1/83
are they accurate or inaccurate xray pictures? if inaccurate, explain why.
Name | Mastery | Learn | Test | Matching | Spaced | Call with Kai |
|---|
No analytics yet
Send a link to your students to track their progress

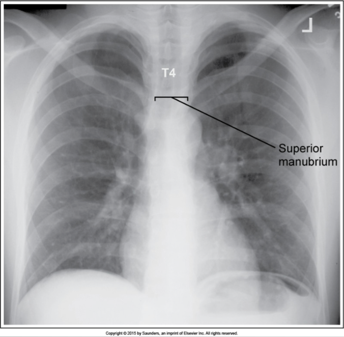
PA chest
inaccurate image
superior MCP tilted anteriorly

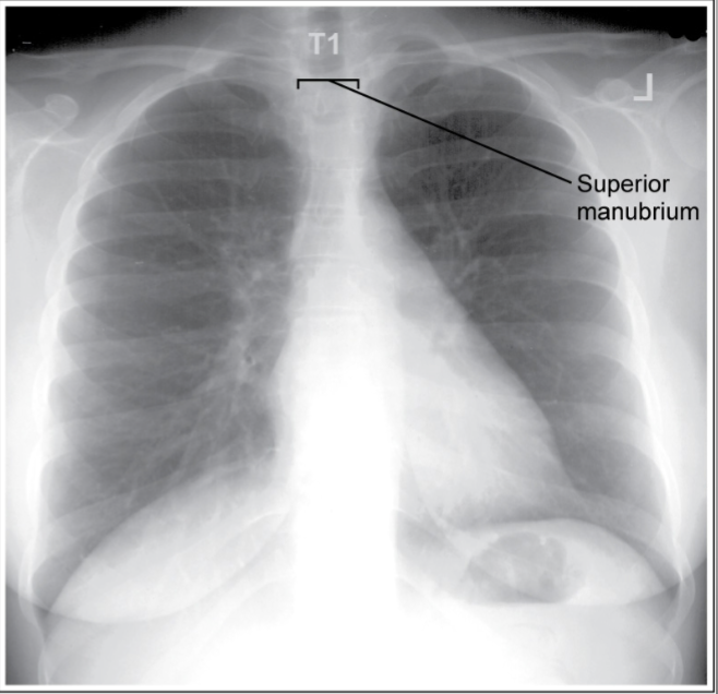
PA Chest
inaccurate image
superior MCP tilted posteriorly

AP neutral shoulder
accurate positioning

AP external shoulder
accurate positioning

AP internal shoulder
accurate positioning

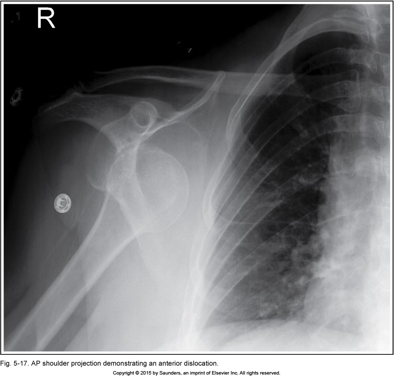
AP shoulder (dislocation)
MCP tilt anteriorly (superior angle above clavicles)
anterior dislocation

AP shoulder (dislocation)
MCP tilt posteriorly (clavicle above superior angle)
anterior dislocation

Inferosuperior Axial (lawrence)
accurate positioning

grashey
accurate positioning

grashey
excessive obliquity

grashey
insufficient obliquity

grashey
MCP tilt anteriorly
(coracoid process is below glenoid cavity)

grashey
MCP tilt posteriorly
(coracoid process above glenoid cavity)

Y view
accurate positioning

Y view
excessive obliquity

Y view
insufficient obliquity
(head of humerus out of ribs)

AP clavicle
accurate positioning

AP clavicle
Pt rotated into LPO (unaffected shoulder)
(medial end of clavicle is superimposing vertebral column)

AP clavicle
Pt rotated into LPO (affected shoulder)
open space between vertebral column and clavicle
clavicle shortened

