1/83
Looks like no tags are added yet.
Name | Mastery | Learn | Test | Matching | Spaced | Call with Kai |
|---|
No analytics yet
Send a link to your students to track their progress
THẬN:
_BM lát đơn
_BM vuông đơn, trụ đơn
_BM đa dạng tầng
DA:
_BM lát tầng sừng hoá
_BM lát đơn, vuông tầng
_Mô liên kết đặc không định hướng
_Tế bào sợi, Nguyên bào sợi, TB nội mô, TB mỡ
HỖNG TRÀNG:
_BM trụ đơn có vi nhung mao
_Mô liên kết thưa
_TB Lympho, TB sợi
DẠ DÀY:
_BM trụ đơn tiết nhầy
_Mô liên kết thưa
_TB lympho, TB sợi, Nguyên bào sợi, tương bào
THỰC QUẢN:
_BM lát tầng không sừng hoá
_BM vuông tầng
KHÍ QUẢN:
_BM trụ giả tầng có lông chuyển
MÔ SỤN:
Đĩa sụn nối
Sụn nghỉ, sụn xếp hàng, sụn phì đại, sụn ngấm calcium
MÔ XƯƠNG:
Tạo cốt bào
Cốt bào
Huỷ cốt bào
Màng trong xương
Màng ngoài xương: lớp sợi, lớp tế bào, bè xương
POLYP MŨI:
Biểu mô trụ giả tầng có lông chuyển (hc hay ko cũng được)
Tương bào
Bạch cầu ưa acid
PHẾT MÁU NGOẠI VI:
Bạch cầu trung tính
Bạch cầu ưa base
Bạch cầu ưa acid
Bạch cầu mono
Bạch cầu lympho
CƠ VÂN:
Cơ vân cắt dọc, cơ vân cắt ngang
Màng quanh bó cơ
Mô trong cơ
CƠ TIM:
Cơ tim cắt dọc, cơ tim cắt ngang
Vạch bậc thang
Khoang Henle
Đĩa nối
HỖNG TRÀNG:
Cơ trơn cắt dọc, cơ trơn cắt ngang
Cơ trơn thành mạch máu
TIỂU NÃO:
Chất xám: lớp phân tử, lớp purkinjie, lớp hạt
Chất trắng
TUỶ SỐNG:
Chất trắng:
Chất xám: Ống nội tuỷ (BM vuông đơn có lông chuyển), Neuron thần kinh, Thể Nissl
DÂY THẦN KINH:
Mô liên kết: Bao bó TK, Bao ngoại TK
Sợi thần kinh: tế bào Schwann, Mô nội TK (Tế bào sợi, tế bào nội mô)
MẠCH MÁU/ ĐỘNG MẠCH:
Lớp áo trong
Lớp áo giữa
Lớp áo ngoài
Màng chun trong
Màng chun ngoài

