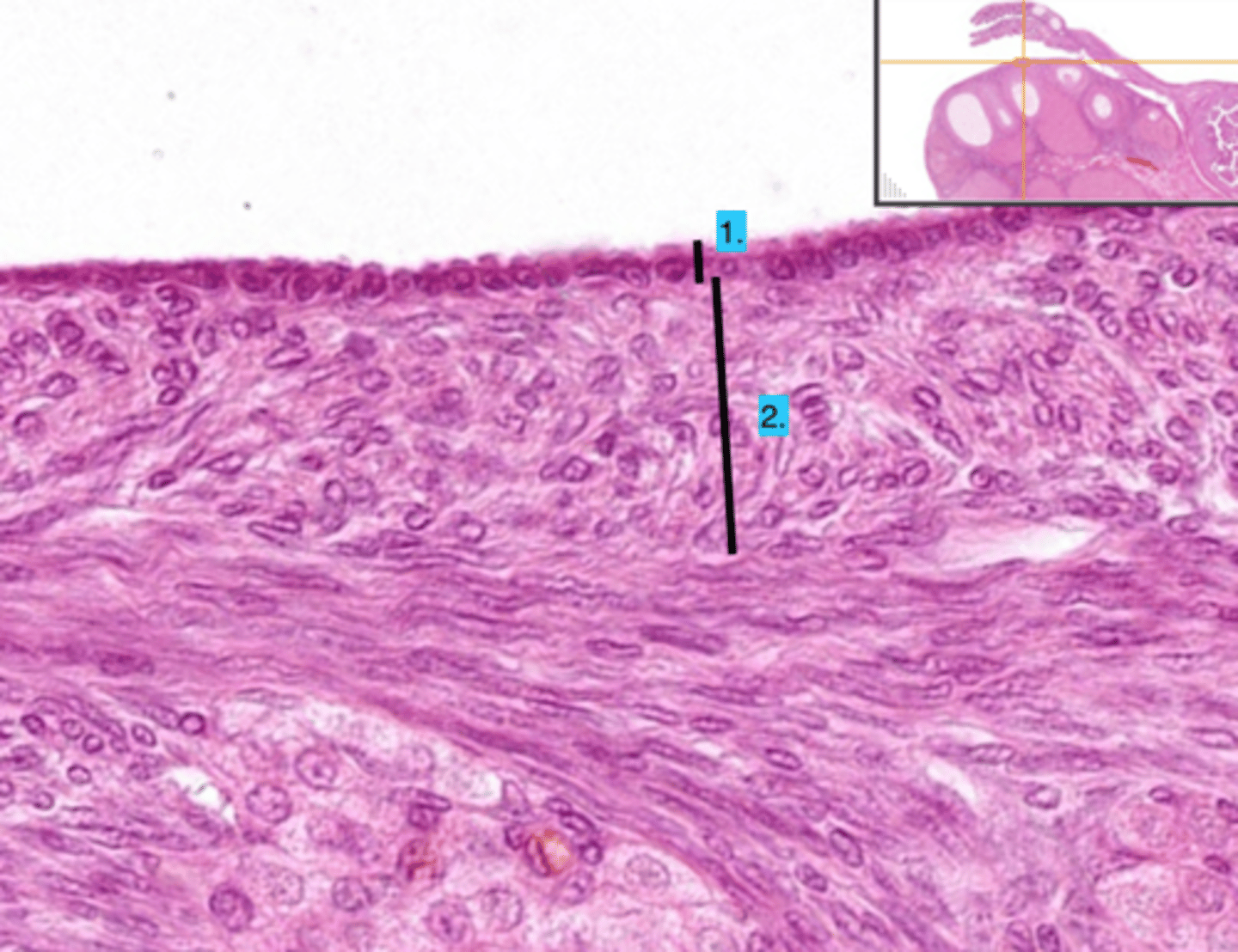
basement membrane

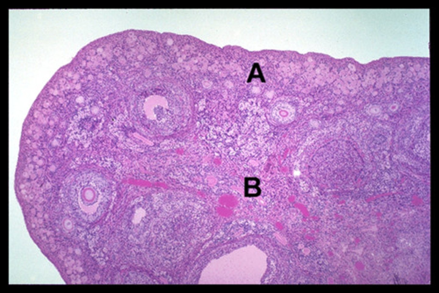
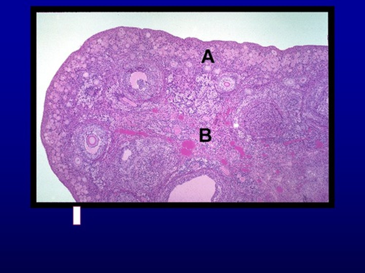
cortex
A

medulla
B

surface epithelium

tunica albuginea
2

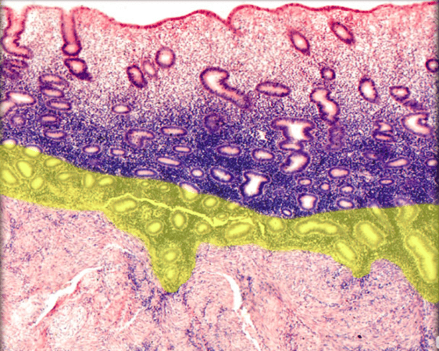
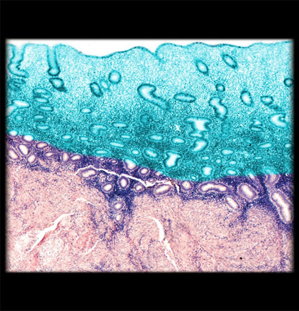
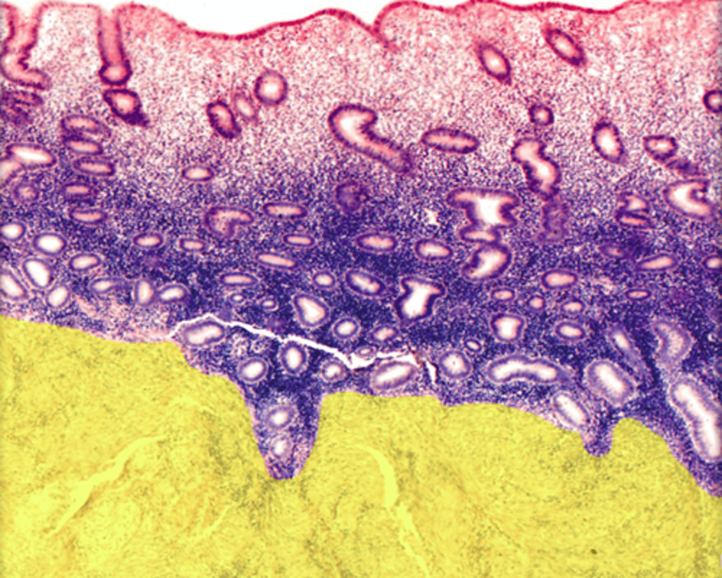
endometrium

uterine glands

basal layer
in endometrium

functional layer
in endometrium

myometrium

smooth muscle
in myometrium it is made of

perimetrium
farthest layer

loose connective tissue, and simple squamous epithelium
what is perimetric made of