AP clavicle
MCP tilt anteriorly
(superior scapular angle above body of clavicle)

AP clavicle
MCP tilt posteriorly
angle in ribs

AP axial clavicle
accurate positioning

AP scapula
accurate positioning

AP scapula
no hand abduction

AP scapula
unadequate shoulder retraction

lateral scapula
accurate positioning

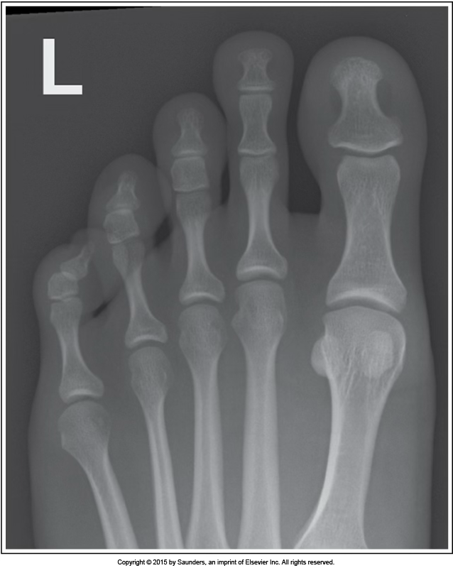
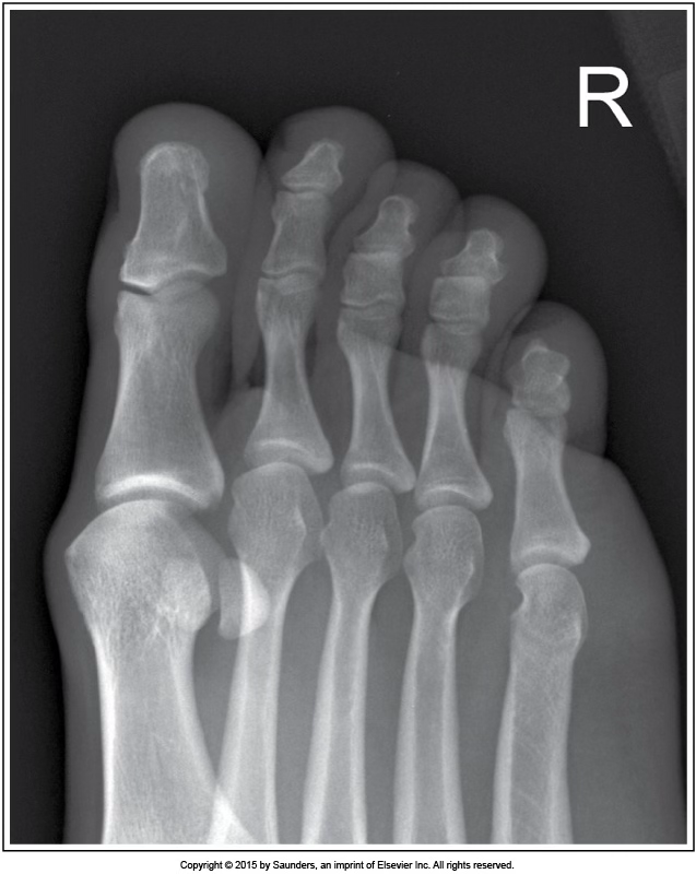
AP toe
accurate positioning