THỰC QUẢN:
Tầng niêm mạc:
1. Biểu mô: lát tầng không sừng hoá
2. Lớp đệm: ống bài xuất
3. Cơ niêm: không liên tục
Tầng dưới niêm mạc: tuyến nhầy thực quản
DẠ DÀY:
Tầng niêm mạc:
Biểu mô: trụ đơn tiết nhầy
Lớp đệm: tuyến đáy vị
Cơ niêm: liên tục
Tầng dưới niêm mạc: mô liên kết đặc không định hướng
HỖNG TRÀNG:
Tầng niêm mạc:
Biểu mô: trụ đơn có vi nhung mao
Lớp đệm: tuyến Lieberkühn
Cơ niêm: liên tục
Tầng dưới niêm mạc: van ngang
TÁ TRÀNG:
Tầng niêm mạc:
Biểu mô: trụ đơn có vi nhung mao
Lớp đệm: tuyến Lieberkühn
Cơ niêm: không liên tục
Tầng dưới niêm mạc: tuyến Brunner
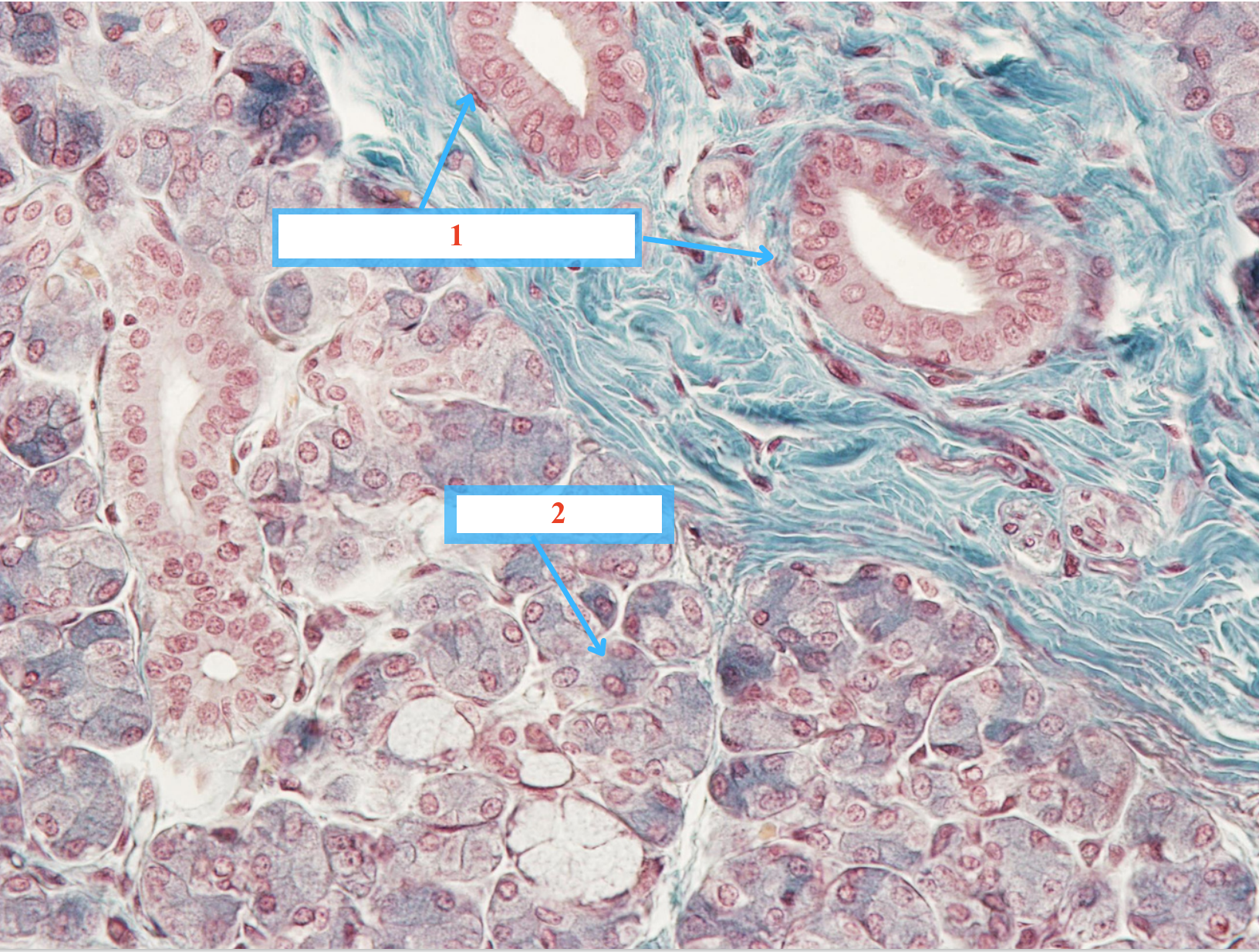
TUYẾN MANG TAI - TUYẾN DƯỚI HÀM:
Nang nước
Nang nhầy
Nang pha
Ống bài xuất trong tiểu thuỳ
Ống vân
Ống bài xuất gian tiểu thuỳ
TUỴ (1-5: tuỵ ngoại tiết, 6: tuỵ nội tiết):
Nang chế tiết
Tế bào nang tuyến
Tế bào trung tâm nang tuyến
Ống bài xuất trong tiểu thuỳ
Ống bài xuất gian tiểu thuỳ
Tiểu đảo Langerhans
GAN:
Tĩnh mạch trung tâm tiểu thuỳ
Bè Remak (bè gan)
Mao mạch nan hoa
Tế bào Kupffer
Động mạch gan
Tĩnh mạch cửa
Ống mật
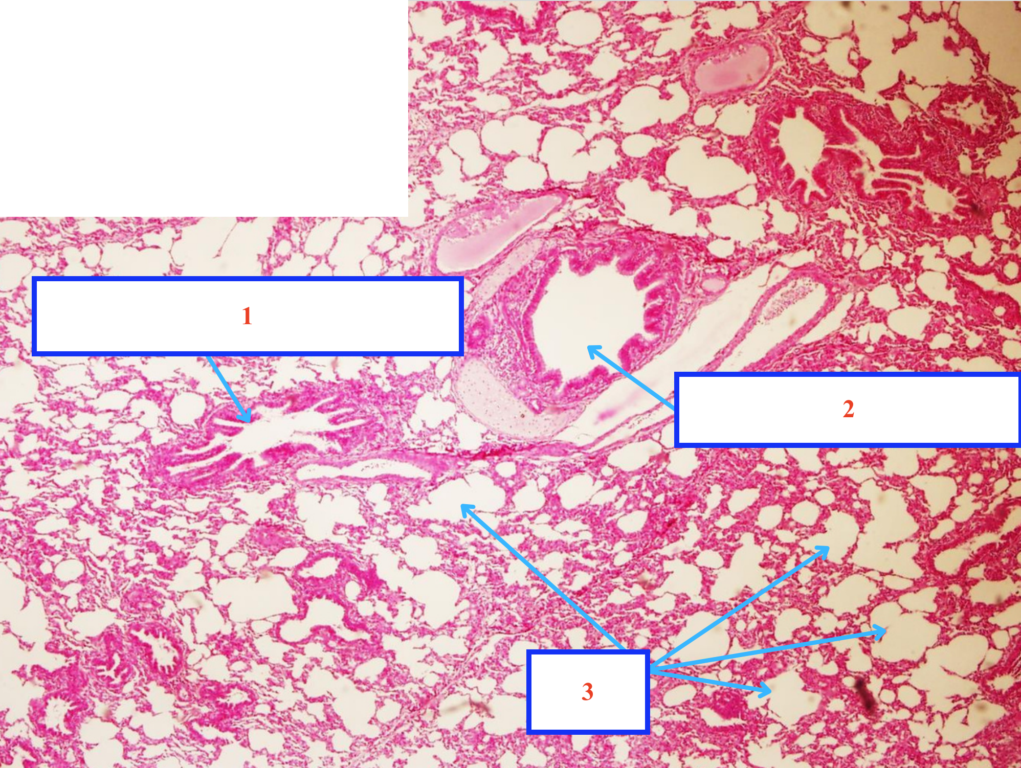
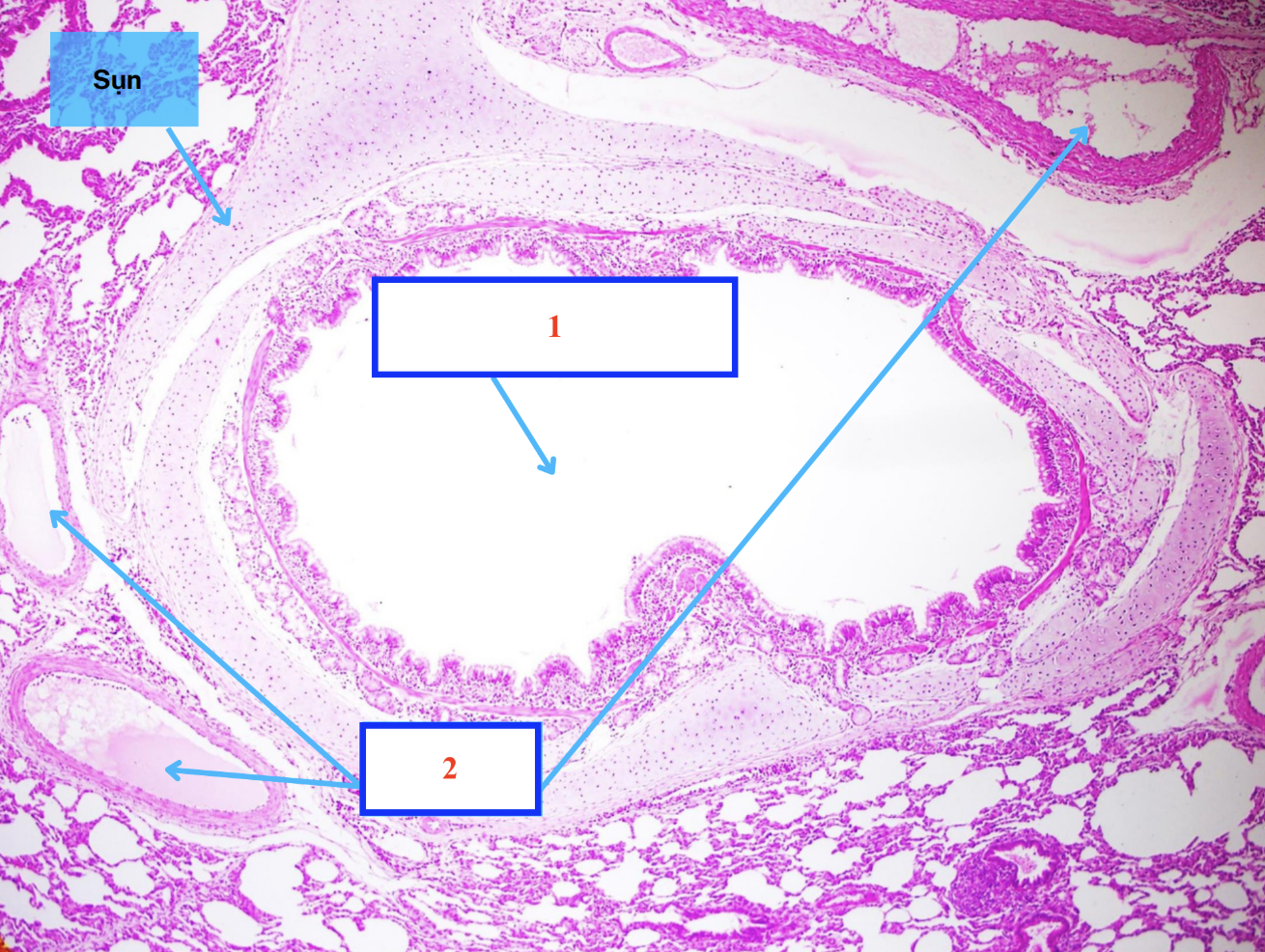
PHỔI:
_Đường dẫn khí
Phế quản gian tiểu thuỳ
Tiểu phế quản chính thức
Tiểu phế quản tận
_Phần hô hấp:
Tiểu phế quản hô hấp
Ống phế nang
Túi phế nang
Phế nang: Phế bào I + Phế bào II
DA:
_Biểu bì:
Phân biệt 5 lớp của biểu mô lát tầng sừng hoá
_Chân bì:
Tiểu thể Meissner
Phần chế tiết của tiểu cầu mồ hôi
Phần bài xuất của tiểu cầu mồ hôi
_Hạ bì:
Mô mỡ
Tiểu thể Pacini
CƠ QUAN SINH DỤC NAM:
_Tiêu bản: tinh hoàn
_Ống sinh tinh:
Tinh nguyên bào
Tinh bào
Tiền tinh trùng
Tinh trùng
Tế bào Sertoli
_Lưới tinh hoàn:
Biểu mô vuông đơn
_Tuyến kẽ:
Tế bào Leydig
_Ống mào tinh:
Biểu mô trụ giả tầng có lông giả
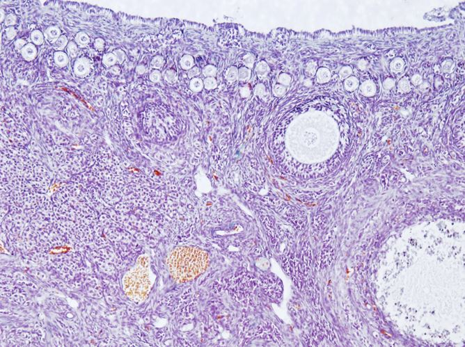
CƠ QUAN SINH DỤC NỮ:
_Tiêu bản: buồng trứng, vòi trứng
_Buồng trứng:
Biểu mô vuông đơn
Nang trứng nguyên thuỷ
Nang trứng sơ cấp
Nang trứng thứ cấp đặc
Nang trứng thứ cấp có hốc
THẬN:
_Vùng vỏ:
Tiểu cầu thận
Ống lượn gần
Ống lượn xa
Phức hợp cận tiểu cầu
Vết đặc
Tế bào cận mạch
Tế bào cận tiểu cầu
_Vùng tuỷ:
Ống góp
Tế bào tối
Tế bào sáng
Quai Henle
CƠ QUAN TẠO HUYẾT VÀ MIỄN DỊCH:
_TUYẾN ỨC:
Vùng trung tâm (vùng tuỷ)
Vùng ngoại vi (vùng vỏ)
Tiểu thể Hassal
_HẠCH BẠCH HUYẾT:
Vỏ xơ
Vách xơ
Dây xơ
Xoang dưới vỏ
Xoang quanh nang
Xoang tuỷ
_LÁCH:
Tuỷ trắng: nang lympho, tiểu động mạch trung tâm
Tuỷ đỏ: xoang tĩnh mạch lách, dây lách (dây Billroth)
Khung chống đỡ: vỏ xơ, bè xơ
CƠ QUAN NỘI TIẾT:
_Tuyến yên:
Thuỳ trước tuyến yên: tế bào ưa acid, tế bào ưa base, tế bào kỵ màu
Thuỳ sau tuyến yên
_Tuyến giáp:
Nang giáp:
Biểu mô vuông
Biểu mô lát đơn (dạng không hoạt động)
Biểu mô trụ đơn (dạng hoạt động mạnh)
Tế bào nang
Chất keo giáp
Không bào tái hấp thu
_Tuyến thượng thận:
Vùng vỏ:
Lớp cung - Lớp bó - Lớp lưới
Vùng tuỷ:

MẮT:
_3 lớp áo của nhãn cầu:
Áo ngoài: củng mạc, giác mạc
Áo giữa: mống mắt, thể mi, màng mạch
Áo trong: lớp tế bào sắc tố, lớp thần kinh
_Tiền phòng, hậu phòng
_Giác mạc:
Biểu mô lát tầng không sừng hoá
Màng Bowman
Nhu mô (lớp đệm)
Màng Descemet
Nội mô giác mạc: biểu mô lát đơn
MÔ RĂNG:
_Răng nhỏ:
Men răng
Nguyên bào men răng
Ngà răng
Chất tiền ngà
Tuỷ răng
_Răng lớn:
Men răng
Ngà răng
_Nha chu nhỏ:
Biểu mô nướu: biểu mô lát tầng sừng hoá
Biểu mô khe nướu: biểu mô lát tầng không sừng hoá
Dây chằng nha chu
Xương ổ răng
Cement
Ngà răng
Ống ngà
_Nha chu lớn:
Men răng
Nguyên bào men răng, nguyên bào ngà
Cement
Ngà răng, chất tiền ngà, tuỷ răng
Dây chằng nha chu, xương ổ răng

Tiêu bản gì ?
Mô sụn xương

Lớp gì - Cấu trúc gì ?
Lớp tế bào - màng ngoài xương
Lớp sợi - màng ngoài xương

Tiêu bản gì ?
Polyp mũi

Tiêu bản gì ?
Polyp mũi

Tiêu bản gì ?
Polyp mũi

Tiêu bản gì ?
Mô sụn xương

Tế bào gì ?
Bạch cầu ưa base

Cấu trúc gì ? (số 1 + 2)
Tế bào gì (số 3)
Khoang Henlé
Đĩa nối
Nhân tế bào cơ tim


