1/51
Looks like no tags are added yet.
Name | Mastery | Learn | Test | Matching | Spaced | Call with Kai |
|---|
No analytics yet
Send a link to your students to track their progress
Craniofacial, head, face, and neck injuries occurs in more than ___ % of child abuse cases?
50%
Traumatic dental injuries compromise _% of all injuries in children and young adults
5%
__% of school-aged children experience dental trauma
25%
For children ages 0-6, oral injuries account for __% of all physical injurie
18%
What is the second most common area of the body to be injured?
mouth
What is the most common injury in children ages 2-6?
periodontal tissue
What is the most common traumatic dental injury in the primary dentition?
luxation injuries
What it the most common site for inflicted oral injuries?
lips
T/F:
Dentists are mandated reporters of abuse or neglect
TRUE
Calcification of the incisal and middle 1/3 of the permanent incisor enamel is occurring up to ___ years of age
2
What injuries are most commonly associated with anomalies in the permanent dentition?
intrusion
avulsion
T/F: Males are more likely to sustain dental injuries than females
TRUE
What is the peak age for orofacial injuries?
7-11 years old
Concussion
injury to tooth-supporting structures without loosening or displacement, but with a marked reaction to percussion

T/F: Teeth are tender to percussion with concussion
TREU
Treatment of Concussion?
Observation
Subluxation
injury to tooth-supporting structures with abnormal loosening, but without displacement clinically or radiographically

Treatment of Subluxation
Radiograph
Re-evaluate
Luxation injury types
extrusive
intrusive
lateral
Extrusive Luxation
partial displacement of the tooth out the socket

If the tooth is excessively mobile > 3 mm, what is the treatment?
EXT
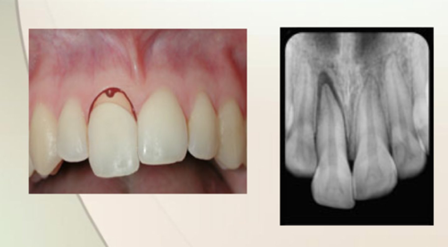
Lateral Luxation
tooth is displaced in a palatal or labial direction

T/F: The tooth is usually immobile in lateral luxation
TRUE
Intrusive Luxation
tooth has almost or completely disappeared into the socket and can be palpated labially

How long does it take for a tooth to reposition?
6 months
Avulsion
tooth is completely out of the socket

T/F: Reimplant the tooth
FALSE
Why is it bad to reimplant an avulsed tooth?
ankylosis
necrosis
Enamel-Fracture
fracture confined to the enamel

T/F: There is pain on percussion in enamel-fracture
FALSE
Enamel-Dentin Fracture
fracture involving loss of enamel and dentin

T/F: pulpal testing is very helpful in pediatrics
FALSE
Cover exposed dentin with?
Glass Ionomer
Enamel-Dentin-Pulp Fracture
fracture involving the enamel, dentin, and pulp exposure

Cvek Pulpotomy

Root Fracture
coronal fragment may be mobile and may be displaced
occlusal interference may be present

What is the poorest prognosis for root fracture?
coronal
_% of primary tooth injuries are rooth fractures
2-4%
___% of teeth with root fracture exhibited pulpal necrosis
9.4%
___% of teeth with root fracture exhibited pulp obliteration
9.2%
Root fractures are usually the ___ to -__
middle to apical 1/3
T/F: Treatment must occur if there is coronal fragment displacement
FALSE
Alveolar Fracture
alveolar bone
several teeth
occlusal interference

Treatment of Alveolar Fracture
splint
When do you splint in primary dentition trauma?
- lateral luxation where displacement was severe and tooth remained unstable in new position after gentle repositioning
-root fracture where coronal fragment was displaced / excessively mobile, and coronal fragment was repositioned, but fragment remained unstable
- alveolar fracture
When do you reimplant an avulsed tooth in the primary dentition?
NEVER
Which injuries do not require an initial radiograph?
concussion
enamel fracture
enamel+ dentin fracture
Which injuries do not require any clinical follow-up?
enamel fracture
Which injuries require radiographic follow-up ?
pulp-treated teeth
alveolar fracture
T/F: tetanus booster may be required if the injury was environmental caused?
TRUE
T/F: child should be on a soft diet after treatment?
TRUE
3/5-10/14 days
When would you send the patient to the hospital?
lugwigs angina - difficulty breathing, submandibular swelling