1/66
Looks like no tags are added yet.
Name | Mastery | Learn | Test | Matching | Spaced | Call with Kai |
|---|
No analytics yet
Send a link to your students to track their progress

Whats the Layer?
Mucosa

What type of epithelium?
pseudostratified ciliated columnar epithelium

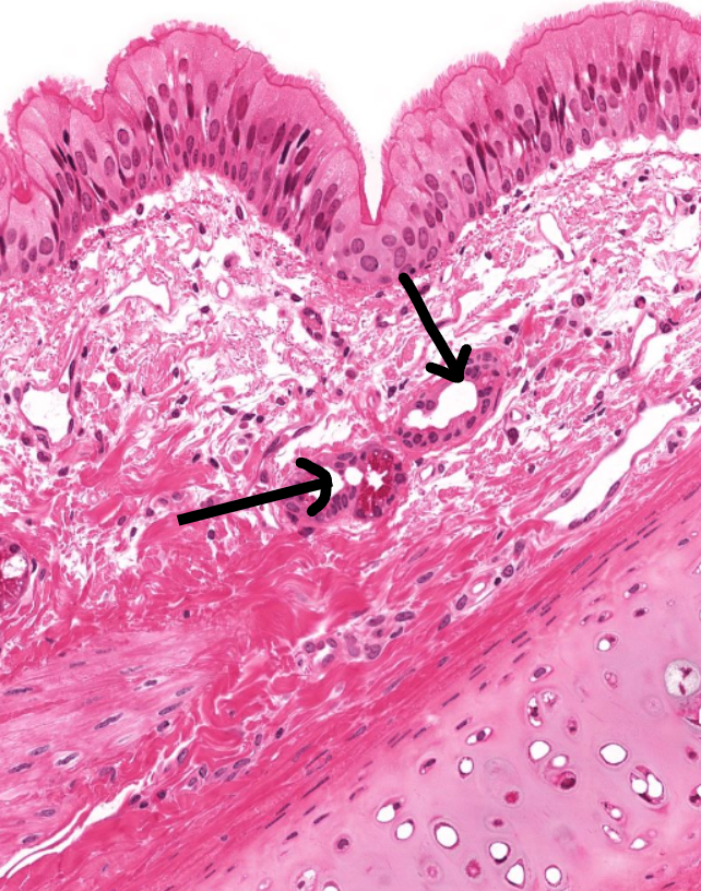
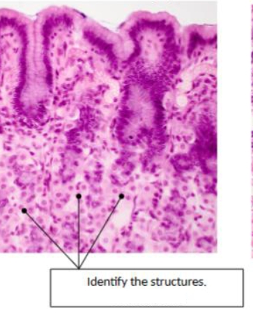
Identify the structures
multicellular mucous glands