AP axial toe
accurate positioning

AP axial toe
toe rotated laterally

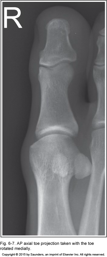
AP axial toe
rotated medially

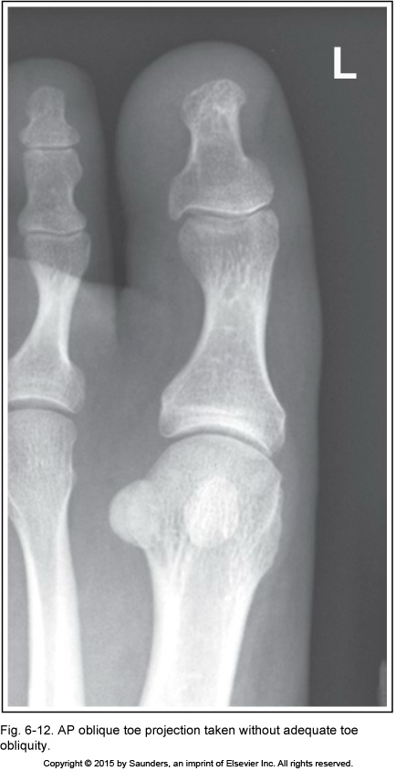
AP oblique toe
accurate positioning

AP oblique toe
accurate positioning

AP oblique toe
inadequate toe obliquity

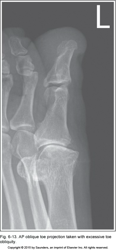
AP oblique toe
excessive toe obliquity

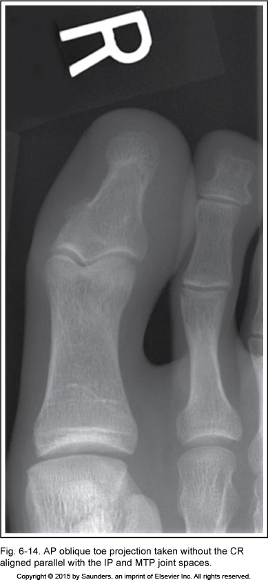
AP oblique toe
CR not aligned parallel with the IP and MTP jt spaces

lateral toe
accurate positioning

second toe lateral
accurate positioning

lateral toe
inadequate obliquity

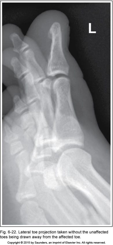
lateral toe
unaffected toes are not pulled away

AP axial foot
accurate positioning

AP oblique foot
accurate positioning

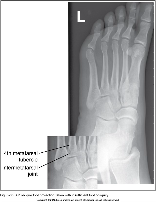
AP oblique foot
insufficient foot obliquity

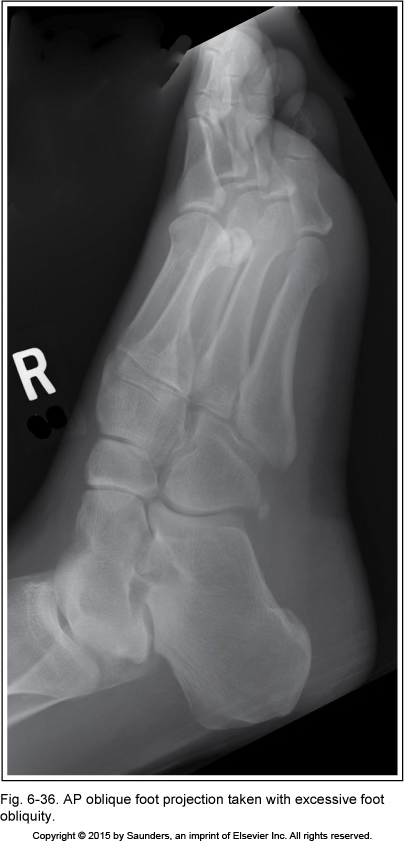
AP oblique foot
excessive foot obliquity

medialateral foot
accurate positioning

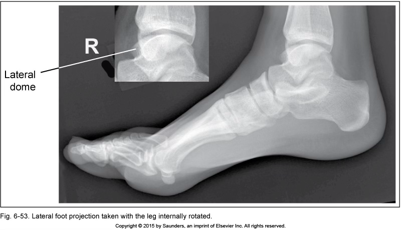
lateral foot
leg internally rotated
check fibula

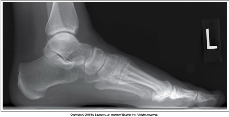
lateral foot
accurate positioning
pt has an average medial foot arch

Axial calcaneus
accurate positioning

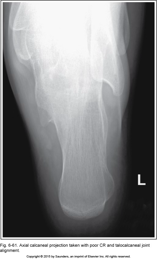
Axial calcaneus
poor CR and talocalcaneal jt alignment
cant see jt space

