1/37
Name | Mastery | Learn | Test | Matching | Spaced | Call with Kai |
|---|
No analytics yet
Send a link to your students to track their progress
Which of the following is correct regarding the body's interferon defense system?
Interferon induces the production of antiviral proteins in adjacent cells
What parts of antibodies have great variability due to somatic recombination?
the Fab part only
Some bacteria have evolved the ability to prevent lysosome fusion to a phagosome. These bacteria can therefore avoid
the oxidative burst
What is meant by the abbreviation ADCC
Tagging a cell so that NK cells bind to and destroy it
Immune tolerance in T cells involves positive selection. What does that mean?
T cells are only released if their TCR recognizes thymus cells’ MHC1
The three complement activation systems share many common features, but there are also bdifferences. Which of the following is NOT common to all three complement pathways?
Properdin is required to stabilize the C5 convertase
How do Treg cells differ from TH cells?
When Treg seeks bind to B7, they engulf and destroy it
Injection of a patient with tetanus immune globulin is an example of
artificial, passive immunity
Why are only a very small number of B cells activated in response to an infection?
The cytokines the body produces bind specifically only to one type of B cell

What can you conclude if you find the structure at the right in a patient?
The patient has been recently infected
Pharmaceutical companies are developing DNA-based and mRNA-based vaccines. These vaccines work by causing a vaccinated person to
produce one of a pathogen’s proteins in order to elicit a T cell response
Inheritance of the immunodeficiency disease agammaglobulinemia results in the failure to
produce B cells. A patient with this disease would
Be very susceptible to bacterial toxins
The bacterium Legionella pneumophila causes acute bacterial pneumonia with an incubation
period of 3 days (not one we discussed in class). It can often be diagnosed only by serological tests. A patient with pneumonia arrives at a doctor's office for various tests, including a titer for anti-Legionella IgG. The titer is 1:32. No diagnosis is made, but the patient eventually recovers. The doctor still wants to know what caused the illness, though, so she runs another IgG titer. If the patient's pneumonia had been caused by Legionella, which of the following antibody titers might the doctor expect to find?
1:256
What type of cells do NK cells kill?
mainly cancer cells and virally infected cells
When we say that a patient has a "disseminated" bacterial infection, what can we assume?
The patient has or has had bacteremia
Which of the following is true for a direct ELISA, but not for an indirect ELISA?
To begin the test, known antibodies are bound to the bottom of a microtiter well
Which of the following is an example of an acquired immunodeficiency disease?
measles
Why have we not produced a successful vaccine against endotoxin?
It cannot be inactivated because it is not a protein
A person who is allergic to pollen has small amounts of pollen injected under their skin. What
is the purpose of this?
It causes him to make more anti-pollen IgG, rather than IgE
Several organisms (Staphylococcus, Pseudomonas, Enterococcus) cause disease in catheterized
patients much more frequently than in non-catheterized patients. What is the most important virulence
factor for these organisms?
Ability to form biofilms on the catheter
A chronic disease with a seasonal incidence peak in the summer would most
be vector-borne, like Lyme Disease
A pathogen that has recently emerged in a particular region of the world would be expected to have which of the following epidemiological characteristics?
High virulence and low prevalence
How does your body respond to the presence of a superantigen toxin?
By secreting lots of cytokines and mounting a massive inflammatory response
Nosocomial (healthcare-associated) transmission of diseases is typically prevented by all of the following EXCEPT
positive pressure in rooms, negative pressure in halls and common areas
All of the following are important for bacterial survival in a host EXCEPT the ability to
induce autoimmune antibodies

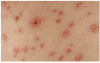
A person who developed the skin rash shown at right might
have what complication later on?
The patient might get a painful skin rash many years later, because this is a latent virus
One reason why a vaccine against malaria has proven difficult to design is that the malaria parasite
can infect red blood cells escaping humoral and cellular immunity
Which of the following symptoms would be considered unusual in a case of Strep throat?
cough
Which of the following is NOT associated with tuberculosis?
vertical transmission
Anthrax spores can survive for many years in soil. Soil is a _________ for anthrax
reservoir
The causative agent of tetanus is an AB toxin. Which of the following is true about it?
The A part inhibits release of a neuroinhibitor
An acute inflammatory respiratory disease associated with inhalation of aerosols from rodent feces, and especially prevalent in the southwest US is
Hantavirus
Which of the following is transmitted more commonly as a community-acquired infection than as a nosocomial infection?
Otis media due to haemophilus influenzae
Red skin rashes and white cheesy growth in moist areas of the body are caused by
Candida albicans

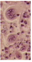
The most common cause of lower respiratory tract infections in young children causes irritation to the bronchiole lining, with the characteristically damaged cellular appearance seen at right. What is this disease?
Respiratory syncytial virus
What would be the most apparent way to distinguish rubeola from rubella?
White spots are present in the lining of the mouth in cases of rubeola
A frequent cause of the common cold, this acid-resistant virus can be transmitted by the fecal-oral route as well as the respiratory route.
Adenovirus
Which of the following statements about influenza is FALSE?
It only infects humans. sp it can potentially be eradicated