1/65
Looks like no tags are added yet.
Name | Mastery | Learn | Test | Matching | Spaced | Call with Kai |
|---|
No analytics yet
Send a link to your students to track their progress
REVIEW: Elbow anatomy.

What joint is involved in ONLY flexion/extension of the elbow?
humeroulnar joint
What joint is involved in ONLY supination/pronation of the elbow?
proximal radioulnar joint
What joint is involved in BOTH flexion/extension + supination/pronation of the elbow?
humeroradial joint
What THREE ligaments are involved in the elbow joint?
Medial collateral ligament
Lateral collateral ligament
Annular ligament

The _____ tendons inserts ANTERIORLY, while the _______ tendon inserts POSTERIORLY.
biceps; triceps

The wrist ______ originate from the LATERAL epicondyle, while the wrist _______ originate from the MEDIAL epicondyle of the elbow.
extensors; flexors

What TWO bursa are found in the elbow joint?
Subcutanenous olecranon bursa
Subtendinous olecranon bursa

What does TAN stand for?
Biceps Tendon (medial)
Brachial Artery
Median Nerve (lateral)
What is the main muscle involved in elbow flexion?
brachialis
**also biceps + brachioradialis
What is the main muscle involved in forearm supination?
biceps
**also supinator
What is the carrying angle of the elbows?
angle of the elbow/forearm , at resting position, from the body
- allows forearms to clear your hips when you swing your arms
What terms can be used to describe a smaller/large carrying angle?
Larger → cubitus varus ("bowed")
Smaller → cubitus valgus ("knocked")

What does FOOSH stand for?
Fall On an Outstretched Hand
FOOSH: what type of fracture will occur from falling forward and landing on an OUTSTRETCHED hand?
Colle's fracture (distal radius)

FOOSH: what type of fracture will occur from falling forward and landing on an FLEXED wrist?
Smith's fracture

FOOSH: what type of fracture will occur landing on an outstretched hand with elbow locked?
supracondylar fracture with elbow dislocation
FOOSH: what TWO types of fracture can occur when landing on an outstretched hand with hyperpronated forearm?
Monteggia fracture
Galeazzi fracture

Loss of elbow dimples can indicate what?
elbow effusion
Sudden swelling of the elbow WITHOUT trauma can indicate what?
Infection
Inflammation
Gout
Gradual swelling of the elbow on the POSTERIOR aspect can indicate what?
Inflammation of the olecranon bursa
Medial/Lateral epicondylitis
What TWO tests can be used to evaluate for tennis elbow?
Cozen test
Mill test
What is a (+) Cozen test?
pain in the lateral epicondyle with:
- forearm pronation
- wrist extension & radial deviation

What is a (+) Mill test?
pain in the lateral epicondyle with:
- forearm pronation
- elbow extension
- wrist flexion

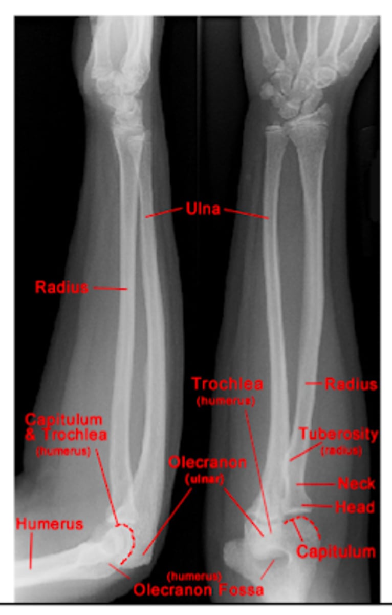
REVIEW: XR of elbow (AP view)

REVIEW: XR of elbow (lateral view)

REVIEW: XR of elbow #2 (lateral view)