Cấu trúc gì ?
Cơ tim cắt dọc

Cấu trúc gì ?
Cơ vân cắt ngang


Tế bào số 1 là gì ?
Tế bào sợi

Cấu trúc gì ?
Chất xám tuỷ sống

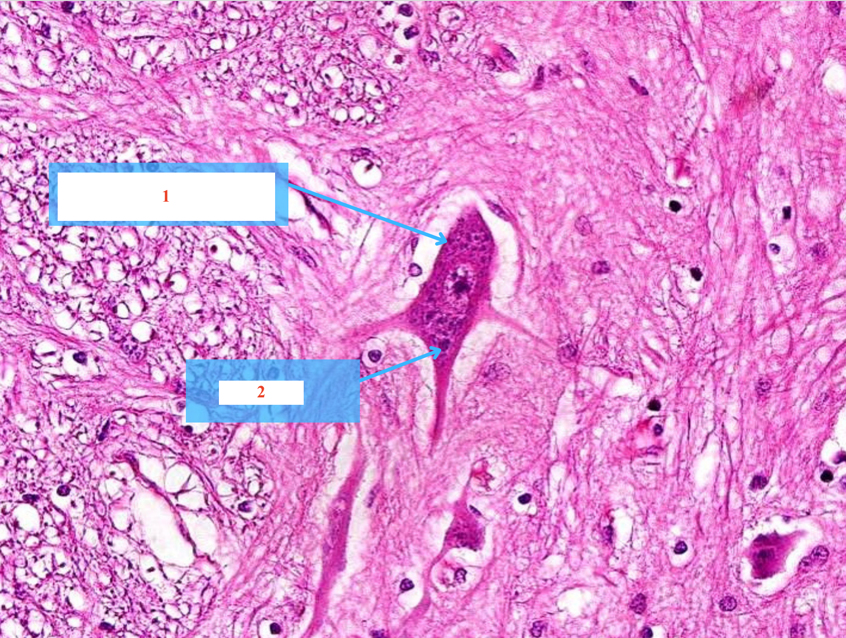
Số 1 là tế bào gì ?
Số 2 là cấu trúc gì ?
Neuron
Thể Nissl

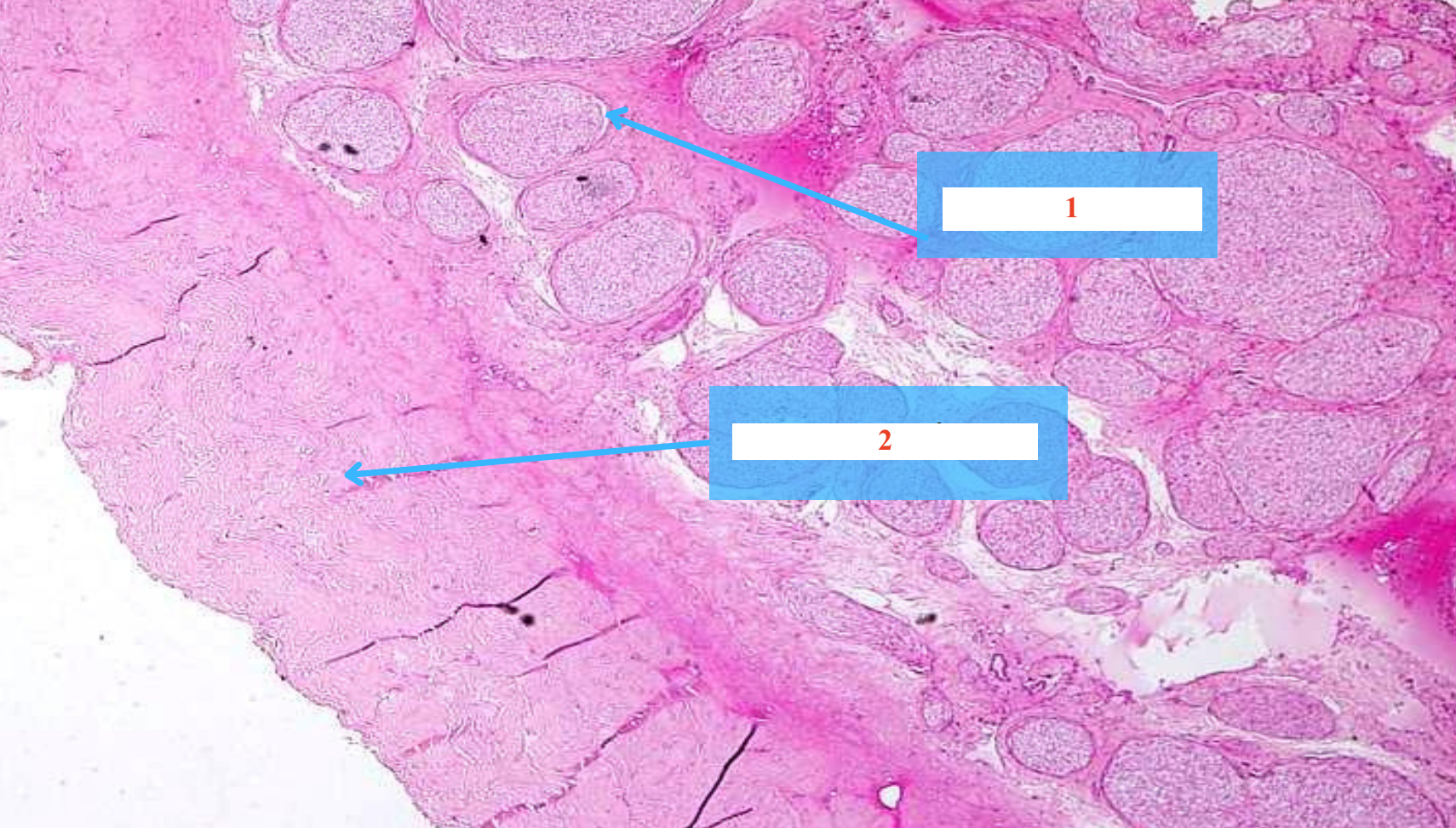
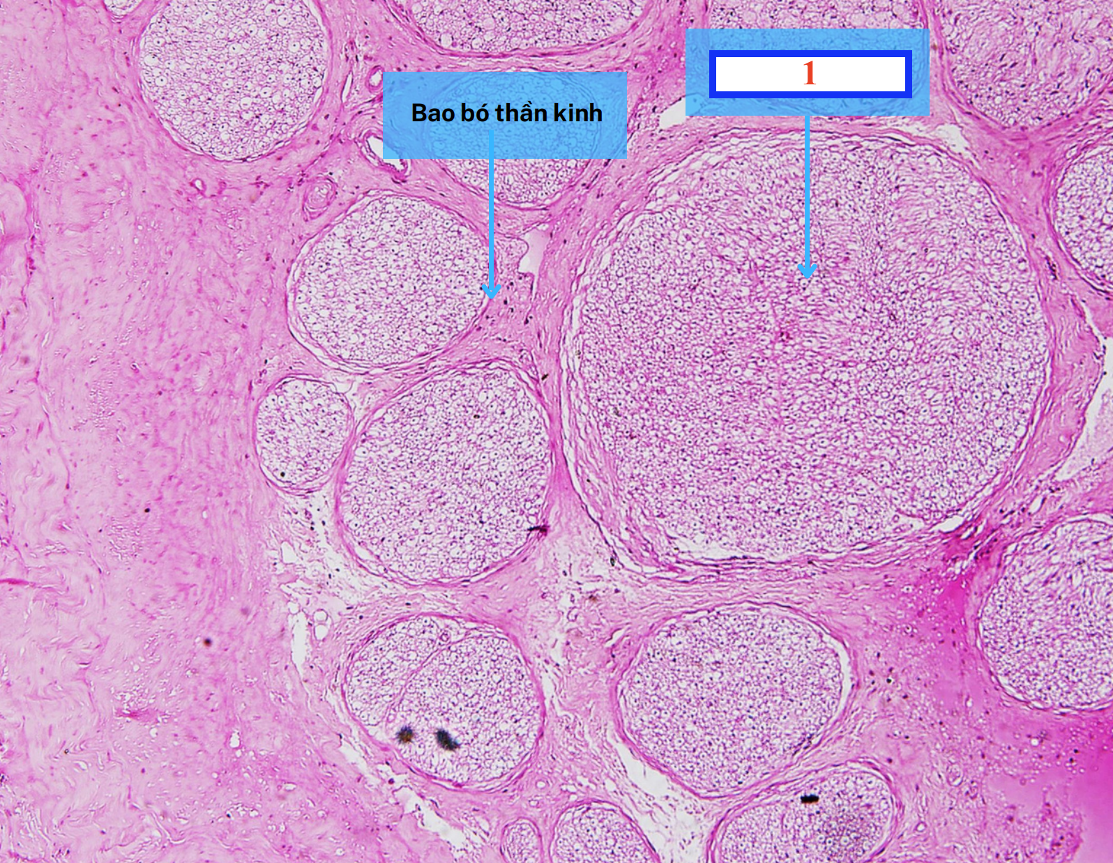
Cấu trúc gì ?
Bao bó thần kinh
Bao ngoại thần kinh

Cấu trúc gì ?
Mô nội thần kinh

Cấu trúc gì ?
Số 4 là tế bào gì ?
Lớp áo trong - mạch máu
Lớp áo giữa - mạch máu
Lớp áo ngoài - mạch máu
Tế bào nội mô
Màng chun trong
Màng chun ngoài

