1/21
Looks like no tags are added yet.
Name | Mastery | Learn | Test | Matching | Spaced | Call with Kai |
|---|
No analytics yet
Send a link to your students to track their progress
Cells
Cells are basic building blocks of living things.
Tissues
A tissue is a group of cells that have similar structure and function together as a unit
Organs
An organ is a group of tissues which collectively perform a specific function
System
An organization of varying numbers and kind of organs so arranged that together they can perform complex functions for the body
Homeostasis
A state of balance among body systems needed for the body to survive and function correctly
What responds to changes inside and outside the body when in homeostasis
In homeostasis, body levels of acid, blood pressure, blood sugar, electrolytes, energy, hormones, oxygen, proteins and temperature are constantly adjusted to respond to changes inside and outside the body, to keep them at a normal level
What do we need to do to maintain homeostasis
Desirable “set point/range”
Awareness of change
receptors
processor: feedback-negative/positive
Mechanism to restore set point
effectors
Consider the components needed for homeostatic control system
challenge to homeostasis requires complex algorithms to cope
What are the two functions of the pancreas
exocrine and endocrine
Exocrine Function
Produces enzymes to help digestion (<98% acini)
Endocrine Function
Small round clusters of cells-”Islets (<2%0 produce hormones to regulate blood sugar
(also produces hormones for local processes)

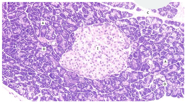
What is I,A,D and C
I- Islets of Langerhans
A- Acini
D- Duct System
C- Connective Tissue
Beta Cells of Islets of Langerhans
Insulin decreases blood glucose levels

Alpha Cells of Islets of Langerhans (what do the do)
Glucagon increases blood glucose levels

What is the feedback loop to maintains glucose levels
Glucose is 1 fuel for (nearly) all our cells
Blood glucose concentration must be maintained even when fasting
So access from stored form or de novo synthesis needed

Metabolism
The reactions that occur throughout the body within cells to provide energy.
This energy is used for vital processes and synthesis of new cells: C6H12O6 + 6O2 → 6CO2 + 6H2O
Why a set point is important
Because your body works best when blood glucose stays in a fairly narrow range as too low will not have enough energy. Then too high will cause tissue damage
What is the diabetic reference range for fasting
>7.0 mmol/l
When is HbA1c useful
Its useful as an overall marker of glucose levels over a period of 2-3 months
Diabetes mellitus
a group of metabolic disorders in which persistent hyperglycaemia is caused by deficient insulin secretion and/or resistance to the action of insulin
Type 1 Insulin Dependent Diabetes Mellitus
autoimmune destruction of b cells
may be via T cell or antibody mediated mechanism
typically juvenile onset
treatment attempts to correct deficiency through insulin injections
Type 2 Non Insulin Dependent Diabetes Mellitus
insulin resistance and later deficiency
associated with obesity and ageing
normal decrease in beta cell mass with ageing interacts with other causal mechanisms
age profile changing rapidly in West
control via diet, later oral agents (metformin), then finally insulin injection
What is good control mean
reduction in complications of diabetes