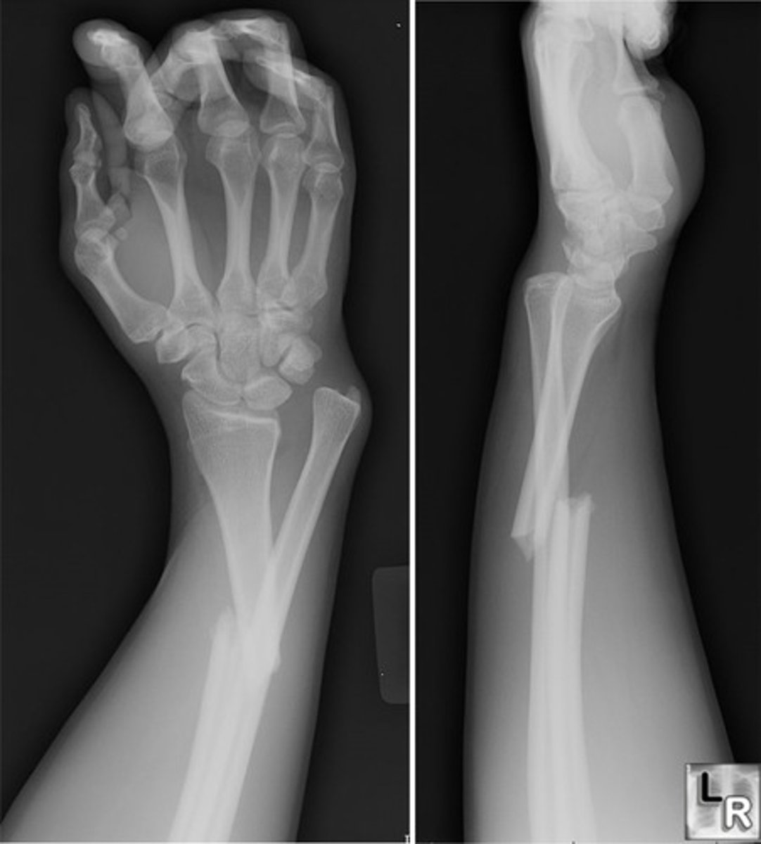
REVIEW: XR of the forearm.

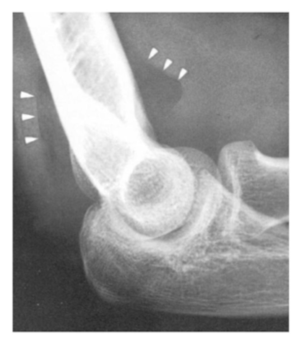
What does a fat pad sign/sail sign on elbow XR suggest? What type most common in adults and children?
presence an articular hemorrhage due to an occult or intra-articular fracture
Adults → radial head Fx
Children → supracondylar Fx of humerus

What type of radial head subluxation is most commonly seen in preschool-aged children?
nursemaid's elbow
- also known as pulled elbow and annular ligament entrapment
What causes a nursemaid's elbow?
sudden pulling force with twisting (ie. swinging child) that causes immature radial head subluxation OUTSIDE of the annular ligament

What is the treatment for nursemaid's elbow?
Closed reduction with supination and flexion
Ice
NSAIDS
Clue: child will start using arm again!