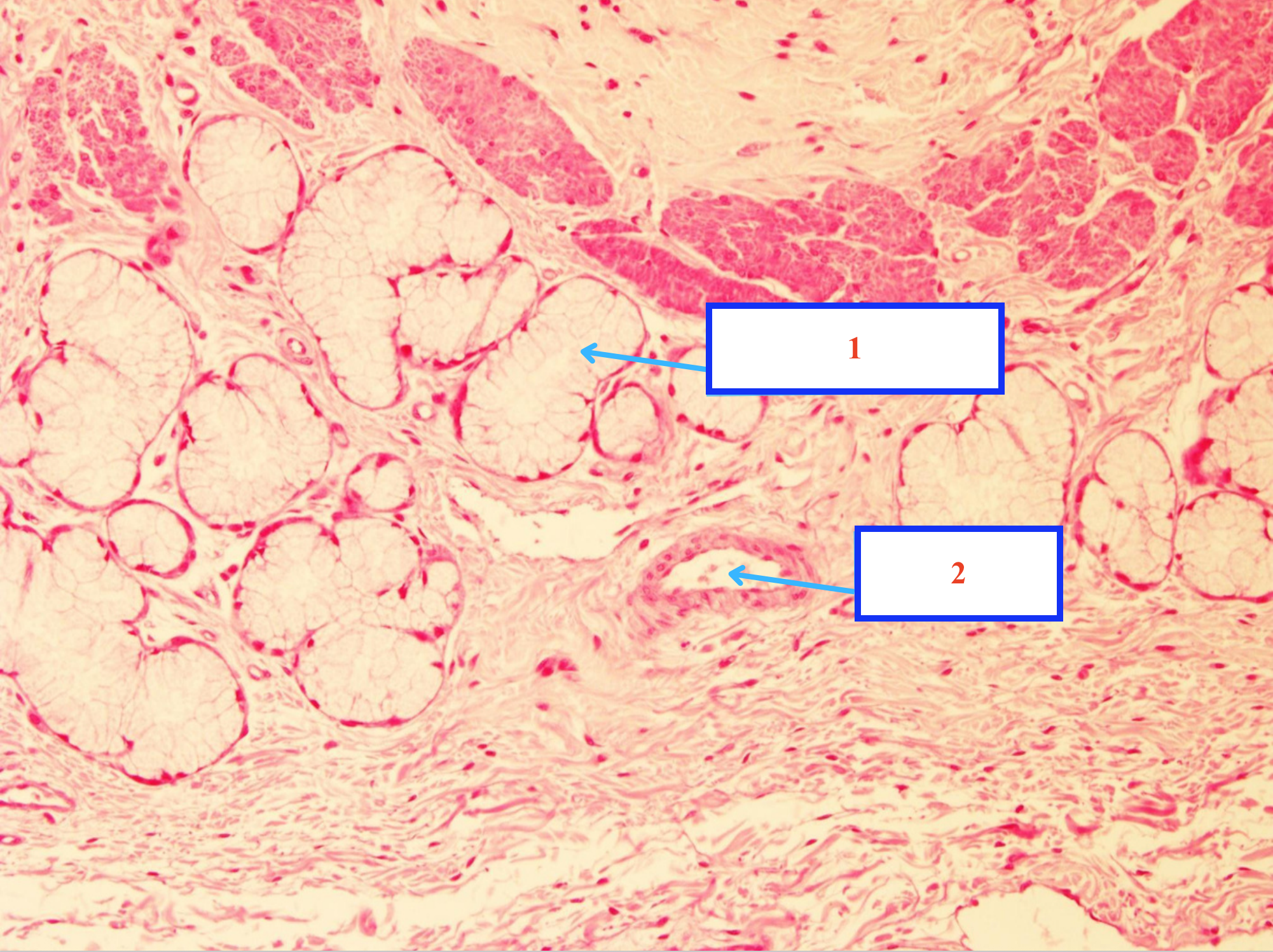
Tiêu bản gì ?
Tuyến nước bọt

Tế bào gì ?
Tế bào tiết nhầy
Tế bào viền

Tế bào gì ?
Lympho bào
Nguyên bào sợi
Tế bào thành
Tế bào sợi

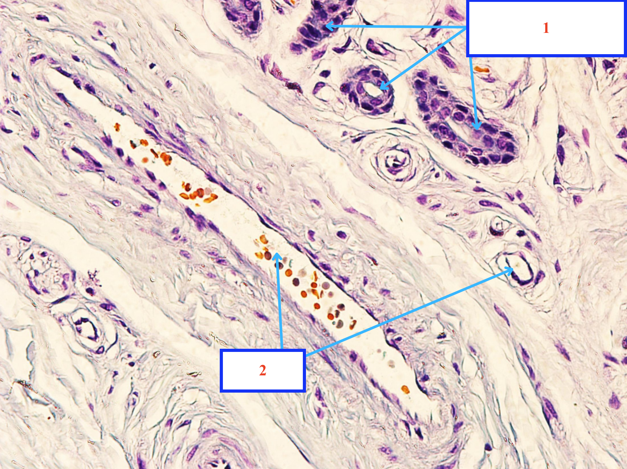
Tế bào gì ?
Tương bào

Cấu trúc gì ?
Đám rối thần kinh Auerbach

Cấu trúc gì ?
Nhung mao
Tuyến Lieberkühn
Tuyến Brunner


Cấu trúc gì ?
Đám rối thần kinh Meissner


Cấu trúc gì ?
Đám rối thần kinh Auerbach

Cấu trúc gì ?
Đám rối thần kinh Auerbach

Tiêu bản gì ?
Tuyến nước bọt

Cấu trúc gì ?
Ống bài xuất gian tiểu thuỳ

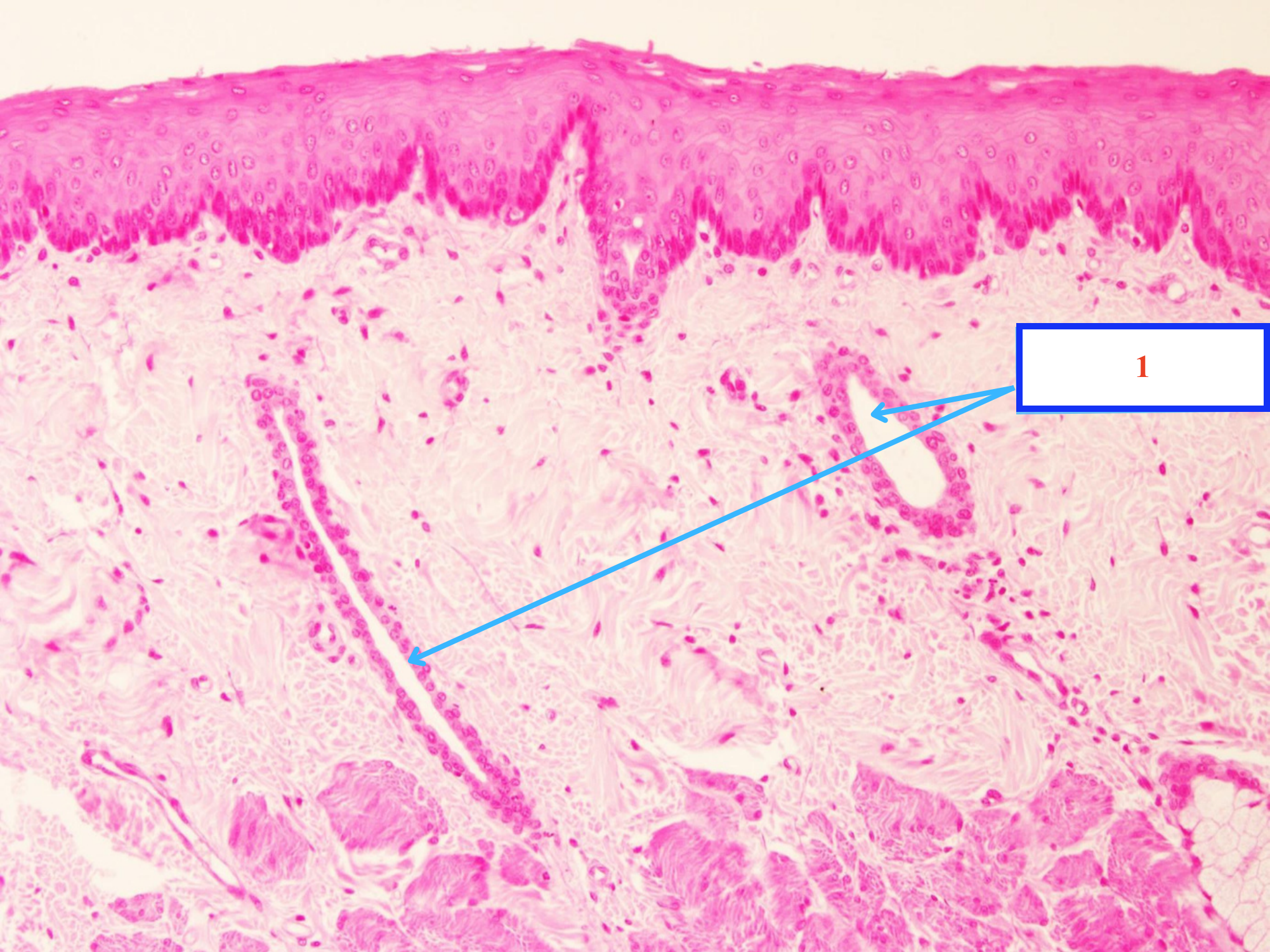
Cấu trúc gì ?
Ống vân
Ống bài xuất trong tiểu thuỳ

Cấu trúc gì ?
Ống bài xuất gian tiểu thuỳ
Nang nước

Cấu trúc gì ?
Ống bài xuất gian tiểu thuỳ
Nang tiết nhầy
Ống vân

Cơ quan gì ?
Buồng trứng

Tế bào gì ?
Tương bào

Tế bào gì ?
Tế bào Sertoli
Tinh nguyên bào
Tinh bào
Tiền tinh trùng
Tinh trùng


Biểu mô gì ?
Tế bào gì ?
Tế bào gì ?
Cấu trúc gì ?
Biểu mô trụ giả tầng có lông chuyển
Tế bào đài
Tế bào trụ có lông chuyển
Mạch máu

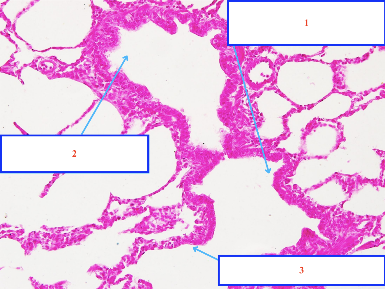
Cấu trúc gì ?
Tiểu phế quản chính thức
Phế quản gian tiểu thuỳ
Phế nang

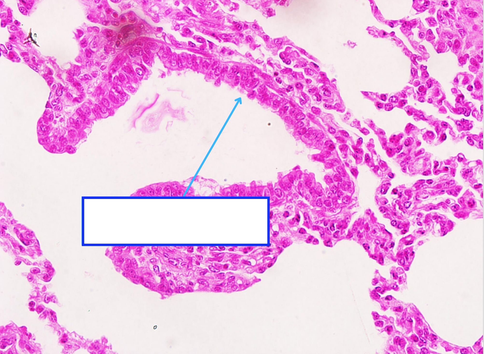
Cấu trúc gì ?
Phế quản gian tiểu thuỳ
Mạch máu
Tiểu phế quản chính thức

Cấu trúc gì ?
Phế quản gian tiểu thuỳ
Mạch máu

Biểu mô gì ?
Cấu trúc gì ?
Cấu trúc gì ?
Biểu mô trụ giả tầng có lông chuyển
Lớp cơ Reissessen
Mạch máu

Cấu trúc gì ?
Cấu trúc gì ?
Tế bào gì ?
Cấu trúc gì ?
Tuyến tiết dịch loãng
Lớp cơ Reissessen
Tế bào đài
Tuyến tiết dịch nhầy