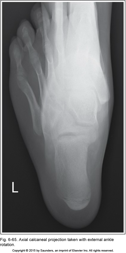
axial calcaneus
external ankle rotation
we see too much of toes

lateral calcaneus
accurate positioning

lateral calcaneus
leg externally rotated

lateral calcaneus
leg internally rotated

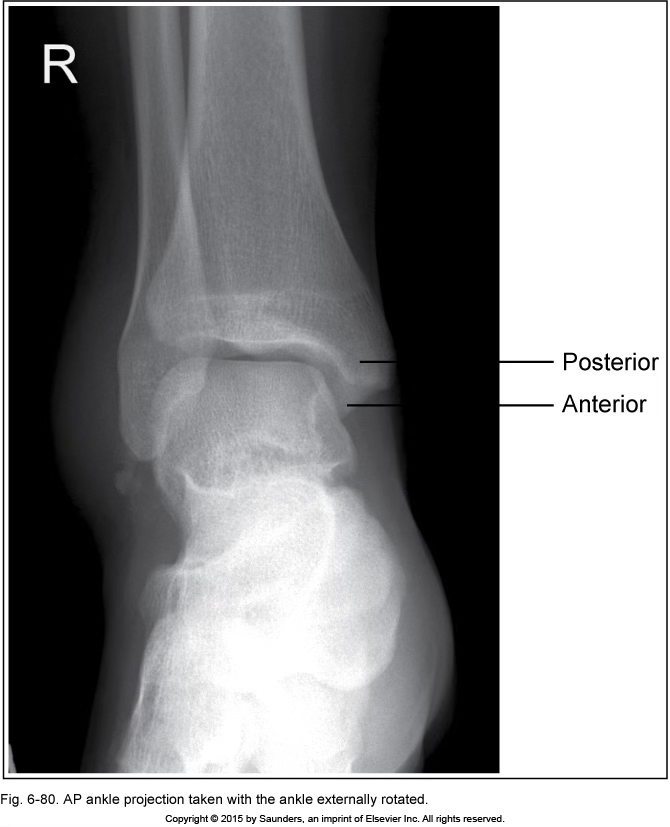
AP ankle
accurate positioning

AP ankle
ankle externally rotated
tibia superimposing fibula

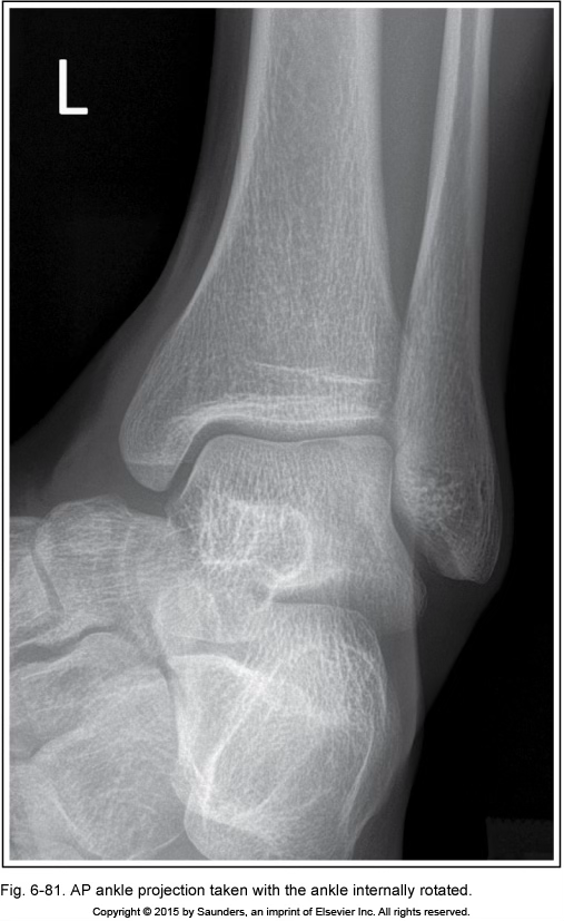
AP ankle
ankle internally rotated
looks like a mortise