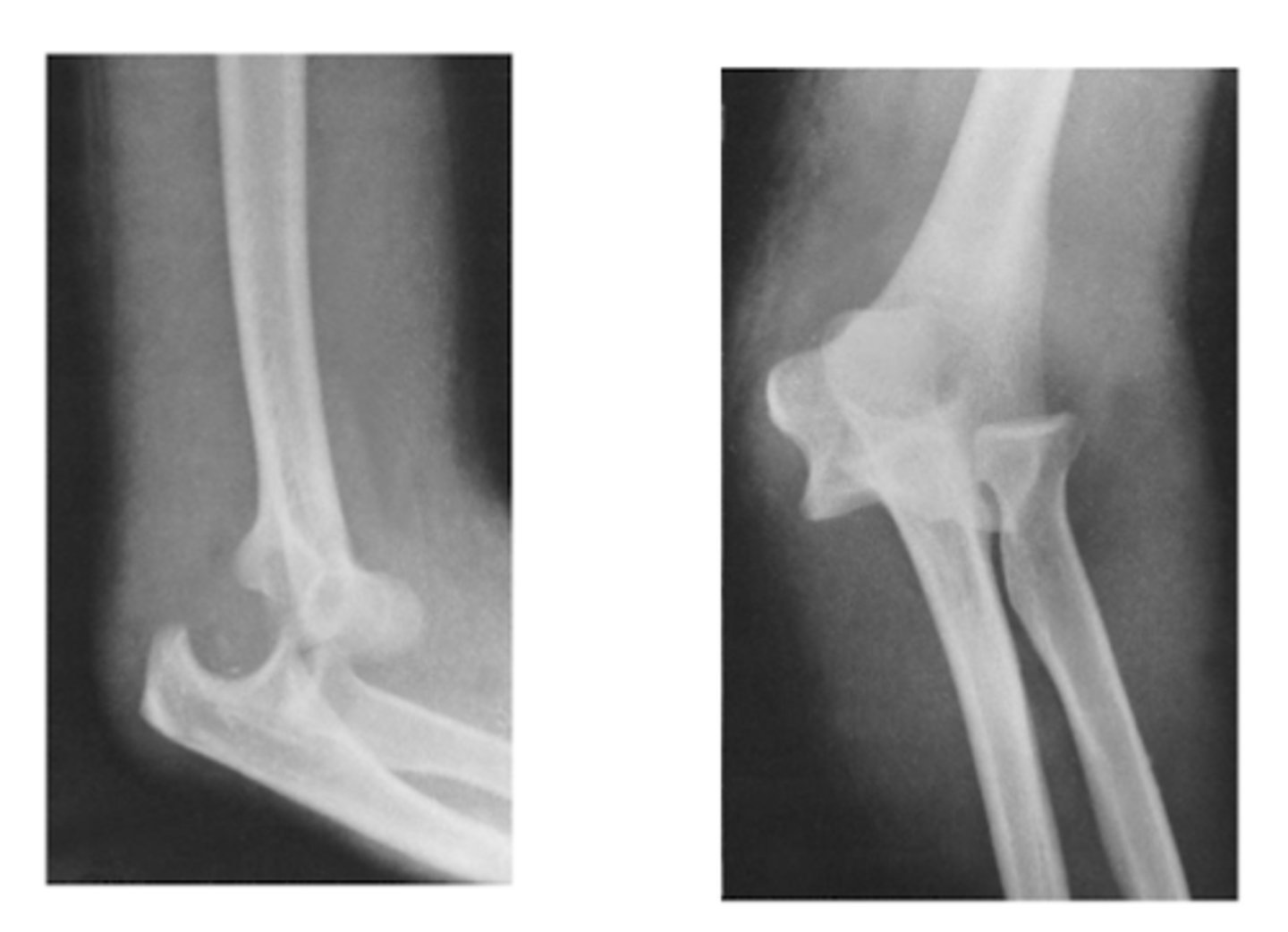
What is the most commonly dislocated joint in adults? In children?
Adults → shoulder
- 2nd m/c = elbow
Children → elbow
What THREE fractures can present in conjunction with an elbow dislocation?
Radial head/neck (50-60%)
Medial/lateral epicondyle (10%)
Coronoid (10%)
What direction of elbow dislocation is most common?
posterolateral

What is the terrible triad of the elbow?
Elbow dislocation due to LCL rupture
PLUS
Radial head Fx
PLUS
Coronoid Fx
What is the treatment for an elbow dislocation?
Closed reduction (either supine or prone) and stability check ROM ASAP
If complicated → surgery

When reducing an elbow dislocation, what is there a risk for?
entrapment of the median nerve
trauma to brachialis
In what population is a distal humeral fracture (supracondylar) most common?
young males
older females

What is the most common nerve injury associated with a distal humeral fracture (supracondylar)?
ulnar nerve injury

What is the treatment for a distal humeral fracture (supracondylar)?
closed reduction
splinting
NSAIDs
**most are managed non-operatively
REVIEW: Mason Johnston Classification for radial head fractures

