Derrames

0.0(0)
Studied by 2 people
call kaiCall Kai
learnLearn
examPractice Test
spaced repetitionSpaced Repetition
heart puzzleMatch
flashcardsFlashcards
GameKnowt Play
Card Sorting

1/21

flashcard set

Earn XP

Description and Tags

Last updated 4:42 PM on 3/17/23
Name
Mastery
Learn
Test
Matching
Spaced
Call with Kai

No analytics yet

Send a link to your students to track their progress

22 Terms

1
New cards
term image
CEl de Lupus Eritematoso (LE)
2
New cards
term image
Cilindros: hialino, epitelial, gránulos y mixto
3
New cards
term image
Cristales: amorfo, bilirrubina y colesterol
4
New cards
term image
Schistosoma haematobium ( esquistosomiasis)
5
New cards
term image
Cilindros: hematico, leucocitario, pseudoquiste bacteriano, cereo
6
New cards
term image
Contaminantes: polvo de talco, polen, fibra de ropa, fecal y fungica
7
New cards
term image
Cristales: triple fosfato ( estruvita), carbonato de calcio, barato de amonio y amorfos
8
New cards
term image
Contaminantes: espermatozoides , lubricante, macrofagos con hemosiderina, moco, aceite y hematuria
9
New cards
term image
Cristales: ácido úrico, oxalato de calcio (bi y mono hidratado en orden), ácido hipurico y fosfato de calcio
10
New cards
term image
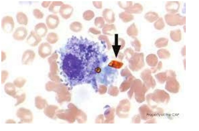
Artritis reumatoide ( ragocitos)
11
New cards
term image