Cấu trúc gì ?
Biểu mô gì ?
Cấu trúc gì ?
Lớp cơ Reissessen
Biểu mô trụ đơn có lông chuyển
Tiểu phế quản chính thức (gấp nếp, không sụn)

Cấu trúc gì ?
Cấu trúc gì ?
Tiểu phế quản tận
Tiểu phế quản chính thức


Cấu trúc gì ?
Tiểu phế quản tận
Tiểu phế quản chính thức
Tiểu phế quản hô hấp


Cấu trúc gì ?
Tiểu phế quản chính thức


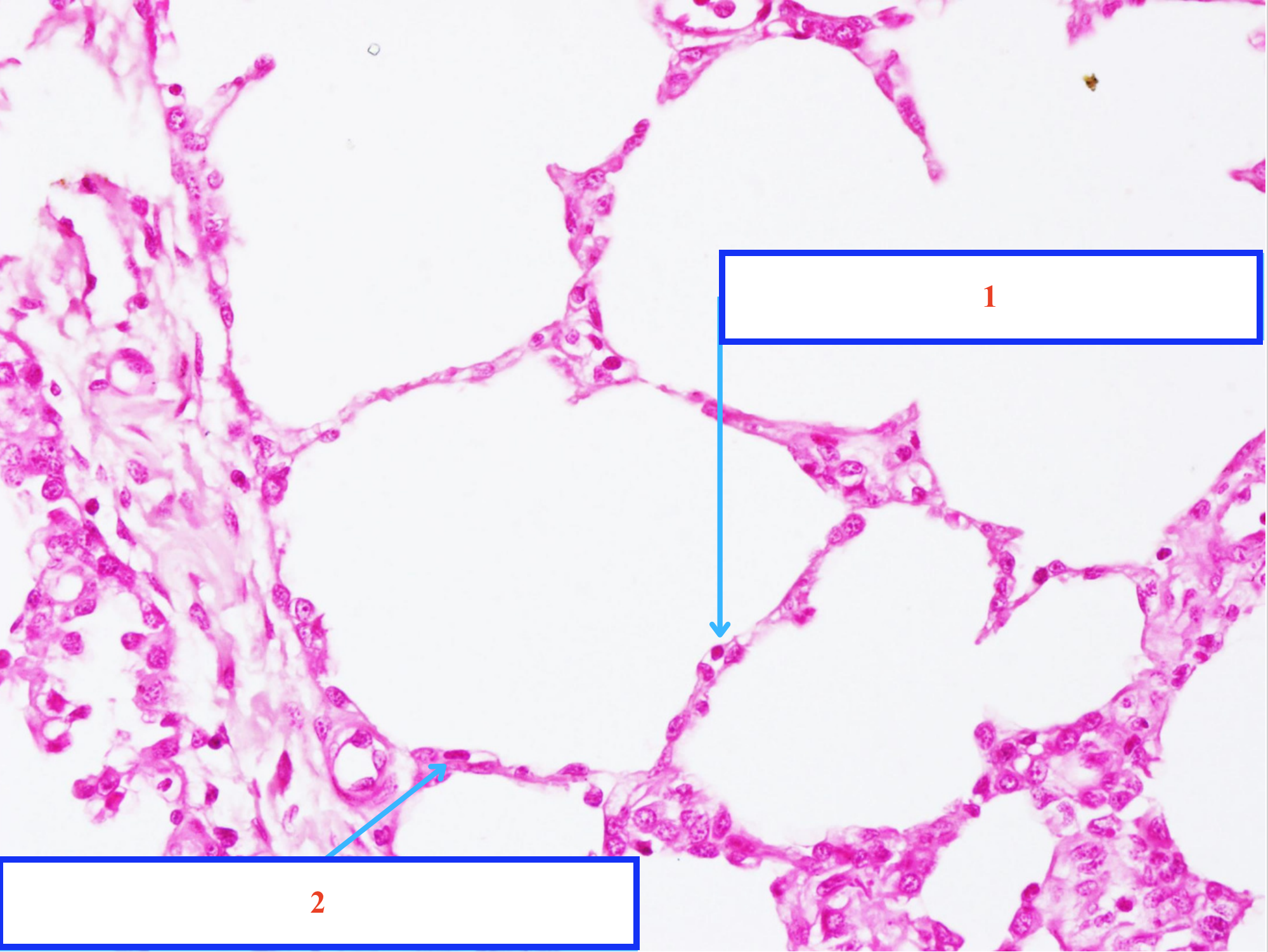
Tế bào gì ?
Phế bào I
Phế bào II


Tế bào gì ?
Phế bào II
Phế bào I

Cấu trúc gì ?
Mạch máu

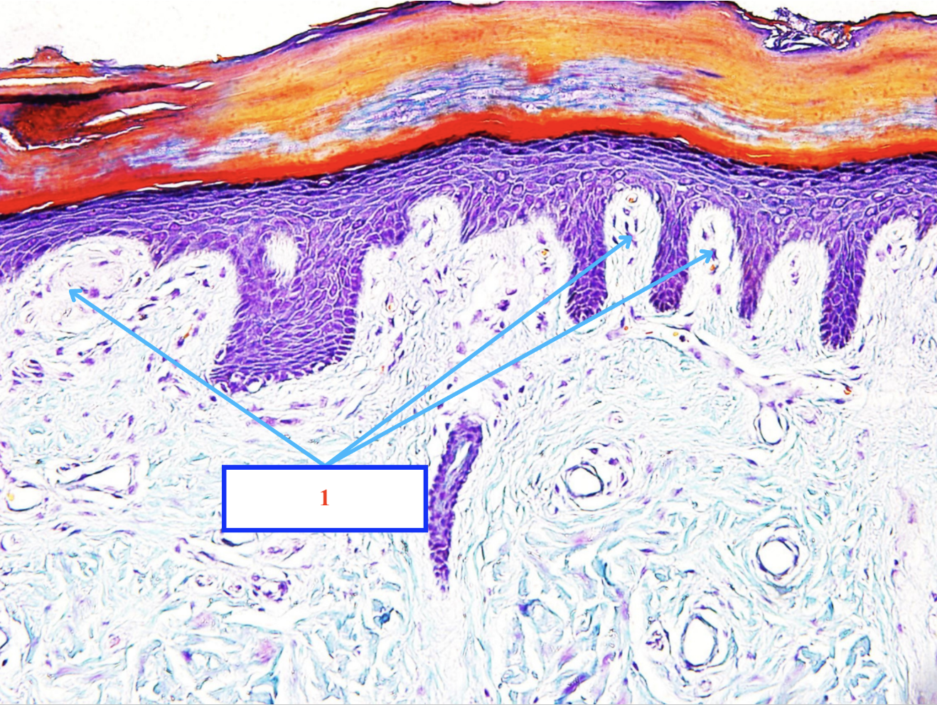
Mô liên kết gì ?
Mô liên kết thưa
Mô liên kết đặc không định hướng

Cấu trúc gì ?
Tiểu thể Meissner

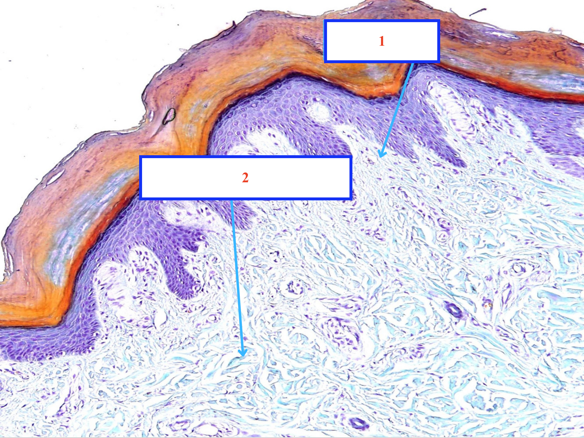
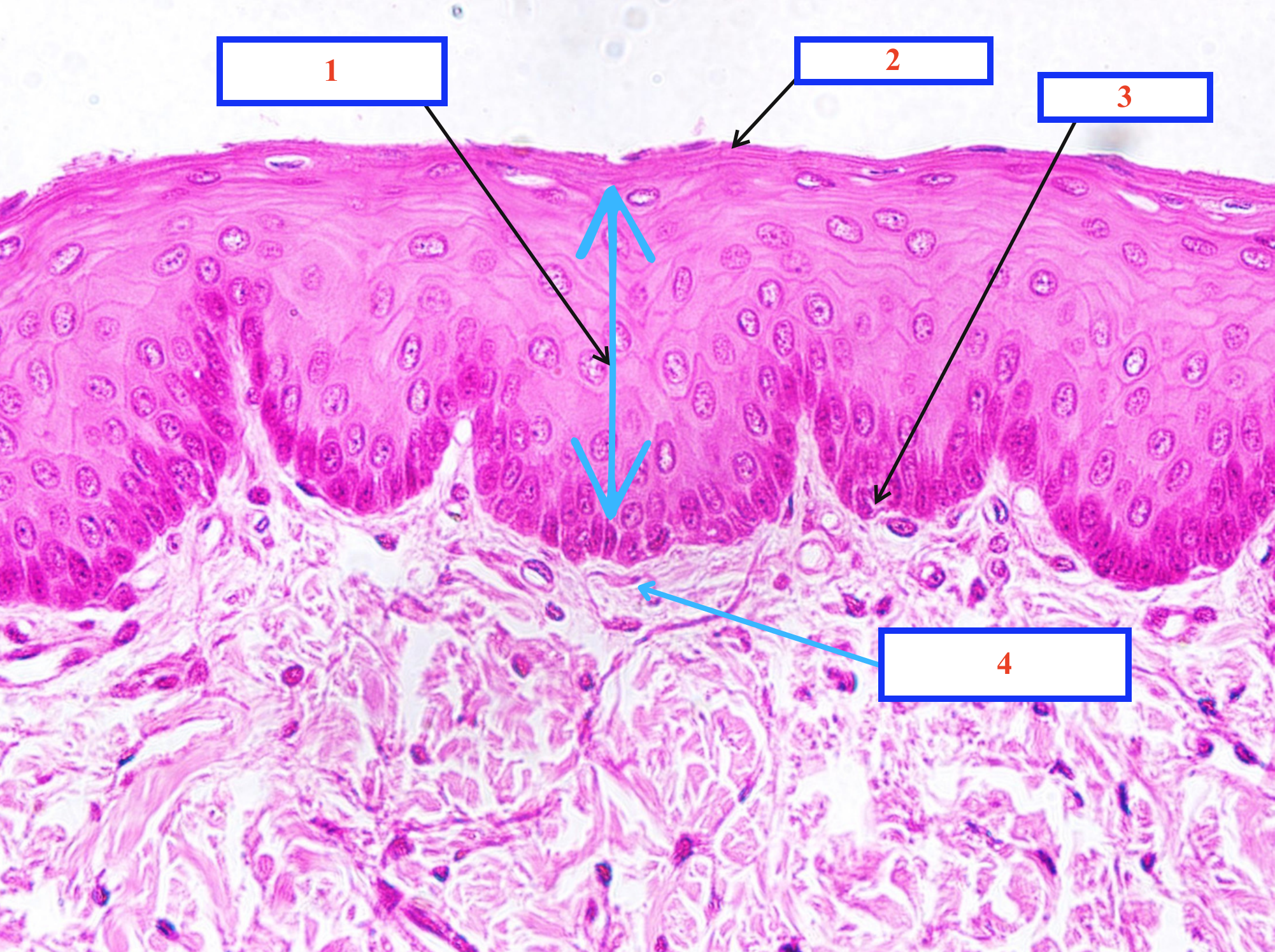
Lớp gì - Tiêu bản gì ?
Lớp sừng của da
Lớp bóng của da
Lớp hạt của da
Lớp gai của da
Lớp sinh sản của da