If a patient with a history of trauma presents with pain and swelling over the lateral aspect of the elbow + reduced ROM, what fracture should be suspected?
radial head/neck Fx
What is the treatment for a radial head/neck fracture?
Type I → splinting
Type II → if > than the following, then ORIF, otherwise splinting:
- <1/3 of articular surface
- <30 degrees of angulation
- <3mm displaced
Type III → ORIF
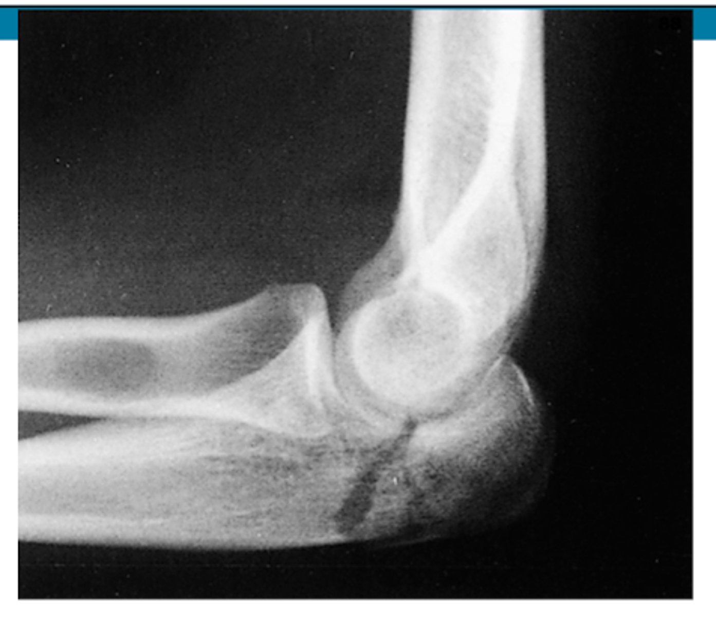
If a patient presents with a history of trauma to the posterior elbow with associated swelling and pain that improves with flexion, what type of elbow fracture might be present?
olecranon fracture

What is the most common type of olecranon fracture? What treatment is indicated?
DISPLACED
- will require surgery + sling + early ROM
What is the most common nerve injury associated with an olecranon fracture?
ulnar
What MUST be checked if a patient has an olecranon fracture?
radial and ulnar pulses
capillary refill
What is a Monteggia fracture?
- dislocation of proximal radioulnar joint
- ulnar fracture

What is the most common type of Monteggia fracture?
Bado Type I
- fracture of the proximal 1/3 ulna
- anterior dislocation of radius

What is a Galeazzi fracture?
fracture of radial shaft
- oblique/transverse Fx
dislocation of the distal radioulnar joint

What is the treatment for Monteggia and Galeazzi fractures in adults vs. children?
Adults → ORIF
- non-surgical Tx has increased risk for displacement
Children → closed reduction and casting
What condition is referred to as golfer elbow?
medial epicondylitis
- also known as bowler's elbow or little league elbow
What condition is referred to as tennis elbow?
lateral epicondylitis/tendinosis
What is recommended in the treatment for lateral/medial epicondylitis?
NSAIDs
Heat/ice
PT/OT
Steroid injections
if severe/recurrent lateral → surgery
What is the MOST IMPORTANT treatment for lateral/medial epicondylitis?
elimination or modification of activities
If a patient presents with swelling, pain and a firm lump over the olecranon process, what does it suggest?
olecranon bursitis

T/F. In a SYMPTOMATIC olecranon bursitis, aspiration is useful to determine cause of inflammation.
TRUE - can help r/o cause (sepsis, RA, gout, etc)
- if no infection → can re-aspirate + inject steroids

What is the most common pathogen involved in a SEPTIC olecranon bursitis?
s. aureus
What causes cubital tunnel syndrome?
compression/entrapment of the ulnar nerve
- runs medial to the "funny bone"
What symptoms are consistent with cubital tunnel syndrome?
tingling, numbness and paresthesias of the 4th and 5th digits
- will have a (+) Tinel's
If a SMOKER presents with symptoms consistent with cubital tunnel syndrome, what must be performed?
CXR to r/o a pancoast tumor
What movement can aggravate symptoms of cubital tunnel syndrome?
flexion of elbow
What nerve is involved in a posterior interosseous nerve compression?
radial nerve
- also known as "radial tunnel"
What movement aggravates symptoms of posterior interosseous nerve compression?
extension of the 3rd digit with resistance
What condition results in muscular compression of the MEDIAN nerve?
pronator syndrome
- will have discomfort/pain in the forearm