1/21
Looks like no tags are added yet.
Name | Mastery | Learn | Test | Matching | Spaced | Call with Kai |
|---|
No analytics yet
Send a link to your students to track their progress
What are limitations of cytology?
May not be representative (not all cells collected)
Artifacts

The following is an example of what?
Artifacts
-Lysed/ damaged
-Formalin vapors
-contaminated stains
-Ultrasounds gel
-Stains precipitates

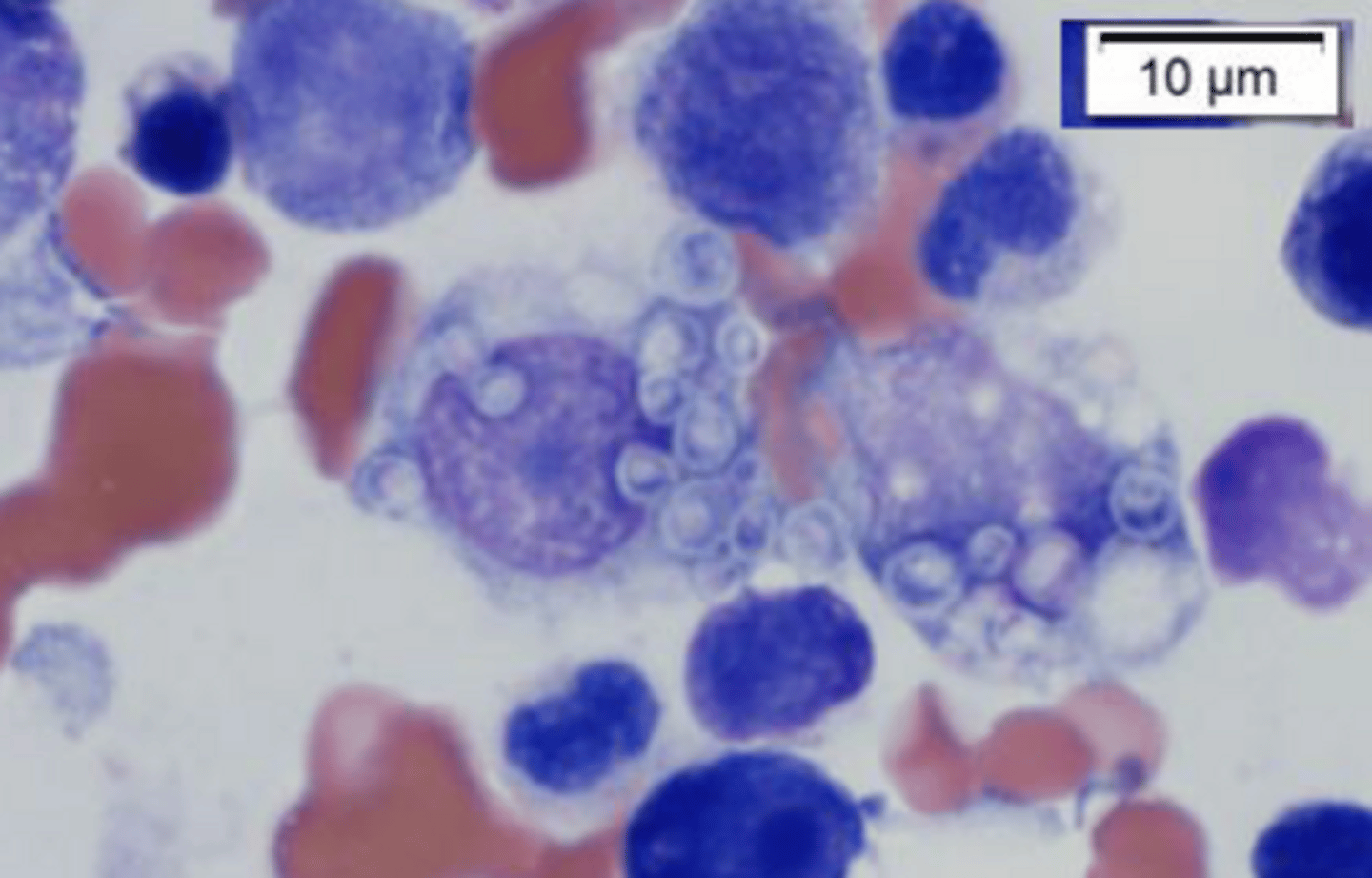
What are examples of degenerative lesions?
Hematoma, Seroma, cysts - typically in macrophages
Neutrophilic inflammation typically occurs w/ what?
Bacteria - cocci/ rods or mycobacterium and filamentous
We typically see pyogranulomatous inflammation w/ what organisms?
Mycobacterium/ filamentous bacteria
Fungi
We typically see Eosinophilic inflammation w/ what organisms?
Parasites