Tế bào gì ?
Tế bào sợi
Lympho bào
Nguyên bào sợi
Tương bào


Cấu trúc gì ?
Mạch máu
Tiểu thể Pacini

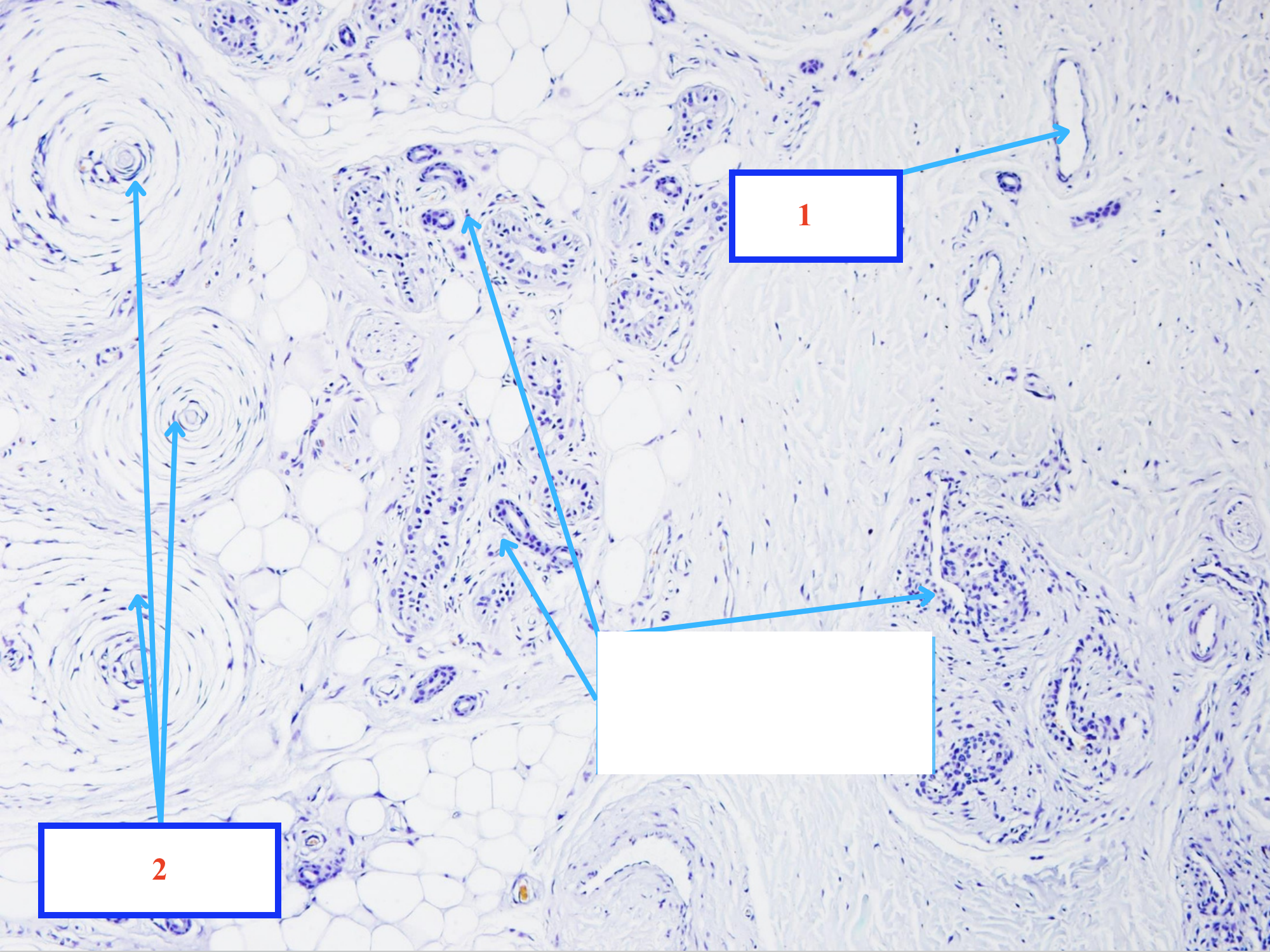
Cấu trúc gì ?
Phần bài xuất tiểu cầu mồ hôi
Phần chế tiết tiểu cầu mồ hôi
Biểu mô vuông tầng

Cấu trúc gì ?
Mô mỡ
Tiểu thể Pacini
Mạch máu

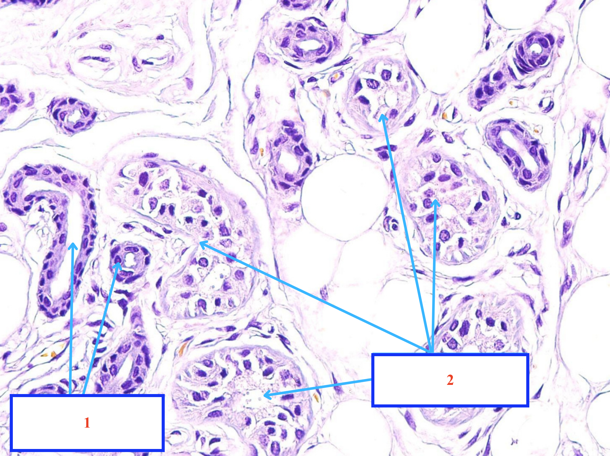
Cấu trúc gì ? - Biểu mô gì ?
Phần bài xuất tiểu cầu mồ hôi (biểu mô vuông tầng)
Mạch máu (biểu mô lát đơn)

Cấu trúc gì ? - Biểu mô gì ?
Phần bài xuất tiểu cầu mồ hôi (biểu mô vuông tầng)
Mạch máu (biểu mô lát đơn)

Tế bào gì ?
Nhân tế bào mỡ
Tế bào mỡ
Nguyên bào sợi
Tế bào sợi


Tầng gì - Tiêu bản gì ?
Tầng niêm mạc - thực quản
Tầng dưới niêm mạc - thực quản
Tầng cơ - thực quản
Tầng thanh mạc - thực quản

Biểu mô gì ?
Cấu trúc gì ?
Cấu trúc gì ?
Biểu mô lát tầng không sừng hoá
Mạch máu
Ống bài xuất

Cấu trúc gì ? - Tiêu bản gì ?
Ống bài xuất thực quản

Lớp gì ?
Cấu trúc gì ?
Cấu trúc gì ?
Lớp đệm thực quản
Ống bài xuất
Tuyến thực quản

1.2.3. Lớp gì ? - tiêu bản gì ?
4. Tế bào gì ?
Lớp trung gian thực quản
Lớp bề mặt thực quản
Lớp sinh sản thực quản
Nguyên bào sợi