AP oblique ankle (mortise)
accurate positioning

AP ankle oblique (45 deg)
accurate positioning

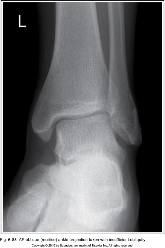
AP ankle oblique (mortise)
insufficient obliquity

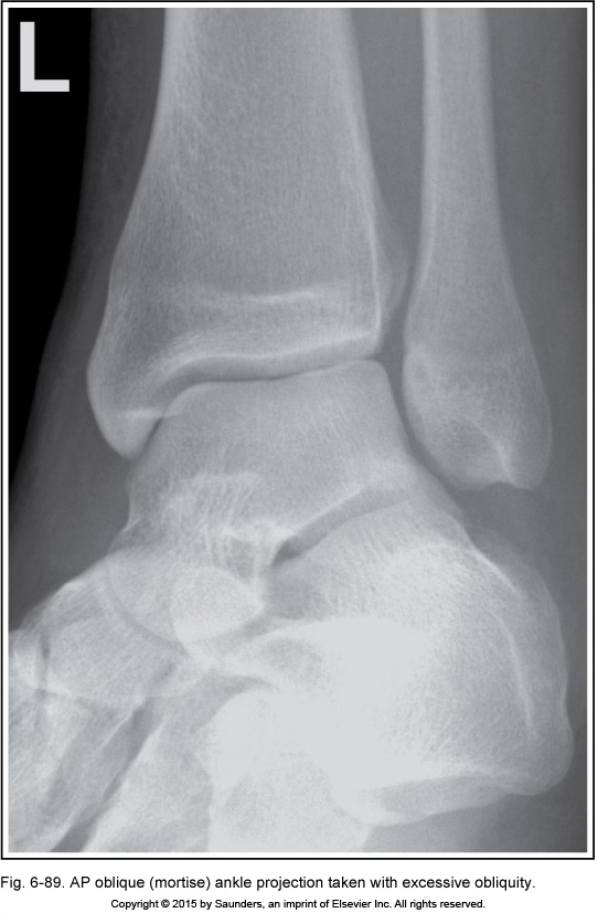
AP ankle oblique (mortise)
excessive obliquity
too much joint space

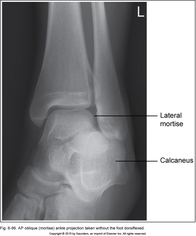
AP oblique ankle (mortise)
foot not dorsiflexed

lateral ankle
accurate positioning

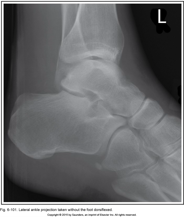
lateral ankle
foot not dorsiflexed

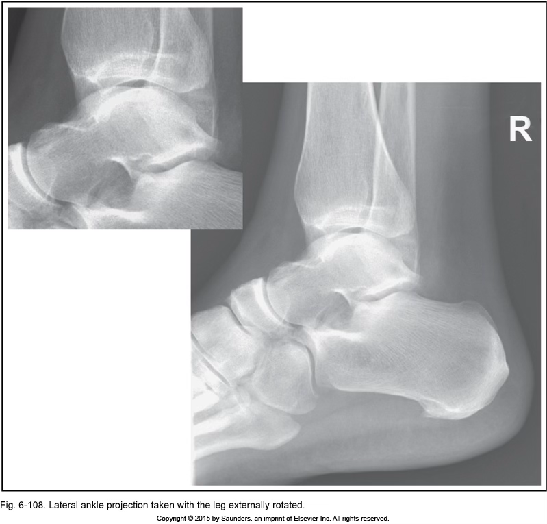
lateral ankle
leg externally rotated
sinus tarsi more open
fibula at the back of tibia