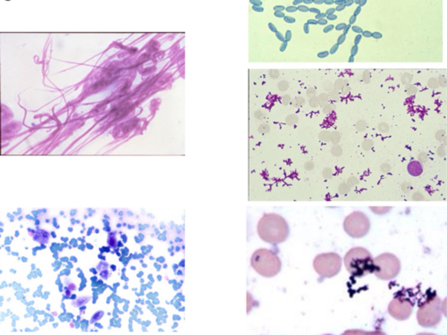
Identify the organism?
Fungal hyphae

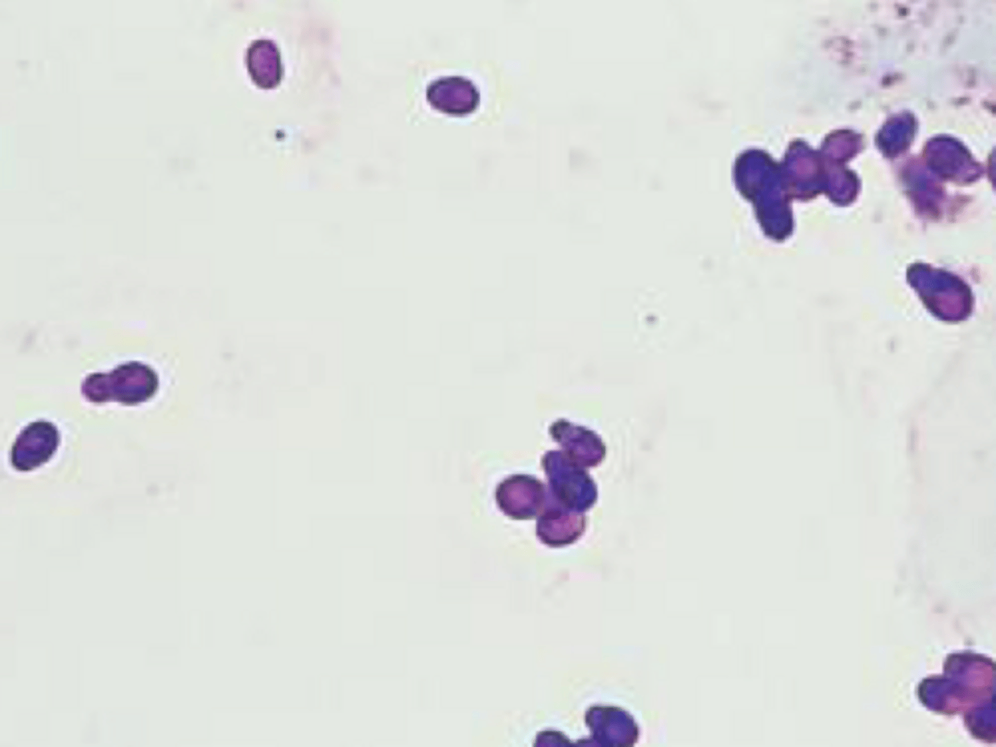
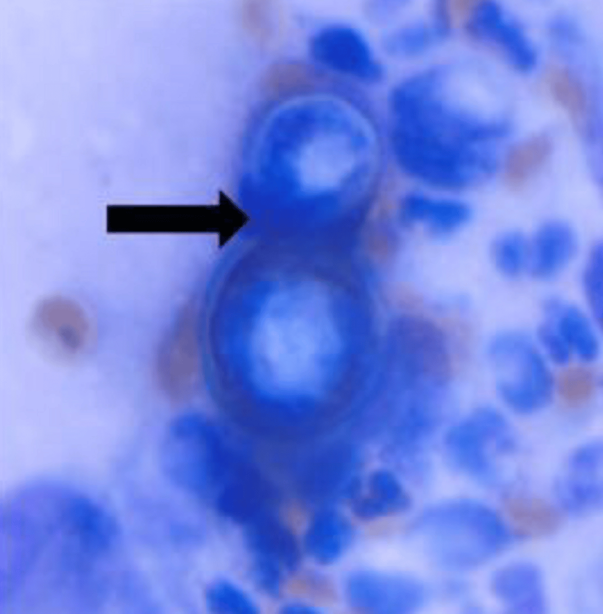
Identify the organism and the size?
Malassezia pachydermatis - 3x6microns
-skin infections

