1/31
Theres only1-2 questions on this lecture 😭😭
Name | Mastery | Learn | Test | Matching | Spaced | Call with Kai |
|---|
No analytics yet
Send a link to your students to track their progress

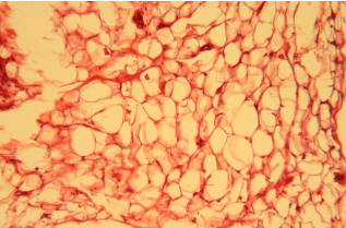
Adipose tissue
Simply, fat
Specialized type of connective tissue, composed of fat cells
Fat deposition
Fat stores present in animals that are essential for life
Internal fat depots protect vital organs
Fat cells can expand or shrink depending on amount of lipid stored in them
Fat gets deposited when energy inputs exceed energy requirements → Extra energy as fat

Body condition scores
3 is ideal
1-2 is too thin
4-5 is too much

Adipose tissue function
General classification → Connective tissue
Energy store
Thermal insulator
Mechanical shock absorber
Improves appearance of a finished carcass
Improves palatability or eating quality for meats
Role of adipose tissue
Carcass quality
Contains subcutaneous fat
Protect the carcass
Fat covering gives marbling for carcasses
More adipose tissue on beef and pork
Result in low returns for producer
Trim the extra fat = economic loss for producer
Carcass: Marbling
Intramuscular fat
Improves tenderness and juiciness
Better flavour
More marbling = better meat quality
Oxidation of this fat can cause off flavours/odors

Origin of adipose tissue → Mesenchyme
Originates from mesoderm in fetal development
One of 3 germ lines that produce all tissue in body
Synthesis of blood, skeletal tissue, lymphatic cells, connective tissue
Adipose cells precursors are globules that accumulate small droplets of lipid
Role of adipose cell precursor
Preadipocytes or adipoblasts
Resemble fibroblasts
Adipoblasts
Produce white adipocyte
Myogenic lineage
Produce brown adipocyte
Production will be stimulated by hormones
Insulin, thyroid hormone, IGF1
Adipocyte
Has small amount of cytoplasm
Organelles pushed to one size
Once mature enough, it’ll store TAGs
Making the cell no longer able to divide
Can’t undergo hyperplasia

Adipose tissue deposits
Adipocytes accumulate
Intramuscularly
Between muscles
Subcutaneous or visceral fat
Under skin
Intramuscular fat
Important for marbling
Near blood vessels and capillaries
Why adipose tissue is supplied by blood capillaries
If fat breaks down, it’ll travel through capillaries
If lipid needs to break down or get stored
Adipose tissue structure
Continuously grow → Hypertrophy
Depends on energy intake
If more energy intake = high hypertrophy
More energy will get stored
Fat cells can be used by animal for
Balance
Deposition
Mobilization
Net fat acceleration depends on
Release energy to make sure there is enough body
Depends on colder and warmer temperatures
Fat deposition and mobilization depends on
Rich supply of blood vessels
Enzyme systems → GI

Internal, visceral fat → Omentum
Thin adipose sheet
Over stomach and intestine
Allows structural support to stomach and intestine by hugging them

Internal, visceral fat → Mesenteries
Thin connective tissue membrane
Support intestine
Also called lace fat
Phases of fat/ where fat will deposited first
Phase 1:
Internal visceral fat
Omentum (Caul) and mesenteries (Lace)
Phase 2:
Subcutaneous
Intermuscular
Phase 3:
Intramuscular
Why is the phases in this order
Visceral fat is important for organ protection and energy production
Intramuscular is less essential (but we want it in meat production)
Intramuscular fat will only appear if high excess energy → Extra amount of feed, gain weight

Factors affecting fat deposition → Breed differences in fattening
Early maturing cattle will deposit fat much faster
British breeds
Late maturing cattle wont deposit fat as fast
Continental breeds
Breeds are different in heigh, body composition, puberty, sexx, stress
Juiciness
Important for palatability of meat
Intramuscular is lower = less juiciness
Melted lipids → Make up broth that are released upon chewing
Melted fat → reduces moisture loss, minimize drying during cooking
Meat flavor
Carbonyl compounds in adipose tissue
Presence of specific FA impact flavour

Types of adipose tissue
White
Main fat
Support energy storage, insulation, cushioning
Brown
Heat production
Important for new borns and hibernating animals
Beige
Can sometimes function as brown fat
Usually has same properties as white fat

White fat composition and function
Important for energy storage
One large lipid droplet
Few organelles
Most abundant fat type in body

Brown fat composition and basic function
Heat production
Many small lipid droplets
Many mitochondria to produce heat NOT energy
Vascular → Heat produced from lipid oxidation and electron transport rxns
In newborns, cold adapted animals and hibernating animals
None in piglets or poultry
Brown fat function
Heat generated by no shivering thermogenesis
Exposed to cold → shivering will happen
If cold is chronic → heat produced with no shivering
T4, catecholamines both help with BMR and metabolism of fat
Fat metabolism in brown fat
Oxidizes FA
Energy released as heat NOT ATP
Phosphorylation important to produce ATP for contraction and relaxation in muscles
White adipose tissue FA metabolism
Release FA
Allow ATP synthesis
Energy storage: Pregnancy → Lipogenesis
Fat synthesis
Important at end of gestation for energy for fetus
Important after parturition to make milk
Energy storage: Pregnancy → Lipolysis
Fat breakdown
Make energy if too low in glucose
Problems in dairy cows
Build up of ketone bodies causing ketosis
FA metabolism
3 FA bound to glycerol backbone
FA in animal fats vary in length
Unsaturated and saturated FAs
Unsaturated have lower melting point because of kinks in structure