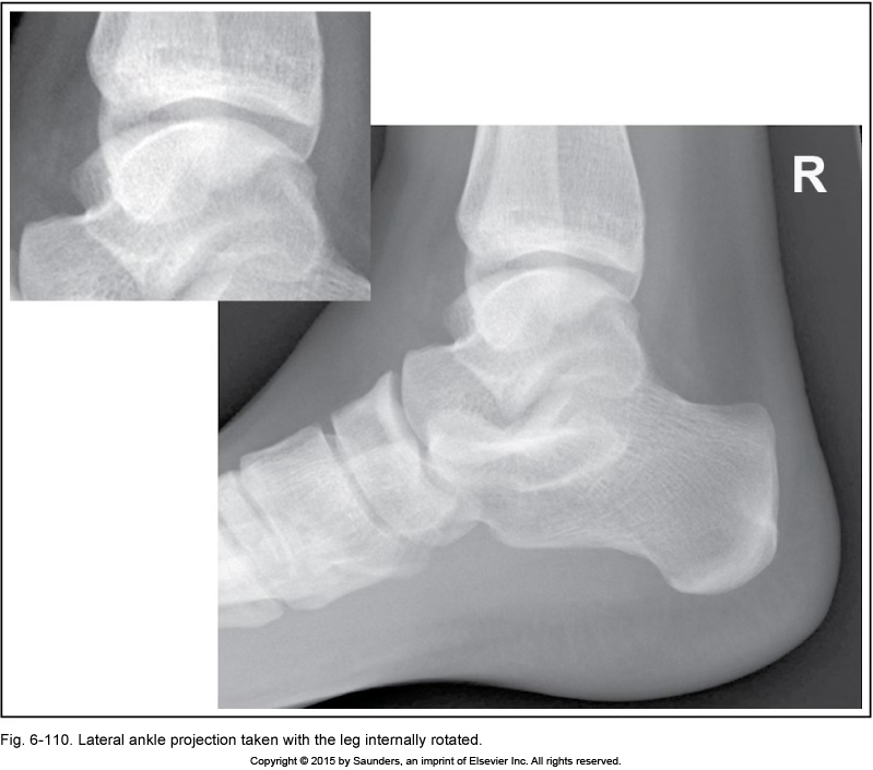
lateral ankle
leg internally rotated
sinus tarsi closed
fibula not in center

AP tibfib
accurate positioning

lateral tibfib
accurate positioning

lateral tib fib
excessive external rotation

lateral tibfib
insufficient external rotation

AP knee
accurate positioning

AP knee
external rotation
patella out of place
fibular head superimposing tibia

AP knee
excessive internal rotation
fibular head is too out

AP knee
knee flexed

lateral knee
accurate positioning

lateral knee
leg internally rotated

lateral knee
leg externally rotated

patella
accurate positioning

patella
knees are flexed more than the degree that is set

AP femur
accurate positioning

AP femur
accurate positioning

lateral femur
accurate positioning

lateral femur
accurate positioning

lateral femur
accurate positioning

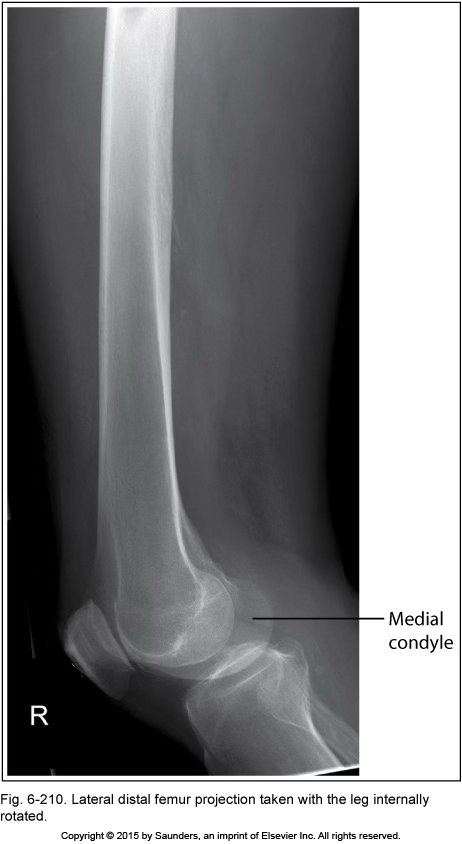
lateral femur
leg internally rotated

lateral femur
leg externally rotated