1/32
Looks like no tags are added yet.
Name | Mastery | Learn | Test | Matching | Spaced | Call with Kai |
|---|
No analytics yet
Send a link to your students to track their progress
What is the cerebral cortex made of?
Gray matter
What connects the left and right divisions of the brain?
The corpus callosum
What is the function of the cerebellum?
It is often referred to as the 'little brain' and is involved in coordination and balance.

what does the brainstem include?
midbrain, pons, medulla
identify the sulcus and gyrus

gray matter vs. white matter
white matter is myelin, they differ in functions, and have different location dependent on CNS structure

identify structures on sheep brain
- longitudinal fissure
- transverse fissure
- central sulcus
- precentral gyrus
- postcentral gyrus
- right hemisphere
- left hemisphere
- cerebellum
- vermis
- arbor vitae
- brainstem
- midbrain
- pons
- medulla (oblongata)

identify structures of cerebral cortex - external
- parietal lobe
- frontal lobe
- temporal lobe
- occipital lobe

identify structures of cerebral cortex - internal
- corpus callosum
- fornix
- thalamus
- hypothalamus
- optic chiasm
- pineal gland
- lateral ventricle
- olfactory bulb
- olfactory tract

identify structures on the spinal cord
- horn (grey matter)
- funiculus (white matter)

Identify the layers of the skin
Thick skin
- Epidermis
- Dermis
- Hypodermis
- Stratum corneum
- Stratum lucidum
- Stratum granulosum
- Stratum spinosum
- Stratum basale

types of receptors
- mechanoreceptors: pressure, touch, vibration
- chemoreceptors: chemical changes
- photoreceptors: light
- thermoreceptors: temp changes
- nociceptors: pain
- exteroceptors: near body surface
- interoceptors: pain, hunger, temp
- proprioceptors: muscles, tendons, and joints
- visceroreceptors: within internal organs, chemical changes
Identify skin receptors
- Merkel discs (touch)
- Krause end bulbs (touch)
- Meissner corpuscles (touch)
- Pacinian corpuscles (pressure)
- Ruffini endings (organ) (pressure)

describe what is after image in the context of somatic sensation
usually after viewing a bright image, caused by a positive afterimage (temporary photoreceptor burnout) or a negative afterimage (retinal fatigue), and appear as lasting colored shapes
describe what is receptor field in the context of somatic sensation
specific area in skin or tissue where a stimulus activates a sensor neuron
What are the components of the eye's pathway for light?
Cornea, aqueous humor, lens, vitreous humor, and retina.
signal passes from photoreceptors to:
bipolar cells
ganglion cells
optic nerve

What is the role of photoreceptor cells in the retina?
They form images and send signals to bipolar cells, ganglion cells, and then to the optic nerve.
define focusing abnormalities and accomodation
- accommodation: change in lens shape (ciliary muscle) to focus on retina
- astigmatism: irregularities in cornea or lens
- myopia: nearsighted, image in front of retina
- hyperopia: far sighted, image behind retina
- binocular vision: info enters both eyes at the same time (humans)
- peripheral vision
visual field
area a person can see when both eyes are focused on a single point straight ahead
identify structures of the retina
- sclera
- choroid
- fovea (centralis)
- photoreceptors (rods and cones)

identify structures on cow eye
- corne
- pupil
- lens
- ciliary muscle
- iris
- aqueous humor
- vitreous humor
- sclera
- choroid
- retina
- optic nerve

What is the tapetum lucidum?
Reflective part in cat's eyes that lines retina
- Produces shine when light is aimed at them
- Not found in humans
what is the pathway of sound waves?
Sound waves enter via pinna → Tympanic membrane vibrates → Ossicles amplify → Oval window vibrates → Cochlea fluid conducts vibrations → Hair cells stimulated → Cochlear nerve transmits to brain.

identify major divisions of the ear and which structures fall within each division - outer, middle, and part of inner
outer ear
- pinna
- external auditory meatus
middle ear
- tympanum (tympanic membrane)
- ossicles
- malleus
- incus
- stapes
- oval window
inner ear
- round window
- cochlea
- semicircular canals

dentify major divisions of the ear and which structures fall within each division - inner ear cont.
inner ear
- round window
- cochlea
- semicircular canals
- utricle
- saccule
- ampulla
- critae
- cupula
- vestibulocochlear nerve (cranial nerve 8)
- otoliths

identify on cochlea
- scala vestibuli
- scala media
- scala tympani
- organ of corti
- tectorial membrane
- basilar membrane
- hair cells

What is the mechanism for static equilibrium in the inner ear?
Otoliths located in the utricle and saccule have linear motion

What is the mechanism for dynamic equilibrium in the inner ear?
Endolymph fluid in the semicircular canals have rotational motion

define conductive hearing, sensorineural hearing, air conduction, and bone conduction
- conductive hearing: transmission of sound waves through the external and middle ear
- sensorineural hearing: inner ear (cochlea) or nerve pathways to the brain are damaged, preventing sound from being processed correctly
- air conduction: sound waves travel through the air, into the ear canal, and vibrate the eardrum to reach the inner ear
- bone conduction: a technology that transmits sound vibrations through the cheekbones directly to the inner ear (cochlea), bypassing the eardrum
gustation and olfaction pathway
signal molecule (odorant/tastant) dissolves in mucus/saliva to stimulate chemoreceptor
- result: ion channel or GPCR signaling
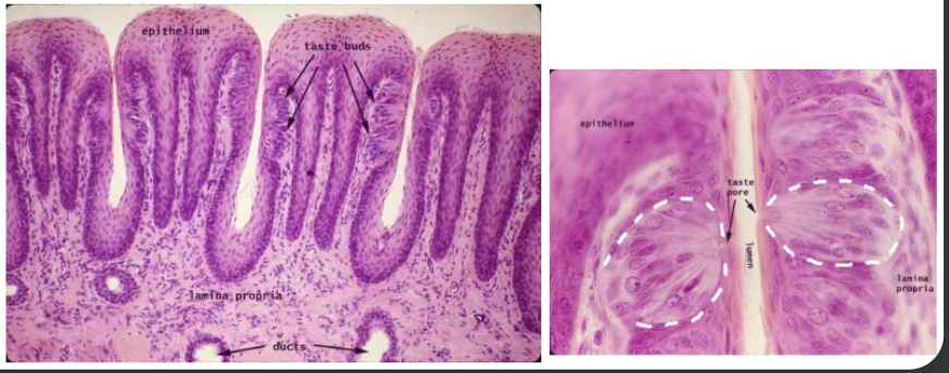
What are the five main tastes detected by taste buds and their location on the tongue? *know structures of tongue
Sweet, salty, sour, bitter, and savory (umami).

identify structures on the human tongue
- epithelium
- taste bud
- taste pore
- taste receptor cell
- lamina propria
- muscle layer
