1/74
Looks like no tags are added yet.
Name | Mastery | Learn | Test | Matching | Spaced | Call with Kai |
|---|
No analytics yet
Send a link to your students to track their progress

What is this?
Right lobe of liver

What is this?
Left lobe of liver

What is this?
Caudate lobe of liver

What is this?
Quadrate lobe of liver

What is this?
(Proper) Hepatic artery

What is this?
(Hepatic) Portal vein

What is this?
(Common) Bile Duct
Porta hepatis structure consists of...
Proper hepatic artery
Hepatic portal vein
Common bile duct

What are these?
Hepatic duct (right and left)

What is this?
Common hepatic duct

What is this?
Cystic duct
What two ducts become the common bile duct?
Common hepatic duct
Cystic duct

What is this?
Head of the pancreas

What is this?
Body of the pancreas

What is this?
Tail of the pancreas

What is this?
Pancreatic duct
The bile duct and pancreatic duct form the...
Hepatopancreatic ampulla
The hepatopancreatic ampulla drains into the...
Ampulla of Vater

What is this?
Hilum of the spleen

What border is the arrow pointing at?
Sharp anterior border of the spleen

What is this?
Visceral surface of the spleen

What is this?
Renal vein

What is this?
Renal artery

What is this?
Renal pelvis

What is this?
Renal capsule

What is this?
Renal cortex

What is this?
Renal columns
Renal medulla includes what?
Renal pyramids
Renal papillae

What is this?
Renal pyramids

What is this?
Renal papillae

What is this?
Minor calyx

What is this?
Major calyx

What is this?
Cardiac region of stomach

What is this?
Fundus

What is this?
Body of the stomach

What is this?
Pylorus

What is this?
Pyloric sphincter

What is this?
Greater curvature

What is this?
Lesser curvature
What are the 4 parts of the duodenum?
Upper
Descending
Horizontal
Ascending

What is this?
Jejunum

What is this?
Ileum

What is this?
Ileocecal junction

What is this?
Teniae coli

What is this?
Haustra

What is this?
Epiploic appendices

What is this?
Cecum

What is this?
Vermiform appendix
Attached via mesoappendix

What is this?
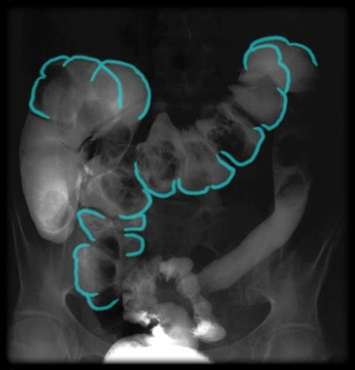
Ascending colon

What is this?
Transverse colon

What is this?
Descending colon

What is this?
Sigmoid colon
The celiac trunk branches from the...
Abdominal aorta

What are the branches of the celiac trunk?
Left gastric artery
Splenic artery
Common hepatic artery
What are the main two branches off the common hepatic artery?
Proper hepatic artery and gastroduodenal artery
What are the proper hepatic artery main branches?
Right gastric artery
Right hepatic artery
Left hepatic artery
Cystic artery
What are the gastroduodenal artery branches?
Right gastroomental artery
(Anterior and posterior) Superior pancreaticoduodenal branches

What is this?
Splenic artery
What are the splenic artery branches?
Short gastric arteries
Left gastroomental artery
Branches of the superior mesenteric artery (SMA)
Jejunal and ileal arteries
Ileocolic artery
Right colic artery
Middle colic artery
Branches of the inferior mesenteric artery (IMA)
Left colic artery
Sigmoid artery
Superior rectal artery
Ileocolic artery supplies the...
Terminal ileum
Cecum
Appendix
Proximal ascending colon
Right colic artery supplies the...
Ascending colon
Middle colic artery supplies the...
Right colic flexure and proximal transverse colon
Left colic artery supplies the...
Distal transverse colon and descending colon
Sigmoidal artery supplies the...
Sigmoid colon
Superior rectal artery supplies the...
Upper rectum
3 major tributaries of the portal vein
Superior mesenteric vein
Inferior mesenteric vein
Splenic vein

What is this?
Rectus abdominis

What is this?
Linea alba

What is this?
Rectus sheath

What is this?
Lineae semilunares

What is this?
External oblique

What is this?
Internal oblique

What is this?
Transversus abdominis