Identify the organism and the size?
Sporothrix schenckii - 3-9microns
-nodular skin dz

Identify the organism and the size?
Histoplasmosis capsulatum - 2-4microns
Systemic lesions

Identify the organism and the size?
Cryptococcus - 40 microns
Nasal cavity and CNS lesion
Narrow based budding

Identify the organism and the size?
Blastomyces dermatitdis
- 8-20 microns
Systemic lesions

Identify the organism and the size?
Coccidioides -10-200microns
Systemic lesions

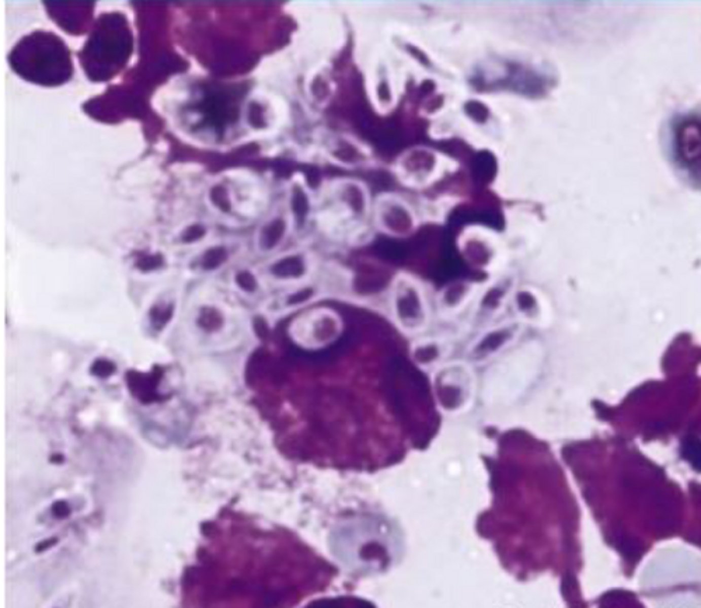
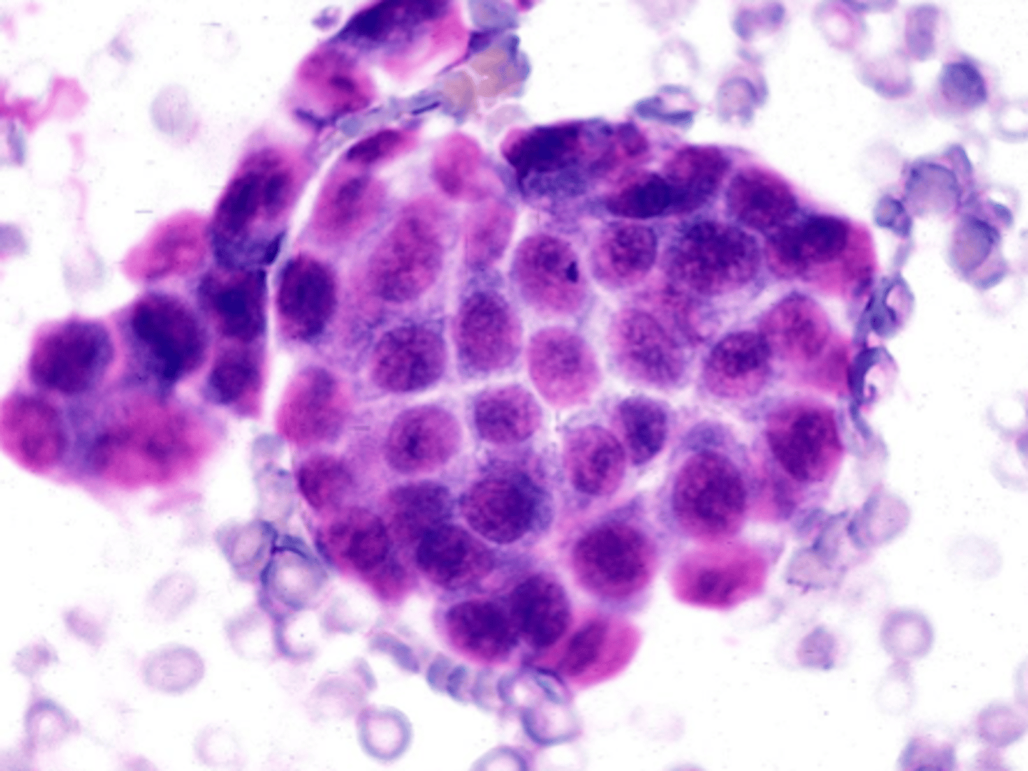
Identify the type of tissue?
Epithelial
-High cellularity
-Clumps/ cluster
-Well defined boarders