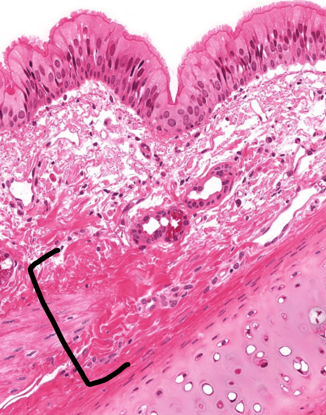
identify the layer
Submucosa

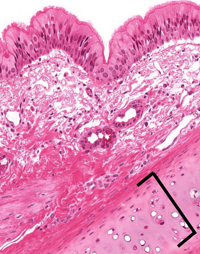
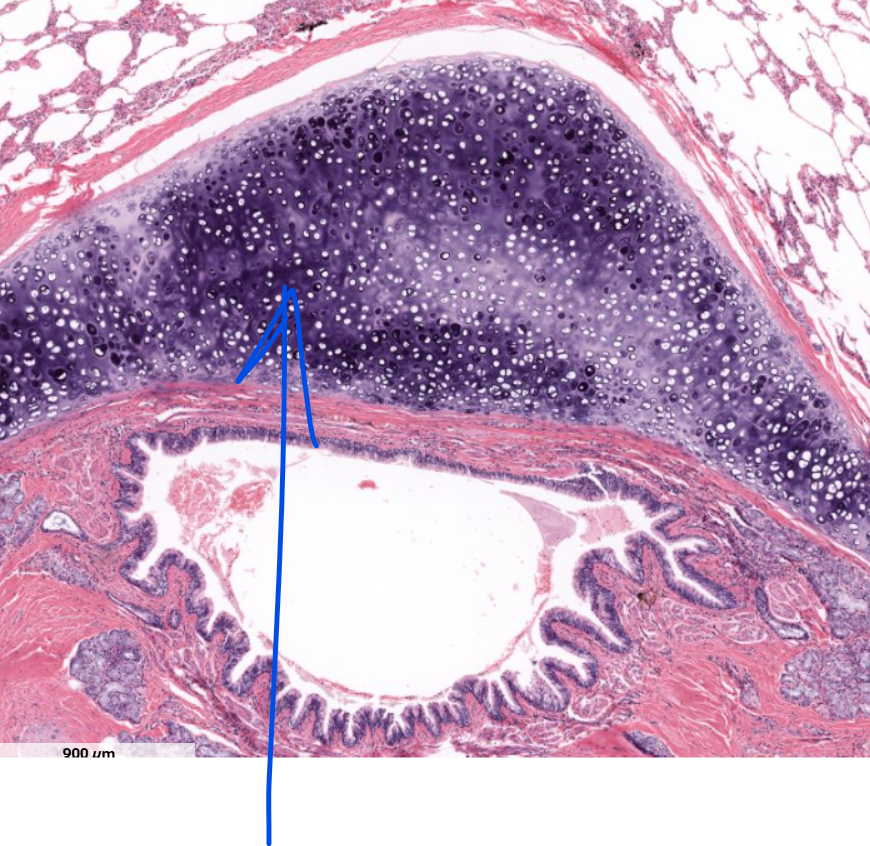
identify the tissue
Hyaline Cartilage

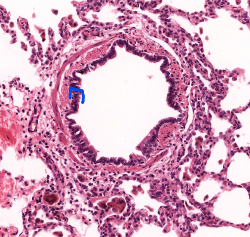
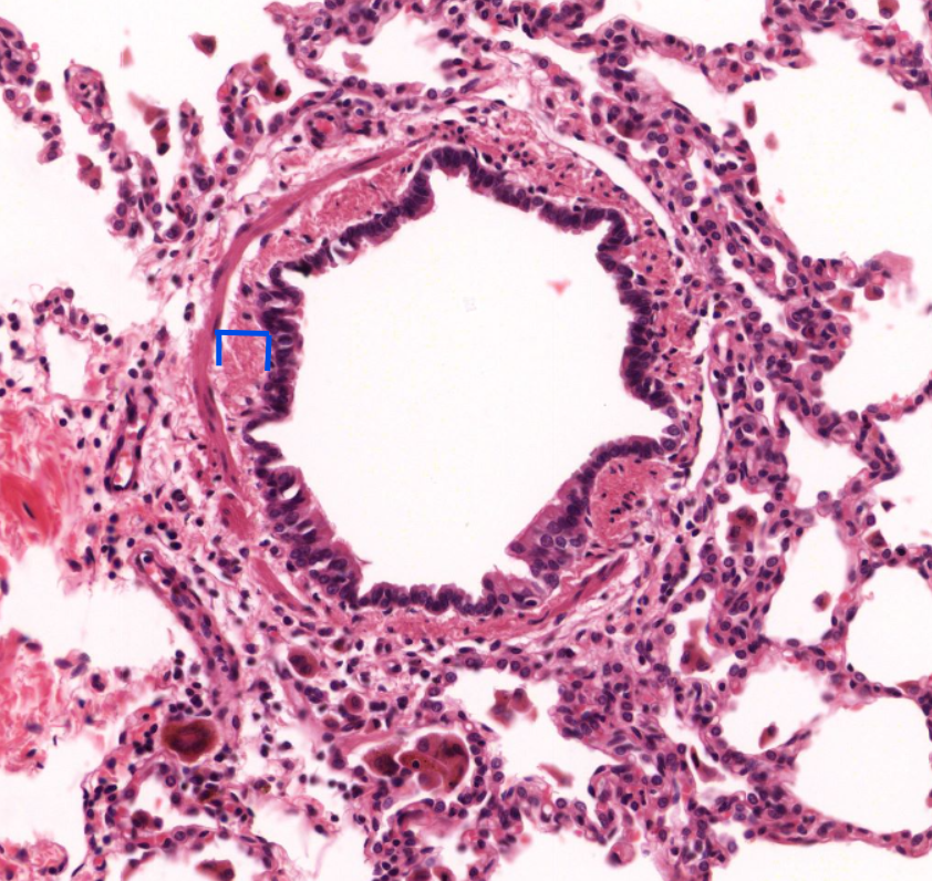
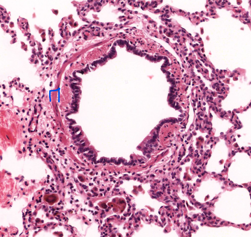
identify the layer
Mucosa