1. Trasudado 2. Exudado purulento 3. exudado hematico 4. Exudado lechoso
12
New cards
term image
CEl. Mesoteliales normales. 1. En cadenas cortas y 2. En mosaico
13
New cards
term image
Cellas mesoteliales normales. Celula abrazando a celula
14
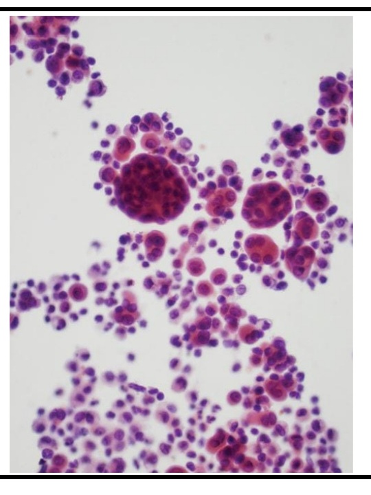
New cards
term image
Bola de colageno
15
New cards
term image
Pericardio. No maligno. Forma agregados por el mov del corazon
16
New cards
term image
Cristales de hematoidina
17
New cards
term image
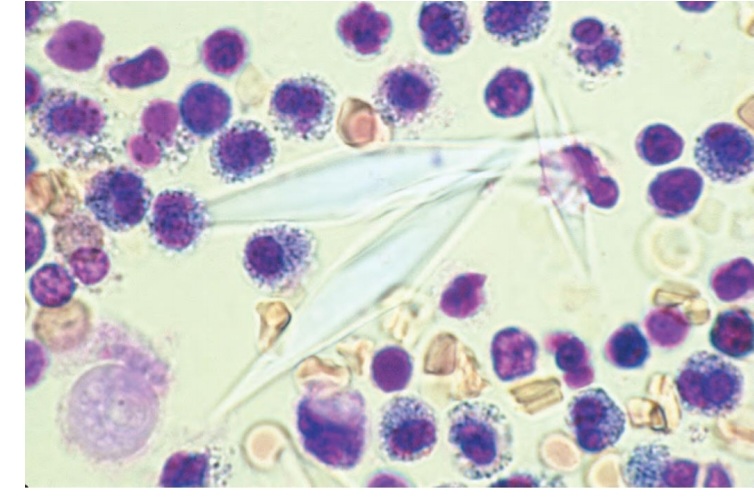
Cristales de charcot-leyden
18
New cards
term image
Celulas gigantes multinucleadas
19
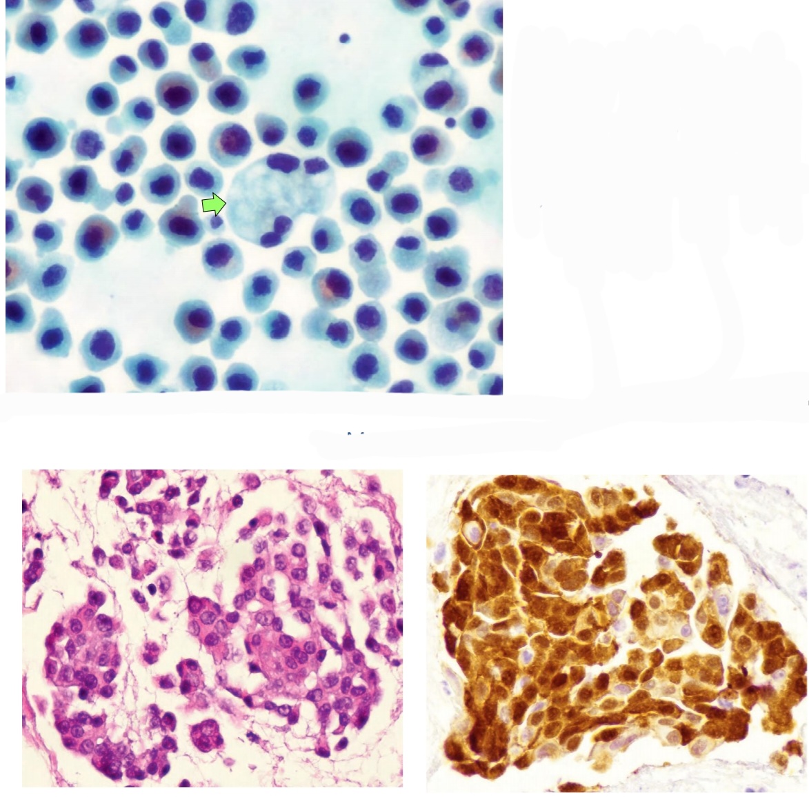
New cards
term image
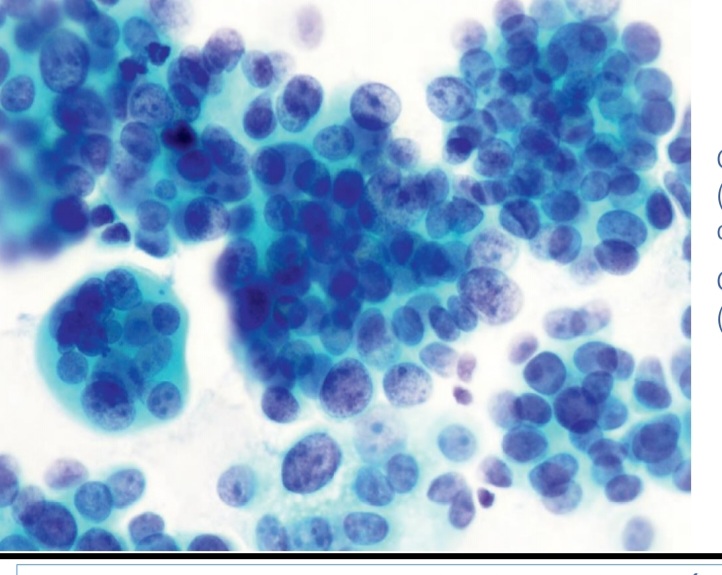
Adenocarcinoma
20
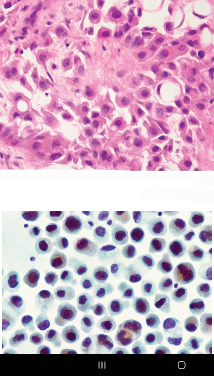
New cards
term image
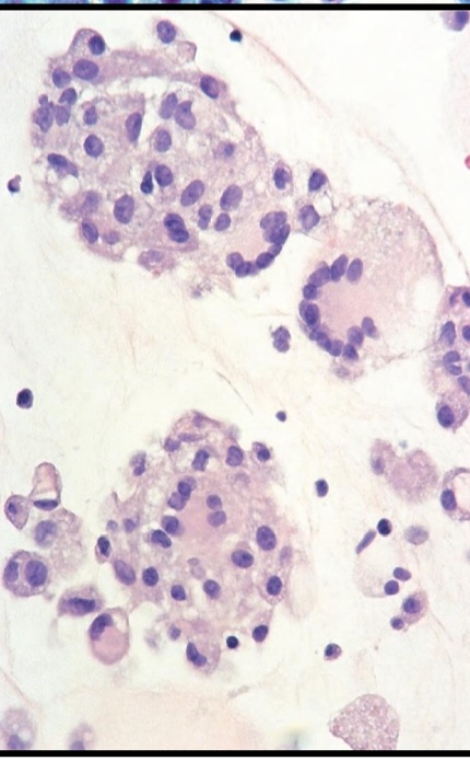
Mesotelioma
21
New cards
term image
Mesotelioma
22
New cards
term image
Mesotelioma