Identify the type of tissue?
Mesenchymal Tissue
-Individual spindled and stellate cells
-Indistinct cell boarder
-Extracellular matrix

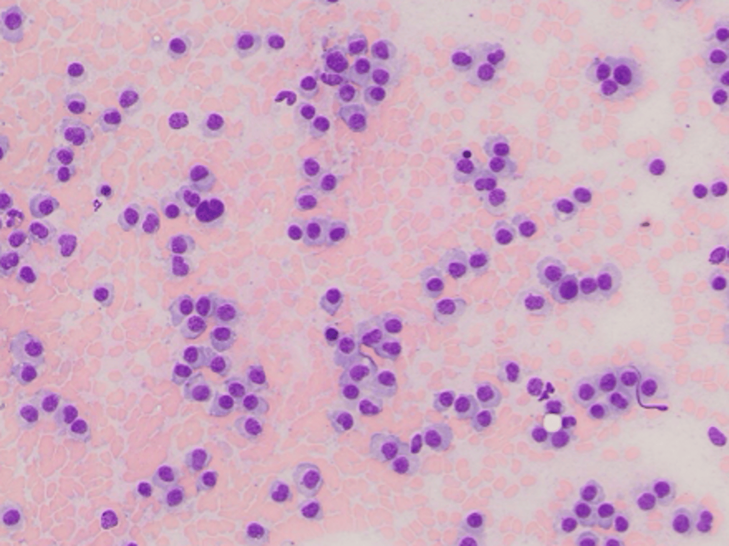
Identify the type of tissue?
Hemic tissue
-High cellularity
-Round discrete cells
-High N:C ratio
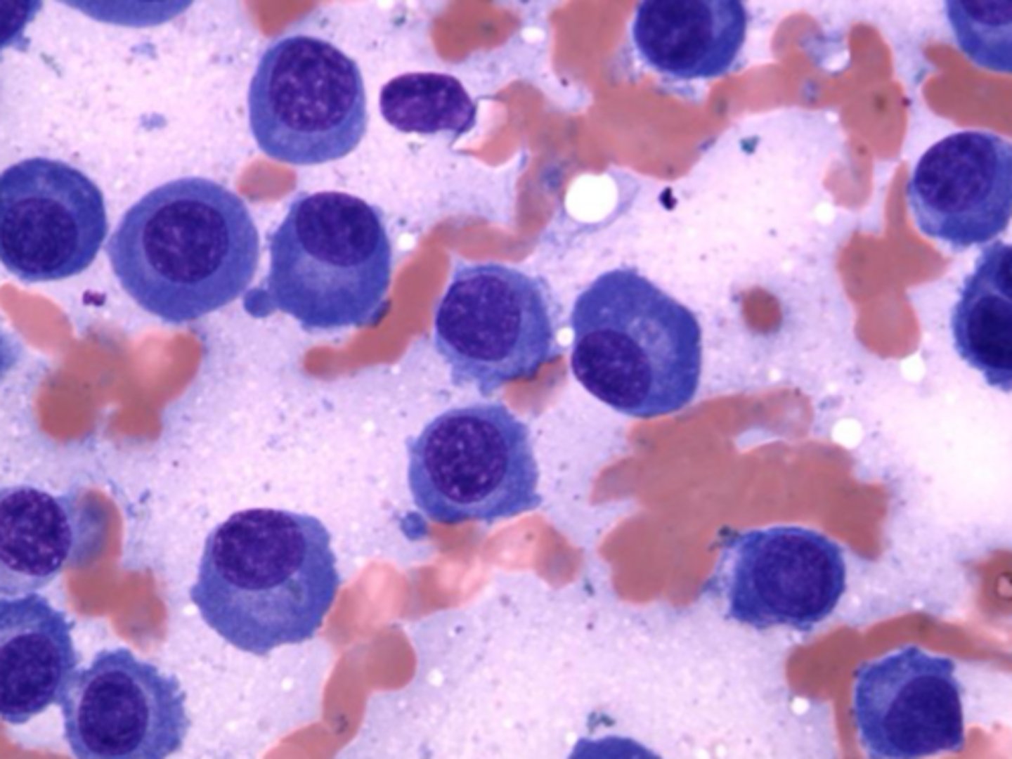
What is the difference between a reactive LN than lymphoma?
Lymphoma has more homogenity in cells b/c one cell line is proliferating
Reactive LN has variation in cell sizes and maturities