identify the layer of mucosa
pseudostratified ciliated columnar epithelium

identify the layer of mucosa
lamina propria

identify the layer
smooth muscle

identify the material
hyaline cartilage

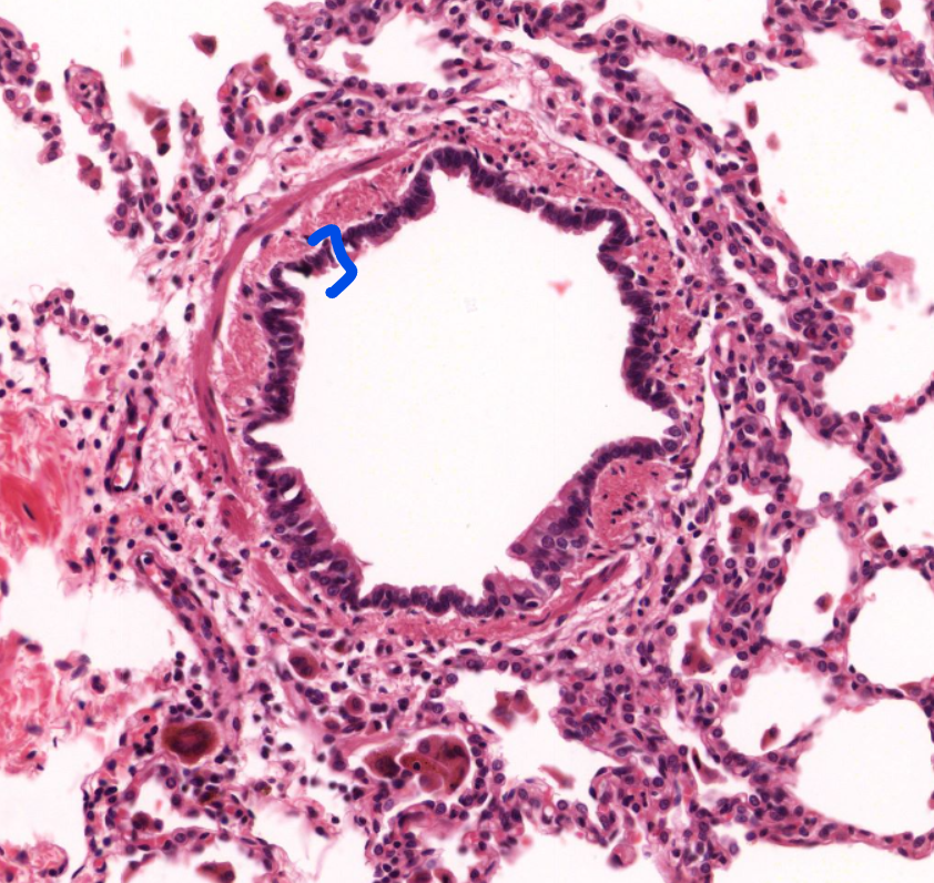
identify the organ
respiratory bronchioles

