1/29
Looks like no tags are added yet.
Name | Mastery | Learn | Test | Matching | Spaced | Call with Kai |
|---|
No analytics yet
Send a link to your students to track their progress
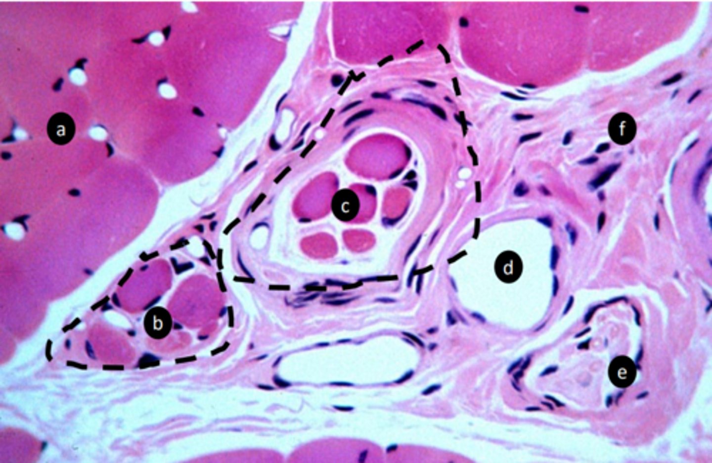
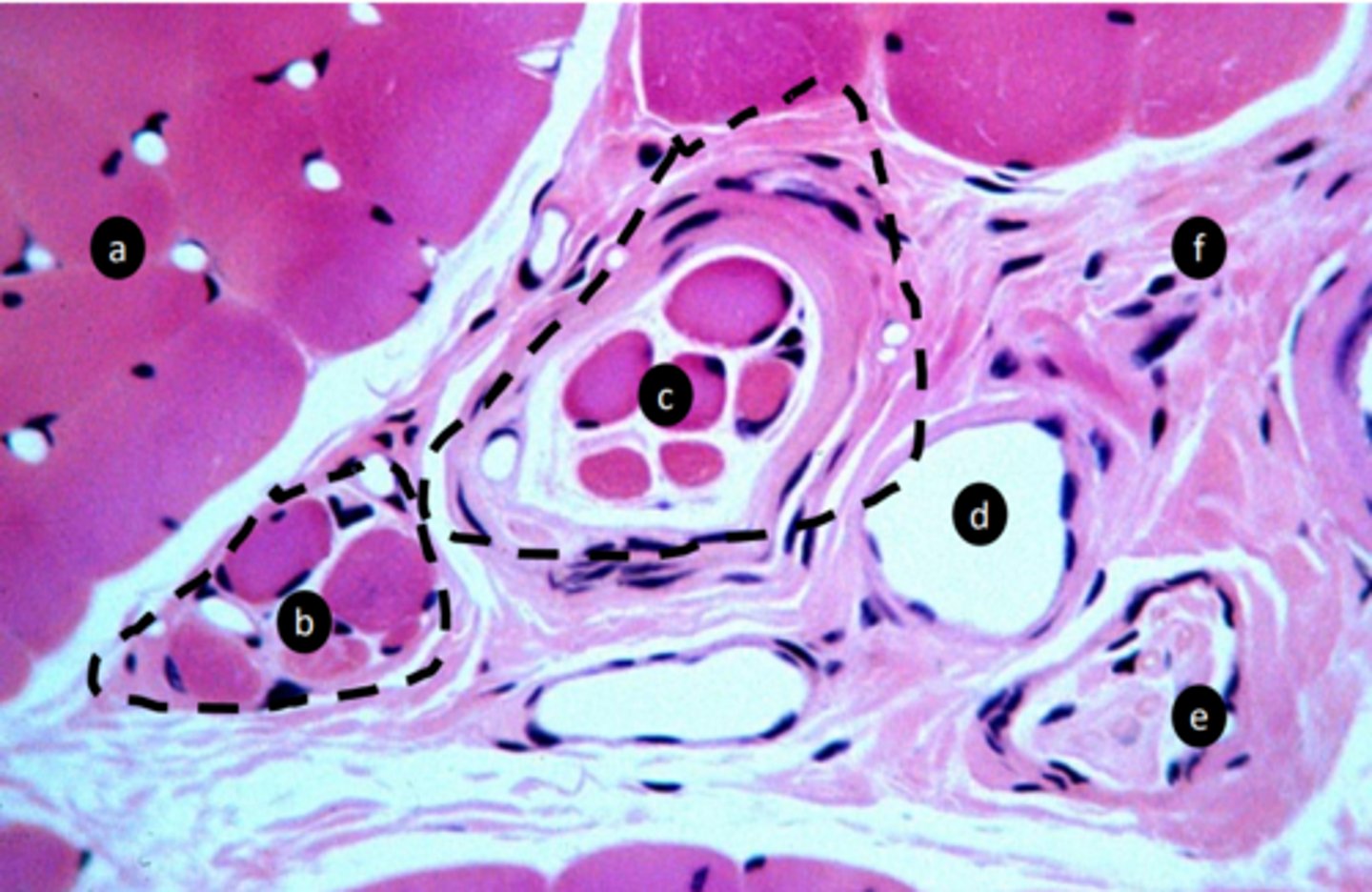
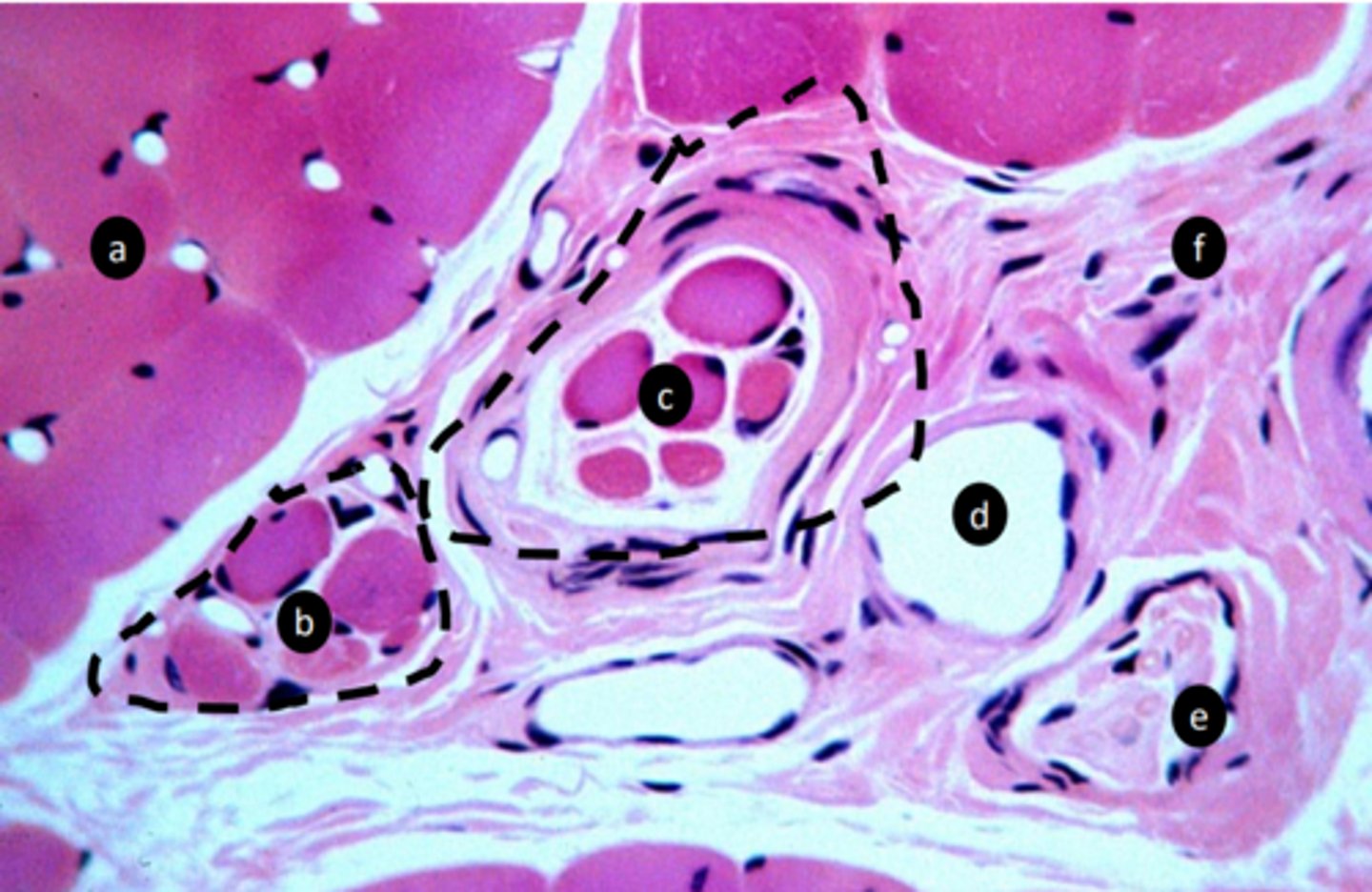
