1/9
Looks like no tags are added yet.
Name | Mastery | Learn | Test | Matching | Spaced | Call with Kai |
|---|
No analytics yet
Send a link to your students to track their progress

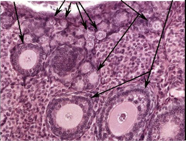
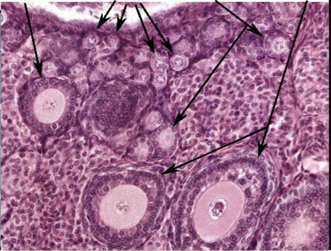
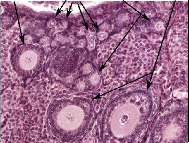
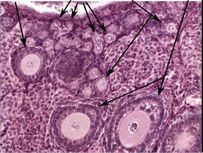
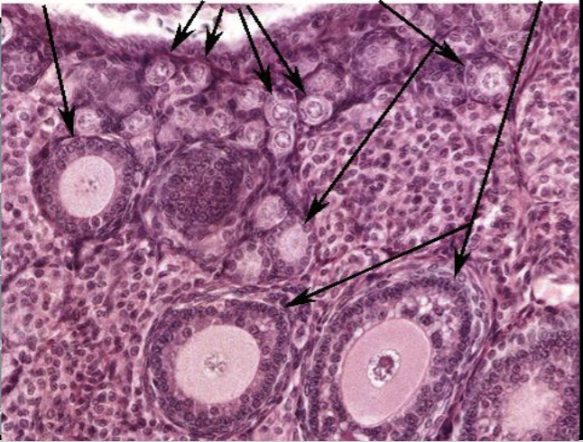
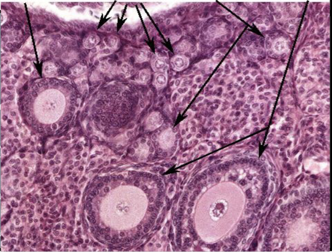
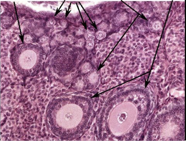
Where would you find this slide?
Ovary