1.2. Tế bào gì ?
4. Cấu trúc gì ?
Tương bào
Lympho bào
Mạch máu

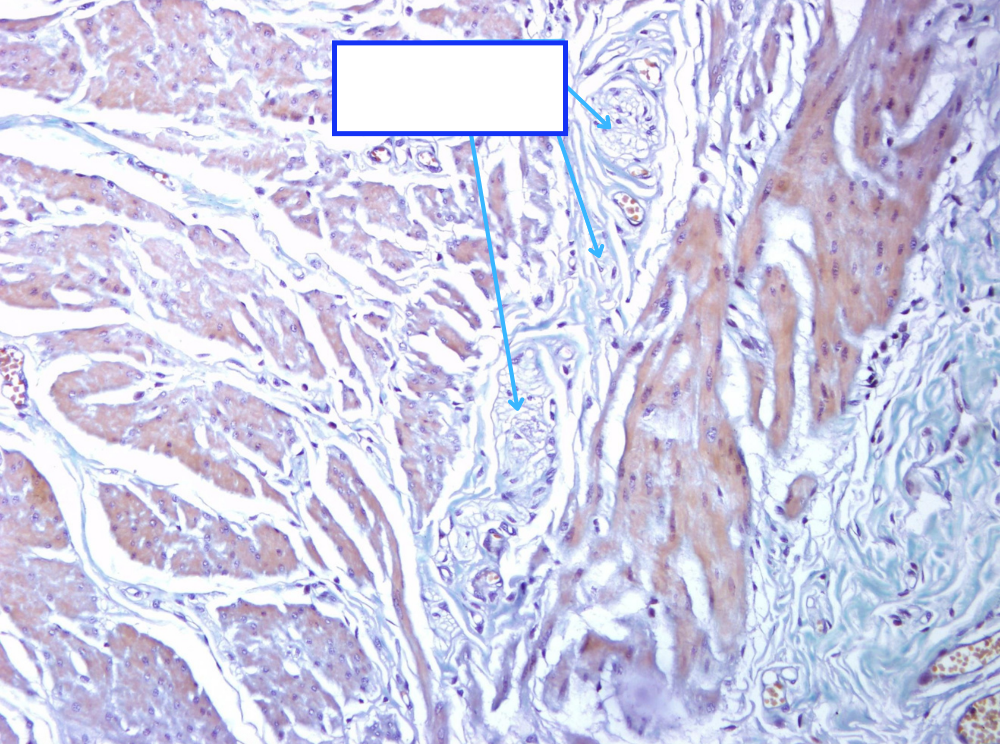
Cấu trúc gì ?
Tuyến thực quản
Mạch máu

Cấu trúc gì ?
Đám rối thần kinh Auerbach

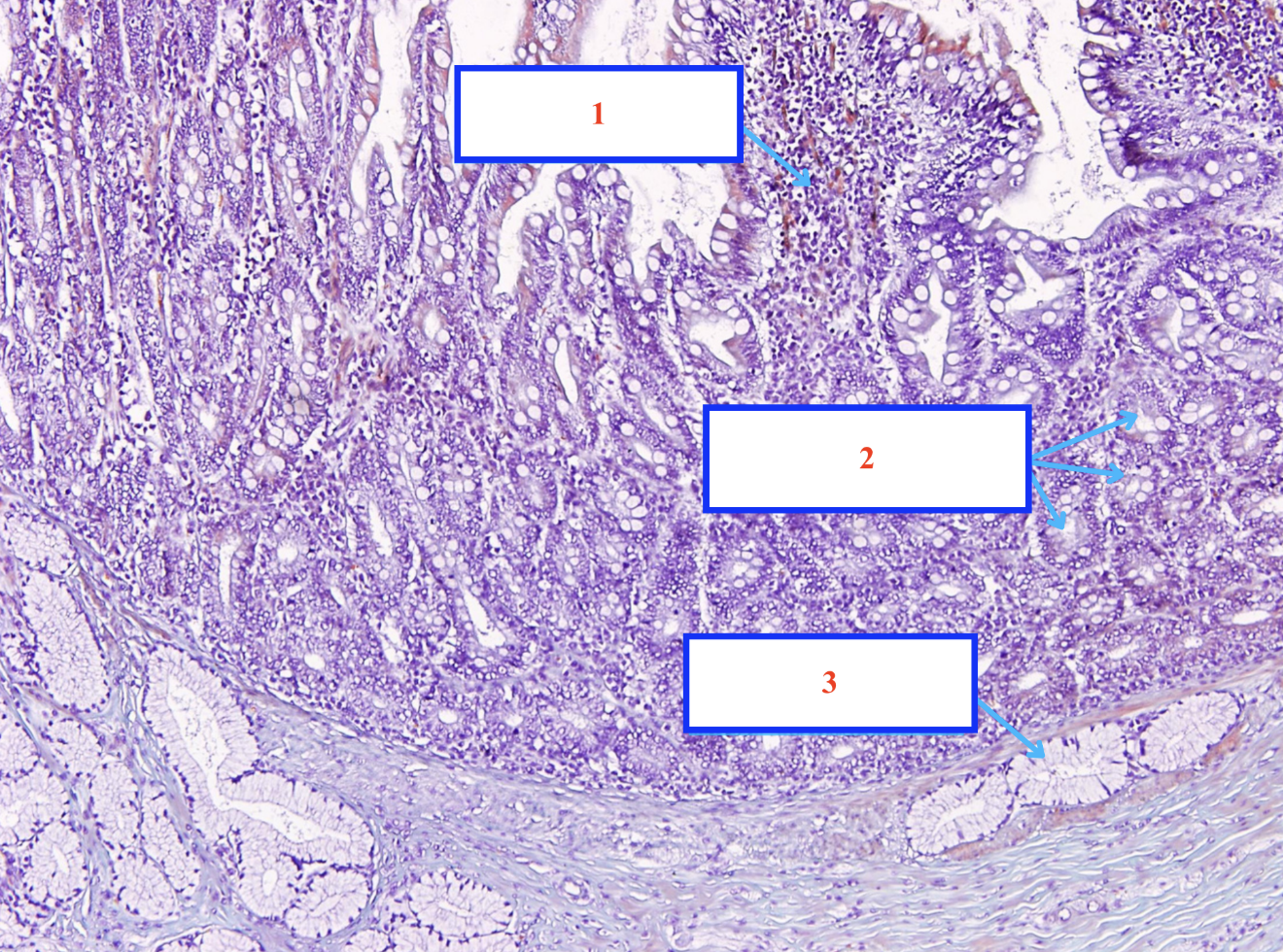
Biểu mô gì ?
Cấu trúc gì ?
Biểu mô trụ đơn tiết nhầy
Tuyến đáy vị

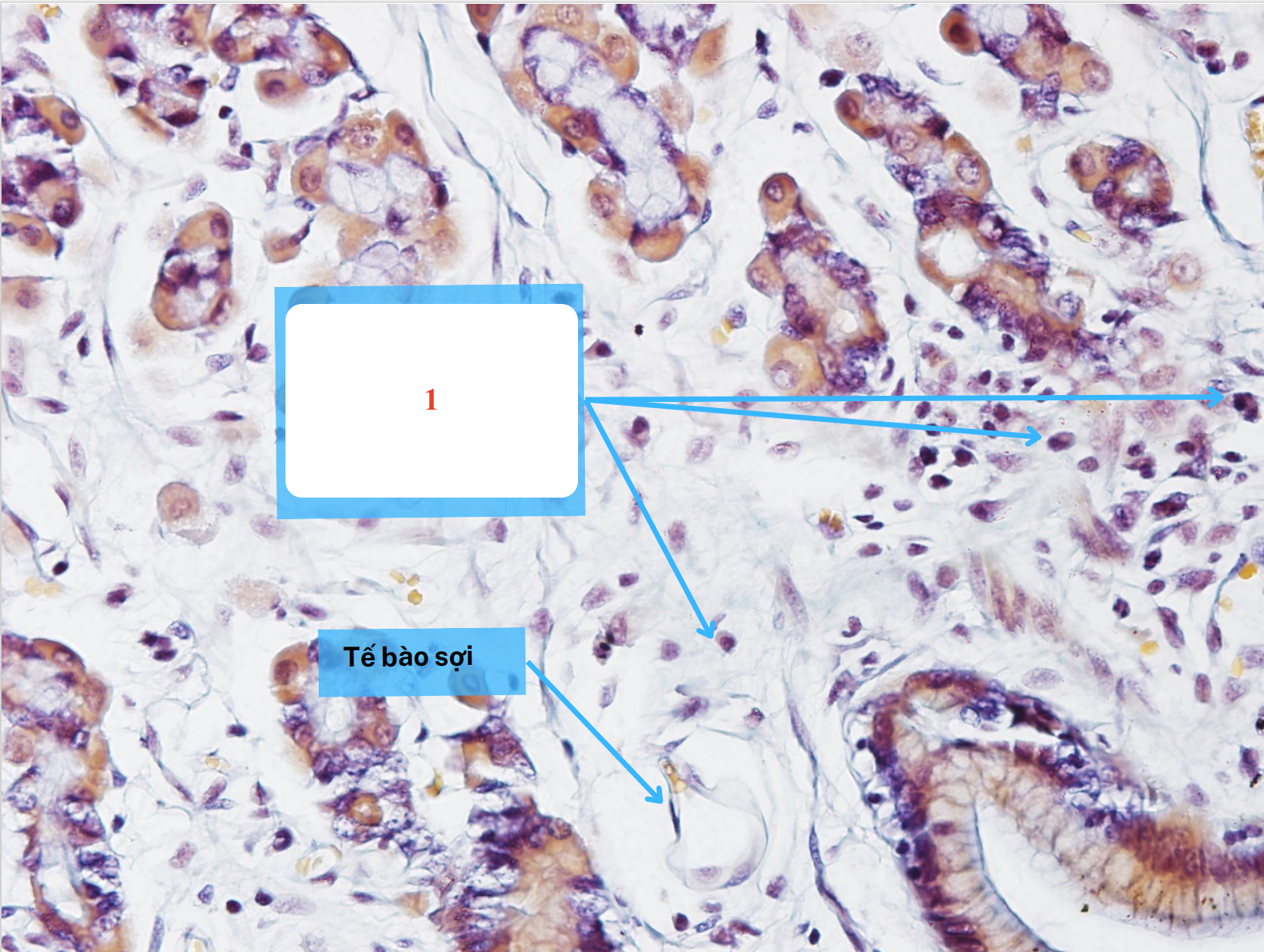
Tế bào gì ?
Nguyên bào sợi
Tế bào sợi
Lympho bào