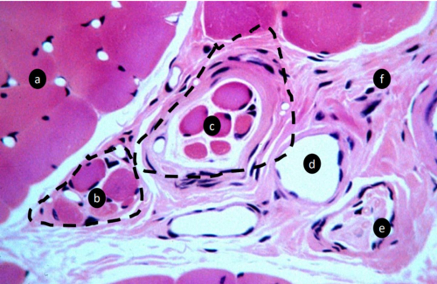
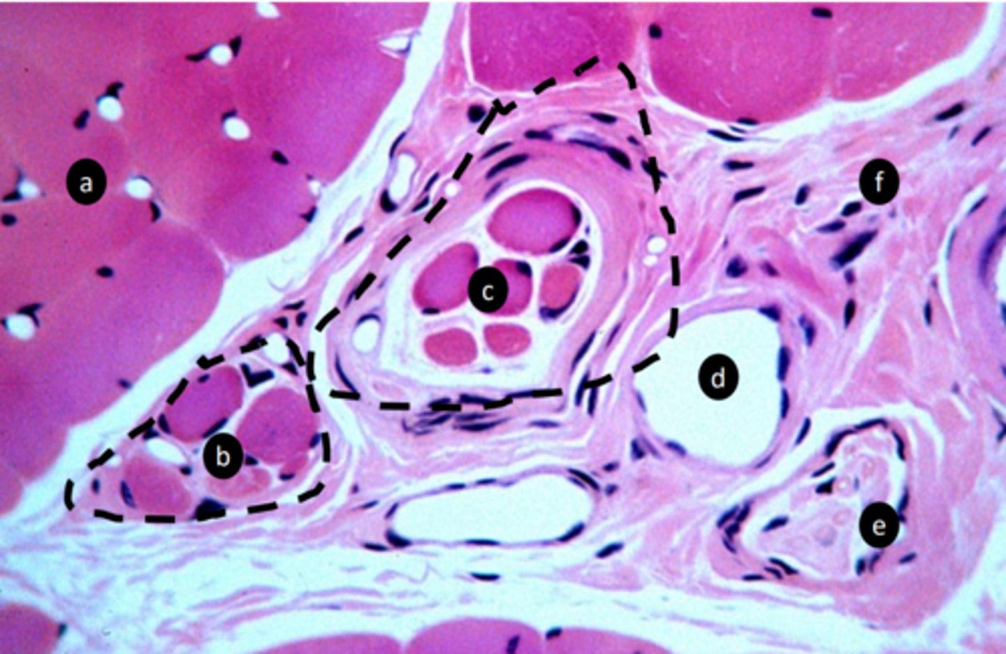
extrafusal myofibers
a: specific tissue type