What is structure A?
Primary follicle

What is structure B?
Primordial follicle

What is structure C?
Secondary follicle

What is structure D?
Tertiary follicle

What is structure E?
Antrum

What is structure F?
Oocyte

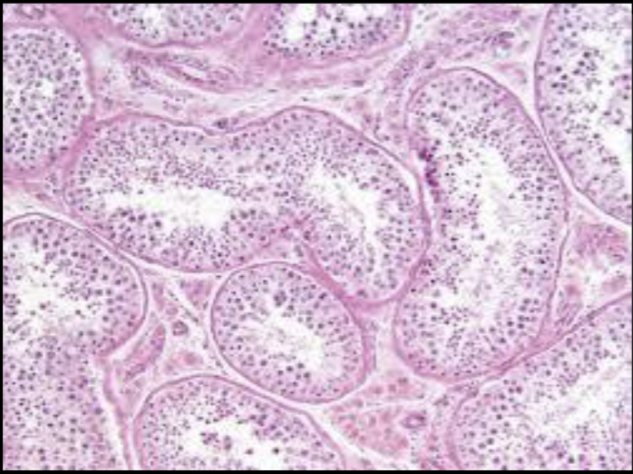
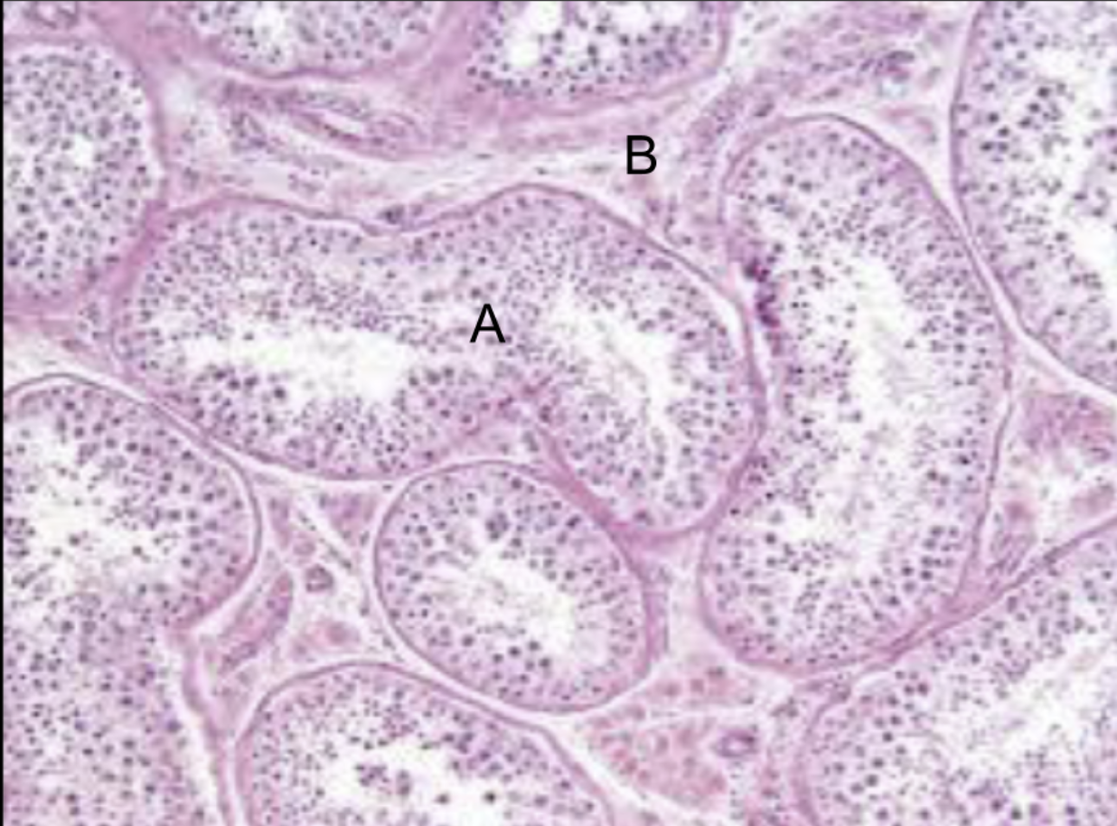
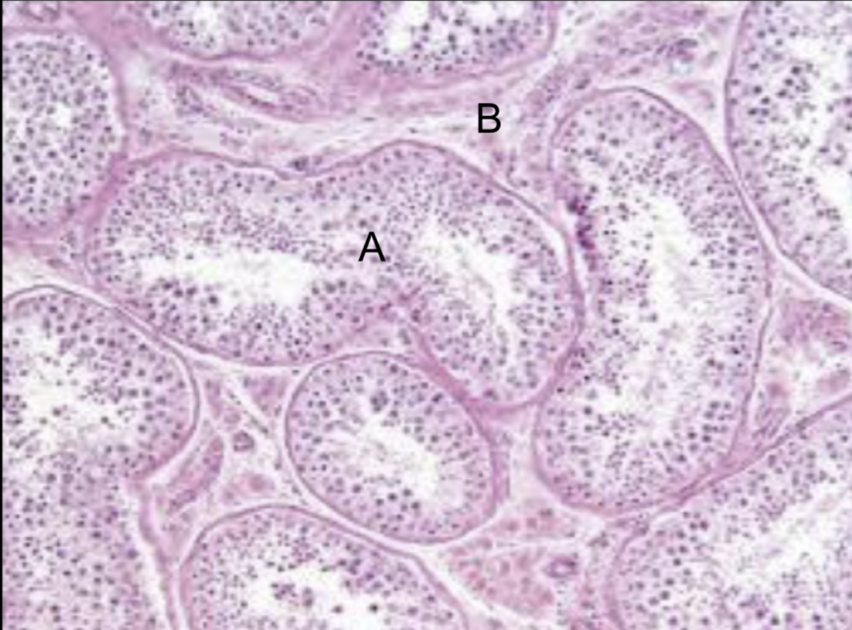
Where would you find this slide?
Testis

What is structure A?
Seminiferous tubule

What is structure B?
Leydig cell