Lab Quiz #1

0.0(0)
Studied by 3 people
call kaiCall Kai
learnLearn
examPractice Test
spaced repetitionSpaced Repetition
heart puzzleMatch
flashcardsFlashcards
GameKnowt Play
Card Sorting

1/27

flashcard set

Earn XP

Description and Tags

Last updated 2:50 PM on 2/14/23
Name
Mastery
Learn
Test
Matching
Spaced
Call with Kai

No analytics yet

Send a link to your students to track their progress

28 Terms

1
New cards
areolar/loose connective tissue
Loose packing >> allows for support >> attaches to skin underlying the tissues >> key location is the epidermis
Loose packing >> allows for support >> attaches to skin underlying the tissues >> key location is the epidermis
2
New cards
simple squamous
Single layer of cells, flatten and found in alveoli of the lungs

In alveoli is where CO2 and O2 exchanges >> the flatten of cell is what allow the exchange
Single layer of cells, flatten and found in alveoli of the lungs

In alveoli is where CO2 and O2 exchanges >> the flatten of cell is what allow the exchange
3
New cards
stratified squamous
* can have a layer of keratin 
* protection against abrasion i.e. eating having multiple layers is beneficial 
* (SKIN, ESOPHAGUS)
* can have a layer of keratin 
* protection against abrasion i.e. eating having multiple layers is beneficial 
* (SKIN, ESOPHAGUS)
4
New cards
simple cuboidal
* straight nucleus side by side
* Thyroid, salivary gland, ducts

\
* straight nucleus side by side 
* Thyroid, salivary gland, ducts

\
5
New cards
simple columnar(with microvili)
* duodenum, trachea
* duodenum, trachea
6
New cards
pseudostratified columnar
* cillia
* dense irregular connective tissue
* cillia 
* dense irregular connective tissue
7
New cards
transitional epithelium
* lamia propria
* transitional epithelium
* lamia propria
* transitional epithelium
8
New cards
muscle tissue
three types


1. cardiac muscle
2. skeletal muscle
3. smooth muscle

60% of the body mass of a well-conditioned human
9
New cards
skeletal muscle
striated, voluntary muscle,
10
New cards
myocytes or muscle fibers
striated extremely long and thick
striated extremely long and thick
11
New cards
sarcomeres
**Contractile elements**
12
New cards
smooth muscle
* involuntary, found in the digestive system
* easily maintain sustained contraction
* mononucleated and lack visible striations
* involuntary, found in the digestive system
* easily maintain sustained contraction
* mononucleated and lack visible striations
13
New cards
Cardiac muscle
* involuntary and mononucleated
* cardiac myocyes are self-excitatory( no signal needed)
* Branching and tightly bonded
14
New cards
**Neurons**
**nerve cells designed to receive, integrate and transmit signals**
15
New cards
**Sensory transduction**
**conversion of a physical stimulus to chemical and electrical signals.(putting hands in a fridge)**
16
New cards
**Dendrites**
* **cell processes that serve to receive and integrate incoming information from other neurons.(feeling in the body)**
17
New cards
**Axon**
* **Nerve fiber that sends outgoing information to other neurons or muscles.**
18
New cards
**Peripheral nerves**
**consist of bundles of axons**
19
New cards
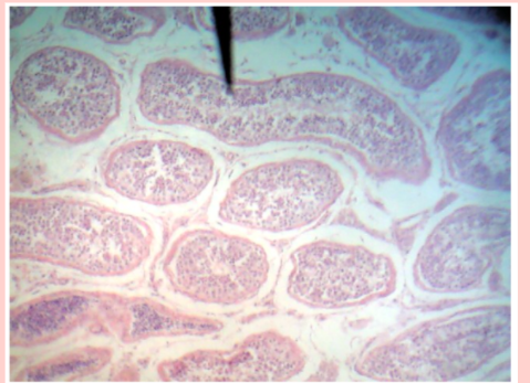
male reproductive tissue
Testes
Testes
20
New cards
female reproductive tissue
ovaries
ovaries
21
New cards
circulatory system tissue
artery, vein, nerve
artery, vein, nerve
22
New cards
female reproductive
oocytes
oocytes
23
New cards
fibrous(dense regular tissue)
densely packed with collagen fibers.

makes up tendons(bone-muscle)

ligament(bone-bone)
densely packed with collagen fibers. 

makes up tendons(bone-muscle)

ligament(bone-bone)
24
New cards
hyaline cartilage
Smooth glassy appears > thick ground >> hyaluronic acid

End of growthing long bone
Smooth glassy appears > thick ground >> hyaluronic acid

End of growthing long bone
25
New cards
cancellous bone
flat bones
flat bones
26
New cards
adipose
* **Extracellular matrix occupies much less space than the cells. (fat) is deposited intracellularly.**
* **under the skin, in the buttocks, breasts and abundant in the omentum in the abdomen.**
* **Extracellular matrix occupies much less space than the cells. (fat) is deposited intracellularly.**
* **under the skin, in the buttocks, breasts and abundant in the omentum in the abdomen.**
27
New cards
Dense irregular connective tissue
contains collagen fibers arranged into irregular, interwoven bundles.
contains collagen fibers arranged into irregular, interwoven bundles.
28
New cards
**White/ Yellow Adipose Tissue:**
Fat cells, nuclei is pushed up against the side >> in adipose there is only one nuclei