intrafusal muscle fiber
b: specific tissue type

intrafusal muscle fiber (muscle spindle)
c: specific tissue type

stretch receptor, proprioception: detect length and velocity
function of c?

vein
e: structure

nerve fibers
f: structure

CT
g: tissue type

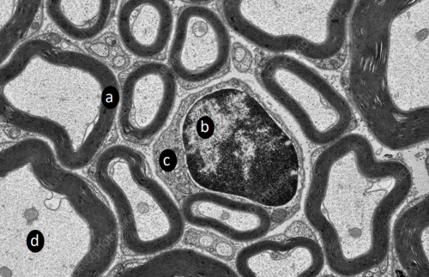
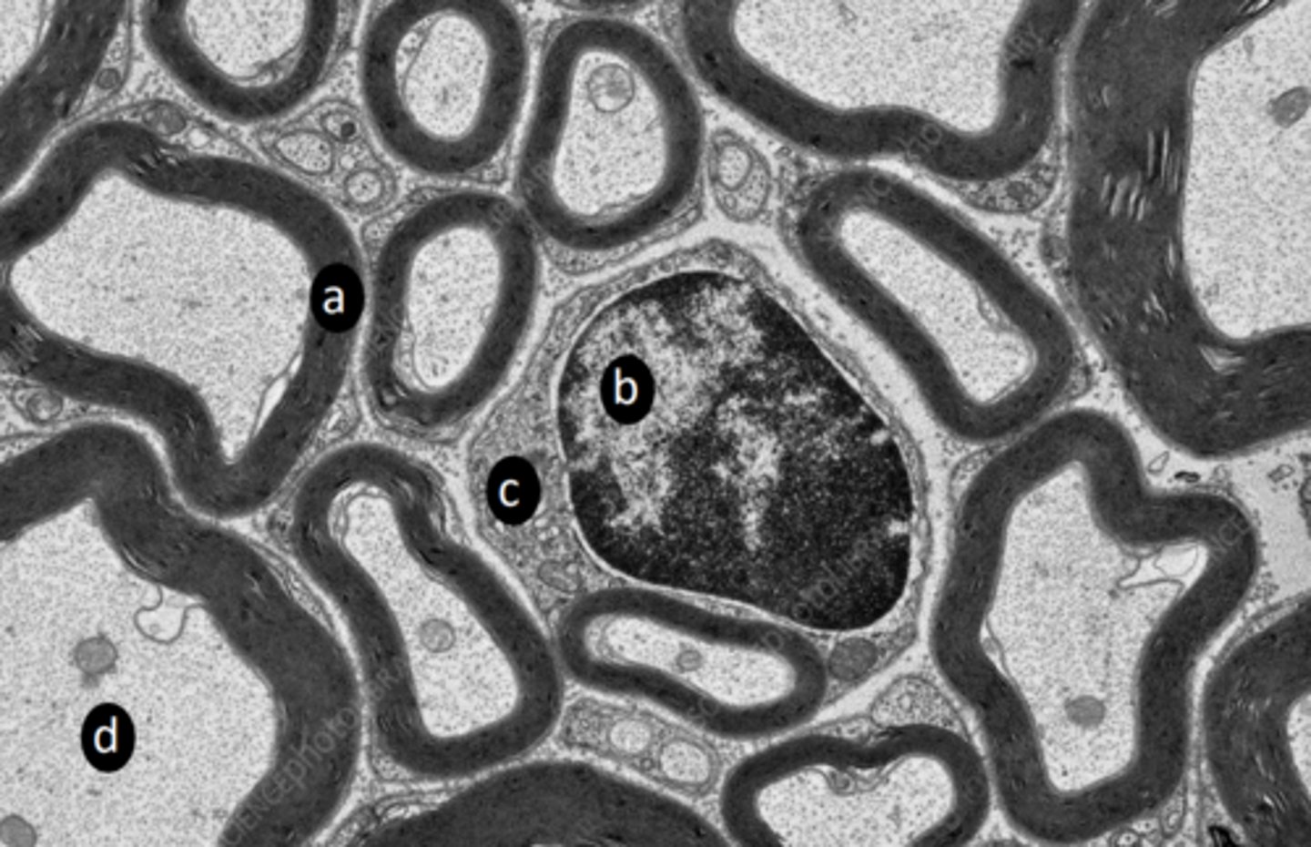
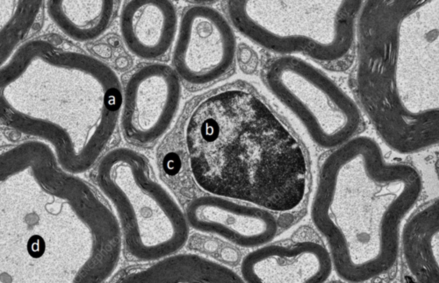
myelin sheath
a: structure