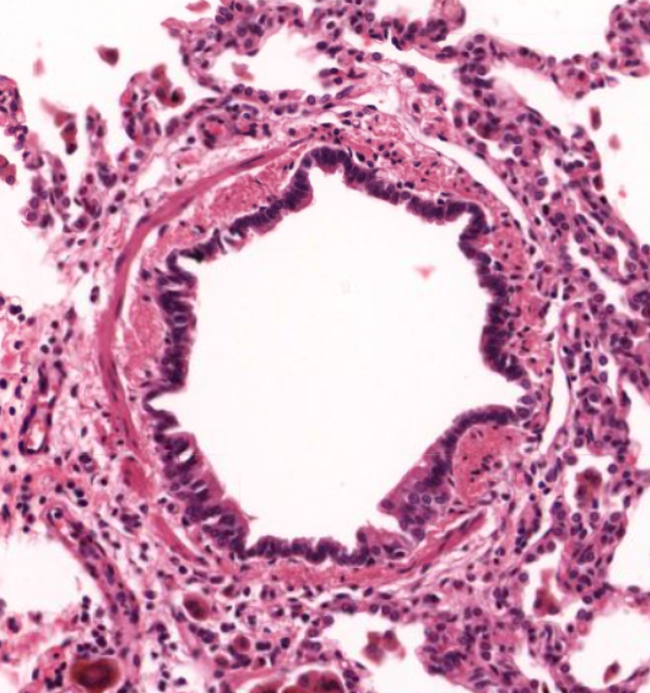
identify the organ
terminal bronchioles

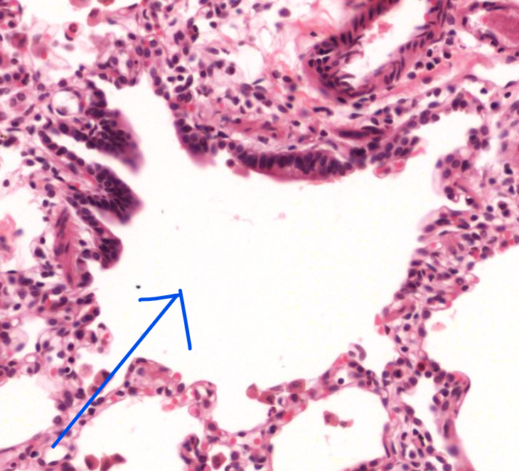
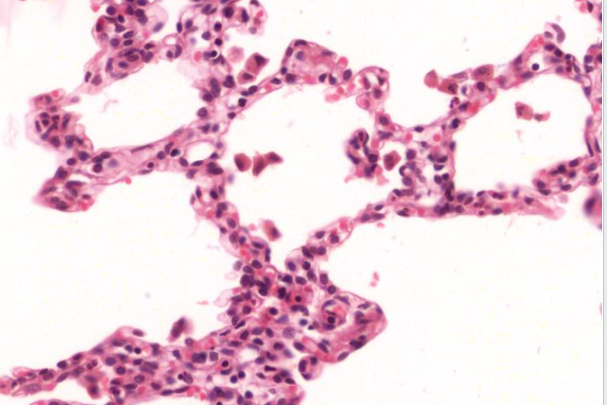
identify the structure
alveoli

identify the structure
duct

serous acinus

mucous acinus

serous demilune

Mucosa

identify the organ
stomach

submucosa

Muscularis externa

muscularis mucosae

Serosa

Gastric Pit

gastric glands

parietal cells

Chief cells

Lamina Propria

villus

mucosa

submucosa

muscularis externa

serosa

duodenal glands

Lacteals

Intestinal glands

villus

circular folds

submucosa

muscularis externa

peyers patches

Large intestine

intestinal glands

Mucosa

submucosa

muscularis externa

taenia coli

muscularis externa

submucosa

mucosa

identify the organ
pancreas

acinus

duct

simple cuboidal epithelium

pancreatic islet

identify the organ
liver

portal triad

plate of hepatocytes

sinusoids

central canal

portal triad

portal venule

portal arteriole

bile duct

sinusoids

hepatocytes