Identify the type of round cell neoplasia?
Transmissible Venereal tumor
-Face/ genitalia area

Identify the type of round cell neoplasia?
Lymphoma

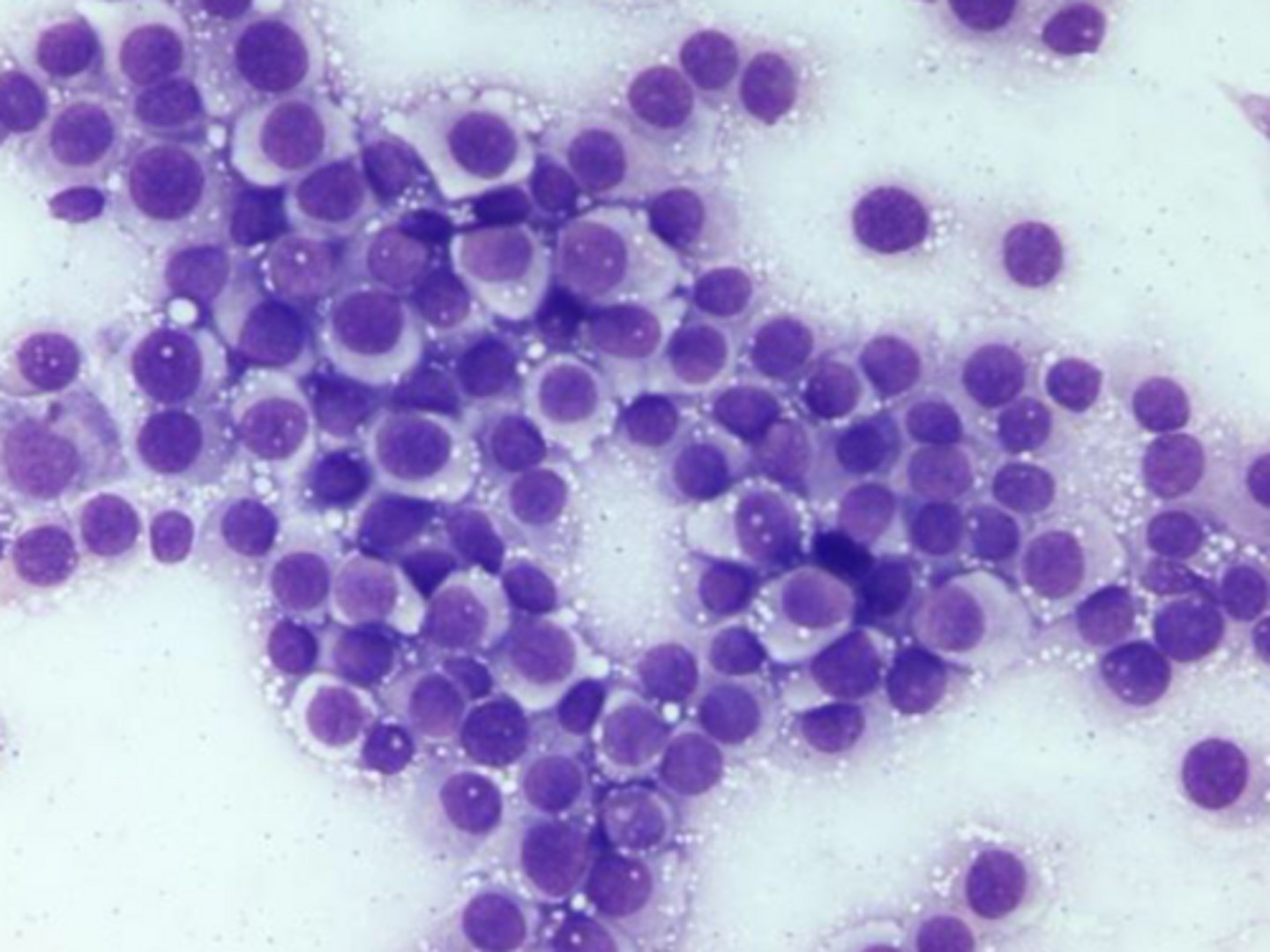
Identify the type of round cell neoplasia?
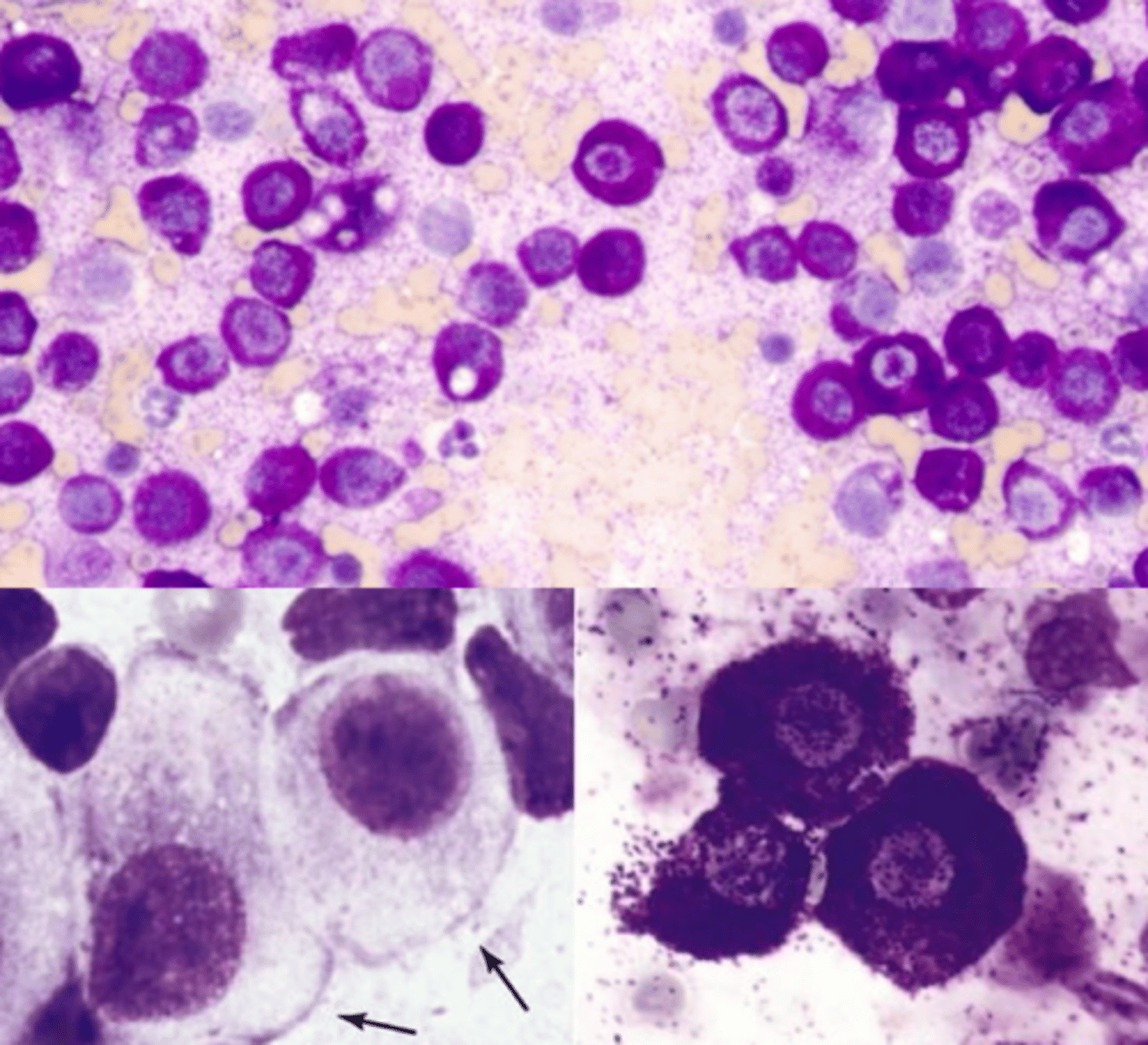
MCT - Eosinophilic w/ granules

Identify the type of round cell neoplasia?
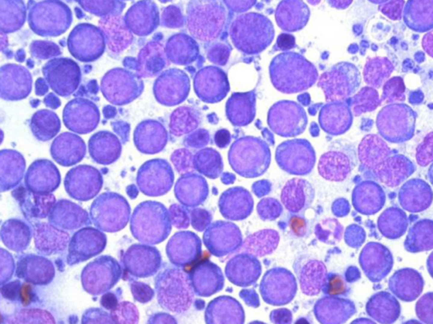
Plasma cell tumor - basophilic cytoplasm and perinuclear clear zone

Identify the type of round cell neoplasia?
Histiocytoma - young dog spontaneously regress