schwann cell nucleus
b: structure

schwann cell cytoplasm
c: structure

microtubule, neurofilament, mitochondria
d: two structures present in labelled region

axon
a: structure

calcium
what ions stimulate action potential?

secretory vescicles
c: structure

axon terminal
d: structure

acetycholine receptors, ACh receptors
e: structure

acetycholine
f: structure

synaptic cleft
g: space

sarcolemma
h: structure

acetylcholinesterase
i: compound

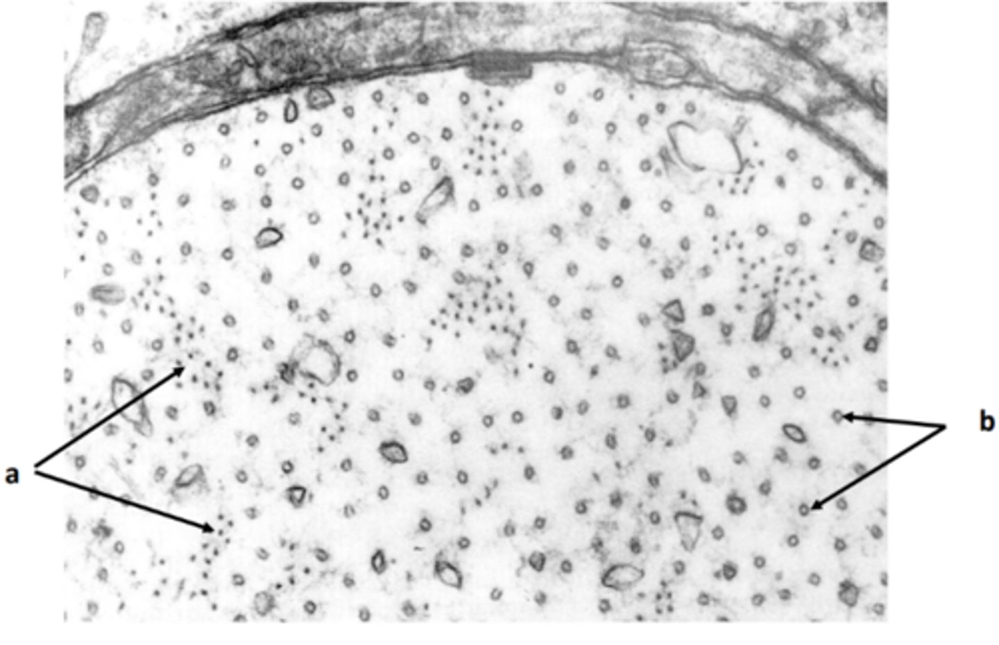
neurofilament
a: structure

neurotubule
b: structure

Schwann cell cytoplasm
red: structures

secondary synaptic clefts
orange: structures

synaptic vesicles
yellow: structure

primary synaptic clefts
blue: structures

mitochondria
purple: structure

synaptic vescicles
orange: structures

basal lamina
yellow: structures

active zones
green: structures