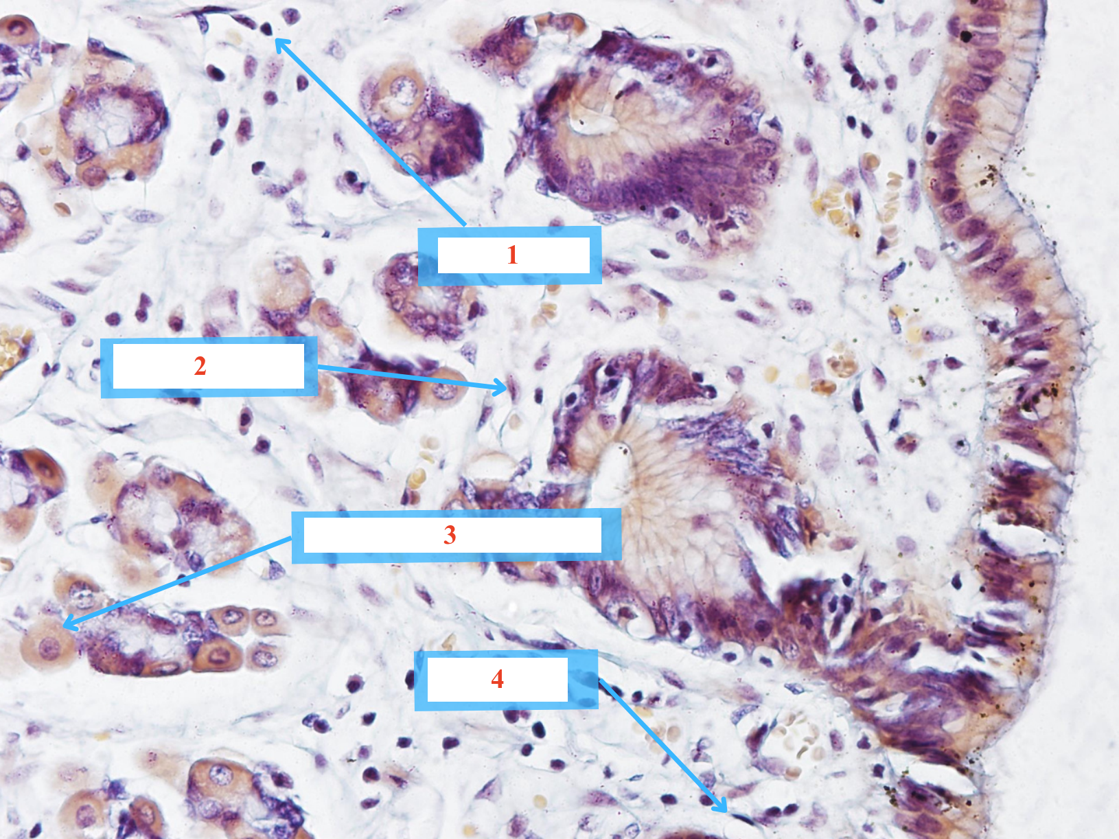
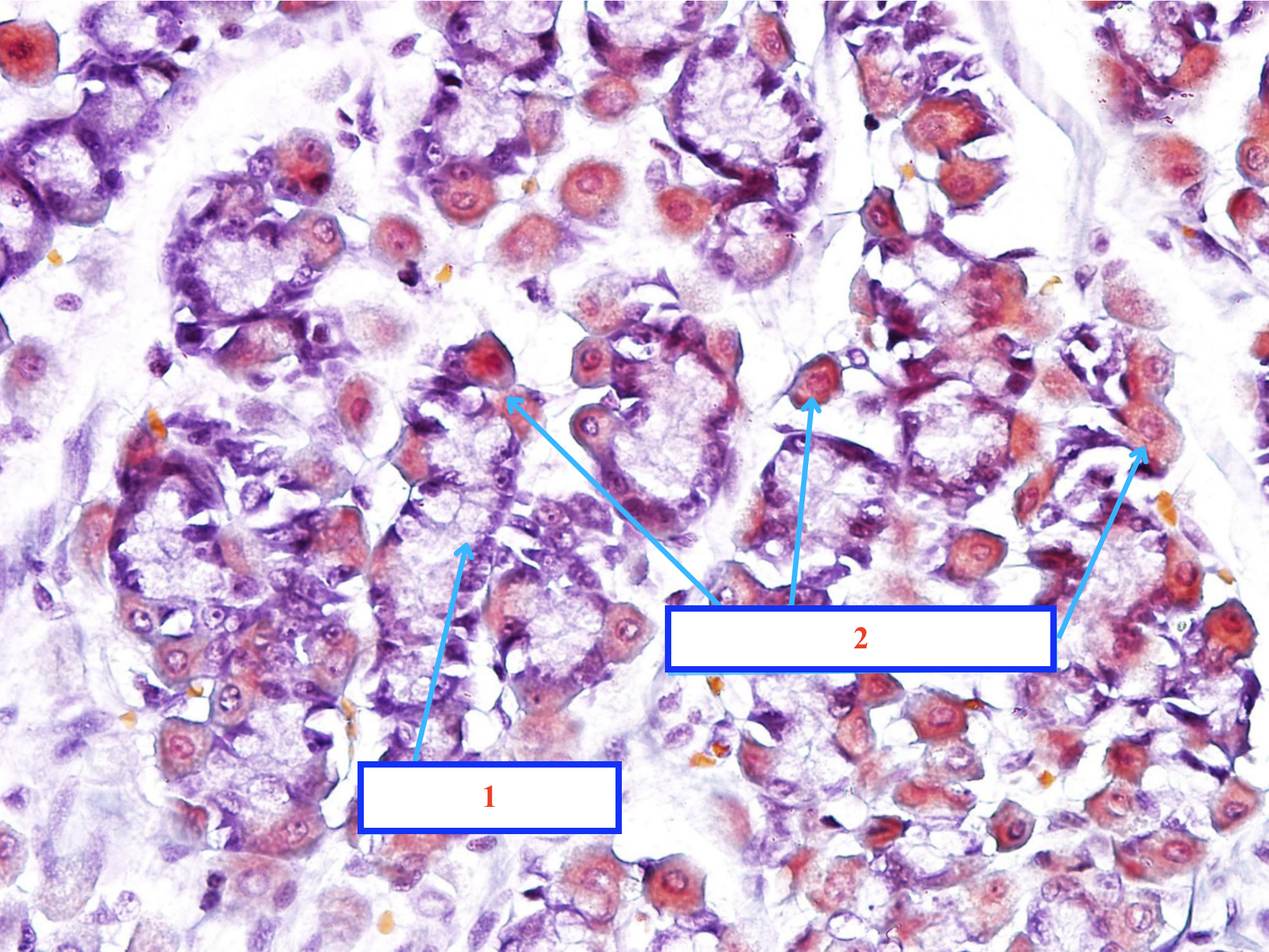
Tế bào gì ?
Tế bào tiết nhầy
Tế bào viền hoặc tế bào thành

Tế bào gì ?
Tế bào tiết nhầy
Tế bào viền hoặc tế bào thành

Tế bào gì ?
Tương bào
Tế bào sợi

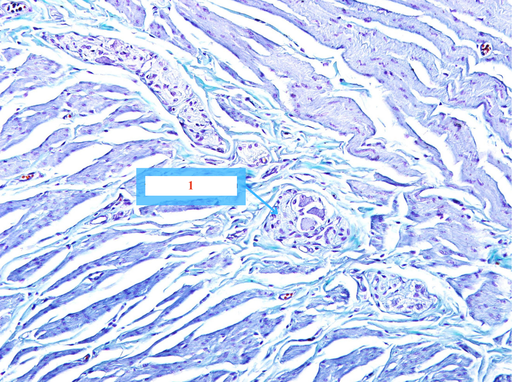
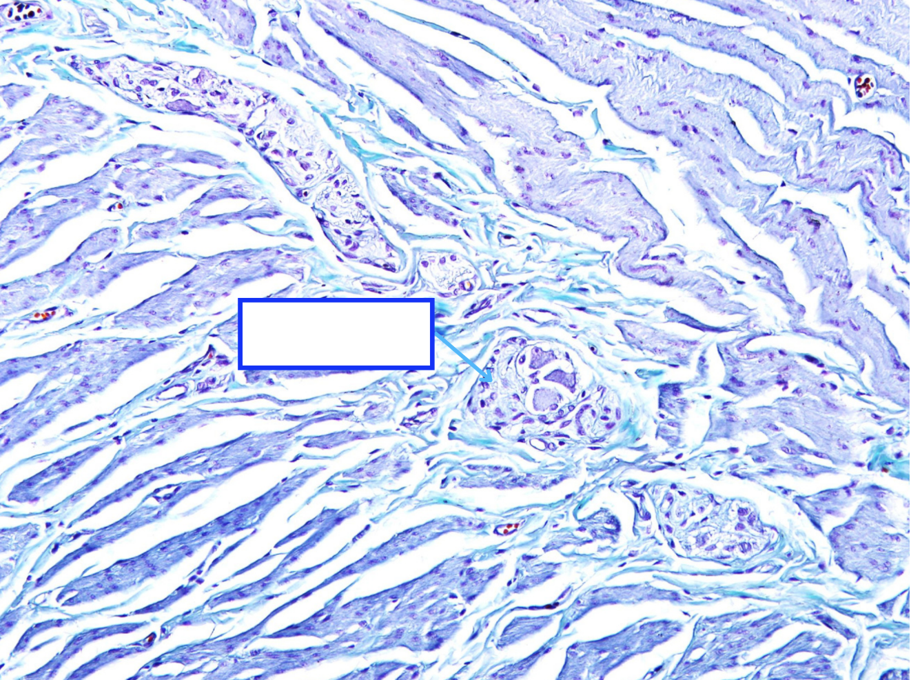
Cấu trúc gì ?
Đám rối thần kinh Auerbach

Cấu trúc gì ?
Đám rối thần kinh Auerbach

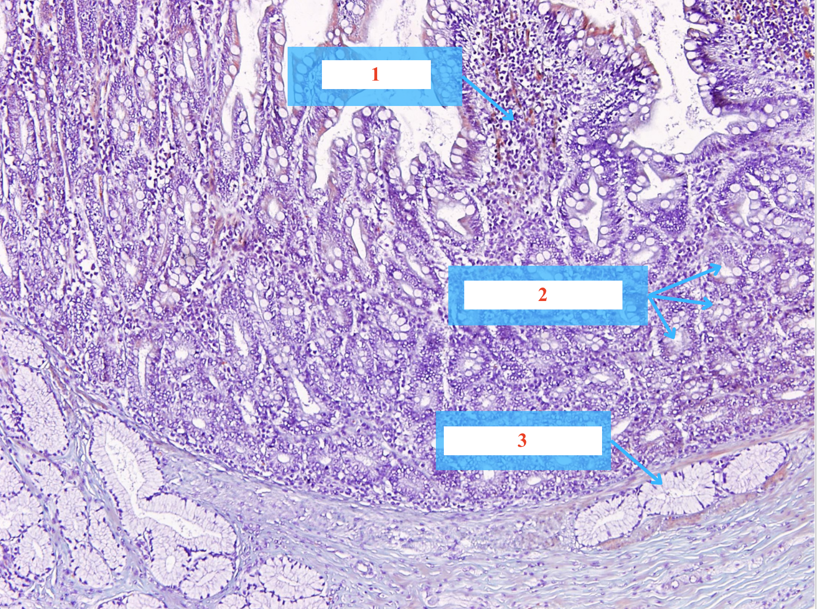
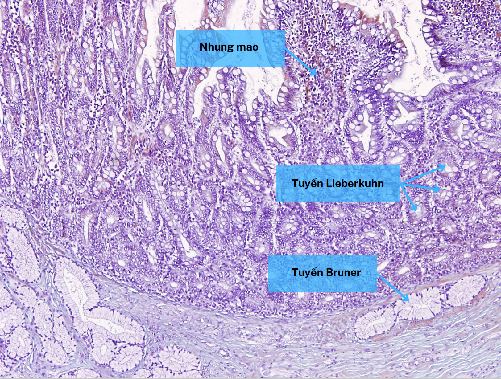
Cấu trúc gì ? - Tiêu bản gì ?
Nhung mao tá tràng
Tuyến Lieberkühn tá tràng
Tuyến Brünner