1/33
Looks like no tags are added yet.
Name | Mastery | Learn | Test | Matching | Spaced | Call with Kai |
|---|
No analytics yet
Send a link to your students to track their progress

What is the name of this tissue?
Name terms 1-7.
Skin slide
Sebaceous gland
Epidermis
Dermis
Hypodermis
Eccrine (sweat) gland
Hair follicle
Arrector pili muscle

What is the name of this tissue?
Name terms 1-4.
Compact bone (slide may be pink or gray)
Osteocytes (dark cells)
Haversian canal
Canaliculi (hair-like lines)
Osteon

What is the name of this tissue?
Where is this tissue typically found?
Name terms 1-3
Hyaline cartilage
Trachea, between ribs and sternum, and joints.
Chondrocytes (purple cells)
Lacuna (holes the cells sit in)
Matrix (space between chondrocytes)

What is the name of this tissue?
Name terms 1-3.
What are the functions of each of these structures?
Blood tissue
Leukocytes (large purple cells)
Platelets (tiny dark purple cells)
Erythrocytes (lighter purple cells)
Leukocytes are for the immune system, platelets cause clotting, and erythrocytes carry oxygen.

What is the name of this tissue?
What is the function of this tissue?
Name terms 1 and 2.
Muscle tissue
Voluntarily controlled muscle contractions.
Striations
Nuclei

What is the name of this tissue?
Where is it located?
What is its function?
Name term 1.
Smooth muscle tissue
Walls of hallow organs, iris of eye, and skin
Involuntary muscle contractions
Nucleus

What is the name of this tissue?
Where is it located?
Name terms 1 and 2.
Cardiac muscle tissue
Heart
Intercalated discs
Striations

What is the name of this tissue?
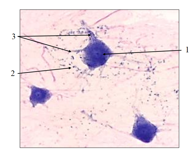
Where is it located?
Name terms 1-3.
Nervous tissue (neurons)
Spinal cord and gray matter
Cell body/nucleus
Neuroglia cells (small purple cells)
Axon/dendrites

What is the name of this bone?
What view is it in?
Name terms 1-5.
Skull
Anterior
Frontal bone
Nasal bone
Maxillary bone
Zygomatic bone
Mandible

What view is this bone in?
Name terms 1-7.
Lateral
Maxilla bone
Zygomatic bone
Nasal bone
Termporal
Frontal bone
Parietal bone
Occipital bone

Name the term.
Foramen magnum

Where are these bones located?
Name bones 1-3.
Inner ear bones
Melleus
Incus
Stapes

Name bones 1-3 and how many vertebrae each section has.
Cervical vertebrae (7)
Thoracic vertebrae (12)
Lumbar vertebrae (5)
NOTE: An easy way to remember the number of vertebrae in each section: You eat food at 3,12 and 5.

Name structures 1-5.
Cervical
Thoracic
Lumbar
Sacral vertebrae
Coccygeal vertebrae

What kind of bones are these?
Name structures 1-5.
Verebral parts
d
Vertebral body
Neural arch
Vertebral foramen
Spinous process
Transverse process

What is the name of the bone on the left?
What is the name of the bone on the right?
Sternum
Rib

Name the bones/structures.
Scapula
Phalanges
Metacarpals
Carpals
Ulna
Radius
Humerous
Clavicle

Name structures 1-9.
Ishium
Pubis
Ilium
Ilium
Pubis
Ishium
Ilium
Ishium
Pubis

Name the bones/structures 1-7.
Femur
Tibia
Fibula
Tarsals
Metatarsals
Phalanges
Patella

Which animal does this brain come from?
Name structures 1-16.
Sheep
Superior
Cerebum
Longitudinal fissure
Frontal lobe
Parietal lobe
Occipital lobe
Spinal cord
Cerebellum
Olfactory bulb
Hypothalamus
Spinal cord
Medulla oblongata
Pons
Optic chiasma
Optic nerve
Inferior

Name structures 1-9.
Lateral ventricle
Corpus callosum
Hypothalamus
Thalamus
Pons
Medulla oblogata
Spinal cord
Dura mater
Pia Mater

What animal does this eye come from?
Name structures 1-13.
Cow
Pupil
Iris
Sciera (white layer)
Cornea
Cornea
Optic nerve
Lens
Choroid (black layer)
Ciliary body
Choroid (black layer)
Retina
Tapetum lucidum

Which animal does this come from?
Identify each labeled stage of development.
Starfish
Unfertilized
Zygote
2-cell
4-cell

Identify each labeled stage of development/structure.
8-cell
Morula
Blastula
Blastocoel

Identify each labeled stage of development/structure.
Gastrula
Blastopore
Ectoderm
Endoderm

Phylum?
Identify terms 1-4.
Echinodermata
Arms
Central disk
Mouth
Tube feet

Phylum, class, and examples for 1-3.
Echinodermata
Echinoidea
“sand dollar” and “sea urchin.”
Echinodermata
Ophuiroidea
“Brittle star” and “serpent stars”
d
Echinodermata
Holothuroidea
“Sea cucumbers”

Name structures 1 and 2.
Digestive glands
Radial canal ampallae